
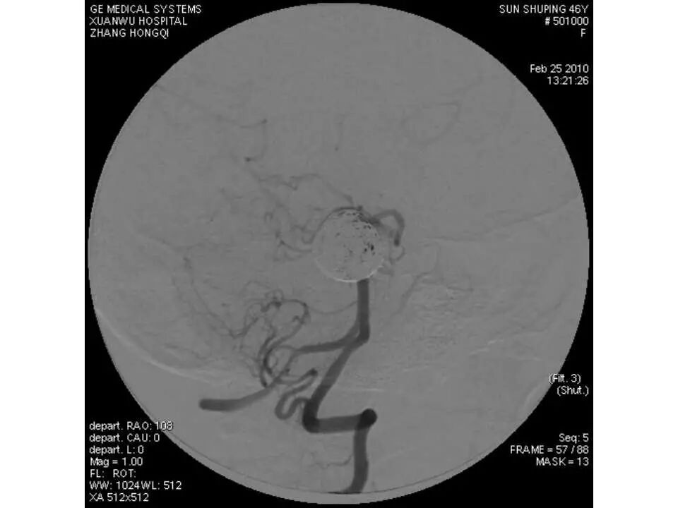
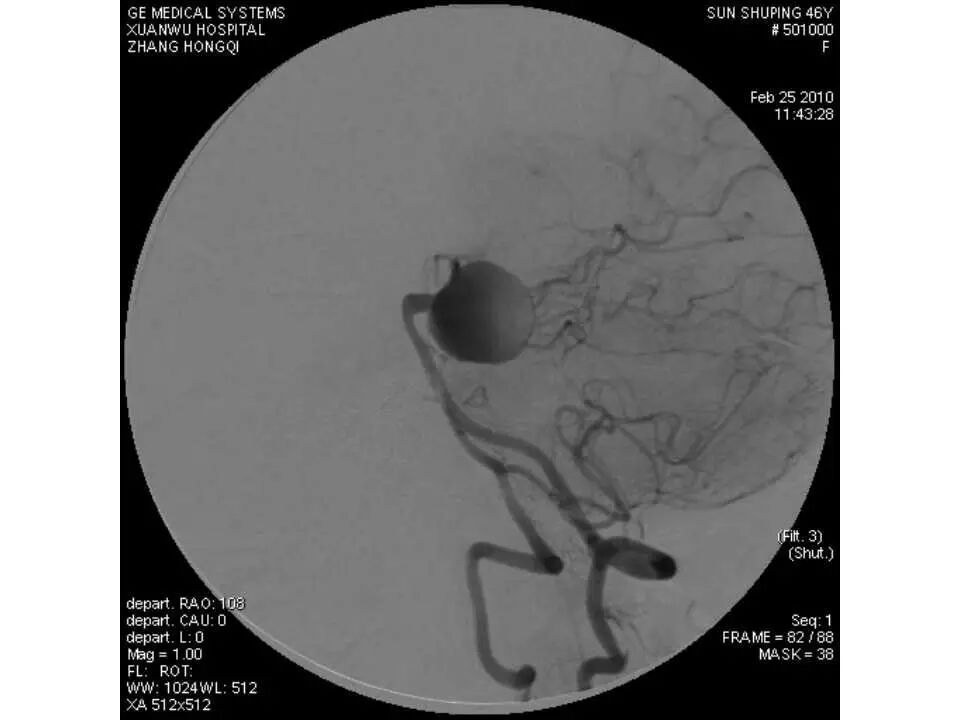
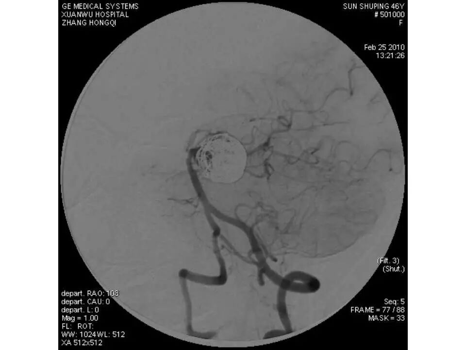
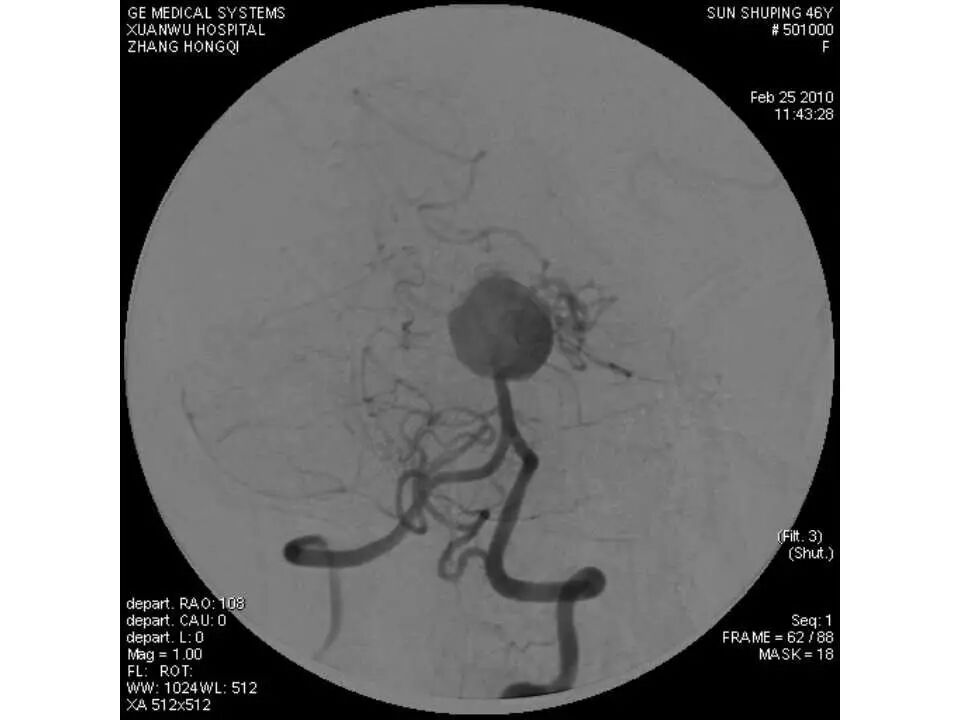
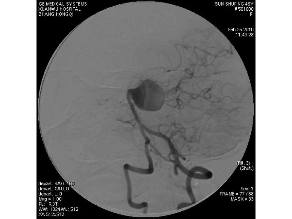
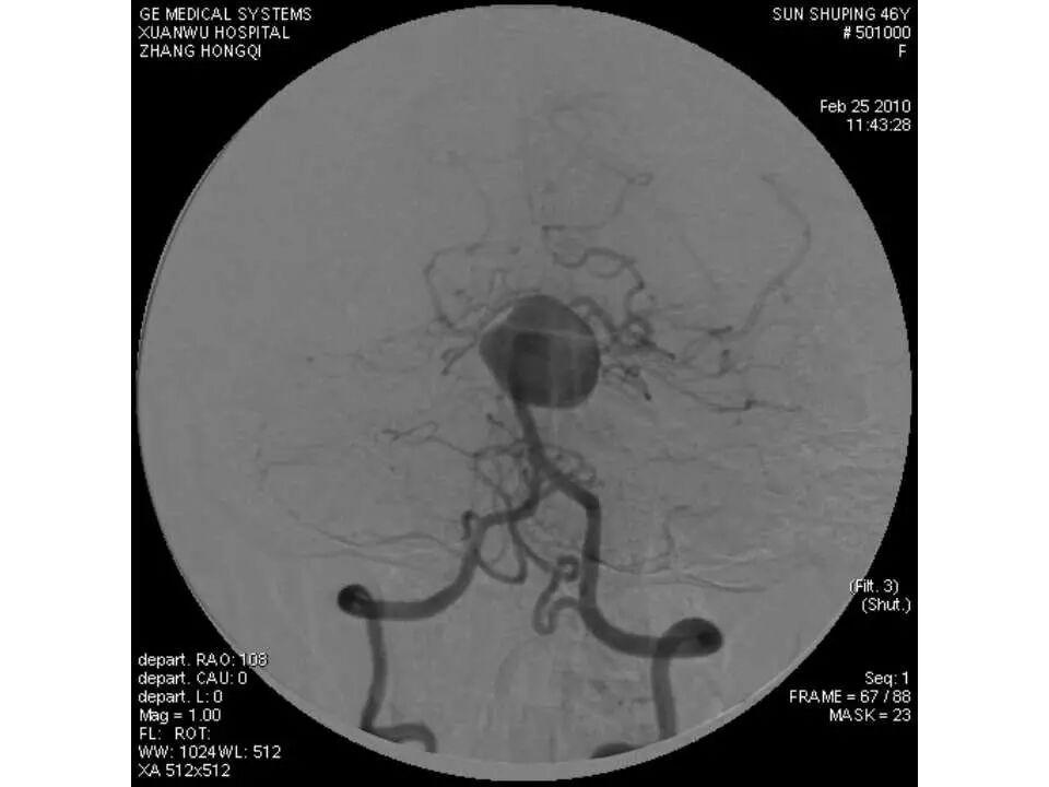
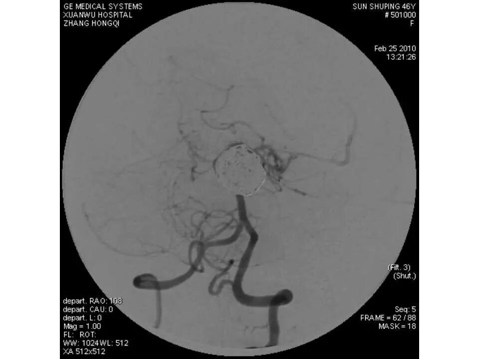
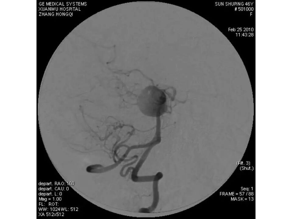
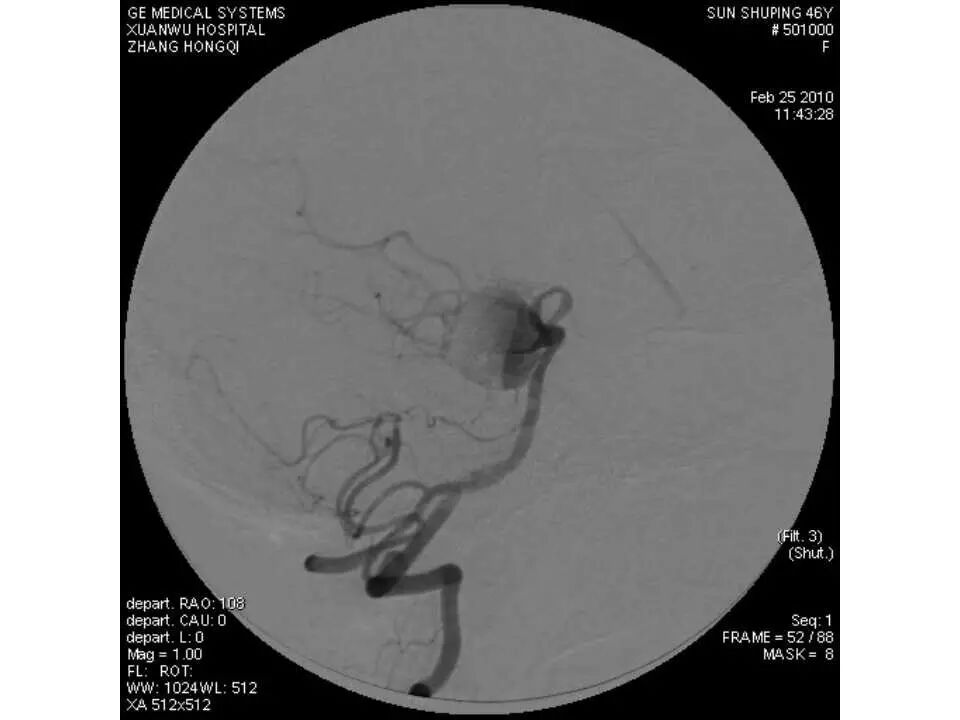
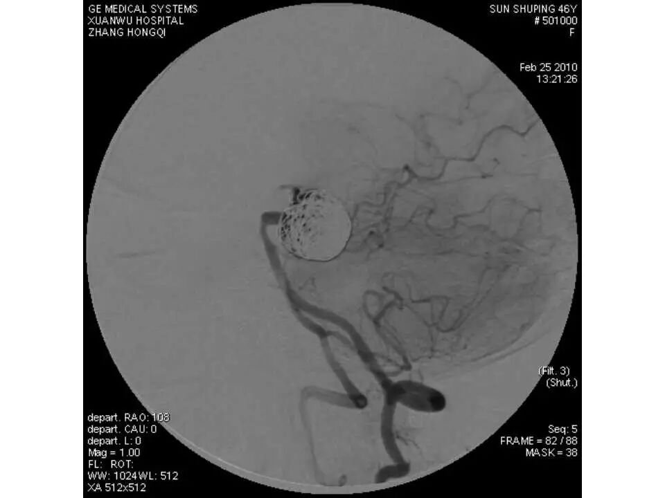
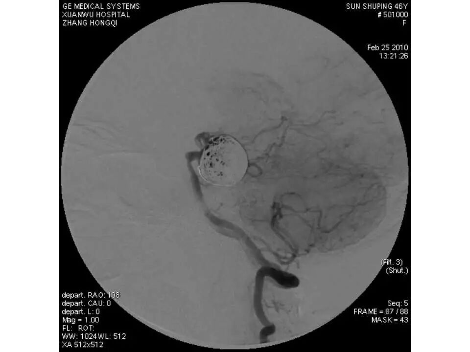
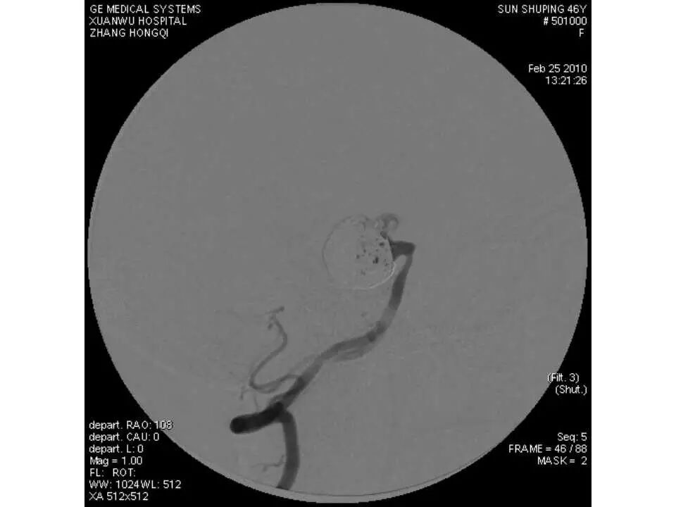
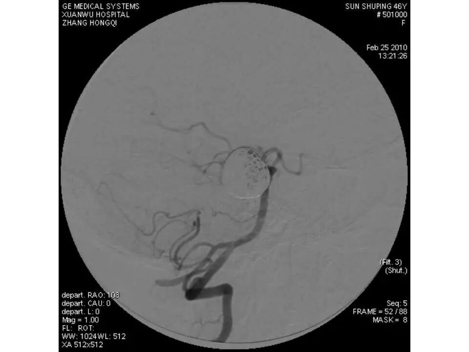
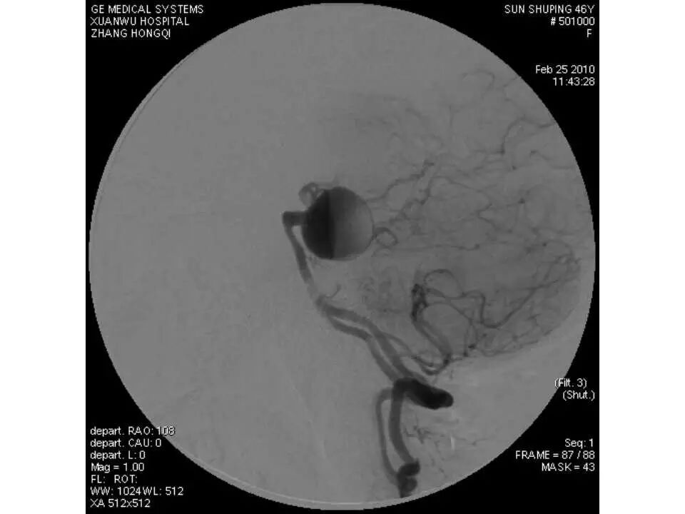
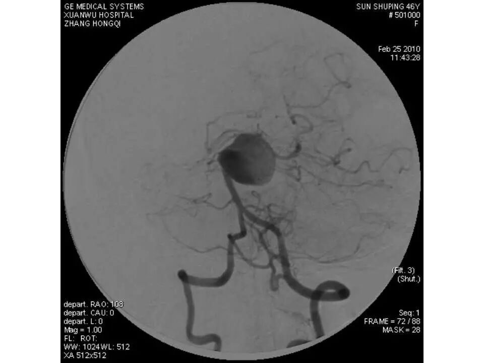
今天为大家分享的是“强生医疗CNV-神经介入专栏”第十五期,由首都医科大学宣武医院何川教授带来的“颅内动脉瘤介入治疗”精彩讲课视频及PPT,欢迎观看、阅读。文章仅代表作者个人观点,如有不同见解,欢迎同道斧正!

何川 ,首都医科大学宣武医院副主任医师,中国医师协会神经介入专业委员会常务委员,长期从事脑血管病和脊髓血管病的手术及介入治疗和相关研究工作。首都医科大学神经外科博士,师从于中国神经介入开创人凌锋教授;日本东北大学医院脑血管病治疗科博士后,师从于日本国脑血管病血管内治疗的开创者高桥教授。



















































































【强生医疗CNV-神经介入专栏】回顾




