【Ref: Wang W, et al. World Neurosurg. 2017 Jun 5. pii: S1878-8750(17)30860-4.doi: 10.1016/j.wneu.2017.05.158. [Epub ahead of print]】
开颅术治疗高血压脑出血是传统的手术方法,在快速地清除颅内血肿和缓解脑组织受压的同时,也可能带来较严重的手术创伤。微创手术治疗高血压脑出血,具有创伤小,手术时间短和麻醉风险低的特点。贵州省黔南州人民医院神经外科的Weijun Wang等报道104例微创手术治疗血肿量大的高血压脑出血患者的效果,文章发表于2017年6月的《World Neurosurgery》在线上。
作者将该院2012年4月至2016年8月收治的血肿量≥50ml的高血压脑出血患者,70例分入微创手术组和34例至开颅手术组;术后随访30天。微创手术组患者,依据CT扫描确定最佳穿刺点和穿刺路径。局麻下,在血肿侧额颞部作0.6-0.8cm长头皮切口,直到颅骨。采用手摇钻颅骨钻孔,用12F穿刺针向血肿方向穿刺,见陈旧性血液流出为止。接着,置引流管,沿着穿刺道推进1cm,并固定之。术后注入尿激酶液溶化凝血块,以利于引流。术后作CT扫描观察血肿大小变化,待大部分血肿清除后,拔出引流管。对血肿量较少的患者作单管引流(图1),血肿量多时给双管引流(图2);对血肿破入脑室的患者给予单管引流加侧脑室引流。开颅手术组,常规行开颅术清除血肿加去骨瓣减压术。
统计分析结果显示,两组患者的性别、GCS评分、血肿量均无显著差异。微创手术组患者年龄比开颅手术组高(p<0.05)(表1);微创手术组患者血肿引流均通畅,手术所致出血量5-10ml,手术时间10-20分钟,无麻醉意外发生,切口愈合良好,患者恢复较快。
表1. 微创手术组和开颅手术组的术前资料对比。


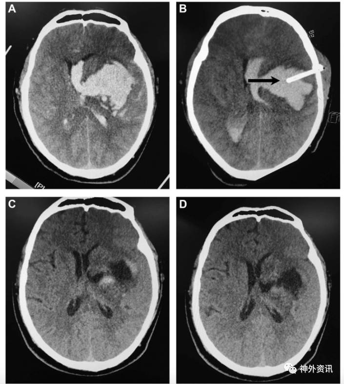
图1. 64岁男性患者,左侧基底节出血,血肿量约73ml。A.术前CT平扫;B.术后即刻CT平扫,见单根引流管在血肿腔内(黑箭头);C.术后第7天CT扫描,示血肿大部分已清除;D.术后2周CT扫描,示残余血肿完全吸收。

图2. 60岁男性患者,左侧基底节出血,血肿量约92ml;置两根引流管。
综上所述,微创手术治疗血肿量≥50ml的高血压脑出血患者是安全和有效的。相对于开颅手术,具有创伤小,恢复快的特点。
(浙江大学医学院附属第二医院沈醉编译,复旦大学附属华山医院王知秋教授审校,《神外资讯》主编、复旦大学附属华山医院陈衔城教授终审)
相关链接




