相关回顾
“脱髓鞘”系列之疾病篇| 中枢神经脱髓鞘病要与代谢、感染、肿瘤、遗传、中毒等疾病相鉴别!
多发性硬化(Multiple Sclerosis,MS)是一种可累及大脑白质、皮层及深层灰质,形成多灶性脱髓鞘斑块的中枢神经系统自身免疫性疾病,其最常累及脑室周围白质、胼胝体、视神经、脊髓、脑干和小脑,以中枢神经系统白质内散在分布的多病灶(空间多发性)与病程中呈现的缓解复发(时间多发性)为主要特点。

今天的男主角男性,37岁,反复复视4年,双下肢无力、行走不稳1年,入院后看到他的磁共振片子上的中枢病灶完全是教学级的,几乎囊括了我们所有多发性硬化病灶的位置分布、形态等特点,故特地整理后给大家show一show,当然,因视力下降非此次急性发作症状,在行颅脑增强磁共振时未看到强化病灶,未作单独的视神经磁共振,故本文中未提供视神经影像。那么我们就来扒一扒他的中枢神经系统的病灶吧。

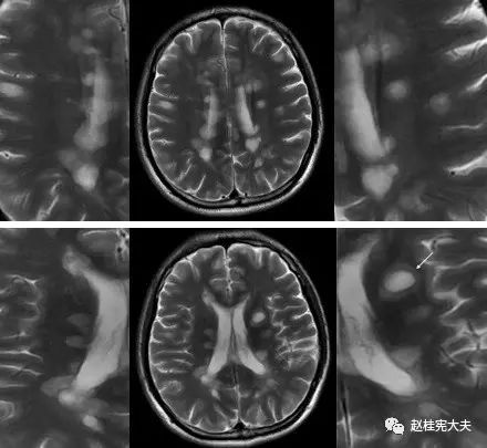
图1. 示双侧脑室旁、额、顶、颞叶皮层及皮层下,脑桥多发圆形或卵圆形病灶。T1低信号,T2高信号。

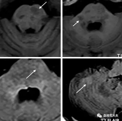
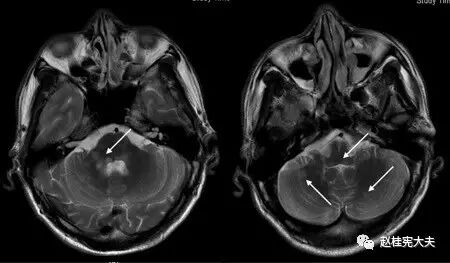
图2. 示双侧桥臂、延髓、小脑多发圆形或卵圆形病灶,T2高信号。

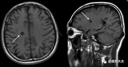
图3. 示双侧额顶叶皮层及皮层下、深部白质内多发长T1信号病灶,称“黑洞”(black hole)。

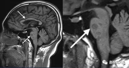
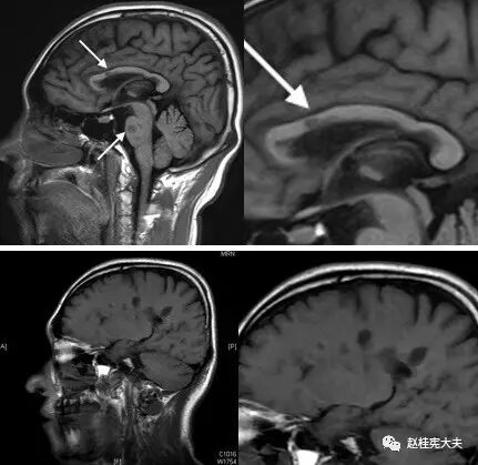
图4. 示T1矢状位像,胼胝体上缘可见多发斑片状低信号,“Dawnsing finger“即“指压征”。

图5. 示双侧放射冠区、侧脑室旁多发圆形、卵圆形或斑片状病灶,T2高信号,部分呈煎蛋征(双娇煎蛋)。(左侧侧脑室旁)病灶长轴与侧脑室长轴垂直。

图6. T2FLAIR薄层示双侧侧脑室旁、胼胝体多发斑片状高信号灶。

图7. 矢状位T1像示:胼胝体深部、侧脑室上缘,脑桥见多发斑片状低信号。

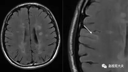
图8. T2FLAIR像示(左图)上箭头—皮层病灶;(左图)下箭头、(右图)皮层下病灶。

图9. T2 FLAIR像示(右图)皮层下累及U形纤维病灶。

图10. (上图)T1、(下图)T2 FLAIR像示:病灶累及脑桥、延髓、双侧小脑。

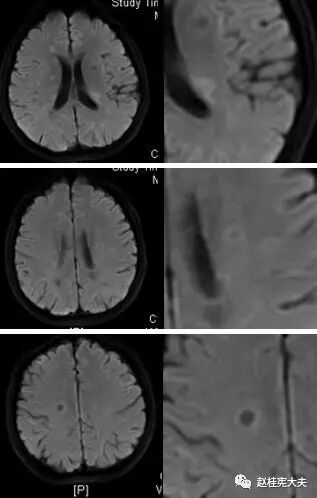
图11. 示双侧半卵圆中心、放射冠区病灶DWI像呈较高信号,以结节边缘较明显。

图12. T1增强(右图)示双侧放射冠区、侧脑室旁多发斑片状低信号灶,增强后呈轻度环形、开环样强化,由于本例增强磁共振做于激素冲击之后,故强化不明显。

图13. SWI示右侧白质半卵圆中心病灶,箭头示典型“中央静脉征”。

图14. DTI-FA图 示侧脑室旁病灶呈较低信号,可提示轴突髓鞘磷脂含量越少。


图15. DTI 箭头示右侧半卵圆中心局部纤维束变薄、较左侧纤细,左侧胼胝体中心纤维局部信号减低。

图16. 示C2-6水平颈髓内散在小斑片状T2较高信号,箭头示C4-5水平结节状高信号灶。

图17. 示T5水平胸髓内见短节段椭圆形病灶,T2高信号。

图18. 示T7-8水平胸髓内见条片状T2高信号,且<2个椎体节段。
以上就是一例典型MS患者颅脑和脊髓典型病灶的分布及形态特点,下面就让我们一起简要回顾一下MS病灶的病理及影像特点。
重要提示:了解一个疾病,最佳的方式就是了解疾病的发病机制和病理特点,这样就抓住疾病的本质,唯有如此,无论诊断标准如何变化,核心的、本质的东西不会改变,才能免于人云亦云……
看完了片子,为了加深印象,我们特别对多发性硬化的病理及影像特点做一个文字总结。
一、MS的病理特征(作者曾发文介绍过MS的病例特点,参见多发性硬化的典型病灶)
MS的急性斑块在血脑屏障破坏不久后出现,镜下见血管周围水肿、髓鞘肿胀且开始破碎,伴轻微的小胶质细胞反应,无明显淋巴细胞或巨噬细胞浸润;

早期活动阶段以明显的髓鞘崩解为特征,斑块内挤满了含有Luxol-fast blue染色的髓鞘降解产物和髓鞘蛋白的巨噬细胞,血管周围可见明显的淋巴细胞鞘,伴显著的反应性星形细胞胶质化和轴突损伤;
进入疾病慢性期,斑块内显示较多含髓鞘碎片的巨噬细胞伴周边高度活化的小胶质细胞,仅见较少的炎性细胞浸润,且常表现为完全性脱髓鞘和不同程度的轴突减少。
至慢性非活动期,斑块显示较少的炎性反应,小胶质细胞和巨噬细胞罕见,斑块逐步向纤维性星形细胞胶质“瘢痕”演化,轴突密度大大减少。
脱髓鞘斑块可自发修复为“影子”斑块,因少突细胞及其祖细胞增多而显示斑块内细胞结构的增加,Luxol-fast blue染色可使其轻微着色,在疾病早期髓鞘几乎可完全性再生,在晚期活动性及慢性病变的边缘可见髓鞘部分性再生区。

脑标本研究发现外观正常脑白质和灰质内已存在提示轴突传输功能缺陷的细胞和分子变化,且表现出与缺氧患者相似的氧化应激反应。
二、MS的影像特点
多发性斑块在MR上表现为多灶性T1WI等或低信号,T2加权图像(FLAIR序列上尤为明显)上特征性不同程度的高信号,可反映脑灰、白质炎症病变;部分病灶在增强图像上表现为局灶性钆对比增强性信号改变,反映局部急性血脑屏障破坏和活动性炎症反应;较大的活动性斑块在DWI上亦可显示弥散受限。
位于脑室周围典型者,长圆形病灶的长轴与大脑或侧脑室长轴垂直,且有一狭窄正常信号带将病灶与侧脑室分开,而之后转为正常表现的低信号提示髓鞘再生;在疾病晚期,病变可发生融合,T2上出现融合性高信号灶,易误为肿瘤;因病灶可沿室管膜静脉从脑室表面进入邻近白质,故胼胝体常首当其冲罹病,且好发于胼胝体内侧或深部,即靠近脑室边缘处。
视神经受侵犯时,呈现T2高信号并可伴视神经增粗,与单纯MS相比,NMO视神经病变范围更广泛,可延伸到视神经后部甚至视交叉,且病变通常呈对称性分布[3];MS脊髓受累者,病灶多>3 mm且<2个椎体节段,横断面上<1/2脊髓面积且水肿轻,而NMOSD脊髓病变可扩展到3个以上脊髓水平,但部分亚洲MS患者的脊髓病灶长度可≥2个椎体节段,AQP4抗体检测有助于鉴别。
基于常规MRI诊断的局限性,双反转恢复(DIR)序列、相位加权PADRE技术等可提供更多皮质以及软脑膜下炎性病变的信息,DTI可用于识别白质内水的扩散受限,定量白质纤维束破坏和损伤情况等。
参考文献:
1. P.M.Matthews, F. Roncaroli, A. Waldman, M.P. Sormani, N. De Stefano, G. Giovannoni,R. Reynolds, A practical review of the neuropathology and neuroimaging ofmultiple sclerosis, Practical neurology 16(4) (2016) 279-87.
2. M.Filippi, M.A. Rocca, O. Ciccarelli, N. De Stefano, N. Evangelou, L. Kappos, A.Rovira, J. Sastre-Garriga, M. Tintore, J.L. Frederiksen, C. Gasperini, J.Palace, D.S. Reich, B. Banwell, X. Montalban, F. Barkhof, MRI criteria for thediagnosis of multiple sclerosis: MAGNIMS consensus guidelines, The Lancet.Neurology 15(3) (2016) 292-303.
3. S.Khanna, A. Sharma, J. Huecker, M. Gordon, R.T. Naismith, G.P. Van Stavern,Magnetic resonance imaging of optic neuritis in patients with neuromyelitisoptica versus multiple sclerosis, Journal of neuro-ophthalmology : the officialjournal of the North American Neuro-Ophthalmology Society 32(3) (2012) 216-20
致谢:感谢华山医院放射科博士研究生 金腾 医生的辛勤付出!
作者介绍
赵桂宪,临床医学博士,2000年本科毕业于西安交通大学临床医学院。2008年博士毕业于福建医科大学,2008年至今在复旦大学附属华山医院神经内科工作,长期工作于临床一线,擅长中枢神经系统脱髓鞘疾病的诊断和鉴别诊断及神经遗传变性病。同时进行多发性硬化(MS)的临床及科学研究。
相关回顾
“脱髓鞘”系列之疾病篇| 中枢神经脱髓鞘病要与代谢、感染、肿瘤、遗传、中毒等疾病相鉴别!





