【Ref: Koutourousiou M, et al.World Neurosurg. 2017 Mar;99:500-517. doi: 10.1016/j.wneu.2016.12.001. Epub 2016 Dec 10.】
岩斜区脑膜瘤部位深在、并与重要的神经血管相邻和粘连,全切除肿瘤的手术风险较大,效果常不甚满意。美国匹兹堡大学医学院神经外科的Maria Koutourousiou等通过乙状窦后入路(RSA)、远外侧入路(FLA)、内镜下经鼻蝶入路(EEA)以及联合入路切除岩斜区不同位置的肿瘤,探讨不同手术途径达到的切除肿瘤程度与患者预后、并发症发生率的相关性以及如何正确选择手术入路,结果发表于2017年3月的《World Neurosurgery》上。
作者收集2008年8月至2012年12月在该医疗中心进行手术的岩斜区脑膜瘤患者资料,排除单纯斜坡或岩骨区脑膜瘤患者,最终纳入32例。其中,男性12例,女性20例;平均年龄为54岁。24例为初次治疗,8例曾有该区域脑膜瘤治疗史。依据影像学检查选择不同的手术入路,切除岩斜区不同位置肿瘤。术后平均随访14个月;采用KPS评分对患者术前、术后的整体神经功能进行评价。通过MRI成像比较术前、术后肿瘤大小,评估肿瘤切除程度。肿瘤切除体积≥90%为全切除或近全切除,≥70%为次全切,<70%为部分切除。
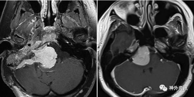
当肿瘤生长偏向岩骨嵴、伴或不伴侵犯内听道(IAC)或海绵窦时,选择乙状窦后入路。远外侧入路适用于肿瘤靠近岩斜区下方、延伸至颈静脉孔或舌下神经管外侧。对于大多数未延伸至内听道、颈静脉孔或舌下神经管外侧的肿瘤,选择内镜下经鼻蝶入路较合适。如果肿瘤涉及广泛,可采用EEA与RSA或FLA联合入路(图1)。

图1. 依据肿瘤的影像学特征选择手术入路。岩斜区脑膜瘤扩展至小脑桥脑角和侵犯内听道时,选择乙状窦后入路(图左);位于岩斜区中部向外上扩展至内听道水平的脑膜瘤,可采用内镜下经鼻蝶入路(图右)。
结果显示,术前患者KPS评分平均为73.8;肿瘤大小与KPS评分呈反比,肿瘤≥4cm与<4cm的患者KPS平均评分分别为66.8与83.8,二者之间有显著性差异(p=0.001);初发肿瘤、肿瘤体积<4cm及肿瘤血供不丰富的患者术后KPS评分增高明显;年龄不影响手术入路的选择和肿瘤切除程度,KPS评分与患者年龄无相关性。根据术前MRI成像结果和肿瘤特征,11例采用乙状窦后或远外侧入路,17例为内镜下经鼻蝶入路,其余4例采用二者的联合入路。
患者术前的神经功能状态与肿瘤大小、肿瘤血供情况相关(p=0.001和p=0.009);肿瘤体积越小和血供缺乏则全切率越高。术后84.2%患者症状显著改善,68.8%患者吞咽或发音障碍得到改善甚至完全解决,仅有1例患者出现短暂的发音障碍加重,数周后恢复至正常。
岩斜区脑膜瘤手术目的是缓解脑干和颅神经受压症状。32例岩斜区脑膜瘤患者中,6例全切除肿瘤,9例近全切除。统计学分析显示,侧方入路即RSA或FLA入路的肿瘤全切率高于其他入路。但肿瘤侵犯Meckel腔和海绵窦者不要求全切除。肿瘤大小和肿瘤血供状况是影响肿瘤切除程度的最重要影响因素;肿瘤<4cm,选择何种入路均有较高的全切率。
手术并发症中,53.1%患者新发永久性颅神经病变,但均在可耐受范围内;颅神经症状多发生于侧方入路或联合入路。该症状与在岩斜区穿行颅底裂孔的神经和动脉解剖相关(图2)。无论选择何种入路,第Ⅵ颅神经受累最常见。脑脊液漏发生率为28.1%,常出现在内镜下经鼻蝶入路,其次是侧方入路;二者联合入路中脑脊液漏的发生率很低。

图2. 岩斜区颅底裂孔与颅神经、颈内动脉解剖示意图。
综上所述,岩斜区解剖结构复杂,手术显露困难,处理岩斜区脑膜瘤常需要多种手术入路联合施行。由于大多数脑膜瘤生长缓慢,可采取创伤较小的手术路径切除肿瘤。手术的主要目的是为脑干减压,同时在较低病残率的前提下尽可能全切除肿瘤。根据肿瘤位置选择合适入路是处理岩斜区肿瘤的原则,乙状窦后入路和内镜下经鼻蝶入路替代经岩骨入路处理岩斜区脑膜瘤,可以显著提高患者的临床预后,最大限度减少手术并发症。
(宁夏医科大学总医院李信晓编译,复旦大学附属华山医院王知秋教授审校,《神外资讯》主编、复旦大学附属华山医院陈衔城教授终审)
相关链接




