
“浙二神外周刊”不定期接收外院投稿,审核后发表。欢迎各专业同道联系我们,分享精彩病例、研究热点或前沿资讯。投稿请联系:shishi74@163.com
病史简介
患者,男,30岁,因“颈部疼痛不适3月余”入院。
患者3月余前无明显诱因下出现颈部不适,偶有疼痛,为刺痛,不剧可忍,伴肩部放射痛,无四肢麻木,无温觉变化,无大小便功能障碍等,3月来症状持续存在。当地医院颈椎增强MRI提示:颈延交界区占位,首先考虑室管膜瘤。为行手术治疗来我院。
入院查体:四肢肌力5级,无肢体麻木及感觉减退。
诊疗经过
入院后查颈椎增强MRI(图1)提示枕骨大孔区髓内肿块,大小约23.0mmx22.3mmx42.3mm(左右x前后x上下)。T1以等信号为主,T2以稍高信号为主,内见不规则裂隙状坏死区;增强后坏死周围呈花环样强化,外围中等强化,肿块下方脊髓中央管局段性扩张,生物学行为偏良性肿瘤考虑。

图1. 术前MRI,枕骨大孔区髓内肿块,大小约23.0mmx22.3mmx42.3mm(左右x前后x上下)。T1以等信号为主(图B),T2以稍高信号为主(图A),内见不规则裂隙状坏死区;增强后(图C-E)坏死周围呈花环样强化,外围中等强化,肿块下方脊髓中央管局段性扩张。
科室讨论:该患者诊断首先考虑延颈髓内室管膜瘤,目前无神经功能缺失症状,且年龄较轻,因部位特殊且肿瘤占位巨大,切除肿瘤中造成的牵拉可导致呼吸骤停,存在较大风险,但肿瘤偏于良性,首次手术应尽可能力求全切,术前需与患者及家属充分沟通。
各项术前准备完善后,在电生理监测下行延髓髓内肿瘤切除术。患者取前冲俯卧位,三点头架固定,以C1为中心取约10cm直切口,暴露枕骨及颈1-2椎板,磨钻铣刀铣下枕骨约2cm*2cm,开放枕骨大孔,铣下C1-2椎板,显微镜下切开硬膜及蛛网膜,见延髓-C2水平脊髓膨大明显(图2),沿后正中锐性切开脊髓及延髓,显露肿瘤,呈灰褐色,质地中等,血供一般,尾端与脊髓边界清晰,延髓腹侧部分边界欠清,先以CUSA吸引器行瘤内减压后,显微镜下控制出血、仔细辨别肿瘤界面,电生理监测下(图3)全切肿瘤, MEP、SEP监测未见明显改变,提示脊髓功能保护良好。切除靠近延髓腹侧肿瘤时心率及血压出现一过性下降(图4),暂停操作后缓解。术后患者带气管插管送NICU,术后第二天拔除气管插管,患者四肢肌力5级,肢体感觉稍麻木,无呼吸及吞咽障碍。术后病理为室管膜瘤(WHO II级)(图5)。出院前复查MRI未见肿瘤残留(图6)。术后1周患者步行出院。

图2. 术中照片,延颈髓明显膨大(图A),切开后正中沟(图B),切除靠近延髓腹侧肿瘤时(图C)出现心率变化,暂停操作后心率恢复正常,肿瘤显微镜下全切(图D)。

图3. 术中电生理监测,双上肢及双下肢运动诱发电位(MEP)在术前(图A)及肿瘤全切后(图B)均可引出;感觉诱发电位(SEP),术前(图C)及肿瘤全切后(图D)双上肢均未引出,双下肢在术前术后均可引出,无明显异常。

图4. 切除靠近延髓腹侧肿瘤时心率及血压出现一过性的下降。

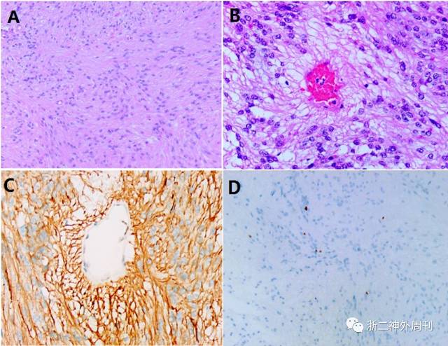
图5. 术后病理为室管膜瘤(WHO II级)。图A,中等细胞密度肿瘤,细胞胞浆呈纤维胶原状(HE染色 20x倍);图B,胞浆突起,聚集在小血管周围,细胞核位于周围,形成假菊形团(HE染色 40x倍);图C,GFAP(神经胶质酸性蛋白)标记室管膜瘤细胞胞浆,血管周围无核区,呈纤维放射假纤维菊形团状;图D,Ki-67增殖指<1%。

图6. 术后复查,术后CT重建显示枕骨及C1-2回纳(图A),术后MRI矢状位扫描显示肿瘤全切(图B,C),增强扫描未见肿瘤残留(图D-F)。
讨论
脊髓室管膜瘤常发生在颈胸段和圆锥终丝部,是成人最常见的髓内肿瘤;常常中年发病,男女无显著性差异[1]。室管膜瘤多起源于脊髓中央管管壁,由肿瘤性室管膜细胞构成,完全位于脊髓内,呈同心圆生长,或偏向一侧,绝大多数为低度恶性肿瘤,虽然没有明显的包膜,但通常与脊髓组织分界清楚,不浸润周边的脊髓组织,肿瘤邻近的脊髓多有继发空洞形成,少数肿瘤本身可发生出血、囊变。典型的室管膜瘤在MRI T1加权图像上呈等信号或略高信号,在T2加权图像上为高信号;增强扫描肿瘤呈轻、中度均匀强化,65%左右在瘤体的头、尾端脊髓内继发空洞形成;肿瘤发生囊变、出血时,血红蛋白分解产物和囊液内容物不同而出现高、低、等异常信号和混杂信号。早期诊断并尽早手术往往可获得良好的预后[2]。
累及延颈髓的室管膜瘤相对少见[3],肿瘤不长但很粗大,侵犯延髓及高位颈髓,术后出现四肢瘫痪及呼吸困难风险较高,常常导致患者对手术缺乏信心,延误手术时机。
对于巨大的延颈髓室管膜瘤,我们的手术体会如下:
(1)因瘤体粗大,正中沟辨别不易,应以两侧的神经背根入髓区寻找中线并结合脊髓背侧滋养血管分布作为后正中沟的参考标志,作肿瘤上下极的充分切开、显露;
(2)术中可先行瘤内减压,勿强求整块切除,以尽可能减少对延髓生命中枢的扰动;
(3)根据肿瘤血供特征,全程保持清晰术野,术中采用低电流的精细双极电凝,动脉性出血采用双极止血,对于较微小的渗血可用棉片或明胶海绵暂时性压迫止血,切不可迷失肿瘤及正常脊髓间的界面;
(4)手术操作难以避免将对心率造成暂时性影响,宜与麻醉师做好充分、密切地沟通,以求最佳状态的配合与合作,耐心地力求全切肿瘤;
(5)肿瘤全切后按原解剖层次缝合软脊膜、蛛网膜及硬膜,并回纳椎板,作全面的解剖结构重建,将手术造成的影响降至最低。
对于延颈髓室管膜瘤,尽管手术存在较大风险,但经过周密地术前准备、精细地术中操作,确保肿瘤切除过程中最大程度的保护神经功能,可争取优良的预后[4]。对于全切的室管膜瘤,复发比例较低,且复发病程较长,复发后仍可以考虑二次手术切除。放疗的疗效不确切,且会引起放射性损伤,放疗后局部黏连及胶质增生常导致二次手术时边界难以辨认,故不主张术后常规行放疗[5]。
参考文献
(1)Haddadi, K. (2016). A huge ependymoma of the cervicalspinal cord with subtle atypical manifestations and hyperhidrosis: Case report.Int J Surg Case Rep, 19, 100-102. doi: 10.1016/j.ijscr.2015.12.034
(2)Ito, T., Ozaki, Y., Nakagawara, J., Nakamura, H., Tanaka,S., & Nagashima, K. (2005). A case of cervicomedullary junction tanycyticependymoma associated with marked cyst formation. Brain Tumor Pathol, 22(1),29-33. doi: 10.1007/s10014-005-0174-5
(3)Amatya, V. J., Takeshima, Y., Kaneko, M., Nakano, T.,Yamaguchi, S., Sugiyama, K., . . . Inai, K. (2003). Case of clear cellependymoma of medulla oblongata: clinicopathological and immunohistochemicalstudy with literature review. Pathol Int, 53(5), 297-302.
(4)Hoshimaru, M., Koyama, T., & Hashimoto, N. (2000).[Microsurgery of cervical intramedullary ependymomas extending into the medullaoblongata]. No Shinkei Geka, 28(6), 517-522.
(5)王贵怀,杨俊,王忠诚等.脊髓髓内室管膜瘤的外科治疗策略与疗效分析[J].中国微侵袭神经外科杂志,2010,15(3):99-102.
(浙江大学医学院附属第二医院神经外科应广宇整理,朱永坚主任医师校审,术中电生理监测由麻醉科于水医师提供。术后病理由病理科许晶虹主任提供并点评。张建民主任终审)
往期回顾
浙二神外周刊(九十六)--桥小脑角脑膜瘤伽马刀后并发PICA血栓性动脉瘤一例
浙二神外周刊(九十四)--颅内表皮样囊肿自发破裂伴血清CA-199显著升高一例
浙二神外周刊(九十二)--鞍上毛细胞黏液样星形细胞瘤伴自发性出血一例
浙二神外周刊(九十一)--2017西湖神经外科论坛成功召开!
浙二神外周刊(九十)--以尿崩症为首发表现的Erdheim-Chester病一例并文献复习
浙二神外周刊(三十七)--垂体瘤伴发鞍结...
浙二神外周刊(三十六)--脑膜血管瘤病...






