祝贺
由陆军总医院徐如祥教授主持的全军十二五重点课题-“稀土材料阴极X射线源小型16层移动CT” ,经过6年多的不懈努力终于成功研制。经陆军总医院附属八一脑科医院急诊室、ICU、手术室及急救车载350余例移动CT扫描试验,各项质量指标显著优于目前国际同类CT扫描仪。在成像质量、辐射剂量、运行能耗、扫描精度、扫描时间,以及抗振和减振作用等多项核心指标的性能达到或优于国际标准。

国产16层移动CT研制成功!

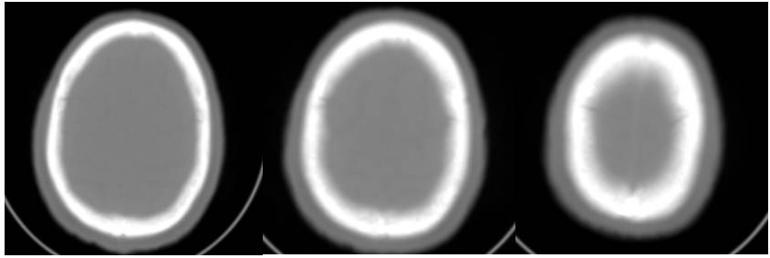
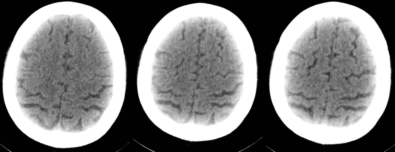
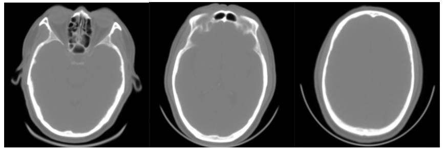
16层CT头部扫描(正常志愿者)






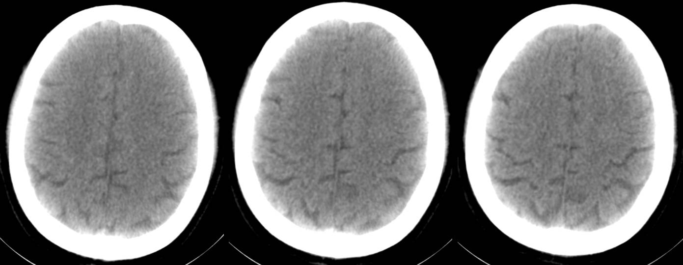
16层移动CT脑部扫描


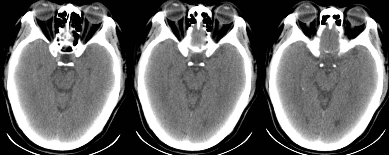
16层移动CT脑部扫描(骨窗像)


16层移动CT足部扫描


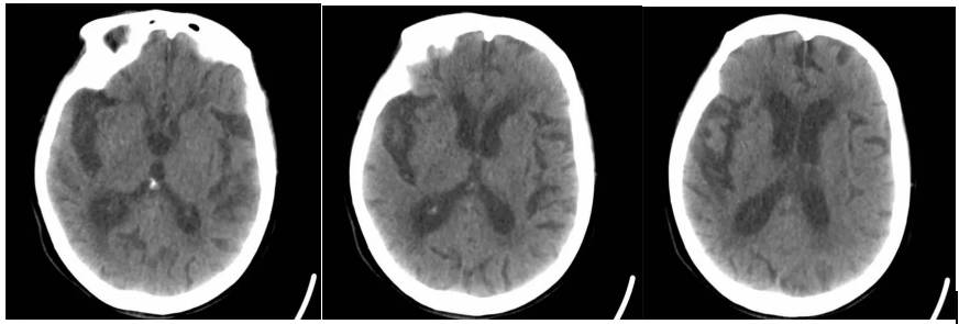
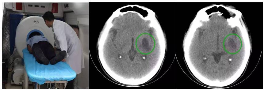
急诊室脑梗塞移动CT床旁脑部扫描


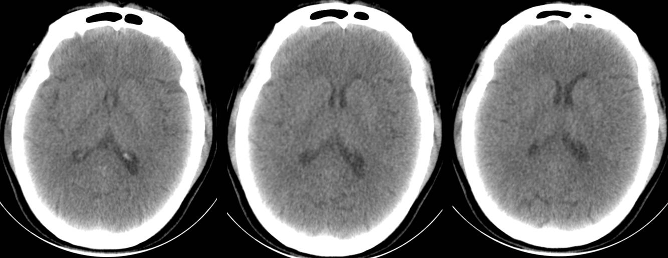
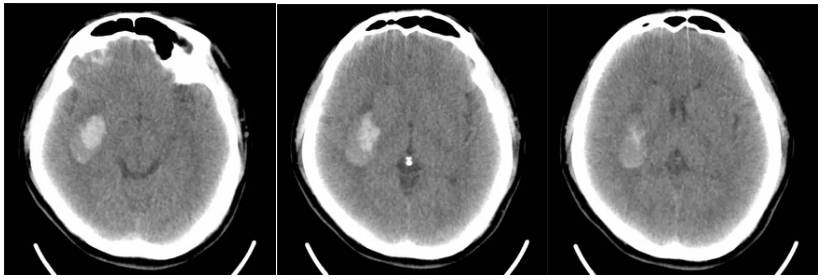
脑科ICU脑出血移动CT床旁脑部扫描


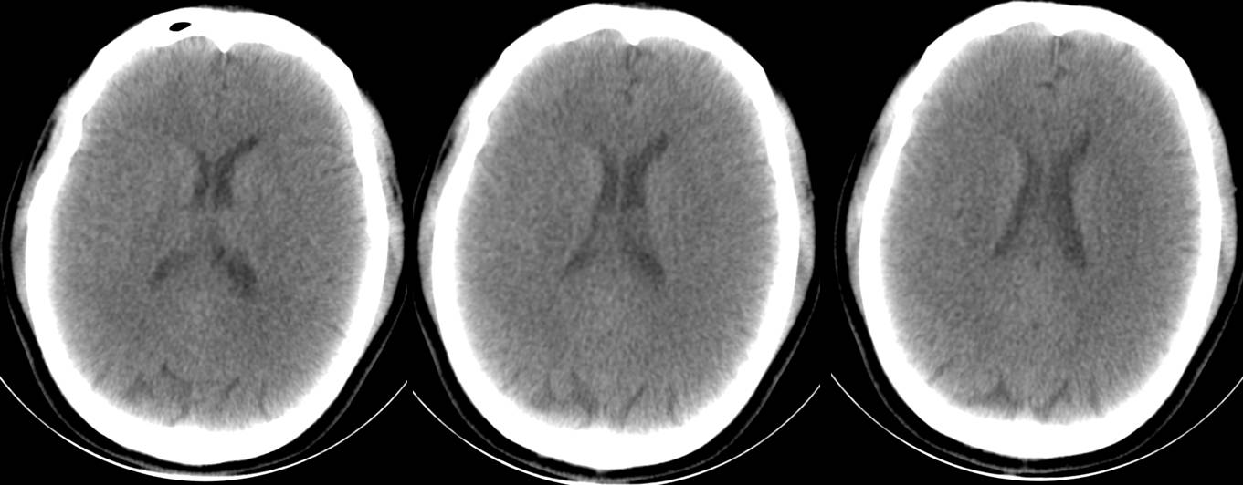
脑科手术室脑损伤移动CT床旁脑部扫描


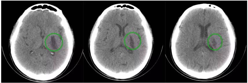
救护车载移动CT陈旧性脑梗塞扫描


救护车载移动CT扫描脑出血后软化灶形成


16层移动CT的研制成功,解决了我国无小型移动CT影像设备的落后局面,为军队颅脑战伤救治增添新的便携式移动医疗装备。CT断层扫描是颅脑伤病诊断的“金标准”,利用车/船/机载移动CT,构建全天候颅脑战创伤远程移动医疗平台。该项目具有完全自主知识产权。
该项目研制成功得到了国内多家兄弟研究单位和大学的大力支持和协作,在此表示衷心的感谢!我们也感恩在移动CT研制过程中给予指导和帮助的老前辈和专家们!
陆军总医院2017年6月11日报道


徐如祥 教授/主任医师/博导
(陆军总医院附属八一脑科医院院长、中国神经科学学会副理事长、《中华神经医学杂志》主编、《中华神经创伤外科电子杂志》主编)
徐如祥,现任中国人民解放军陆军总医院附属八一脑科医院院长,技术二级,文职一级。陆军神经外科研究所所长,主任医师、教授,硕士生/博士生导师,全国优秀中青年百千万人才工程一、二层次,享受国务院特殊津贴。曾赴日本留学1年。
承担国家重大疾病救治——颅脑与脊髓损伤救治技术研究重大课题、国家自然科学基金重点项目、军队重点课题等20余项;获得国家科技进步二等奖1项,省部级一等奖2项,二等奖11项;获国家发明/实用新型专利40余项;以第一或通讯作者发表论文300余篇,其中100篇被SCI收录;主编、副主编专著9部;培养博士后35名、博士研究生102名、硕士研究生75名。
中国神经科学学会副理事长、中国神经科学学会神经损伤与修复分会主任委员、全军神经外科专业委员会副主任委员、中华医学会神经外科学分会常委、北京市医学会神经外科分会副主任委员;《中华神经医学杂志》、《中华神经创伤外科电子杂志》主编,《中国神经外科临床杂志》、《中国微侵袭神经外科杂志》、《解放军医药杂志》副主编,《中华神经外科杂志》、《中华创伤杂志》等10余种杂志编委;曾先后被评为总后勤部科技新星、科技银星,荣获第二届全国百名优秀中青年科技之星、2006年荣获第三届中国医师奖,2008年“5.12”汶川特大地震发生时,带领医疗队赴映秀、耿达等重灾区救治群众,因成绩突出荣立特等功,并被评为全国卫生系统抗震救灾先进个人和全国卫生系统优秀党员。荣立二等功1次,三等功3次。




