【Ref: Thatikunta M, et al. J Neurosurg Pediatr. 2017 May;19(5):546-552. doi: 10.3171/2016.12.PEDS16427. Epub 2017 Mar 10.】
非典型畸胎瘤样横纹肌瘤(Atypical Teratoid Rhabdoid Tumors,ATRT)是一种侵袭性较强的儿童中枢神经系统肿瘤,患儿平均生存时间仅为6月~11月。因肿瘤体积较大、血供丰富和全身血容量储备不足等种种因素,ATRT的全切率不到50%。与ATRT类似的脉络丛恶性肿瘤也是富有血供的肿瘤,手术中出血风险较高。从1990年开始,儿童脉络丛恶性肿瘤常规行术前辅助化疗,肿瘤全切率从原先的26%上升到72%。ATRT术前行辅助化疗的患儿,到目前为止仅3例。美国路易斯维尔大学医学院神经外科的Meena Thatikunta等在2017年3月《J Neurosurg Pediatr》在线上报道第4例术前进行辅助化疗的ATRT患儿。
17个月的男性患儿,影像学检查提示脑室内高度血管化的肿瘤,考虑为ATRT。先给予患儿2个疗程的Head Start Ⅱ辅助化疗,影像学上显示肿瘤体积缩小35%,病灶血供也明显减少(图1、2)。手术完整切除肿瘤,术中出血约425ml。术后继续3周期的辅助化疗,后因持续性呼吸道病毒感染,推迟骨髓移植术。接着,胸腰椎段出现肿瘤,脑脊液中肿瘤细胞阳性。患儿家属放弃治疗,患儿死亡,整个过程持续10个月。

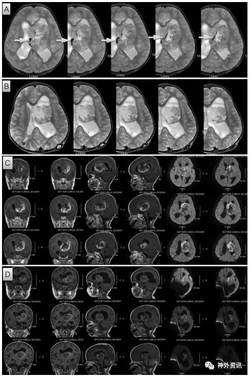
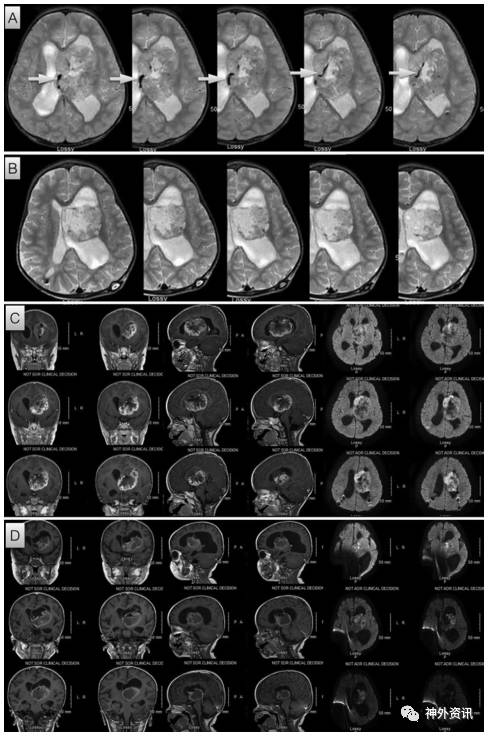
图1. MRI成像显示左脑室内肿瘤在辅助化疗前、后供应血管和肿瘤体积的变化。A.辅助化疗前肿瘤内侧有一较粗的供应血管(箭头所指);B.辅助化疗后该血管消失,并且肿瘤信号发生改变;C、D.辅助化疗前与辅助化疗后的MRI成像提示,瘤体缩小35%,强化明显减弱。

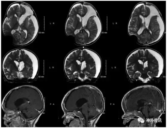
图2. 脑室内ATRT全切除术后1月MRI复查,未见肿瘤影。
作者指出,对巨大和血供丰富的ATRT来说,术前辅助化疗可以明显缩小肿瘤体积和减少供应血管密度,便于手术操作,提高肿瘤的全切除率。
(浙江大学医学院附属第二医院TMC编译,复旦大学附属华山医院王知秋教授审校,《神外资讯》主编、复旦大学附属华山医院陈衔城教授终审)
相关链接




