启事
“浙二神外周刊”不定期接收外院投稿,审核后发表。欢迎各专业同道联系我们,分享精彩病例、研究热点或前沿资讯。投稿请联系:shishi74@163.com
病史简介
患者,男,14岁,主诉“头痛伴恶心、呕吐12天”,当地医院头颅CT检查提示“四脑室占位”,门诊以“四脑室占位,室管膜瘤?”收入院。
入院查体:生命体征平稳,神清,精神弱,查体欠合作。双侧瞳孔等大等圆,直接2.5mm,对光反应灵敏。Romberg征(+),余神经系统检查未见异常。
既往史:既往体健。
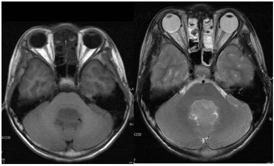
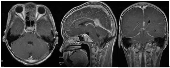
辅助检查:MRI平扫加增强显示第四脑室内可见不规则肿块影,T1WI呈高低混杂信号,T2WI呈混杂低信号,增强扫描可见不均匀强化,大小约36x25.7x51.1mm,脑桥延髓后部及小脑蚓部受压。诊断“第四脑室肿块,室管膜瘤?”(图1)。


图1. MRI检查:第四脑室内可见不规则肿块影,T1WI呈高低混杂信号,T2WI呈混杂低信号,增强扫描可见不均匀强化,脑桥延髓后部及小脑蚓部受压。
血化验未见明显异常。胸片、心电图等相关检查均未见明显异常。
诊疗过程
术前讨论:根据病史及影像学检查,术前诊断:四脑室占位,室管膜瘤?经科室讨论,建议行开颅四脑室肿瘤切除术。逐于2017.4.17行开颅四脑室肿瘤切除术,手术顺利,术中冰冻切片结果提示为:室管膜瘤,WHO III级,待常规及免疫组化染色明确。常规病理回报:间变性室管膜瘤,WHO III级。
术后第1天,患者神清,精神可,无腹胀、腹痛等不适,予以少量半流饮食。
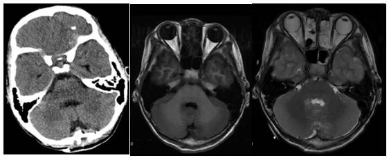
术后第2天,患者一般情况良好,未诉明显不适。术后常规复查头颅CT,提示四脑室肿瘤术后改变,术区少许积血;术后复查头颅MRI增强:术区轻度水肿,增强扫描未见明显异常强化结节(图2)。


图2. 术后CT平扫,四脑室肿瘤术后改变,术区少许积血。术后复查头颅MRI增强:术区轻度水肿,增强扫描未见明显异常强化结节。
术后第3天,患者出现腹胀、腹痛,伴恶心、呕吐。查体:腹膨隆,腹肌稍紧张,无明显压痛及反跳痛。急诊行床边B超:未见明显异常。予以胃复安、多潘立酮片治疗,症状未见明显好转。
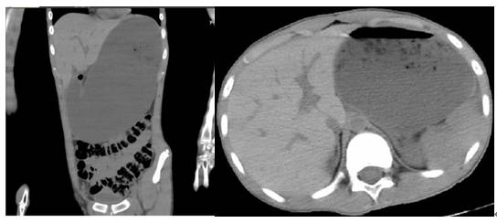
术后第4天,患者腹胀、腹痛较前明显加重,伴剧烈呕吐。肛门塞开塞露后有少量排便。查体:腹膨隆,腹肌稍紧张,无明显压痛及反跳痛。急诊行全腹部平扫:胃及十二指肠近段扩张,内见大量内容物淤积,并可见液平。诊断:“十二指肠近段梗阻提示,请结合临床。”(图3)。请普外科急会诊:考虑胃肠排空障碍,予以禁食、胃肠减压,生长抑素微泵维持及通便药物治疗。

图3. 全腹部CT平扫,胃及十二指肠近段扩张,内见大量内容物淤积,并可见液平。
术后第5天:患者腹胀、腹痛无明显缓解,查体:腹膨隆,腹肌紧张,全腹压痛、反跳痛。再次请普外科会诊:建议继续胃肠减压,予以抗炎、抑酸治疗,必要时予以泛影葡胺泛影钠复合剂造影,明确胃肠蠕动情况,加强补液,电解质监测。建议家属行泛影葡胺泛影钠复合剂造影,明确胃肠蠕动情况,家属要求暂缓此项检查。
术后第6天:患者仍腹胀,腹痛较前缓解。查体:腹膨隆,腹肌稍紧张,无压痛、反跳痛。再请普外科和消化内科会诊:考虑术后胃瘫可能,建议持续胃肠减压,行胃镜检查,建议放置肠内营养管,尽早改肠内营养。
根据会诊建议,遂行胃镜检查及内镜下空肠营养管置入术。术中所见如下:食管各段粘膜色泽正常,未见溃疡和异常隆起;贲门无异常;胃底可见一小糜烂及大量食物积聚;胃体粘膜光整,色泽正常,未见肿物和溃疡,胃角切迹粘膜光滑,未见白苔;胃窦部粘膜呈斑片状充血;幽门圆,开放好;十二指肠球,降部未见异常。诊断:慢性非萎缩性胃炎,胃潴留,胃底糜烂。
此后经鼻肠管予以肠内营养及对症支持治疗,患者腹痛、腹胀逐渐好转。患者于2017.5.2转当地医院继续治疗,出院当天患者诉腹胀较前明显好转,无明显腹痛。查体:腹部稍膨隆,肠鸣音弱,1-2次/分,无压痛、反跳痛。
出院后1周后随访,患者无腹胀、腹痛,胃肠减压及空肠管均拔除,已正常进食。
讨论
术后胃瘫综合征(postsurgical gastroparesissyndrome, PGS)是指排除了胃流出道器质性梗阻后的胃排空障碍所导致的恶心、呕吐、上腹饱胀等一系列的症候群。术后胃瘫综合征多见于腹部手术,尤其是胃癌根治术和胰十二指肠切除术后常见并发症之一。胃瘫一旦发生,常持续数周甚至更长时间,目前尚缺乏有效治疗方法[1,2]。
关于PGS的诊断,目前还存在较多争论,国际上尚无统一的诊断标准。国内多采用复旦大学附属中山医院提出的诊断标准[3]:经一项或多项检查提示无胃流出道机械性梗阻,但有胃潴留;胃引流量每天在800mL以上,并持续10d以上;无明显水电解质紊乱、酸碱失衡;无引起胃瘫的基础疾病,如糖尿病、甲状腺功能减退等;无应用影响平滑肌收缩药物史。本患者经过全腹部CT扫描及内镜检查,提示幽门圆,开放好,排除了胃流出道的机械性梗阻,CT提示严重胃潴留,胃肠减压引流量每天在1000ml以上,血化验未显异常,既往体健,术后也没应用影响平滑肌收缩药物史。根据上述诊断标准,本例患者术后胃瘫综合征诊断成立。
术后胃瘫综合征的确切病因及发病机制尚不清楚,目前认为可能与以下因素有关:
(1)手术因素:由于胃大部手术切除了远端胃、幽门,胃的完整性受到破坏,整个消化道内环境改变、紊乱[4]。
(2)神经内分泌因素:手术可通过多种途径激活抑制性交感神经反射系统,使胃肠交感神经活动增强。激活的交感神经纤维不仅可通过抑制胃肠神经丛的兴奋神经元抑制胃动力,还可以通过交感神经末梢释放的儿茶酚胺直接与胃平滑肌细胞膜上的α和β受体结合抑制平滑肌细胞收缩。近年研究表明迷走神经的损伤导致残胃运动减弱,影响术后胃张力的恢复,降低胃的储存和机械性消化食物的能力[4]。
(3)基础疾病:手术前营养不良,低蛋白血症、高龄、糖尿病等均为胃功能性排空延迟的高危因素。血糖水平可以影响胃动素的分泌和释放,血糖>10mmol/L时可以导致胃电节律失常以及胃内压降低,使得胃排空延迟。另外,糖尿病可致供应内脏的植物神经病变,使胃张力减退、运动减弱[2,4]。
(4)其他:术后腹腔感染、残胃炎等加重了胃瘫的临床表现并延缓了排空时间。精神极度紧张及患者对手术恐惧和焦虑,导致植物神经功能紊乱,从而影响胃排空[2-4]。
本例患者行四脑室肿瘤切除术,术后并发PGS,非常罕见。我们在Pubmed上检索相关文献,通过如下关键词的组合,“gastroparesis”, “intracranialtumor”, “brain tumor”, “craniotomy”, “brain”, “CNS tumor”, “central nervoussystem tumor”, “brain surgery”, “postsurgical gastroparesis syndrome”,共计检索到75篇文章。Reddymasu等[5]报道了两例延髓脱髓鞘病变导致的胃瘫,经过激素治疗后,脱髓鞘病变和胃瘫均明显好转。Reddymasu等[5]认为,胃瘫的原因是延髓脱髓鞘病变累及迷走神经背核,导致迷走神经受损,从而导致胃排空障碍,出现胃瘫。
迷走神经为混合神经,含四种纤维成分:躯体感觉纤维、内脏感觉纤维、躯体运动纤维和内脏运动纤维。一般内脏运动纤维起于延髓的迷走神经背核(迷走神经背核位于延髓迷走神经三角深面),此核发出的副交感节前神经纤维,在脏器内或其附近的副交感神经节内换神经元后,发出副交感节后神经纤维分布到胸、腹腔的脏器,控制平滑肌、心肌和腺体的活动[6]。迷走神经前、后干于贲门附近分别发出分支分为胃前支和肝支、胃后支和腹腔支:
(1)胃前支:在小网膜内循胃小弯向右行,分支分布于胃前壁和十二指肠上部。前胃壁支,常为3~4小支,分布到胃体前壁;“鸦爪”形支,分布于幽门窦、幽门管、幽门及十二指肠上部,此支与胃的排空运动有密切关系。
(2)胃后支:循胃小弯深面向右行,分支分布至胃后壁。有以下诸分支:胃底支,后胃壁支,常为数支,分布于胃后壁;“鸦爪”形支,分布于幽门窦和幽门管。与胃蠕动、胃感觉和胃酸的分泌相关[6]。
本例患者为第四脑室室管膜瘤,结合患者的术前MRI扫描,我们发现肿瘤累及延髓迷走神经三角。我们推测,手术损伤及术后的水肿均可能损伤迷走神经背核,从而损伤迷走神经的一般内脏运动纤维(一般内脏运动纤维起于延髓的迷走神经背核),进而导致胃排空障碍,出现术后胃瘫综合征。
术后胃瘫综合征的治疗方法很多,但目前尚无确切有效的治疗方法。因此,对PGS患者应采用综合治疗方法。包括严格禁食、禁水,持续胃肠减压,维持水、电解质及酸碱平衡,肠内及肠外营养支持,胃肠动力药物的应用[4,7]。多数患者经积极的非手术治疗后可于3~5周内恢复。患者胃动力的恢复常常突然发生,于1~2d内胃引流量明显减少,腹胀、恶心等症状很快缓解,即可拔除胃管,逐渐恢复饮食[4,7]。本例患者经对症支持治疗后,症状逐渐好转,在出院前,胃肠减压引流量明显减少,至术后2周余,拔除胃管,恢复饮食。
参考文献
1. Chen XD, Mao CC, ZhangWT, Lin J, Wu RS, Zhang FM, Sun XW, Chi CH, Shen X, Wang PF. A quantifiedrisk-scoring system and rating model for postsurgical gastroparesis syndrome ingastric cancer patients. J Surg Oncol. 2017 Sep;116(4):533-544.
2. 宋瑞,陈学谦,姜占武。手术后胃瘫综合诊治进展。中国现代普通外科进展,2009,12(6):511-513。
3. 秦新裕,刘凤林。术后胃瘫的诊断与治疗。中华消化杂志,2005,25(7):441-442。
4. 张维一,周辉,王强。胃瘫病因学与治疗进展。局解手术学杂志,2004,13(6):416-417。
5. Reddymasu SC, Bonino J,McCallum RW. Gastroparesis secondary to a demyelinating disease: a case series.BMC Gastroenterol. 2007 Jan 31;7:3.
6. 柏树令主编。系统解剖学。迷走神经章节,414-416。
7. Dong K, Yu XJ, Li B,Wen EG, Xiong W, Guan QL. Advances in mechanisms of postsurgical gastroparesissyndrome and its diagnosis and treatment. Chin J Dig Dis. 2006;7(2):76-82.
(本文由浙二神外周刊原创,浙江大学医学院附属第二医院神经外科郑建主治医师整理,张宏副主任医师审校,张建民主任审校并终审。)
往期回顾
浙二神外周刊(一百零八)--新发现AIP基因突变位点的家族性单纯性GH瘤家系一例
浙二神外周刊(一百零七)--自发性低颅压致双侧硬膜下血肿一例
浙二神外周刊(一百零六)--张建民教授牵头国家重点研发计划:“基于脑机接口的脑血管病主动康复技术研究及应用”正式启动
浙二神外周刊(一百零五)--颅骨板障表皮样囊肿合并慢性硬膜外血肿一例
浙二神外周刊(一百零四)--内镜辅助显微手术半椎板入路切除儿童颈髓腹侧肠源性囊肿一例
浙二神外周刊(一百零三)--颅骨缺损修补术后并发急性脑肿胀一例
浙二神外周刊(一百零一)--胶质瘤的病理特征与位置分布的关系
浙二神外周刊(九十九)--垂体生长激素腺瘤卒中伴发脑梗塞一例
浙二神外周刊(九十六)--桥小脑角脑膜瘤伽马刀后并发PICA血栓性动脉瘤一例
浙二神外周刊(九十四)--颅内表皮样囊肿自发破裂伴血清CA-199显著升高一例
浙二神外周刊(九十二)--鞍上毛细胞黏液样星形细胞瘤伴自发性出血一例
浙二神外周刊(九十一)--2017西湖神经外科论坛成功召开!
浙二神外周刊(九十)--以尿崩症为首发表现的Erdheim-Chester病一例并文献复习
浙二神外周刊(三十七)--垂体瘤伴发鞍结...
浙二神外周刊(三十六)--脑膜血管瘤病...




