今天为大家分享的是由苏州九龙医院神经外科沈李奎医师编译,《神外资讯》常务编辑、海军军医大学附属长征医院神经外科徐涛医师审校的:颈动脉内膜剥脱策略与技巧(Carotid Endarterectomy),欢迎观看、阅读。
Carotid Endarterectomy- Technical Pearls and Pitfalls
Carotid Endarterectomy_Atlas(1)
Carotid endarterectomy_Atlas(2)
Carotid Endarterectomy-Patch grafting_Atlas
颈动脉内膜剥脱术(CEA)是神经外科最精细的手术之一。大型临床研究结果表明有症状和无症状的颈动脉狭窄患者均可从该手术中明确获益。
尽管研究CEA对无症状性颈动脉狭窄患者疗效的研究已有很多,其中3项最具有代表性,其结果支持该类患者选择CEA手术。它们是:退伍军人事务合作研究(VA,TheVeterans Administration Cooperative Study )、无症状颈动脉狭窄外科试验(ACST,The AsymptomaticCarotid Surgery Trial),无症状性颈动脉粥样硬化研究(ACAS,the Asymptomatic CarotidAtherosclerosis Study)。
1、VA研究随机招募了444例颈动脉狭窄在50%-99%之间的无症状男性退伍军人。所有患者采用常规血管造影诊断并给予阿司匹林治疗。一组患者在服用阿司匹林之外接受CEA手术,而另外一组仅采用药物治疗。主要研究终点是同侧神经系统事件。
2、ACAS研究在北美39个医疗中心随机招募了1662名颈动脉狭窄至少60%的无症状患者。诊断采用血管造影或者其他无创检查(超声,核磁共振等)。患者随机分为手术+每日阿司匹林治疗组和单独阿司匹林治疗组。手术干预前要求血管造影检查。主要终点事件包括同侧卒中,围手术期卒中,或死亡。
3、ASCT研究随机招募了3120例颈动脉狭窄至少60%的无症状患者。和ACAS一样,采用血管造影或者其他诸如超声或者MRI检查明确诊断。患者随机分为“即刻手术组”或者“药物治疗组”。当“药物治疗组”中患者出现症状时也采用手术治疗。因此,ACST是评估即刻手术和延迟手术(直至症状出现)差异的一个临床试验研究。
总的来说,这些临床研究发现CEA手术可使颈动脉狭窄在60%及以上的无症状患者相对风险降低29%。这一获益的前提条件是手术并发症发生率为3%以内(包括血管造影在内)。
在有症状性的颈动脉狭窄患者中进行的研究数据也支持CEA。这些数据主要来自于欧洲颈动脉外科试验(ECST,the European Carotid Surgery Trial)和 北美症状性颈动脉狭窄内膜剥脱术试验(NASCE,theNorth American Symptomatic Carotid Endarterectomy Trial )这两个大型临床试验研究:
1、ECST研究招募了3024例症状性颈动脉狭窄患者,随机分为二个组。一组尽可能快地采用CEA手术。另一组尽可能长时间给予最好的药物治疗,直到绝对需要手术时才采用手术治疗。“症状性”的定义是:患者在入组前6个月内出现有证据的脑缺血事件,且发生在狭窄的颈动脉同侧。
2、NASCET研究招募了2926例症状性患者随机分为药物治疗和手术组。入组前4个月内发生在狭窄同侧相关的脑缺血事件被认定是症状性脑缺血事件。
所有试验数据汇聚到一起都强烈支持颈动脉狭窄70%-99%的症状性患者行CEA治疗。狭窄程度在50%-69%的症状性患者也建议行CEA,但这一结论需基于手术风险不改变的前提,因为药物治疗组在这一狭窄程度出现主要终点(同侧卒中)的危险度非常低。
血管内治疗技术的持续进展将支架成形术引领至潮流。然而,大型临床研究并没有证实(尽管这些试验仍在进行中)治疗症状性和无症状性的颈动脉狭窄支架成形优于CEA。因此,颈动脉内膜剥脱术仍是脑血管神经外科的重要组成部分;神经外科医师应该保持这一技术应用的持久性。
诊断
无症状颈动脉狭窄通常是在其他主诉的诊疗过程中顺带发现。如部分患者是因为同侧症状性颈动脉狭窄已经确诊后进一步发现对侧病变,部分患者是在治疗短暂性脑缺血和卒中的过程中发现,也有一部分患者在常规内科检查中发现颈动脉杂音后进一步检查明确诊断。
症状性颈动脉狭窄因同侧半球发生脑相关功能区症状而确诊。单独的右侧颈动脉狭窄(非优势半球)可能并不是症状性的。关于症状的不同形式变化及注意事项的讨论并不在本章的范围之内。
一般来说,采用NASCET测量方法能客观地评估狭窄的程度,狭窄最严重处管腔直径作为分子,在狭窄远端颈膨大以上的颈内动脉直径作为分母。ECST测量法是量取狭窄最严重处的管腔直径与该处颈膨大的正常直径之比。ECST与NASCET相比通常夸大了狭窄的程度。
评估
颈动脉狭窄患者需要完整的医疗评估。必须完成颈动脉血管结构相关的影像学检查,尽管超声对于定期评估和随访监测而言是合理的做法,但通常而言用于手术计划略显不足。笔者也发现MRA有高估狭窄程度的趋势。因此,笔者更愿意选择头颈部CTA或者DSA。颈内动脉颅内段存在串联病变的患者应该被排除在外,因为这些特殊的病例仅用CEA治疗不太可能获益。
一旦临床检查证实并且获得了合适的影像资料,便可判断出狭窄类型(症状性和无症状性)。当讨论CEA手术的风险与获益时,这些信息有助于患者咨询和合适的风险分层。

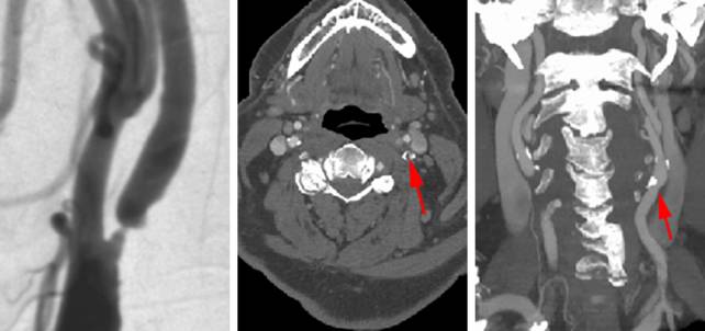
图1. 一例左侧溃疡性、部分钙化的斑块导致颈动脉高度狭窄,术前血管造影(左图)和CTA(右二图箭头)证实。
手术指征
如上所述,已发表的文献对于症状性和无症状性患者均支持CEA。对于症状性患者,狭窄介于50%-99%的患者均推荐CEA治疗,狭窄程度超过70%的患者获益更多。目前没有客观数据支持对颈动脉完全闭塞的患者行再通手术,且存在远端栓塞的风险,故而也不推荐使用。
无症状性颈动脉狭窄的患者如果狭窄程度大于60%也能从手术中获益。因为无症状患者从CEA术后2-3年才能从手术中获益,所以手术并非对所有无症状患者均有好处,而应该仔细考虑患者内科合并疾病的相关风险。
笔者推荐合并内科疾病而无法耐受麻醉的患者进行血管内支架成形术。但目前尚没有I级证据支持支架成形术优于内膜剥脱手术。
术前关注点
CEA术前有很多细节必须关注。颈动脉分叉的高度将决定手术必须显露的范围。分叉高于C2椎体可能通过颈部切口并不容易显露,因此可以选择血管内治疗。颈部活动性的评估也应重视。
术前评估患者颅内血管状态也十分重要,包括前交通动脉和后交通动脉的评估,它们能提供术中临时阻断ICA后的侧枝血流。术前应行基线脑电图检测,这样与术中脑电图对比,可评估是否存在低灌注状态。
围手术期阿司匹林应该持续使用。在围手术期笔者避免使用氯吡格雷,否则会增加术后血肿风险。正在服用华法林的患者改为静脉内肝素治疗至凝血酶原时间(PT)正常,持续使用肝素静脉滴注一直到在手术室内缝合动脉完毕,然后停用肝素48h后重新给予华法林。
所有患者术前必须进行详细的内科评估,因为很多患者同时罹患冠心病、糖尿病和顽固性高血压。
器械
有必要准备一套包含所有必须器械专用器械包,这样不同手术团队无需再熟悉在内的器械即可使用。本人专用的器械包包括四个血管镊 (2大2小),专用的分离剪刀,微小环状头端的镊子(从血管壁上清除小斑块),阻断钳,分流钳和持针器。有很多商业套装可以满足这个要求。
手术解剖
CEA手术在颈前三角内进行。该三角后缘为胸锁乳突肌,前缘为气管食道复合体,三角的底边由位于上方的下颌骨构成。三角的顶位于胸锁乳突肌和中线的汇聚点——胸骨上切迹。
有几个解剖关系可指导分离。首先,颈内静脉位于颈动脉外侧。如果患者头部向对侧旋转的太多,颈内静脉可能会位于颈动脉上方从而阻挡术野。
颈外动脉及其分支的解剖关系是达到合适显露的一个关键标志。颈外动脉起于颈总动脉并位于甲状软骨上缘的外侧。颈外动脉有8个分支,甲状腺上动脉是其第一个分支,舌动脉和面动脉起自颈外动脉的前壁。颈外动脉后壁发出枕动脉和耳后动脉,而咽升动脉起自其内壁。颈外动脉在下颌颈水平移行为两个终末支进入腮腺:分别是上颌动脉和颞浅动脉。
术中有三根神经特别重要。舌下神经在分离的远端跨过颈内动脉且必须被保留。舌下神经损伤是CEA手术中最常见的神经损伤。当颈动脉分叉过于靠近颅底时,舌下神经损伤风险就增加。舌下神经定位可以通过向上追踪颈袢(由C1-C3发出的神经根组成,译者注)识别,就在颈袢加入舌下神经时即可明确其定位走形。最后,迷走神经走形在颈动脉鞘内,通常沿鞘后外侧壁走形并位于颈动脉和颈内静脉的后方。小心打开颈动脉鞘可轻柔的向外后方松解该神经。
颈动脉分叉水平变化不定;但是,它一般位于第三第四颈椎水平,分离切开的范围必须根据颈动脉狭窄的长度决定。

图2. CEA相关的颈部血管神经关系。迷走神经位于颈动脉深面,舌下神经跨过颈内动脉和颈外动脉远端。如果术者在早期分离阶段尚未显露颈动脉鞘时迷失了方向并持续在咽部肌肉内向中线过多的分离(经常是因为头部过度旋转导致),极有可能出现术后吞咽障碍。向外侧沿胸锁乳突肌内侧肌腹进一步分离,注意避免损伤颈内静脉,即可重新获得定位,避免这一并发症。

图3. 将颈内静脉轻柔的向外侧牵拉显露颈动脉分叉。颈外动脉的分支,包括甲状腺上动脉、舌动脉、面动脉均已标记。注意到迷走神经有一定的移位,应该小心沿着颈内动脉和颈内静脉前方仔细检查。
颈内动脉大约在10%的患者位于颈外动脉的内侧;这一解剖变异应该在术前影像上认识并且在手术时沿颈内动脉内侧分离。在这样的病例中术者没有理由混淆颈内颈外动脉的判断。
颈动脉内膜剥脱术
患者仰卧于手术床,在双侧肩部下横向放置一个肩垫。这一操作使颈部轻度过伸并以此打开下巴和锁骨之间的手术空间。可用一条布带轻轻的牵拉下颌,有利于增加显露,特别对于颈动脉分叉或者斑块位置比较高的病例而言。
患者头部向手术对侧轻度的旋转有助于颈前三角的显露。这一旋转不要超过20度,因为过度的旋转将移动胸锁乳突肌覆盖在颈动脉鞘上并干扰颈动脉的显露。

图4. 胸锁乳突肌和颈内静脉的解剖关系是到达颈动脉的关键标识。面神经的下颌缘支在分离和牵拉下颌角周围的软组织时尤其危险。该支神经麻痹会导致受累侧下嘴唇高度抬高,术后微笑不对称。但是这种面肌力弱是暂时的。
切口和初始显露
胸锁乳突肌如其名字一样附着在相应部位,每一个附着点均有重要意义。触诊并确定乳突尖,如果需要更高位置的显露,乳突尖代表着切口延长的方向。
应该通过体表标志估计分叉的位置和必须显露的范围(根据斑块的位置和长度)。甲状软骨大约在C4-5水平。几乎所有的分叉都位于甲状软骨之上,因此切口应该超过甲状软骨。下颌角和舌骨大约在C3,下牙代表C2水平。
CEA手术切口通常根据下方斑块的定位来确定。低分叉且斑块局限通常采用颈部皮纹横切口可增加术后美容效果。这种切口类似于颈椎前路椎间盘切除术的手术切口。
如果颈动脉分叉病变严重,有一长段斑块,或者分叉位于颈前三角较高位置通常需要更多的显露范围。可以通过沿胸锁乳突肌前缘的轻度弧形或直切口来完成。笔者切开皮肤前采用皮下注射1%的利多卡因和1:10万肾上腺素进行局部麻醉和止血。

图5:一个纵行切口从恰位于下颌角上延伸至恰位于甲状软骨下,并且沿胸锁乳突肌前缘走形(上图)。切口可以根据分叉的水平扩大向下低至胸骨上切迹,向上高达耳后区。切口应远离下颌角来减少面神经下颌缘支的损伤。标记下颌角和胸骨切迹。注意患者颈部的轻度旋转。

图6. 开始切开不宜过深,仅仅达到颈阔肌层面。然后,沿切口进一步切开皮下组织和颈阔肌。笔者使用10#皮刀切断颈阔肌,这里很多术者采用组织剪(Metzenbaum)游离肌肉和下层黏连之后再横形切断。单极电凝可用于切断游离的肌肉,但是应避免损伤下方的静脉。通常颈外静脉恰好位于颈阔肌下方,需要缝扎后切断;忽视这一静脉会导致明显的静脉性出血。
颈横神经在上述过程中被切断。这一操作会导致颈前区持续3-6月的麻木。
一旦颈阔肌被切开,应该识别胸锁乳突肌前缘。沿着胸锁乳突肌内侧肌腹在软组织平面内分离;笔者追踪该肌肉内侧面并轻轻的将胸锁乳突肌翻向外侧。如果没有沿肌肉内侧面而在颈部四处分离并深入颈部,就会损伤喉返神经(位于气管食管沟内)及潜在的咽肌损伤而导致吞咽障碍。

图7. 在轻度外翻及牵拉胸锁乳突肌后,笔者沿着该肌肉内侧面触诊软组织判断颈动脉的搏动和定位。注意触诊的方向仅沿肌肉的内表面(上图)。在胸锁乳突肌和中线吞咽肌群间软组织的分离平面识别颈内静脉。可能需要鱼钩牵开器扩大这个平面,但是要避免鱼钩或者牵开器的叶片伤及喉返神经或者食道(下图)。

图8. 接下来,在平行于胸锁乳突肌内侧面的潜在间隙内钝性分离显露面总静脉(上图)。在术野的这部分内可见大的静脉分支汇入颈内静脉;这些静脉中的最粗大的一支就是面总静脉。因为颈内静脉必须向外侧移动,所以需要切断这些静脉。大的分支需要用2-0的丝线缝扎(下图)。一旦颈内静脉被游离,笔者将切断的静脉断端放置在牵开器叶片或鱼钩下方牵拉颈内静脉来显露颈动脉鞘。鱼钩或者叶片不要直接损伤大静脉。所有的神经包括颈袢均在颈内静脉的内侧而被保护。
显露颈动脉
笔者采用剪刀钝性分离颈内静脉和颈动脉之间的软组织平面,向外侧移动颈内静脉,直到颈动脉鞘完全打开。继续采用扁桃体钳钝性分离并进一步游离颈动脉鞘;将颈动脉鞘锐性垂直切开显露下方的颈动脉。
应该在这一分离阶段辨认清楚颈袢和迷走神经。迷走神经通常沿着颈动脉外侧深面(在颈动脉和颈内静脉之间的沟内),但是也会移位。不管它是如何走行,笔者并不分离该神经,但是一些术者建议将迷走神经从内侧附着处游离,这样它可以随着颈内静脉被拉向外侧。颈袢作为舌下神经的定位标志,可以沿颈动脉顺颈袢向上追踪。

图9. 打开颈动脉鞘的示意图(上图)。打开颈动脉鞘后,采用扁桃体钳沿颈动脉四周钝性游离。面总静脉,颈袢和舌下神经被显示(下图)。目标是保留正常的解剖结构。
颈动脉鞘打开后开始显露颈总动脉(CCA)。根据分叉的不同高度,显露CCA可能需要牵拉(通过张力缝合)或者分离肩胛舌骨肌。颈内动脉(ICA)远端的分离将显露舌下神经。当有足够的空间进行动脉切开、血管圈套、恰好在ICA斑块远端以上放置一个低夹闭力的哈巴狗夹以及在CCA近端放置血管夹(大的Fogarty软钳口衬垫型弹簧夹),这时就算是达到了足够的分离(通常可用临时阻断夹来代替,译者注)。依据斑块的长度(用湿润的手指轻轻的触诊动脉壁来确定)进一步明确合适的显露范围。
沿颈内动脉前方进一步分离。斑块的位置和长度可能要求更头侧的显露;必须小心避免损伤舌下神经。如上所述,颈袢可作为定位舌下神经的向导。舌下神经一如既往地位于ICA头侧并直接跨过,且以正交的方式跨血管向下颌走行。如果有必要向头端移动舌下神经,可以在颈袢加入舌下神经处将其横断以便松解舌下神经。然后用血管圈套带牵拉舌下神经。
胸锁乳突肌的ECA来源的小动脉分支很少需要电凝后切断,来增加舌下神经的游离移位。如果必须达到高位显露,可以切断二腹肌后腹,这样也没有任何不良后果。
笔者几乎不用25G针头注射大约2ml1%的利多卡因至颈动脉窦,而仅当血管操作导致明显的血流动力学不稳定和分叉部夹层时采用。这一操作的益处仍有争议。
最后,在ECA近端根部环形游离。与另外两根动脉的处理不一样,ECA只需要在分叉部以远环形游离一小段即可。应该同时识别甲状腺上动脉。因为咽升动脉经常不能在术野直接看见,所以这一有限的显露使咽升动脉保留在显露的ECA以远的组织内,围绕ECA放置血管圈套或者动脉夹时可将咽升动脉排除在血运循环以外。
动脉切开前的分离
简单地显露颈动脉的主要三段是不够的。一旦它们的上表面游离,重要的是CCA,ICA,ECA环形游离。环形分离能使术者有机会旋转动脉(如果需要)以更好一些的角度来切开动脉。这样的游离也允许夹闭时牵引血管,确保血管完整的被阻断夹夹闭和血管圈套带环形包绕,同时不会误将包括迷走神经在内的其他结构包绕在内导致损伤。
喉上神经位于ICA远端深面,它不应该在分离时被意外损伤。
在动脉环形孤立后,血管圈套带在每一根主要血管分支上缠绕二圈,用小的扁桃体钳固定圈套带,使动脉处于无张力且无粘连的悬挂状态。笔者习惯放置一个长的直动脉瘤夹临时阻断甲状腺上动脉。哪怕CCA、ICA、ECA都已做好准备放置最后的阻断夹,笔者也要花一些时间来讨论下一步必要的一些措施:监测脑电图,交代手术室巡回护士静脉内给予肝素。
可以用Rummel止血带缠绕CCA并用橡皮带牵拉。如果需要使用转流管时,Rummel止血带可使血管壁固定在腔内分流管上,蚊式钳夹持血管圈套带或者Rummel止血带末端悬挂在牵开器手柄上。

图10. 笔者平行于ICA轴线切开颈动脉鞘,将动脉鞘外缘用鱼钩或者缝四针牵拉维持一定的张力。这一关键操作会将ICA从颈动脉沟内抬起,这样ICA更接近术者,能显著改善后面操作和手术的角度。
长的血管夹(长的动脉瘤夹或者哈巴狗夹)放置在颈内动脉血管圈套带以远,Fogarty 血管夹放置在颈总动脉内斑块以近。颈内动脉上的血管圈套带固定住其远端血管夹。放置一根血管圈套带足以闭塞颈外动脉。首先夹闭颈内动脉。
根据患者的体重计算,常用的肝素剂量在5000-8000u。在阻断血管之前3-5分钟给药可以确保肝素有足够的起效时间。应该保证转流管处于备用状态。另外,这是也应该准备好显微镜。
笔者更喜欢在手术的下一个阶段使用显微镜,包括动脉切开、斑块剥离和血管缝合。尽管使用显微镜会增加手术时间,但是改善的视野会带来更有效的斑块去除和更理想的血管缝合。
动脉切开
显微镜下,长的动脉瘤夹或小的哈巴狗夹放置在ICA远端,并位于相应的血管圈套带以远。阻断的血管包括病变血管全段和一小段正常的血管在内,此时血管夹的放置才最合适;必须显露一小段正常血管,这样就可以避免随后动脉切开达不到到最满意的长度。向手术团队宣布动脉夹闭并开始计时。CCA、ECA包括甲状腺上动脉也被夹闭。
脑电图记录的任何改变都要求即刻的关注,它有可能提示需要放置转流管。然而,大多数时候提升大约20%的收缩压都能消除或缓解脑电图的改变。
如果血压的提升不足以缓解脑电图的改变,分别在斑块近端的CCA和斑块远端的ICA各放置一血管夹。ECA和甲状腺上动脉需要一个血管圈套带或者再来一个夹闭力更强的动脉瘤夹。
放置转流管时,首先在CCA上开孔,然后将转流管插入管腔后用Rummel止血带收紧固定;用蚊式钳固定橡胶带在位。用大血管钳夹闭转流管,短暂释放血管钳排空转流管内气体。接下来再移除ICA上的哈巴狗夹后将转流管远端置入ICA远端管腔内。将转流管进一步插入并用血管圈套带或者专用瘤夹将其固定在ICA远端。

图11. 紧接着采用11号刀片紧贴斑块近端切开颈总动脉。这一操作必须避免损伤动脉后壁。任何血管后壁损伤都需要修复并显著增加血管阻断时间。如果可以看到管腔内活动性出血,检查血管阻断夹的闭合、血管圈套带的张力及牵引确保没有返流血。通常在颈外动脉上的圈套带需要增加牵引力。
管腔内出血的其他常见原因包括咽升动脉出血。通常是一支大的咽升动脉没有被排除在夹闭的颈外动脉之外。更有甚者的是ICA的阻断夹不够紧或者血管夹闭不全。与其猜测原因,不如逐一拉紧每一根血管圈套带来判断出血的来源。

图12. 用带角度的pott’s剪刀沿斑块全长完全打开动脉。动脉应该沿ICA和分叉的中轴直线切开。需注意的是:动脉切开在分叉部起始部容易倾向内侧,而在ICA远端容易转向外侧。动脉切开越沿中轴进行,血管壁缝合时就越容易。动脉切开的路线可以用无菌标记笔事先描记。
因为剪刀可能无法有效剪开钙化斑块,因此斑块钙化便是一个棘手的问题。在这种情况下,笔者采用11号刀片小心切开斑块。剪刀无法通过的极度狭窄的动脉同样也是难点之一,这时11号刀片也许同样有用。
动脉切开必须延续到ICA远端的斑块以远。
内膜切除
理想的斑块分离从颈总动脉切开的近端起点开始。也可以从斑块和正常内膜外膜之间容易识别的平面开始。笔者经常沿着一个平面连续分离;当这一平面变得十分困难而无法保持时,转向另一个位点开始分离并随后与第一个分离平面会师。应该避免在动脉壁内过度分离,因为这样会损伤并撕裂内膜。

图13. 动脉壁在斑块处因明显炎症反应而极端菲薄,所以需要万分小心地将内膜外膜的正常部分保留。主刀医生夹持同侧的外膜,而助手夹持斑块完成斑块的分离。应该围绕斑块环形游离(插入图)。斑块逐渐变小,在其终末端突然截断,而在颈内动脉远端和颈总动脉留下相对正常的内膜。

图14. 颈总动脉近端斑块末端横断后留下松散的内膜瓣,因为血流方向的原因,颈总动脉的内膜瓣不太可能影响血流,但是颈内动脉远端的内膜瓣则恰好相反。因此,斑块远端必须小心截断,并且用剪刀在放大视野下修剪。ICA远端斑块消失、相对正常的内膜出现时分离长度就足够了,斑块与颈内动脉远端内膜通常有一个自然界限,此处轻轻的牵拉斑块就可达到斑块和内膜的自然分离。

图15. 在斑块远端分离后,笔者继续使用pott’s剪刀离断颈总动脉和斑块近端。一般来说,斑块会向近心端延续,因此必须在动脉切口的下端切断斑块。几乎不可能在颈总动脉内看到一个清晰的斑块像羽毛尖一样逐渐狭小的末端。

图16. 一旦斑块的近端和远端均已游离,那么它仅在颈外动脉内保持附着。在颈外动脉内环形游离一小段斑块后,斑块一直到其自然分离的末端可以被撕裂从而简单地从ECA内拖出。这一步骤就像将袜子从鞋子里拖出来一样。ECA开口处的微小斑块要仔细清理,因为颈外动脉近端形成血栓能进一步增大并进入颈内动脉最终导致脑血管栓塞。必要时可以沿颈外动脉进一步切开。

图17. 一旦移除斑块,小心检查保留的内膜表面,用末端是显微圆环的镊子移除所有松散的内膜碎片。用肝素生理盐水冲洗显露内膜游离瓣。这些漂浮的内膜瓣应该沿动脉内壁向切口处完整撕下。在动脉切开的远端应该避免过度的分离这些瓣膜,这样有可能导致内膜损伤延伸到显露并切开的动脉以远。
分离的内膜游离瓣沿着颈内动脉远端延伸到动脉切开以上水平是一个棘手的问题。因此,后壁和侧壁上的内膜瓣必要时可用双针未编制缝线(6-0普瑞林)缝合。双针都必须从内向外,这样线结位于血管腔外。如果没有这样修理内膜,一旦前向血流再通,患者就处于动脉夹层的风险之中。而动脉前壁上的内膜瓣可以在缝合血管壁时同时封闭。
血管缝合
血管缝合采用6-0的单针缝线从远端开始连续缝合(粗大的血管也可选择5-0缝线)。如前所述,前壁内膜瓣必须一起缝合在针脚内避免动脉夹层。
从远向近地缝合至血管切开长度的一半或2/3,一个好的缝合必须能够封闭双侧针脚同时将动脉切开的不规则边缘排除在管腔之外。
针脚边距不应该太大,特别是在颈内动脉远端避免不必要的管腔缩窄。如果动脉壁明显外翻则说明边距太宽。大多数病例中,管腔缩窄到直径甚至小于斑块移除之前的可能性很小,尤其在颈总动脉和分叉部更是如此。

图18. 用6-0的普瑞林从远端开始连续缝合动脉壁。前壁内膜瓣应该包含在针脚内避免动脉夹层。颈内动脉远端起始几针应该采用两次穿针技术(从外到内,再从内到外,插入图),这一操作保证将内膜瓣钉合并使ICA管腔缩窄风险最小。
另外一根单针缝线从动脉切开的近端开始缝合,缝合原则同上。动脉切开两边的分次穿针缝合技术有利于双侧缝合边距对等,特别是当动脉切开线不小心偏离中轴时更是如此。而沿动脉中轴线切开的缝合就更有效率,而且缝合的管腔足够,相对大一点的针脚既能封闭血管又不导致管腔的狭窄。
笔者特别注意将动脉的所有层次缝合在一起,并且针脚间距足够的小,这样漏血的的机会最小。另外,不要将外膜瓣缝合到管腔内。
整个操作过程中应持续用肝素盐水间断冲洗管腔。
笔者会在最后二针缝线拉紧时用充满肝素盐水的钝头注射器注满管腔;然后才拉上线结。紧接着撤回注射器,防止空气进入血管内。

图19. 上下缝合会师时,在最后打结之前,松开颈内动脉上的血管圈套带或去除血管夹,允许返流血冲洗两次,移除管腔内的残渣或者空气,避免其进入远端脑循环。在颈总动脉和颈外动脉同样操作冲洗残渣和空气。再次阻断血管并将结扎缝线。(插入图)
血管再通
阻断夹移除的顺序正好与动脉切开前放置血管夹的顺序相反。首先,放松颈外动脉上的血管圈套带或者取出阻断夹,将所有残渣冲向侧枝循环丰富的面部。然后释放颈总动脉上的血管夹,恢复前向血流,再一次将残渣冲向颈外动脉循环。
这时,动脉缝合处通常会渗血。除非是搏动性出血,通过填塞止血纱或者凝血酶浸泡的明胶海绵后,渗血几乎都会停止;同时随着颈内动脉的再通,管腔内压力的下降也有利于渗血的中止。
最后,在需要补针的吻合处补针后移除颈内动脉上的阻断夹。与渗血不一样的搏动性出血,需要进一步缝合补针,否则出血不会停止。用一片棉片轻轻的压迫血管切开处经常能使持续的渗血停止。脑电图应该在脑血管循环恢复后20分钟内持续监测。
为了移除转流管,笔者在血管外壁缝合线上留一个小开口,此处便于抽出转流管。用两把蚊式钳分别阻断转流管,然后在中间剪断。血管再次夹闭后分别拔除转流管两端。

图20. 图示阻断夹去除的顺序及血流的恢复。严格遵守血流恢复的顺序以避免远端的栓塞。
补片血管成形术
应该避免在血管切开处常规使用补片。当颈内动脉管径小,并且动脉切开的边缘不整齐时笔者选择性使用Hemashield补片。缝合补片的原则和上面提及的血管缝合原则相似。附件中的录像将进一步说明补片技术。
把补片放置在动脉切开上方来修剪补片至合适的长度。补片两端再修剪成细窄状。笔者采用双针6-0普瑞林将补片的ICA端和动脉切开的远端缝合在一起,同时用橡皮脚垫的钳夹固定缝线在位。用连续不打结缝合方式缝合从ICA到CCA的内侧壁,然后继续缝合至外侧壁的中间。接下来,用双针缝线的另一针缝合剩下的未吻合的外侧壁。
就笔者个人经验,CEA需要2.5-3小时时间,其中阻断夹闭时间在30-40分钟之间。阻断时间的明显增加与脑缺血风险增加相关。
下面的术中照片用来举例说明右侧经内动脉内膜剥脱术的手术步骤:

图21a. 显示皮肤切口(上图)和剪刀扩张分离显露颈动脉鞘(中图)。面总静脉被分离后用两根缝线结扎静脉。

图21b. 斑块的外侧面已经从颈动脉腔内分离。注意主刀和助手的协同移动。

图21c. 同样,斑块的内壁沿其在颈内动脉和颈总动脉的末端分离后移动。斑块向颈外动脉内的延伸也被分离。

图21d. 移除斑块后小心检查颈内动脉管腔。小片内膜瓣最好在缝合血管时钉合在血管壁上。

图21e. 小心检查管腔,清除所有明显的内膜瓣。

图21f. 颈内动脉管腔狭小提示需要使用补片成形术。在缝针穿过补片和血管壁后折返防止缝合后漏血。

图21g. 血管壁的大边距缝合将血管壁拉入缝线内能预防不规则的外缘碎片凸向管腔。

图21h. 在颈总动脉内血管切开的近端,斑块横断后的瓣膜缝合到外壁上。

图21i. 同样,颈内动脉内动脉切开的远端内膜瓣也应被缝合。

图21j. 在内侧吻合线中点二根缝线会师。

图21k. 展示补片成形后的最后效果。
术野缝合
充分止血是最重要的事。颈阔肌下方的空隙留置一根小的引流管。引流管并不能预防动脉性出血导致的症状性改变,但是其潜在目的在于控制缓慢的静脉渗血和作为一个术后阶段开始出血的信号(比如突然过度引流)。引流管不应该给术者自信的假象,而忽视精确止血的重要性。引流管缝合固定并在术后第一天予以拔除。
皮下仅有一层组织即颈阔肌需要缝合。采用3-0薇乔缝线缝合,这一层只需要解剖上复位固定,而无需不透水缝合。皮下组织也采用3-0薇乔缝线缝合,皮肤采用4-0可吸收单乔缝线皮内缝合。
平稳唤醒的重要性和采取措施避免明显的valsalva状态(如咳嗽)再怎么说都不为过;必须向麻醉团队告知这一要求。
术后关注
术后监护包括二个重要的概念。首先,移除斑块后通常会重建之前缺失的循环。术前高度狭窄与术后因高灌注损伤导致的脑出血风险增加相关。
因此术后血压管理是最重要的。收缩压不应该高于140mmHg。这就要求持续或者间断静脉给予降压药物比如肼苯哒嗪或拉贝洛尔和/或开始口服降压药。
第二,伤口监测对于诊断血液积聚导致的颈部早期肿胀很重要。通过视诊和触诊气管就可以达到目的。引流液体也可以提供线索。
术后颈部血肿最常见于静脉来源,但是有时也会是动脉缝合不严密导致。血肿压迫气管会导致呼吸梗阻。医生必须准备好必要时在床边打开伤口来减压气道。这是必须处理的外科急症。
再次手术探查通常会发现深部组织非特异性的静脉渗血和不小心穿透颈内静脉后出血。
参与者: Casey Madura, MD , Ulas Cikla, MD, Mustafa K. Başkaya, MD
DOI: https://doi.org/10.18791/nsatlas.v3.ch05.1 References
参考文献
[1] Barnett HJ, Taylor DW, Eliasziw M, Fox AJ, Ferguson GG, Haynes RB, Rankin RN, Clagett GP, Hachinski VC, Beckett DL, Thorpe KE, Meldrum HE, Spence JD. Benefit of carotid endarterectomy in patients with symptomatic moderate or severe stenosis. North American Symptomatic Carotid Endarterectomy Trial Collaborators. N Engl J Med. 1998;339:1415-1425.
[2] Chambers BR, Donnan GA. Carotid endarterectomy for asymptomatic carotid stenosis. Cochrane Database Syst Rev. 2005:CD001923.
[3] European Carotid Surgery Trialists' Collaborative Group. Randomised trial of endarterectomy for recently symptomatic carotid stenosis: Final results of the MRC European Carotid Surgery Trial (ECST). Lancet 1998;351:1379-1387.
[4] Executive Committee for the Asymptomatic Carotid Atherosclerosis Study. Endarterectomy for asymptomatic carotid artery stenosis. JAMA. 1995;273:1421-1428.
[5] Halliday A, Mansfield A, Marro J, et al. Prevention of disabling and fatal strokes by successful carotid endarterectomy in patients without recent neurological symptoms: randomised controlled trial. Lancet 2004;363:1491-1502.
[6] Hobson RW 2nd, Weiss DG, Fields WS, et al. The Veterans Affairs Cooperative Study Group. Efficacy of carotid endarterectomy for asymptomatic carotid stenosis. N Engl J Med. 1993;328:221-227.
[7] Rerkasem K, Rothwell PM. Carotid endarterectomy for symptomatic carotid stenosis. Cochrane Database Syst Rev. 2011:CD001081.




