【Ref: Paz DA, et al. World Neurosurg. 2017 Mar;99:813.e7-813.e11. doi: 10.1016/j.wneu.2016.11.149. Epub 2016 Dec 11.】
表皮样囊肿是一种来源于外胚层的先天性良性病变,常规采用显微手术切除。病理学表现为由分层的角化鳞状上皮形成囊壁,瘤内主要内容物是细胞碎屑、胆固醇和角化蛋白等。一般发生在大脑轴线外部位;三脑室表皮样囊肿较少见。巴西圣保罗联邦大学神经外科的Daniel de Araujo Paz等报道1例在脑室镜下切除三脑室表皮样囊肿的患者,发表于2017年3月的《World Neurosurgery》上。
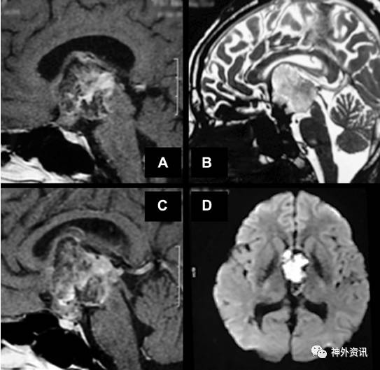
50岁女性患者,2年前因进行性头痛伴恶心呕吐入院。当时头颅MRI成像显示鞍区占位侵及三脑室,合并脑积水;术前考虑为颅咽管瘤(图1)。行脑室-腹腔分流手术。患者脑积水症状缓解。
图1. 首次入院的颅脑MRI成像。
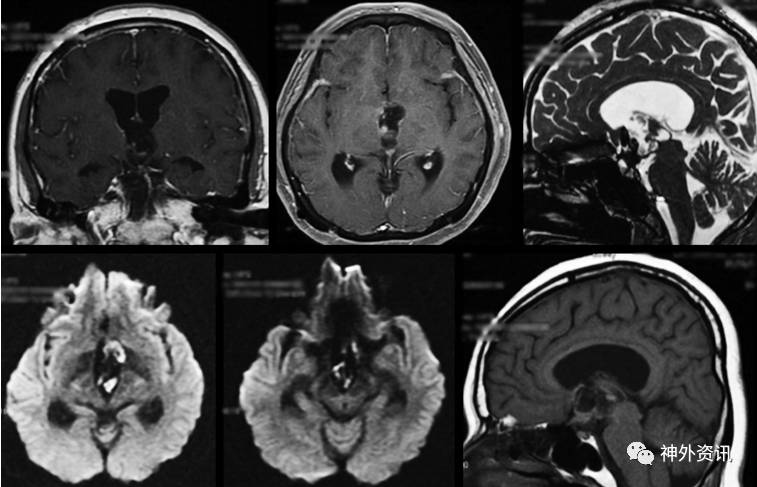
2年后,患者出现阵发嗜睡、定向障碍和精神淡漠等症状,持续时间从数小时至数天。已停经15年。神经系统检查发现嗜睡和定向障碍,伴视野缺损。内分泌检查显示激素水平正常。MRI成像提示三脑室内病变增大,T1加权为不均匀高、低信号,T2加权高信号(图2)。
图2. 第二次入院的颅脑MRI成像。
患者在脑室镜下行三脑室占位切除。仰卧位,头稍屈曲。于冠状缝附近、中线向右旁开2cm处切开头皮,颅骨钻孔。接着切开硬膜和皮质,置入脑室镜,通过室间孔到三脑室(图3),探查三脑室内肿瘤。术中见肿瘤有包膜,内容物呈珍珠状。分块切除肿瘤,送病理学检查。

图3. 术中脑室镜下见三脑室内白色的肿瘤。
患者术后头痛、精神萎靡和嗜睡等症状完全消失,视野缺损部分恢复。术后病理学检查结果符合表皮样囊肿(图4)。

图4. 送检标本于HE染色后表现为单纯鳞状上皮碎屑和角蛋白样组织。
术后复查MRI显示肿瘤次全切,垂体柄保护完整,脑室结构复位满意(图5)。随访6个月,肿瘤无进展和神经系统症状未恶化。
图5. 术后MRI显示肿瘤次全切除。
手术切除表皮样囊肿是首选的治疗方法。作者采用脑室镜下切除三脑室内的表皮样囊肿,达到微创、省时和减少脑血管等结构损伤的目的,是安全可行的。
(宁夏医科大学总医院李信晓编译,复旦大学附属华山医院花玮博士审校,《神外资讯》主编、复旦大学附属华山医院陈衔城教授终审)
相关链接




