今天为大家分享的是《正海-妙术视界》第五十八期,由深圳市第二人民医院神经外科陈保东教授团队带来的“右岛叶胶质瘤切除术”精彩手术视频及讲解,欢迎观看与分享。
术者简介

陈保东,深圳市第二人民医院神经外科主任医师、医学博士、留美博士后、教授、硕士研究生导师,北京天坛医院深圳深圳脑科中心脑胶质瘤中心常务副主任、南方脑胶质瘤中心深圳中心副主任、深圳市神经外科学会脑肿瘤学组副组长、深圳市脑胶质瘤协作组组长、中国抗癌协会神经肿瘤专业委员会全国委员、广东省/广州市抗癌协会神经肿瘤委员会会员,Cell Mol Neurobiol 编委、《中华实验外科杂志》特约编委、《中华神经创伤杂志》编委,从事神经外科20余年。
手术难点
1. 岛叶是所有大脑脑叶中唯一隐藏在脑组织内部的高度发达的脑结构,位于外侧裂深部。岛叶功能复杂,目前认为与内脏感觉及运动、前庭功能和语言功能相关,在高级认知领域的功能界定也在逐步深入,如成瘾依赖、奖惩博弈及记忆等。由于岛叶位置深在,尤其是被表面的额颞顶叶构成的岛盖和大脑中动脉主干和分支构成的血管墙所包绕,岛叶原发性肿瘤的切除对于神经外科医师来说仍然是一个挑战。
2. 岛叶的血管结构复杂,岛叶表面行经及供血血管主要是大脑中动脉(middle cerebral artery,MCA),理解MCA的走行及供血范围,对于切除岛叶胶质瘤至关重要。岛叶的静脉回流由外侧裂的浅表静脉及大脑中深静脉引流,但变异较大,各个静脉引流区域范围并不恒定。在经外侧裂入路及颞叶的手术中,应避免损伤这些引流静脉,否则将引起严重的出血梗塞。
病例
1. 患者: 女性,30岁,患者因“意识不清,肢体抽搐10分钟”入院。
2. 一般情况:患者六天前凌晨无明显诱因出现全身抽搐症状,四肢抽搐、牙关紧闭、口吐泡沫、伴意识不清,呼之不应,月10分钟后上述症状自行缓解,意识转清,后自觉偷乐,恶心,乏力;急诊送深圳市龙华区人民医院就诊,行头颅MRI检查提示:右侧额叶后部,岛叶,基底节区见团状异常信号影,考虑星型细胞瘤(II级)。入院后予抗癫痫,营养神经等综合治疗,病情稳定:今为进一步检查来我院就诊,门诊拟“颅内占位”收入我科。近期有记忆力下降,无感染病史,本次起病以来,患者神经良好,胃口,睡眠可,二便如常。
3. 实验室检查:未见明显异常。
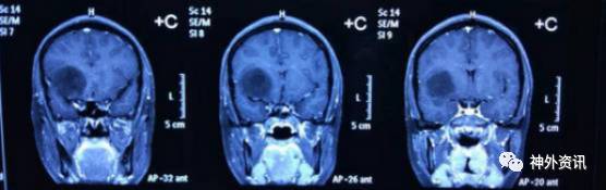
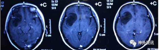
4. 影像学检查如下:



术前MR

术前波谱
手术过程

诊断:右侧岛叶占位胶质瘤
体位:仰卧位,头右偏45度

手术导航

岛叶解剖

岛叶血供

术前B超

手术过程

术中病理-冰冻报告


术中难点
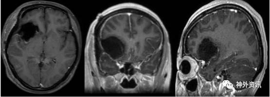
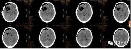
术后影像

术后CT

术后MR
术后分子病理报告


术后情况
患者术后神志清醒,进食可,未诉不适。无发热,头痛,呕吐,无肢体抽搐,心肺腹体查未见明显异常。四肢张力正常,生理反应存在。
术后一周出院,加入随访组列,以术后一月复查一次,之后1年内每3个月复查一次进行随访。
治疗前后对比


【正海-妙术视界】往期回顾
第二十四期:徐斌教授
第二十三期:朱巍、田彦龙教授
第二十二期:王林教授
第二十一期:洪涛教授团队
第二十期:贺世明教授
第十九期:张晓华教授团队
第十八期:刘振林教授
第十七期:张义教授
第十六期:钟东教授
第十五期:陈菊祥教授
第十四期:吴哲褒教授
第十三期:洪涛教授
第十二期:佟志勇教授
第十一期:王国良教授
第十期:蒋晓帆教授
第九期:骆纯教授
第八期:张俊廷教授
第七期:Hiroyoshi Akutsu教授
第六期:朱巍教授
第五期:于加省教授
第四期:吴劲松教授
第三期:徐斌教授
第二期:贺世明教授
第一期:钟平教授





