今天为大家分享的是“强生医疗CNV-神经介入专栏”第二十一期,由第四军医大学唐都医院李江教授、哈尔滨医科大学附属第二医院李瑞岩教授带来的2例Revive SE支架取栓的精彩病例,欢迎观看。文章仅代表作者个人观点,如有不同见解,欢迎同道斧正!



Revive SE最大的特点是闭合式末端,取栓时将血栓保留在网篮内。再加上远端较小的网眼也可以避免血栓碎片逃逸。这一点可以在下面病例中体现出来。

李江,博士,第四军医大学唐都医院神经外科副主任医师、副教授、硕士研究生导师。2000年毕业于第四军医大学临床医学专业,一直在临床一线工作。擅长急性出血性及缺血性脑卒中、颈部及颅内血管狭窄、烟雾病、颅内动脉瘤、动静脉畸形、硬脑膜动静脉瘘、脊髓动静脉畸形、硬脊膜动静脉瘘等疾病的介入及手术治疗,尤其在急性缺血性卒中的静脉溶栓和机械取栓的治疗方面有较为丰富的临床经验。
于2008-2010赴香港大学神经科学中心担任访问学者,以第一作者发表SCI学术论文8篇,以第二作者发表SCI学术论文3篇,以第一作者发表国内核心期刊学术论文3篇,以非第一作者发表国内核心期刊学术论文11篇。以主要申请人承担国家自然科学基金青年科学基金项目1项、陕西省自然科学基础研究青年人才项目2项, 承担多名研究生的培养工作。

李瑞岩,中共党员、医学博士、副主任医师、硕士研究生导师,哈尔滨医科大学附属第二医院脑血管病病房副主任,擅长脑血管病的诊断和治疗。2009年在北京宣武医院研修、2013年在澳大利亚纽卡斯尔大学研修。在研国家自然科学基金项目一项,完成厅级课题两项,以第一作者发表SCI学术论文4篇。
病例一
患者:男性,64岁。主因“突发左侧肢体无力伴言语不清3小时”急诊入院。
病例特点:
1、患者中老年男性,突发起病。
2、患者既往因心房纤颤,于其他医院住院治疗。2017年3月11日7时30分无明显诱因突感头晕伴轻微头痛、心慌、气短,随后患者出现呕吐,非喷射样,呕吐物为胃内容物,急行头颅CT显示:未见明显异常,考虑急性脑梗塞。急诊心电图示:心率不齐,心房纤颤。建议转上级医院就诊。途中患者病情较前好转,左下肢肌力Ⅲ级,肌张力稍高,余肢体肌力肌张力正常,急转我科。按照卒中诊治流程行心电图、血常规、凝血、电解质检查后以“急性脑梗塞”收入院。急诊给予阿替普酶50mg静脉溶栓治疗。病后患者嗜睡,伴恶心、呕吐症状,放置口咽通气管,禁食水,未解大小便。
3、查体:体温37.2℃,脉搏95次/分,血压130/98mmHg。意识呈嗜睡,言语含糊,呼叫应答,闭目有力,双侧额纹、鼻唇沟对称,示齿口角稍右偏,鼓腮无漏气,颈软无抵抗。全身肌容积正常,左下肢肌力Ⅲ级,肌张力稍高,余肢体肌力肌张力正常。指指试验、指鼻试验稳准,无不自主运动。全身痛、温、触觉正常,音叉震动觉、关节位置觉及图形复合觉未见异常。双侧腹壁反射存在,双侧肱二、三头肌反射阴性,左侧跟膝腱反射略亢进,左侧巴彬斯基征阳性,脑膜刺激征阴性,余未见明显异常。NIHSS评分6分。



完善相关检查后,急诊行全脑血管造影术

示右侧大脑后动脉P1段不显影,右侧后交通动脉开放。左侧P1中段闭塞,左侧前循环无明显代偿。考虑该血管为责任血管,急诊行血管开通术。

术中用微导管将支架放置狭窄部位,术中见支架Mark显影良好,释放支架5分钟,回收支架,可见支架上附着血栓。

行血管造影示:双侧大脑后动脉显影,远端血管快速充盈,TICI:3级,术毕。患者言语较前流利,可准确应答,左侧肌力恢复正常,NHISS评分1分。
病例二
于某,男患,60岁,既往吸烟饮酒史,否认高血压、糖尿病病史,否认心脑血管病病史,入院心电图显示无房颤,2017年6月24日10点左右劳动中起病,突发言语不清,右半身无力,发病5小时,Nihss评分15分,行多模核磁小时左侧大脑中动脉急性闭塞,DWI和ADC显示仍然有可挽救的半暗带,发病6小时全麻下股动脉穿刺,取栓一次成功!



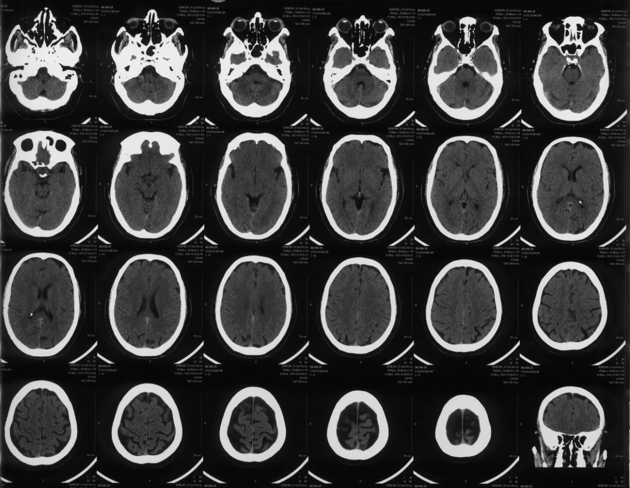
手术前的CT和多模MR


术前脑血管造影显示左侧大脑中动脉急性闭塞,代偿不佳

微导管通过血栓后造影显示远端血管通畅


使用ReviveSE取栓,一次成功
取出的血栓


术后观察30分钟,达到2b级血流,近分叉部的狭窄二期处理,细小下干未进一步取栓!回病房给予替洛菲班和复合量双抗治疗

术后即刻CT


术后12小时头CT,病人目前语言功能改善,右半身肌力3级以上


术后第三天,NIhss评分5分


术后48小时头CT
美国最新的DAWN实验的早期结论和MR CLEAN实验的补充实验的结论都为超时间窗的取栓治疗提供了非常好的依据,希望能早点得到我们中国自己的实验数据。
【强生医疗CNV-神经介入专栏】回顾





