启事
“浙二神外周刊”不定期接收外院投稿,审核后发表。欢迎各专业同道联系我们,分享精彩病例、研究热点或前沿资讯。投稿请联系:shishi74@163.com
病史简介
患者,女,58岁,因“肝肾多发囊肿合并肾功能不全10年,检查发现颅内动脉瘤1月”,来我院就诊。
患者1月前因“肝肾多发囊肿并肾功能不全10年,加重1月”就诊于上海某医院,腹部MRI检查示肝肾多发囊肿(图1),予以护肾调节肾功能等对症支持治疗,住院期间(2017年4月15日)行头颅MRA检查提示:颅内动脉瘤。无头痛头晕,无肢体抽搐,无复视及视物模糊。半月后回当地医院进一步行全脑血管造影检查,提示:右侧后交通动脉瘤。为求进一步治疗,患者来我院就诊,门诊以“右侧后交通动脉瘤”收住病房。

图1. 外院腹部磁共振提示多脏器囊肿(肝,肾)。
既往史:多囊肾、肾功能不全、高血压病史10余年,口服螺内酯 20mg BID、呋塞米 40mg BID,血肌酐基本控制于180μmol/L水平,血压控制可;多囊肝病史10年余,肝功能正常。免疫性血小板减少症病史半年口服泼尼松片12.5mg QD,血小板控制于正常范围内。
入院查体:神清,满月脸,自主睁眼,言语清晰,对答切题,双侧瞳孔等大等圆,对光反射灵敏,四肢肌力及肌张力正常,颈软,双侧病理征阴性,双下肢浮肿明显。
诊疗经过
患者入院后完善相关检查,肾功能示:肌酐204μmol/L;尿素氮14.28mmol/L。考虑患者肾功能欠佳,请我院肾内科会诊并对症治疗后,复查肾功能:肌酐154μmol/L;尿素氮13.09mmol/L。
凝血功能及血小板计数均在正常范围内。阅当地医院DSA造影,提示右侧颈内-后交通动脉瘤(图2); 3-D重建后示: 囊性动脉瘤位于右侧颈内动脉-后交通动脉交叉处,前外侧朝向(图3)

图2. 当地医院DSA,前后位示:A:右侧颈内-后交通动脉囊性动脉瘤(箭头所示);左侧颈内动脉系统未见明显异常。

图3. 3D重建:囊性动脉瘤位于右侧颈内动脉-后交通动脉交叉处,前外侧朝向。
科室术前讨论,据患者病史、影像学检查结果及检验结果,诊断考虑:右侧颈内—后交通动脉瘤。手术指证明确,由于存在肾功能不全,考虑介入治疗造影剂对肾功能的影响,建议行右侧后交通动脉瘤开颅夹闭术。
完善相关术前准备后,采用右侧眶上外侧入路开颅。打开视交叉池及颈动脉池,释放脑脊液降脑压,抬起额叶,暴露视神经及颈内动脉(图4A,B),进一步探查可见动脉瘤并分离瘤周蛛网膜完全暴露动脉瘤(图4C,D),动脉瘤与常见动脉瘤显微镜下无明显区别,使用弧形动脉瘤夹夹闭动脉瘤(图5A,B),探查见动脉瘤完全夹闭无瘤颈残留且穿支血管保留完好(图5C,D)。

图4. 右侧眶上外侧入颅开颅行动脉瘤夹闭术。逐步打开视交叉池和劲动脉池,释放脑脊液,暴露颈内动脉、视神经(A、B);进一步向内探查可见动脉瘤,并钝性分离瘤周蛛网膜(C、D)。

图5. 完全暴露动脉瘤后临时阻断右侧颈内动脉及右侧后交通脉并夹闭动脉瘤(A、B);进一步探查动脉瘤完全夹闭且穿支血管保留完好(C、D)。
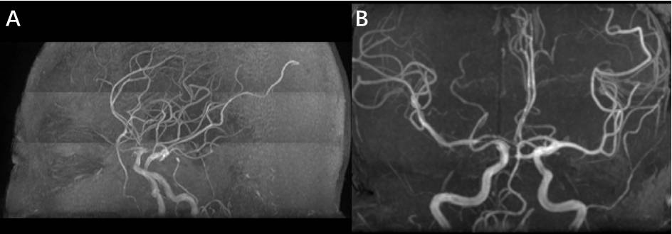
患者术后一般情况良好。术后第一天复查头颅MRA见动脉瘤完全夹闭,未见明显瘤颈残留(图6)。因肾功能不全且MRA复查无明显残留,所以为了减少肾功能损害术后未复查DSA。患者恢复良好,于术后7天出院。

图6. 术后第2天复查MRA见动脉瘤完全夹闭,未见明显瘤颈残留,颈内动脉及后交通动脉未见明显狭窄,A:右侧位;B:前后位。
讨论
多囊肾病(polycystic kidney disease, PKD)是人类最常见的单基因遗传病之一,按其遗传方式可分为常染色体显性多囊肾病(ADPKD)和常染色体隐性多囊肾病(ARPKD)[1]。通常认为ADPKD为成人型PKD,ARPKD为婴幼儿型PKD。ARPKD发病率低、临床较为罕见,绝大多数婴幼儿患者因严重的肺发育不良在疾病早期死亡。ADPKD是发病率最高的遗传性肾病,发病率约为1/1000,早期常无临床症状,随着年龄增长、多囊肾体积不断增长并对肾实质及肾血管压迫损害,进而出现临床症状并进行性加重[1,2]。ADPKD主要病理特征为双肾出现许多大小不等的液性囊泡,囊泡进行性增大,破坏正常肾脏结构和功能,最终导致尿毒症。ADPKD除累及肾脏外,肝、胰、心瓣膜、结肠以及颅内血管亦可受累,故ADPKD患者常合并多囊肝、颅内动脉瘤、心瓣膜发育异常等肾外病变。本报道中该患者虽未行基因检测但追问病史家族中无PKD遗传病史,故根据其发病年龄、临床表现和影像学检查结果考虑ADPKD。
ADPKD是第一个被报道与颅内动脉瘤相关的累及全身各系统的遗传性结缔组织疾病,也是最常见可危及生命的遗传性疾病[3]。随着临床研究和动物实验的进展,关于ADPKD患者并发颅内动脉瘤的机制得到进一步阐明,目前诸多证据表明颅内动脉瘤主要由ADPKD基因变异所致。目前在染色体上发现至少2个以上异常基因(PKD1和PKD2),分别位于第14号和4号染色体上[4]。大约85%ADPKD是由PKD1基因变异引起,该基因编码polycystin1蛋白,此蛋白的功能在于协调细胞与细胞、细胞与基质之间的交流,在维持结缔组织结构完整性上发挥重要作用。其余的ADPKD由PKD2基因变异所致,它编码polycystin2蛋白,后者与电压门控性钙离子通道蛋白同源。在polycystin1蛋白与细胞外基质配体信号传递中,polycystin2蛋白起到一定的协调作用。
最新的实验证据表明[5],PKD1和PKD2在维持血管结构完整性上都发挥各自的作用。在同种PKD1基因变异的鼠纯合子胚胎上可见到血管缺失和动脉破裂,在同种PKD2基因变异的鼠纯合子胚胎上则可见到局部出血。在正常成年弹性血管壁的血管平滑肌细胞上PKD1和PKD2基因通常充分表达,而在动脉瘤瘤壁的血管平滑肌细胞上则呈密度不均的表达。上述资料皆表明polycystin蛋白在血管平滑肌细胞与其周围弹性组织或内皮细胞之间起协调作用。一旦polycystin蛋白变异,则会损坏这种协调机制从而使血管壁变得脆弱而引起动脉瘤的产生。此外,ADPKD患者常合并肾源性高血压而高血压是颅内动脉瘤发展和破裂的一个明确危险因素[3],故该例患者高血压病史也可能在颅内动脉瘤发生中起到一定的作用。
研究表明:ADPKD患者颅内动脉瘤的发病率大约为10%-40%,而正常人群中颅内动脉瘤的发病率仅为1%-2%[3,6]。ADPKD所致颅内动脉瘤的临床表现与一般人群颅内动脉瘤的表现基本一致,动脉瘤破裂导致蛛网膜下腔出血而出现严重临床表现,部分学者亦指出ADPKD患者动脉瘤破裂的发生率高于正常人群。Gieteling等[7]研究发现:ADPKD患者合并颅内动脉瘤引起蛛网膜下腔出血的发病特点与普通动脉瘤的蛛网膜下腔出血有所不同,表现为起病年龄较轻(平均41岁);女性相对较少见;大动脉瘤比率高(>10 mm)占25%、发病率高于一般人群(10%);以前循环较多见(84.4%),尤其是大脑中动脉动脉瘤最为常见。此外,亦有学者进一步指出ADPKD患者多发动脉瘤所占比率高约占23%[8]。
对于ADPKD患者,颅内动脉瘤破裂是其最具破坏性的肾外临床表现,可导致严重的功能障碍和死亡。及时发现、处理颅内动脉瘤是降低患者发生动脉瘤破裂性蛛网膜下腔出血、降低患者致残率及病死率的重要措施。虽然ADPKD合并颅内动脉瘤总体增大率及破裂风险与普通人群相比是否增高没有明确定论[9,10],但Xu等的研究指出[3]:存在出血性卒中或者动脉瘤性蛛网膜下腔出血家族史的ADPKD患者,其发生动脉瘤性蛛网膜下腔出血的危险性明显增高。宜积极地对此类患者进行系统性的筛查,对有家族史的患者积极进行颅内动脉瘤的筛查至关重要。因ADPKD患者往往合并肾功能不全,故CTA以及DSA因需要使用造影剂而在ADPKD患者中的应用受到了一定的限制,MRA常被推荐用于ADPKD患者颅内动脉瘤的筛查[11],但DSA仍是行颅内动脉瘤干预前的重要检查措施。
ADPKD所致动脉瘤的治疗原则与普通动脉瘤基本一致,包括观察保守治疗和手术治疗,手术治疗包括开颅手术夹闭和血管内介入治疗[12]。由于ADPKD是累及全身各系统的疾病,特别是可引起肾功能减退及衰竭,故在颅内动脉瘤治疗过程中始终需积极监测患者肾功能改变。此类患者再发动脉瘤可能性较大,术后随访至关重要[13]。此外,还需关注预防颅内动脉瘤形成、破裂的其他因素;如让患者远离吸烟,积极治疗高血压,从而降低动脉瘤形成及破裂的风险。
小结
1、ADPKD患者伴发颅内动脉瘤的比例明显高于正常人群,需要积极的筛查
2、有证据显示,ADPKD患者伴发的动脉瘤更易多发和破裂,所以一旦发现应该更积极治疗
3、因肾功能不全,该类动脉瘤患者更推荐MRA
4、ADPKD伴发的动脉瘤更倾向于复发,所以术后随访应该更加密切。
参考文献
1. Wilson PD. Polycystic kidney disease [J]. New England Journal of Medicine, 2004, 350(2): 151-164.
2. Grantham JJ. Autosomal dominant polycystic kidney disease [J]. New England Journal of Medicine, 2008, 359(14): 1477-1485.
3. Xu HW, Yu SQ, Mei CL, et al. Screening for intracranial aneurysm in 355 patients with autosomal-dominant polycystic kidney disease [J]. Stroke, 2011, 42(1): 204-206.
4. Boucher C, Sandford R. Autosomal dominant polycystic kidney disease (ADPKD, MIM 173900, PKD1 and PKD2 genes, protein products known as polycystin-1 and polycystin-2) [J]. European journal of human genetics, 2004, 12(5): 347-354.
5. Arnaout MA. The vasculopathy of autosomal dominant polycystic kidney disease: insights from animal models [J]. Kidney international, 2000, 58(6): 2599-2610.
6. Schievink WI, Torres VE, Piepgras DG, et al. Saccular intracranial aneurysms in autosomal dominant polycystic kidney disease [J]. Journal of the American Society of Nephrology, 1992, 3(1): 88-95.
7. Gieteling EW, Rinkel GJE. Characteristics of intracranial aneurysms and subarachnoid haemorrhage in patients with polycystic kidney disease[ J]. Journal of neurology, 2003, 250(4): 418-423.
8. Zhou Z, XY, Delcourt C, et al. Is Regular Screening for Intracranial Aneurysm Necessary in Patients with Autosomal Dominant Polycystic Kidney Disease A Systematic Review and Meta-analysis [J]. Cerebrovascular Diseases, 2017, 44(1-2): 75-82.
9. Rozenfeld MN, Ansari SA, Mohan P, et al. Autosomal dominant polycystic kidney disease and intracranial aneurysms: is there an increased risk of treatment? [J]. American Journal of Neuroradiology, 2016, 37(2): 290-293.
10. Irazabal MV, Huston J, Kubly V, et al. Extended follow-up of unruptured intracranial aneurysms detected by presymptomatic screening in patients with autosomal dominant polycystic kidney disease [J]. Clin J Am Soc Nephrol , 2011, 6(5): 1274–1285.
11. Russo C , Caranci F , Imbriaco M, et al. Cerebrovascular and Brain Abnormalities in Autosomal-Dominant Polycystic Kidney Disease: Role of 3d Time-of-Flight Magnetic Resonance Angiograph [J]. J Genet Disor Genet Repy, 2016, 5(3):1 - 5.
12. Pirson Y , Chauveau D , Torres V. Management of cerebral aneurysms in autosomal dominant polycystic kidney disease [J]. Journal of the American Society, 2002, 13(2): 269–276.
13. Schrier RW, Belz MM, Johnson AM, et al. Repeat Imaging for Intracranial aneurysms in patients with autosomal dominant polycystic kidney disease with initially negative studies: a prospective ten-year follow-up [J]. J Am Soc Nephrol, 2004, 15(6): 1023–1028.
(本文由浙二神外周刊原创,浙江大学医学院附属第二医院神经外科王洪财、付雄洁研究生整理,王林副主任医师审校,张建民主任终审)
往期回顾
浙二神外周刊(九十六)--桥小脑角脑膜瘤伽马刀后并发PICA血栓性动脉瘤一例
浙二神外周刊(九十四)--颅内表皮样囊肿自发破裂伴血清CA-199显著升高一例
浙二神外周刊(九十二)--鞍上毛细胞黏液样星形细胞瘤伴自发性出血一例
浙二神外周刊(九十一)--2017西湖神经外科论坛成功召开!
浙二神外周刊(九十)--以尿崩症为首发表现的Erdheim-Chester病一例并文献复习
浙二神外周刊(三十七)--垂体瘤伴发鞍结...
浙二神外周刊(三十六)--脑膜血管瘤病...




