今天为大家分享的是由浙江大学医学院附属第二医院钱春华医师翻译,《神外资讯》常务编辑、海军军医大学附属长征医院神经外科徐涛医师审校的:侧脑室肿瘤手术技巧(Lateral Ventricular Tumors),欢迎观看、阅读。
Navigating the Ventricles

图1. 脑室内手术的先驱Walter Dandy展示经胼胝体及经皮质入路进入侧脑室的手术技巧(Dandy WE. The Brain. Hagerstown, MD: WF Prior 1966)。
侧脑室内肿瘤并不常见,但因入路困难及毗邻重要的间脑结构,对手术技术是一个特别挑战。此处肿瘤一般是生长缓慢的良性肿瘤,直到体积很大时才被察觉。
最常见的侧脑室肿瘤类型有星形细胞瘤、室管膜瘤、室管膜下瘤、脑膜瘤、中枢神经细胞瘤、脉络丛乳头状瘤及表皮样囊肿。以下是三个主要的肿瘤起源点:
(1)脑室内结构,如脉络丛和室管膜;
(2)室周白质延伸入脑室内;
(3)异位来源转移至脑室内。
脑室内肿瘤的主要血供包括脉络膜前动脉与后外侧动脉的分支,这些血管在手术切除时显露较晚。静脉引流常累及室壁静脉。多数肿瘤富血供,在深窄的手术通道内需要分块切除,易受出血干扰,需尽可能减少脑室内的出血,因此建议有计划地争取早期处理其血管蒂。
总之,脑室内病变的特点,如体积较大、位置较深和血管丰富,以及此类手术本身的特点如深窄的手术通道、周围正常组织的严格保护和重要神经功能的保留需求,都增加了手术切除的难度。
诊断与评估
侧脑室肿瘤诊断与评估的综合讨论,请参阅脑室肿瘤与脑室内手术原理等章节。

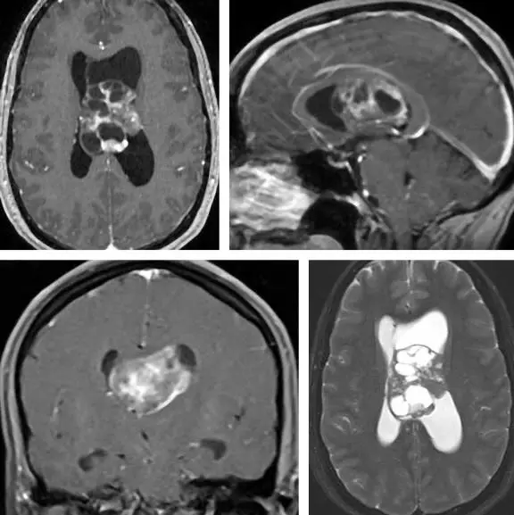
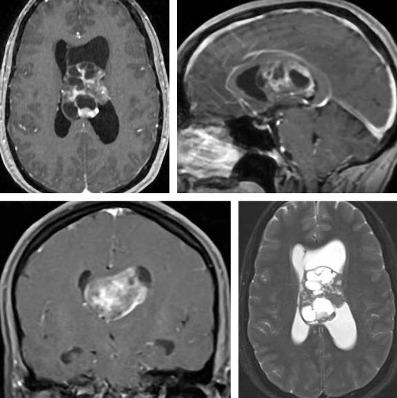
图2. 示一例中线巨大侧脑室神经细胞瘤(起源于透明隔)。笔者从左侧经胼胝体入路进入肿瘤,但因同侧扣带回遮挡视野以及肿瘤粘附于此处脑室壁无法充分暴露,未能完全切除肿瘤。因此也许选择顺应肿瘤长轴的右侧经顶下沟皮层入路更合适。
手术适应征
侧脑室肿瘤大多良性、生长缓慢,有机会选择合适的手术入路。然而病人常以急性梗阻性脑积水或者肿瘤内出血起病,需要急诊外科干预。安全的肿瘤全切有益于改善患者的症状、防止肿瘤进展及复发。
一些特殊类型肿瘤的适应征需要讨论,如偶然发现的室管膜下瘤的临床处理路径、利用影像学的常规随访评估等,仍存在较大争议。在明确有显著的肿瘤增大或病人出现症状时,方适用微创手术切除。
类似地,侧脑室内偶然发现低级别胶质瘤的处理也存在争议。对无症状者,常规影像随访是可接受的。总体而言,脑室病变的切除需要侵越正常脑组织,因此其带来的风险和生长慢的良性病灶的部分切除带来的获益之间,需要充分权衡。
是否选择外科手术切除脑室内的胶质母细胞瘤,高度依赖于患者的神经功能状态、肿瘤侵犯程度,以及病灶的尺寸与位置。侵犯穹窿,功能状态差,是仅行活检的适应征。
术前注意事项
众多因素影响术者对手术入路的选择。正常脑组织的一些层面是手术必经之路,因此入路选择很大程度上影响着手术结果,必须平衡入路选择的风险和获益。
笔者遵循脑室内肿瘤手术安全入路选择的几点原则:
1、最少的正常脑实质侵袭和牵拉损害;
2、沿肿瘤长轴可获得更大的操作角度,保证有效的肿瘤切除;
3、更早地暴露重要结构和肿瘤血供;
4、兼顾手术入路的技术难点。
选择手术入路时,操作复杂性是最后考虑的一点,深部病变提供了追求最小脑损伤的入路创新的机会(例如,对侧纵裂经大脑镰经楔前叶入路到达侧脑室三角区)。对于远离中线的侧脑室肿瘤,对侧纵裂入路提供了更灵活的操作角度。
笔者在经胼胝体入路前,常规放置腰大池引流,这样能使纵裂的分离容易很多。
术中解剖
从解剖形态来说,侧脑室是呈C形的囊,包绕丘脑和间脑结构。侧脑室被分为五段不同的区段,对入路设计分别有重要的特性。这些分区包括:前角(额角)、体部、房部(三角区)、颞角(下角)、枕角。更多细节请参阅脑室系统解剖章节。

图3. 侧脑室三脑室之间的经室间孔界面。此处解剖由透明隔、胼胝体、尾状核、丘脑和穹窿包绕形成。(图片来源:AL Rhoton, Jr教授)。
胼胝体是侧脑室最大的解剖边界,由前到后分为嘴、膝、体、压部等四段。膝部和压部应避免横切,避免胼胝体失联合综合征的风险。

图4. 穹窿是脑室内外科操作中需保护的重要解剖结构之一,主要由从海马连接至下丘脑的投射纤维组成。双侧穹窿沿丘脑周围形成弓形弯曲,融合于穹窿头端表面形成穹窿体部,融合后的穹窿沿着丘脑周围继续延伸,在邻近室间孔处又分离。在此水平,这些相对独立的结构投射至下丘脑和乳头体(左图)。右图示右侧脉络裂切开,显露三脑室顶部结构(M.P.Ch.A: Medial posterior choroidal artery, 脉络膜后动脉内侧支)(图片来源:AL Rhoton, Jr)。

图5. 纹状体也是脑室内手术的关键解剖结构。基本结构是尾状核,分为三部分:头、体和尾,尾状核深居侧脑室前角和脑室体的侧边,易受损害。在丘脑和尾状核之间,内囊膝部邻近脑室表面,直接贴着侧脑室壁,将近室间孔侧方(左图)。将隔静脉从丘纹静脉分离,能够显著地扩大经室间孔入路的空间(右图)(图片来源:AL Rhoton, Jr教授)。
脉络膜结构与肿瘤切除和血供阻断密切相关。脉膜丛粘附于侧脑室内壁的脉络裂。脉络裂为穹窿和丘脑之间的间隔,起源于室间孔附近,沿侧脑室体部、三角区和颞角方向延续。

图6. 术中需关注的关键血管解剖,包括:脉络膜前动脉、脉络膜后动脉内侧支(供应脉络丛),尾状核静脉和隔前静脉、脉络膜上静脉、房内/外侧静脉、丘纹静脉、脑室下静脉、脉络膜下静脉以及杏仁体和海马的静脉。主要引流静脉包括大脑内静脉和基底静脉,部分结构是可见的。经侧脑室的脉络裂与穹窿间入路如首行图所示(图片来源:AL Rhoton, Jr教授)。
侧脑室肿瘤的切除
建立手术通道的目标应该包括最少的脑组织侵袭、最优的操作空间以及合适的前后内外可视角度来观察深部病灶。
不同类型的肿瘤即使尺寸接近,但因为肿瘤的软硬质地、均一性和血供程度的不同,也需要不同的颅骨开窗尺寸和硬膜内操作通道, 这样才能为全切肿瘤提供所需的手术操作角度。深部的肿瘤限制了操作空间(“圆锥”现象)。动态的脑牵拉技术以及合适的脑内路径(沿肿瘤长轴)能保证在尽可能少的骚扰下最大程度的安全有效处理深部病变。
更多关于经纵裂和经皮层入路的信息,请参考手术入路章节(详见文末链接)。
这里将介绍其它相关细节内容。

图7. 仰卧(左图,肩垫高)和侧卧(右图)位时,患者头部的旋动范围较大,可使矢状缝与地面平行,颈椎可呈45度抬起,重力作用可使大脑半球自然下沉起牵开作用。

侧脑室中病灶的位置决定了手术入路的最佳方向,从前方、前外侧或后方,需经皮质或经胼胝体到达脑室内。有时术者选择一个特定的手术入路可能会造成争议,这可能与其培训背景带来的偏好有关。
经皮质入路的优势是可以避开矢状窦旁静脉,避免狭长的纵裂下蛛网膜的分离,然而不可避免地会损伤额叶投射纤维。笔者认为经胼胝体入路能提供更弹性的操作角度,特别是对较大、富血供的病变,带来的损伤更小。
一些报道提示经皮质入路增加了术后癫痫风险,但这个观点在后续的研究中未得到证实。利用神经导航恰当地定位、缩小皮质或胼胝体的切口,从而在保证了足够的术野暴露及病变切除空间的同时,减少术后功能障碍的风险。
本文将综合最优的手术暴露、最完全的病灶切除以及最小的通道损伤等原则,回顾较为普遍接受的侧脑室肿瘤的手术入路,并且这些入路能较好地保留脑室壁以及深部脑神经核相关的重要神经功能。
侧脑室前角手术入路
侧脑室前角是侧脑室内,室间孔前部的区域,其边界是外侧的尾状核头、内侧的透明隔,头端与尾端的胼胝体嘴部与膝部。经前纵裂经胼胝体或额叶皮质(额中回)入路达该区域为佳,以下将详述此入路。
经前纵裂胼胝体入路
胼胝体前部入路是处理位于脑室体部前2/3区域,病变主体局限于中线,向侧方延伸不多的病变的理想入路。可适用于仰卧曲颈位(鼻上抬)或侧卧位,头位偏转90度(见图7)。

图8. 采用发际线后方小冠状切口,横跨或仅位于冠状缝前方。尽管很多术者提倡马蹄形切口,采用仰卧头正中位(左图),但是笔者采用直线切口,仰卧位,头位偏转90度(右图)。该切口的走行设计据肿瘤位置而异;颅骨骨窗的后界不应到达中央前回(距冠状缝后方最多约3至4厘米)。腰大池引流后,纵裂的分离会较容易。
应用术中导航,在矢状窦上方钻孔;骨窗边缘刚好显露窦,但不显露对侧的窦旁硬膜,切开硬膜要避开静脉窦和窦旁桥静脉。
保护桥静脉很重要,这依赖于手术通路的设计。推移或松解桥静脉可以使硬膜瓣牵开更完全。

图9. 示前纵裂入路的右额小骨窗。注意静脉窦的暴露范围。
利用重力的作用牵开大脑半球,分离纵裂。扣带回通常是粘连的,轻柔的显微锐性分离可以避免软脑膜下损伤。同样,每一步操作都需要神经导航的引导。

图10. 大脑镰缝线牵拉上矢状窦,扩大纵裂入路空间。

图11. 利用显微外科技术解剖双侧扣带回间的裂隙,充分暴露。需要谨慎避免软膜损伤。注意勿将扣带回误认为胼胝体(黑色箭头)。此时胼周动脉清晰可辨(红色箭头)。注意扣带回间的解剖需充分,大脑半球可以一定程度地向下游离,创造空间。

图12. 两团棉球(白箭头示)塞入术区两侧,撑开扣带回间隙空间,可替代牵开器的作用。
扣带回表面常布小静脉,轻微的操作都可导致静脉撕裂,吸引器须调至小吸力。
激进的使用双极电凝止血是损伤性的,应避免;当有出血时,可用小棉片填压出血点,暂时转移到其它部位操作,几分钟后再回到出血部位,继续锐性分离。这样操作可以避免滥用双极电凝止血导致的皮层损伤。小静脉出血时电凝常常只会造成皮层损伤引发更多出血。钝性分离尽可能少用。
广泛的蛛网膜分离可以理想地松解大脑半球,避免脑压板的应用。早期释放脑脊液也有助于脑组织松弛,减少牵拉挤压引起的脑损伤。笔者一般沿着胼缘动脉寻找胼周动脉和胼胝体。扣带回往往粘连明显,显微分离困难。软膜下的骚扰会导致皮层损伤、增加术后癫痫的风险。
扣带回的颜色和胼胝体的亮黄色截然不同。两者不可误认。胼周动脉可能相互粘连或移位,显微剪刀的尖端可能损伤这些动脉,特别是不能直视剪刀尖端、动脉走行埋入扣带回下的陷隙时。要移开这些血管需要电凝并锐性分离供应胼胝体的小穿支。强行钝性分离会导致穿支断裂的出血风险。
倘惹不慎发生穿支撕裂,胼周动脉出血,笔者会将一片棉片覆于出血点,耐心、轻柔地压迫能有效止血,棉片则留在破口处。此情况下若尝试缝合破口通常是极困难的。
一般应妥善暴露胼胝体的大部长径,神经导航有益于精确定位,最大限度缩短胼胝体切开的长度,暴露病灶。肿瘤或脑积水的存在往往导致胼胝体变薄,如果可行,也可取胼胝体最菲薄处切开。
笔者尽可能偏离胼周动脉外侧进入脑室,胼胝体前部切开术分离了胼胝体膝部与压部,有短暂性分离综合征的小风险(如缄默、冷漠、运动减少、固定凝视、去抑制、失禁、单侧肢体无力、强迫性紧握、左右混淆)。这些并发症为胼胝体压部切开的主要风险。
胼胝体对应的脑室表面分布有小的室管膜静脉,应电凝止血,预防意外撕裂。利用丘纹静脉和脉络丛之间的解剖关系,判断是否准确进入脑室。当进入脑室,更多的脑脊液释放进一步松动了脑的活动性,之后腰大池引流需夹闭。
如果透明隔膨胀挤压暴露的脑室,那么应向对侧脑室开窗减压,双侧脑室梗阻的病例常规开窗。
须特别注意避免损伤内囊膝部,这个重要的解剖结构位于室间孔的两外侧,仅隔一层很薄的脑室壁,丘纹静脉起始于其内,汇入大脑内静脉。

图13. 示通过胼胝体切开的小口显露肿瘤包膜。笔者先于病变上方打开有限的小切口,当触及病变,探查到肿瘤包膜后,方可判断准确的方向并扩大胼胝体切口,使肿瘤暴露更好。术者根据经验,调整操作角度和牵拉,可以在有限的手术通道内完成很多操作。
理想的状态是手术早期就能发现肿瘤供血血管蒂,但是因为大肿瘤的占位遮挡通常很难实现。阻断血供是大肿瘤妥善切除和控制出血的必要操作。
早期则利用小棉片封堵室间孔,避免血性液体进入三脑室。然后应用显微技术将肿瘤减容、与周围结构分离、取出。吸引器前端不应直接接触脑室壁。穹窿和脑室静脉至关重要,不应为追求肿瘤全切而损伤。

图14. 肿瘤切除后,大脑内静脉(蓝色箭头)可见于瘤腔后方、穹窿开叉处。
经胼胝体入路的侧方空间有限,尤其是同侧。术者盲区通常位于同侧的胼胝体下方。部分病例甚至需要考虑神经内镜辅助。
为了看清完整胼胝体下方的肿瘤的前后极,需随时调整显微镜的视角。
经额叶皮质入路(经由额中回)
前方经皮质入路适用于起源于前角的病变,尤其适用于脑室大、非优势半球的病例。偏离中线明显向一侧膨胀生长的肿瘤不易采用经胼胝体入路的,可采用经皮质入路。
然而,这个方式确实牺牲了一些连合与投射纤维。罕见的短暂性障碍包括语言和注意障碍与该入路有关。优势半球病变的脑积水患者风险有所增加。
患者取仰卧位,头位向健侧偏转约20度。应用神经导航,设计皮质切口,从冠状缝前部额中回切开皮质,能获得最充分的操作角度,处理侧脑室前角、体部前份以及室间孔的病变。脑室内解剖标记同经胼胝体入路。
该入路的前后向与对侧的处理范围较局限。对皮质的损伤要大于经胼胝体入路。使用管型牵开系统可以将并发症的风险最小化。管型牵开系统操作细节请参阅胶样囊肿(经皮质入路)章节。

图15. 合理采用经额叶皮质经套管入路,处理非优势半球侧脑室前角较大病变伴脑积水。
侧脑室体部的手术入路
侧脑室体部是位于室间孔与透明隔后界、胼胝体与穹窿交汇处之间的区域。
侧脑室体部优选入路包括经前后纵裂胼胝体入路,也可选经皮质入路。经胼胝体入路提供更大的后方操作空间。
胼胝体切开于胼胝体体部,压部可保留。更多操作细节请参阅经后纵裂胼胝体入路之静脉间/静脉旁变体章节。尽管经额叶皮质入路的皮层切开可以选择性地向后移,但是包括了中央小叶在内的有功能的皮质,手术风险较大,限制皮质切口的后延。对于更靠后的肿瘤,经顶叶皮质入路(经由顶上小叶)则可选用。
侧脑室三角区/房部手术入路
侧脑室下一紧邻的部分是房部(也称三角区),是侧脑室体部、枕角和颞角之间的区域,房部边界包括内侧、外侧、前缘的胼胝体(大钳和毯部)连合纤维束。尾部边界是侧副隆起和禽距。
因为语言功能障碍的高风险,优势半球经顶下小叶皮质切开进入三角区应视为禁忌,也正因如此,经顶上小叶旁正中入路更普遍采用。总而言之,到达侧脑室房部最优的入路包括对侧经纵裂大脑镰楔前叶入路,同侧经后纵裂扣带回入路、经楔前叶入路,以及经顶叶脑沟(非优势半球)入路。
笔者首选对侧经纵裂大脑镰楔前叶入路到达三角区,因为该入路最少侵扰正常脑组织。将在专门章节讨论该入路,包括相关风险及替代入路。
同侧经后纵裂扣带回楔前叶入路
这个入路不同于经皮质入路,它避开了沿房部与枕角脑室壁走行的视放射后部,将术后视力障碍风险降到最低。然而需要相当大程度的牵位才能到达肿瘤的侧极。桥静脉经常会限制侧方视野。
经顶叶皮质入路(经由旁中央小叶/顶上小叶)
该入路可获得房部内侧与外侧病变的最佳显露。顶上小叶的边界包括前方的中央后沟、顶内沟和下方的缘上回。
神经导航辅助下行皮质切开,可保证入路刚好到达侧脑室侧方,这在优势半球的新皮质切开时有计算力缺失、运动不能和视觉加工障碍的风险,还包括牵拉损伤带来的同向偏盲偏瘫的意外风险。
另外需要关注的风险是动静脉畸形和富血供肿瘤无法控制的出血;供血血管蒂在此入路不易控制,往往需要切除病灶后才能显露。
对侧经纵裂大脑镰楔前叶入路
因为上述经皮质入路的不足,笔者采用了对侧经纵裂大脑镰楔前叶入路,该入路提供了半球间较充裕的操作通道,同时最大程度减少皮质侵犯。
采用该入路能从正面较早地显露发源于脉络膜动脉的肿瘤或动静脉畸形的供血血管,从而减少失血和难以控制大出血导致脑室内积血的风险。但是操作距离比较长,健侧半球也受到影响。
图16. 示对侧经纵裂大脑镰楔前叶入路及轨迹(画中画)。纵裂间入路在中央小叶后方。
经顶叶皮质、脑沟入路(经由顶下沟)
该入路宜用于非优势半球,病灶大而偏中线生长于侧脑室后部及三角区。对比 相应的经胼胝体入路,这个方式可以将操作角度与肿瘤长轴相匹配,减少手术盲区,提高肿瘤全切的机会。

图17. 非优势半球侧脑室后部及三角区的巨大脑膜瘤,非常适合顶下入路。注意定位、颅骨开窗和典型的肿瘤位置。肿瘤位置略偏前,从而对侧经纵裂大脑镰入路并不合适。
侧脑室下角手术入路
下角起始于房部前,终止于杏仁核后方。前界包括居中的终板,尾状核尾以及侧方的脑室毯。其它边界包括后方的海马、侧副隆起和中间的伞部和脉络裂。
下角肿瘤切除首选的手术入路包括前颞叶皮质切除、经颞叶皮质入路(经由颞中回)、经颞叶脑沟入路(经由颞枕沟)、经侧裂入路及经顶叶皮质入路(经由顶下小叶)。本章节将描述这些术式。
前颞叶皮质切除术
局限的前颞切除可以有效地暴露侧脑室下角前中部、大脑脚水平或前缘的病变。笔者喜欢采用这个入路处理该部位病变。
这个入路的缺点是切除皮质带来的神经功能缺失风险。然而有意识地限制颞中下回切除范围(距离颞极3.5cm内),即使优势半球,也可保证仅微乎其微的可接受的风险。更多细节,请参阅前内侧颞叶切除术章节。
图18. 传统前内侧颞叶切除术提供了侧脑室颞角前部完美的暴露。
经颞叶皮质入路(经由颞中回)
优势半球颞中回切开可能导致言语功能障碍的风险很高。语言功能区在优势半球定位存在变异,需皮层电刺激来确切定位语言区。非优势半球入路可以避免这个风险。反复牵拉也经常引起颞中回和颞下回的损伤。
经颞叶脑沟入路(经由颞枕沟)
该脑沟入路常用于侧脑室下角中部病灶。但最大的缺陷是术后视野缺损的风险,最常表现为上半四分之一象限的视野缺损。这个入路并不理想,尤其是优势半球手术。因此术前须慎重权衡利益和风险关系。
笔者不推荐该术式,笔者更愿意选择缩小的颞前叶皮质切除和直接进入脑室下角中部病灶的手术通道。针对更靠后、邻近禽距的病灶,笔者采用小脑上经天幕海马旁回入路。
经侧裂入路
该入路可适用于进入侧脑室下角前部,历史上该入路曾用于海马杏仁体切除术。更多细节,请参阅海马杏仁体切除术章节。
该入路主要优势是适用于优势半球杏仁核、海马前部和海马周围肿瘤长入侧脑室下角病例。经侧裂入路可避免优势半球颞叶上中下回的皮质切除。
笔者有时采用该入路处理优势半球海马前部和杏仁核的小病灶。术中需要松解和推移大脑中动脉分支,有血管损伤和痉挛的风险,因此术式较具挑战性。另外,该入路操作角度局限于侧脑室下角前部,因此对于侧脑室下角中部的处理不够灵活。总之,该术式适应征较局限。
图19. 经侧裂入路的通道比较局限,易损伤大脑中动脉分支。图示右侧杏仁体及海马前份切除。可见动眼神经。
经顶叶皮质入路(经由顶下小叶)
该入路缺点是皮质纤维分离时带来的神经功能损伤。进入优势半球颞顶交界处,损伤角回可能导致失语、失写、计算力缺失、视野缺损和手指失认症。
非优势半球,同样的入路有浅在风险导致视觉信息记忆受损、忽略和视野缺损。非优势半球侧脑室巨大肿瘤选择该入路是可行的。
侧脑室枕角手术入路
枕角位于房部后方,边界包括侧方和前方的胼胝体连合纤维、内侧的胼胝体压部隆起和禽距,以及后方的侧副三角。
内侧的距状皮质神经功能高度发达,因此枕角病变的手术入路一直有争议。任何枕叶经皮质入路均有可能导致同向视野缺损。
经后纵裂皮质入路
该入路较适用于已经影响视力的病例。枕角前部也易暴露。
枕叶皮质切除术
经枕叶入路的皮质切口选择枕上回,因此横切视放射。该入路应限于术前已经产生不可逆的同向视野缺损病例。
硬脑膜下手术技巧
术者进入脑室前,肿瘤边界与脑室壁的关系就应该心中有数。但对于充满脑室腔的巨大肿瘤,这似乎不太容易。
术者应该努力尝试尽早暴露肿瘤供血血管。脉络丛是发现供应脑膜瘤的脉络膜血管的良好标记物。胶质瘤和神经细胞瘤不一定存在明显的供血血管蒂,但通常可以在术前影像上发现确定的起源(如透明隔 )。
图20. 经顶叶皮质/脑沟入路(经由顶下沟)处理侧脑室房部大脑膜瘤一例(见图17)。轻轻推移肿瘤即暴露脉络丛来源的供血血管(画中画上图)。电凝供血血管(画中画下图)能够大大提高之后的手术效率。
为了可以松动肿瘤,下一步则先进行瘤内减压。周围血管通常不与肿瘤粘连,包膜外推移松动肿瘤比处理肿瘤外壁更安全。过多地骚扰脑室壁是脑室内手术术后并发症的最重要因素。

图21. 深部操作时盲点多,笔者会持续注意是否有隐蔽的重要神经血管结构。图示肿瘤已被仔细从深部的大脑内静脉分离,肿瘤的引流静脉已被解剖出来并电凝离断(画中画)。
个人观点
在侧脑室内操作时,笔者用小棉片填塞室间孔,预防血性液体流入三脑室。
累及静脉和穹窿,是决定肿瘤能否全切的决定性因素。虽然隔静脉并非不可或缺,但丘纹静脉和大脑内静脉对间脑是至关重要的。超声引吸器有助于肿瘤分块切除。减容后的肿瘤过度牵拉可能导致脑室壁意外损伤。
任何出血都应该即刻控制,但是无选择地电凝止血应该尽可能少用,避免正常结构的热损伤。持续冲洗保持术腔内干净易辨识,但是吸引器头应避免触及脑室壁。因为近肿瘤壁或底部操作的盲点多,笔者始终注意重要的结构,防患于未然。
手术时间长,姿势不舒适容易疲劳。术者应镇定耐心。牵拉残留瘤壁时避免过早过分分离,这样可能损伤瘤外相关的正常结构。
术区深部的操作空间愈加局限,肿瘤残留遗漏并非罕见。因此切除肿瘤后应花时间检查确认切除情况,此时内镜可大显身手。
关颅
脑室内尽量少用止血材料,否则可能易致术后急性脑积水。肿瘤切除后,妥善止血和冲洗。取净所有棉片,确保脑室之间无梗阻,留置脑室外引流,皮下固定引流管。
笔者不主张幕上手术时一定水密封合硬脑膜,即使是进入脑室系统的手术。
术后注意事项
术后注意事项和脑室肿瘤切除术后并发症的更多细节,请参阅脑室内手术原则章节。
基于侧脑室内室管膜瘤的共性,这类肿瘤随访时应注意以下关键事项。尽管罕见,但如组织病理学检查提示恶性,而术后影像已证实肿瘤未全切,则有指征应用放疗,并行脊椎影像学检查。
点睛之笔
病人筛选是脑室内手术第一重要的步骤。合适的入路设计、减少脑损伤,是保证手术效果的第二重要的步骤。
尽量避免对脑室壁的骚扰,这是术后并发症最重要的原因。
致谢: Benjamin K. Hendricks, BS
DOI:https://doi.org/10.18791/nsatlas.v4.ch05.4




