2017年08月07日发布 | 751阅读

会议报道丨浙医二院-UCLA鞍区病变专题联合MDT讨论会成功举行

浙二神外周刊

浙江大学医学院附属第二医院神经外科美国UCLA罗纳德里根医学中心神经外科于北京时间2017年08月03日上午7:00-9:00(美国太平洋时间2017年08月02日下午4:00—6:00)举行了鞍区病变专题联合MDT讨论会。


会议由浙医二院神经外科主任张建民教授与美国UCLA罗纳德里根医学中心神经外科Marvin Bergsneider教授主持,双方鞍区病变MDT团队,包括神经外科医师、内分泌科医师、放射科医师及病理科医师等参与了本次讨论会。双方一共展示6例病例,围绕疾病诊断和治疗展开了深入的交流和讨论。浙医二院远程会诊中心进行了全程录播。


首先由UCLA Ooi医师汇报了一例广泛破坏斜坡并突入桥脑的脊索瘤病例,采取神经内镜下经鼻蝶入路全切肿瘤,神经功能保护良好。双方就如何进行鞍底重建、保护桥脑功能及术后放疗问题进行了讨论。


接着,由浙医二院神经外科蔡锋医师汇报了一例复杂的垂体ACTH腺瘤(库欣病)。该患者术前实验室、影像学检查及术中所见明确考虑为垂体ACTH腺瘤,但术后内分泌指标未完全缓解,病理未见明确肿瘤细胞。双方MDT团队的神经外科、内分泌科、影像科及病理科成员,分别就此病例进行了分析,并提出了下一步诊疗方案。


最终达成共识认为,该患者库欣病诊断明确,但存在多发病灶可能,建议进一步完善岩下窦采血(BIPSS),必要时再次探查。此外,双方还探讨了利用浙江大学7.0T超高场强磁共振对此类患者进行更精确的术前检查的可能性。


UCLA的第二个病例是一例侵犯视神经管伴右眼失明的鞍结节脑膜瘤患者。经过一期神经内镜下经鼻蝶视神经管减压、视交叉下肿瘤切除后,右眼视力好转,二期眉弓锁孔入路全切视交叉上方残余肿瘤。此类患者如何最大限度保护视力是临床面临的难点。双方就手术指证、手术方式及手术技巧分享了各自的经验。 


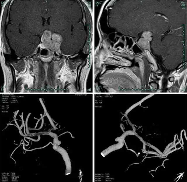
浙医二院的第二个病例是由闫伟副主任医师汇报的复发侵袭性垂体瘤合并双侧颈内动脉海绵窦段镜像动脉瘤。该患者治疗极具挑战性,因肿瘤侵犯海绵窦,并包绕后交通动脉;更为罕见的是肿瘤紧临双侧颈内动脉动脉瘤。该患者因肿瘤压迫造成视力减退,且为无功能性腺瘤,因此手术为首选方案。


但因前期已行支架辅助动脉瘤栓塞术,需服用抗血小板药物,这为手术进一步增加了难度。双方讨论后认为,患者需在停用抗血小板药物后尽早行手术治疗,而开颅手术可能较经鼻蝶手术安全性更高。


第五个病例是由UCLA提供的一例突破鞍隔并明显向上方、侧方侵犯的垂体腺瘤,行神经内镜下经鼻蝶扩大入路肿瘤切除术。术中见肿瘤与视神经粘连紧密,最终肿瘤全切,视力得以保留。该病例讨论的焦点是此类患者经鼻蝶入路的适应证,以及术中如何保护视神经。


第六个病例是由来自浙医二院的闫伟副主任医师介绍的一例罕见的鞍上毛细胞黏液样星形细胞瘤。由于患者年仅20岁,肿瘤切除后的后续治疗如何在减少肿瘤复发与预防并发症间取得平衡,是本例讨论的焦点。UCLA的Linda Liao教授是世界著名的脑肿瘤专家,综合患者的各项信息,她建议继续密切复查,这一提议也得到了我方的认同。


最后一个环节,由曾经在我科进行住院医师培训,目前已在洛杉矶凯撒医疗中心工作的Rudi Scharnweber医师分享了在中国培训的收获,以及对他目前工作产生的积极帮助。Scharnweber医师是至今第一位在中国进行正式培训的美国神经外科住院医师,这一项目的顺利实施,是浙医二院-UCLA神经外科深入合作的结果,同时也是对我科临床工作的高度认可。


目前,浙医二院神经外科与UCLA神经外科已在多个领域进行了全面深入的持续合作。其中,包括垂体瘤、颅咽管瘤、脊索瘤等鞍区病变一直是双方关注的重点,而我院的鞍区病变MDT团队成员多数具备UCLA及其他国外医学中心培训经历。此次会议是关于鞍区病变专题的第四次MDT讨论,双方的多学科协作团队悉数到场,就相关病例进行了深入细致的讨论。


而且,本次会议不再局限于回顾性分析,把更多的精力集中在尚需进一步治疗的疑难病例上,目的在于集合双方的经验和智慧,为患者提供最佳的诊疗方案。随着合作的深入与成熟,双方拟进一步在浙医二院建立“美国UCLA神经外科远程会诊中心(中国)”,为我国疑难复杂的神经肿瘤、癫痫等患者提供国际权威专家的视频及书面咨询服务。

 

本次会议视频回放地址如下:

http://www.ybolo.com/sys/videoCenter/vod/9999515836bd4c07b889259a9cc78585/-1/10186

http://www.ybolo.com/sys/videoCenter/vod/5b2add52cfe341928956700a36721778/-1/10186

http://www.ybolo.com/sys/videoCenter/vod/5c61587d51bd41f4b11dd335156e81d6/-1/10186


(本文由浙二神外研究生罗津奇整理,闫伟副主任医师、吴群主任医师校审,张建民主任终审)


最新评论
发表你的评论
发表你的评论