启事
“浙二神外周刊”不定期接收外院投稿,审核后发表。欢迎各专业同道联系我们,分享精彩病例、研究热点或前沿资讯。投稿请联系:shishi74@163.com
病史简介
患者,男,42岁,因“行走后左下肢疼痛4月余”入院。
4月余前患者行走1公里后出现左下肢疼痛,疼痛部位为左侧大腿内背侧,休息半小时后可缓解。外院查腰椎CT提示:L4/5椎管内占位, L3/4、L4/5、L5/S1椎间盘突出(正中型)。来我院就诊,查腰椎MRI示:腰4椎体水平椎管内占位。门诊拟“椎管内肿瘤”收住入院。发病以来,一般情况良好,大小便无殊,体重无明显增减。 余无特殊。
入院查体:双下肢感觉及肌力正常。反射正常,巴氏征未引出。
诊疗经过
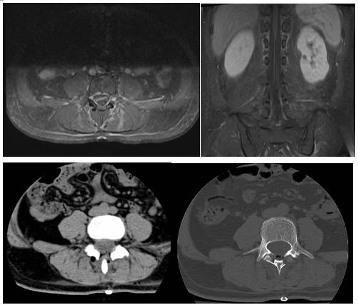
术前科室讨论,根据CT及MRI检查,诊断患者腰4椎管内占位明确,伴有明显钙化,性质考虑为神经鞘瘤或畸胎瘤等可能(图1)。有明确手术指征,患者及其家属商量后决定手术治疗。


图1. 术前CT及MR
完善术前检查后,全麻下行腰椎管内肿瘤切除术。术中见肿瘤位于腰4水平,靠脊髓背侧,肿瘤质地混杂,外壳部分钙化严重,内可见大量奶酪样物质,色白,质地软,部分肿瘤血供丰富。先在瘤内切除部分肿瘤减压,肿瘤体积缩小后,再分离肿瘤边界,肿瘤壁及骨化部分与多根神经根粘连明显,仔细分离后肿瘤基本全切除。
患者术后恢复可,术后左下肢疼痛消失,行走无殊。但出现轻度麻木,考虑神经与钙化壳粘连严重有关。复查腰椎CT及腰椎增强MRI显示肿瘤基本全切除(图2)。


图2. 术后CT及MR
病理结果
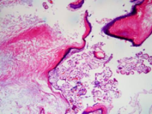
术后病理报告:腰4椎管内肿瘤:良性病变,可见纤维组织、钙化、少量角化物及胆固醇结晶沉积,无明确上皮,符合表皮样囊肿(图3)。


图3. 病理所见:角化性鳞状上皮,内含角化物,伴有慢性炎症细胞,胆固醇裂隙和异物巨细胞性肉芽肿。上图显示有明显钙化。
讨论
椎管内表皮样囊肿为少见肿瘤,而伴有钙化的椎管内表皮样囊肿尤为罕见。由于此类肿瘤临床表现缺乏特异性,肿瘤成分及比例复杂多样,影像表现各不相同,术前常不能得到准确诊断[1-3]。本例患者的症状及影像学表现,我们术前诊断认为脊膜瘤依据不足,考虑是椎管内神经鞘瘤或畸胎瘤可能,椎管内表皮样囊肿并没有首先考虑。
中枢神经系统表皮样囊肿约占颅内原发性肿瘤0.2%~1.8%,好发于青壮年,以桥小脑角区最为常见,其次为四叠体池、颅中窝、鞍上池及脑室系统,亦可发生于颅骨板障内。椎管内表皮样囊肿约占椎管内肿瘤的0.5%~1%,多位于腰骶部,其次为胸段,颈段罕见,以硬膜内髓外居多,少数位于髓外硬膜外和髓内。椎管内表皮样囊肿被认为有先天性和获得性两种类型。先天性表皮样囊肿常多因胚胎期第3~5周神经管闭合异常导致异位外胚层发育所引起,发病年龄以青少年为主,但也可以发生于中老年人,常伴有硬脊膜闭合缺陷相关表现,包括骨质发育异常(如脊柱裂、半椎体)、皮毛窦、脊髓脊膜膨出、脊髓纵裂、脊髓空洞症、肠源性囊肿等。获得性椎管内表皮样囊肿约占椎管内表皮样囊肿40%,最常见的病因为腰椎穿刺,还可见于脊柱创伤、脊髓麻醉术、枪弹伤、脊髓造影检查术后、脊柱或椎管内病变术后并发症等[4-7]。
椎管内表皮样囊肿生长缓慢,质地柔软,故患者大多发病缓慢,病程较长,临床症状及体征无明显特异性,50% 可无症状,常见的症状主要为邻近器官压迫症状为主,多在中青年被发现。临床症状与病变的部位和大小有关。多数患者临床症状轻微,随着病变的增大和对邻近组织的压迫,症状逐渐加重,且病程持续时间较长。轻者表现为病变节段软组织僵硬、肢体感觉减退,马鞍区感觉异常,四肢麻痹等。重者出现步态异常、渐进性背痛、进行性加重的双侧臀部疼痛,双下肢放射痛;四肢轻瘫、肌张力亢进、腱反射亢进;肢体感觉丧失等。有文献报道椎管内表皮样囊肿出现截瘫,认为可能与外伤等原因引起囊肿破裂有关,截瘫症状术后一般能得以改善。本例患者肿瘤位于腰1-腰3椎管内,症状主要表现为行走后左下肢疼痛[8-10]。
表皮样囊肿内含丰富的角蛋白、胆固醇结晶、脂类物质或钙化成分等,由于此类肿瘤成分复杂,根据肿瘤内成份的不同,在影像学上有各种不同表现。脊椎X线检查难以直接显示病变的存在,但是可以观察病变部位骨性椎管扩大等继发性表现,同时可以观察先天性病变伴随的发育性骨质异常,如脊柱裂、半椎体、融椎畸形、骨性脊髓纵裂等。典型表皮样囊肿的CT表现为病灶密度均匀,肿瘤密度较脑脊液密度更低,或肿瘤中呈现少量条索样均匀密度。不典型表皮样囊肿的CT表现有:肿瘤实质部位在平扫下呈现混杂密度,肿瘤中或肿瘤壁有点状、线状或弧形钙化灶。MRI是检查诊断椎管内表皮样囊肿的最好方法,根据肿瘤内成份的不同,MRI表现出低、等、高或混杂信号,囊内容物大致信号改变为T1WI低信号,T2WI高信号,且信号多不均匀;T1WI内可见等信号或高信号,T2WI内可见等低信号;病变周围为完整包膜,边缘清楚,各序列呈等信号。增强扫描,多数病变内容物无明显强化,部分病变可见周边线状强化,可能与病变边缘的反应性炎症有关。以下 MRI 表现有助于此类肿瘤的诊断:
(1) 肿瘤呈囊状且具有清楚的境界;
(2)肿瘤的信号以长T1长T2为多见,部分病灶特点复杂多样;
(3)肿瘤一般呈无增强低信号区;
(4)有的肿瘤常伴有其它畸形,包括椎体发育异常,皮毛窦,脊髓拴系,椎管内脂肪瘤等[11-13]。本例患者椎管内表皮样囊肿表现并不典型,钙化成分明显。
对于伴有钙化的椎管内占位性病变,除了表皮样囊肿以外,还需要考虑以下疾病:脊膜瘤;神经鞘瘤;畸胎瘤;皮样囊肿;神经中轴钙化性假瘤;骨寄生虫病;椎管内骨软骨瘤;瘤样钙盐沉着症;平滑肌瘤;节细胞神经瘤等。椎管内肿瘤术前诊断中影像学上的表现有交叉之处,定位诊断较容易,但定性诊断困难,尤其是一些少见病例,掌握各种疾病的特征性影像学表现,可以提高椎管内占位病变的诊断准确率。
病理诊断上,表皮样囊肿由囊壁和囊内容物构成。囊壁内侧常被覆复层鳞状上皮构成的上皮衬里,外侧为纤维结缔组织构成的囊壁,囊壁内一般无皮脂腺、汗腺、毛囊等皮肤附属器。囊内充满皮脂样物并可有少量钙化物。囊肿往往随着上皮衬里细胞的增生和(或)囊肿内角化碎片的脱落而有逐渐增大的倾向。本病例肿瘤组织病理提示纤维组织、钙化、少量角化物及胆固醇结晶沉积,无明确上皮,符合表皮样囊肿。
手术仍是治疗椎管内表皮样囊肿的最佳选择,对于部分钙化瘤体,如使用一般器械分块切除困难,常常需要用钳夹等将之夹碎后才能分块取出。肿瘤常与脊髓或神经根粘连紧密,有时切除非常困难,此时要耐心细致,切忌粗暴,必要时残留肿瘤,以免造成神经损伤[14]。
参考文献
[1] van Aalst J, Hoekstra F, Beuls EA, et al. Intraspinal dermoid and epidermoid tumors: report of 18 cases and reappraisal of the literature[J]. Pediatr Neurosurg, 2009, 45:281-290.
[2] Er U, Yigitkanli K, Kazanci A, et al. Primary lumbar epidermoid tumor mimicking schwannoma[J]. J Clin Neurosci, 2006, 13:130-133.
[3] Hongo K, Nakagawa H, Mizuno J. Mobile epidermoid tumours of the lumbar spinal canal[J]. J Clin Neurosci, 1998, 5:465-466.
[4] Refai D, Perrin RJ, Smyth MD. Iatrogenic intradural epidermoid cyst after lumbar puncture[J]. Case illustration. J Neurosurg, 2007, 106(4 suppl):322.
[5] Per H, Kumandas S, Gumus H, et al. Iatrogenic epidermoid tumor: late complication of lumbar puncture[J]. J Child Neurol, 2007,22: 332-336.
[6] Song JH, Kim MH, Shin KM. Intraspinal epidermoid cyst occurring 15 years after lipomyelomeningocele repair: case report[J]. J Neurosurg, 1999, 90:252-254.
[7] Ziv ET, Gordon McComb J, Krieger MD, et al. Iatrogenic intraspinal epidermoid tumor: two cases and a review of the literature[J]. Spine, 2004, 29:E15-E18.
[8] Morita M, Miyauchi A, Okuda S, et al. Intraspinal epidermoid tumor of the cauda equina region: seven cases and a review of the literature[J].J Spinal Disord Tech, 2012,25(5):292-298.
[9] Cincu R, Lazaro JF, Liesa JL, et al.Dorsal intramedullary spinal epidermoid cysts: Report of two cases and review of literature[J].Indian J Orthop, 2007,41(4):395-397.
[10] Munshi A, Talapatra K, Ramadwar M, et al. Spinal epidermoid cyst with sudden onset of paraplegia[J]. J Cancer Res Ther, 2009, 5(4):290-292.
[11] Hatipoglu HG, Daglioglu E, Yuksel E. Quantitative diffusion magnetic resonance imaging of intraspinal epidermoid cyst[J]. Neurol Neurochir Pol, 2008, 42(6):550-553.
[12] Caro PA, Marks HG, Keret D, et al. Intraspinal epidermoid tumors in children: problems in recognition and imaging techniques for diagnosis[J].J Pediatr Orthop, 1991,11(3):288-293.
[13] Woodley-Cook J, MacDonald M, Karamchandani J, et al.Epidermoid Cyst of the Central Nervous System with Marked Lipid Content[J].Clin Neuroradiol, 2015,25(3):317-320.
[14] Liu H, Zhang JN, Zhu T. Microsurgical treatment of spinal epidermoid and dermoid cysts in the lumbosacral region[J]. J Clin Neurosci, 2012, 19(5):712-717.
(本文由浙二神外周刊原创,浙江大学医学院附属第二医院神经外科蔡锋主治医师整理,徐锦芳副主任医师审校,李百周副主任医师、张布衣主治医师提供病理资料,张建民主任终审)
往期回顾
浙二神外周刊(一百零一)--胶质瘤的病理特征与位置分布的关系
浙二神外周刊(九十九)--垂体生长激素腺瘤卒中伴发脑梗塞一例
浙二神外周刊(九十六)--桥小脑角脑膜瘤伽马刀后并发PICA血栓性动脉瘤一例
浙二神外周刊(九十四)--颅内表皮样囊肿自发破裂伴血清CA-199显著升高一例
浙二神外周刊(九十二)--鞍上毛细胞黏液样星形细胞瘤伴自发性出血一例
浙二神外周刊(九十一)--2017西湖神经外科论坛成功召开!
浙二神外周刊(九十)--以尿崩症为首发表现的Erdheim-Chester病一例并文献复习
浙二神外周刊(三十七)--垂体瘤伴发鞍结...
浙二神外周刊(三十六)--脑膜血管瘤病...




