今天为大家分享的是《颅脑创伤-神经重症病例周刊》第二十一期,由第四军医大学西京医院神经外科闫志强、费舟带来的病例分享:手术治疗服用阿司匹林伴严重血小板减少症脑出血一例。文末分别由南方医院神经外科创伤重症组主任、“神外资讯中国颅脑创伤-神经重症专家组”委员邱炳辉教授,山东大学齐鲁医院急诊神经外科主任、“神外资讯中国颅脑创伤-神经重症专家组”委员黄齐兵教授对病例做出了精彩点评,欢迎阅读。
【颅脑创伤-神经重症病例周刊】往期回顾
临床资料
患者郭某某,男,65岁,主因“突发头痛伴左侧肢体无力2小时,加重伴意识障碍5小时余”于2017年1月30日入院。患者缘于2017年1月30日早餐后突发头痛伴左侧肢体无力、言语不清,被家人送当地医院,行头颅CT检查示:右侧基底节区脑出血,量约20ml。给予保守治疗,上述症状逐渐加重,并出现呕吐,约2小时后出现意识障碍,呼之不应,因当地医院条件有限,转我院,转院前未见瞳孔散大。
既往患高血压病5年,长期服用降压药物,血压控制可。患肝硬化6年,未予特殊治疗。近期有服用阿司匹林病史,100mg/日。入院后患者血压196/103mmHg,余生命体征尚平稳,神志昏迷,右侧瞳孔散大,直径约4mm,对光反应消失,左侧瞳孔直径约2mm,对光反应迟钝,左侧肢体偏瘫,病理征阳性,全身未见皮下出血、瘀斑等,静脉穿刺针眼处未见明显淤青。
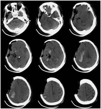
急查血常规示:Hb128g/L,PLT58×109/L,HCT36.5%(考虑强力脱水因素,上述数值有虚高可能)。凝血功能示:PT12.3 s、APTT26.10 s、FIB1.68 g/L。血栓弹力图示:MA46.1mm,提示血小板功能低下。生化示:白蛋白33.6g/L,总胆红素43.4μmol/L,间接胆红素35.5μmol/L。头颅CT示:右侧基底节区脑出血,量约70ml,中线结构左移,环池显示不清(Fig.1)。腹部CT示:肝硬化、脾大。
入院诊断:
1.右侧基底节区脑出血,
2.右侧颞叶钩回疝,
3.高血压病Ⅲ级,
4.肝硬化,
5.血小板减少症,
6.低蛋白血症。

Fig.1入院时头颅CT示右侧基底节区脑出血
病情分析
患者右侧基底节区脑出血,量大,症状进行性加重,且短期内两次CT显示血肿量明显增大,提示活动性出血,已出现脑疝,严重威胁患者生命,需要立即行开颅探查颅内血肿清除术,必要时行去骨瓣减压术。但近期有服用阿司匹林病史,血小板水平严重低下(58×109/L)、血栓弹力图亦提示血小板功能低下(MA46.1mm),凝血功能示:PT12.3 s、Fib1.68 g/L。外科学(人民卫生出版社第八版)示:外科手术前阿司匹林需停用7天以上,神经系统手术血小板不应低于100×109/L,其他部位较大手术血小板亦不应低于75×109/L。且肝硬化、低蛋白血症也属于手术相对禁忌。
矛盾
该患者血小板严重低下,且有阿司匹林服用史,不可逆抑制血小板功能,导致该患者血小板不仅数量少,有限数量的血小板功能还差,加之纤维蛋白原水平低,凝血功能严重障碍,属手术禁忌,同时伴有低蛋白血症、肝硬化等多项相对手术禁忌。但患者颅内血肿量大,已出现脑疝,保守治疗效果差,如不急诊手术,生存几率极小。
处置
取得家属充分理解后,在急诊输血小板、血浆等的同时,急诊在全麻下行右侧基底节血肿清除+去骨瓣减压术,术中以去骨瓣减压为主,不强求全清血肿,术前备充足血制品。
术程顺利,清除大部分血肿,考虑患者凝血功能差,且局部暴露差,顶部少许血肿未追求全清。术中出血约300ml,输红细胞2u,血浆200ml,血小板10u。术后神志昏迷,右侧瞳孔较术前缩小,直径约2mm,对光反应消失,带气管插管返回NICU。
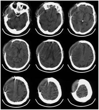
术后床旁移动CT复查头颅CT如Fig. 2所示,清除大部分血肿,少量血肿局部残留。复查血常规示:Hb104g/L,PLT50×109/L,HCT30.3%。给予脱水、抗感染、止血、神经保护、升血小板、营养支持等综合治疗,患者病情逐渐平稳。后出现肺部感染、上消化道出血等相关并发症,给予相应治疗后均好转。2017年2月16日右侧瞳孔对光反射恢复。2017年2月19日复查头颅CT示血肿基本吸收,中线结构无明显移位(Fig.3)。患者意识状态逐渐改善,于2月23日患者神志朦胧,可简单完成遵嘱动作。于2月27日出院,转当地医院康复治疗,出院一周后患者完全清醒,语言清,左侧偏瘫,左侧肢体肌力1-2级。

Fig.2术后复查头颅CT示血肿大部分被清除

Fig.3术后19天复查头颅CT示血肿基本吸收
预后
现患者术后4月余,已出院回家康复,精神一般,睡眠、饮食可,体温正常,大小便正常,血压控制可,左侧偏瘫,可坐轮椅外出活动,未诉头痛等不适。查体:神志清,语言清,生命体征平稳,左侧肢体肌力2-3级。
体会
血小板减少症、服用阿司匹林等抗血小板药、纤维蛋白原水平低、凝血功能障碍均为手术禁忌,但有些特殊情况下,不能生搬硬套教科书。
例如该患者,已出现脑疝,脱水等保守治疗效果差,严重威胁患者生命,如先行纠正凝血功能,不立即手术,患者生还可能极小。结合患者全身未见皮下血肿、静脉穿刺针眼未见明显淤青等,判断患者凝血功能尚不至于极其糟糕,故我们边输血小板、血浆等改善凝血功能,同时行右侧基底节血肿清除+去骨瓣减压术,术中根据凝血功能决定单纯行去骨瓣减压还是同时清除血肿,且不强求全清血肿,术中出血较多,但尚可控,故清除大部分血肿。因手术及时,脑疝时间短,患者预后尚可。即使患者凝血功能极差,出现脑疝等立即危及生命的征象,且保守治疗效果差时,亦应在家属充分理解的基础上,在纠正凝血功能的同时,积极考虑血肿穿刺引流等外科措施,尽力挽救患者生命。
精彩点评
感谢西京医院带来的1例典型的合并凝血功能障碍自发性脑出血手术治疗成功的病例报告,自发性脑出血合并凝血功能障碍包括华法令、口服新型抗凝药物、抗血小板治疗等,总体治疗原则包括预防和控制再出血、纠正凝血障碍、根据血肿清况和临床状态实施手术或保守治疗等,该病例在以上原则下治疗成功,作者已有点评。但回顾这个病例的治疗,个人有以下观点:
1. 出血后当地医院的血压控制和凝血障碍监测和纠正欠缺,与血肿增大可能相关;
2. 术前凝血功能障碍评估已结合凝血检查和TEG,口服血小板还应评估血小板抑制率,积极纠正该病例的凝血功能障碍包括输纤维蛋白原、血小板,必要时DDAVP可能更合理;
3. 外科手术方案的选择,该病例术前临床表现脑疝,影像学脑沟脑回脑池尚可,继发性脑损伤可能并不一定会很严重(和TBI可能不完全一样),再加上该病例的凝血功能,可以选择的手术方式有小骨窗或锁孔血肿清除术,穿刺置管引流,如果能联合ICP监测最好,不一定要实施预防性去骨瓣减压术。
邱炳辉 教授
南方医院神经外科创伤重症组主任
精彩点评
很成功的脑出血救治病例。随着老龄化、服用抗栓药物的常态化,临床一线遇到的类似病人越来越多。并且这例病人同时还合并有肝硬化,血小板、纤维蛋白原低下。对于这种病人的处置如果没有脑疝积极的纠正凝血功能障碍是首选的,如果患者血肿量大危及患者生命,积极开颅手术减压清除血肿同时输血纠正凝血功能障碍是正确的,术中不强求血肿清除完美、减少手术操作时间也是正确的,术后去除骨瓣减压也是必须的,术后病人的管理也很到位。
黄齐兵 教授
山东大学齐鲁医院急诊神经外科主任
【颅脑创伤-神经重症病例周刊】往期回顾






