今天为大家分享的是《颅脑创伤-神经重症病例周刊》第十七期,由浙医二院神经外科主任张建民教授团队带来的病例分享:螺纹钢致颅脑贯通伤一例。文末分别由上海市医学会创伤学分会主任委员、上海长征医院神经外科主任、“神外资讯中国颅脑创伤-神经重症专家组”委员侯立军教授,无锡101医院副院长兼神经外科主任、“神外资讯中国颅脑创伤专家组”委员王玉海教授,上海市医学会创伤学分会青年委员会副主任委员、上海长征医院神外一科副主任吕立权副教授对病例做出了精彩点评,欢迎阅读。
【颅脑创伤-神经重症病例周刊】往期回顾

长按并识别二维码即可观看手术视频
病史简介
患者:男,27岁,因“高处坠落致钢筋贯穿头部8小时”入院。
患者于8小时前醉酒后自1米高处坠落,螺纹钢自右侧颌下贯穿至左额颞部。当时患者身体悬空,有活动性出血,量不多。无呕吐,无呼吸困难等不适。经现场将螺纹钢紧急离断后,急送当地医院(距事发时间1.5小时),送至医院时患者意识不清,生命体征平稳,四肢有自主活动。急查头颅CT显示为“棒状金属异物从右侧颌下插入,穿通中颅底至颅内,由左侧额颞部颅骨穿出,伴左侧中颅底及额颞部颅骨骨折”。当地医院考虑病情复杂,处理困难及风险大,家属商量后要求转至我院。途中有呕吐,胃内容物,呼吸平稳,安全抵达。
入院查体:神志模糊,烦躁,GCS11分,双侧瞳孔等大等圆3mm,对光反射灵敏,右侧颌下可见约2cm伤口,内可见离断的螺纹钢残端,左侧额颞皮下凸起,可触及皮下的另一残端(见图1黄色箭头)。口鼻腔少量出血。

图1. 右侧颌下可见约2cm伤口,内可见离断的螺纹钢残端,左侧额颞皮下凸起,可触及皮下的另一残端(黄色箭头)。
诊疗经过
入院后评估生命体征等平稳后,急查头颈胸CT及颈动脉CTA,并请口腔科、五官科会诊。
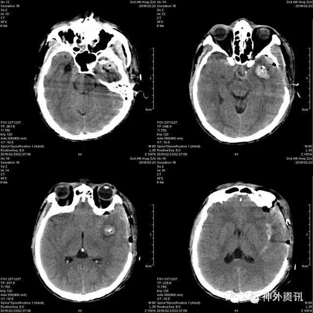
头颅CT提示:可见金属棒状物自右颈部颌下斜行经口咽、左侧鼻咽及中颅底,至左侧额颞部颅骨穿出,伴右侧颌下及上颈部皮下气肿,周边放射状伪影明显,周围结构显示欠清,左颞叶脑实质穿透,异物周边脑实质水肿,右侧脑室受压变形,局部中线结构轻度右偏。左顶部头皮软组织肿胀。左侧中颅底及左顶骨骨折,鼻骨骨折(见图2)。

图2. 头颅CT提示螺纹钢与左颈内动脉管贴近,最近处约2mm(箭头所示)。
颈动脉CTA示:两侧颈动脉周边未见明确血肿,金属异物与左颈内动脉管贴近(见图 3)。

图 3. 三维重建显示螺纹钢位置。
科室会诊后,决定立即行急诊手术取出螺纹钢。依据现有检查结果,提示螺纹钢可能未伤及左颈内动脉,也有可能伤及了颈动脉但由于压迫还未引起出血。此外,因螺纹钢由中颅窝底入颅,入颅部位恰好位于卵圆孔、棘孔等重要解剖结构区域,走行区域也与左侧海绵窦关系密切,术中须警惕脑膜中动脉及海绵窦出血。
经充分的术前准备后,在麻醉科,口腔科,耳鼻喉科等通力合作下,手术由陈景森副主任医师主刀,首先围绕螺纹钢头端作切口,掀开皮瓣及颞肌,暴露螺纹钢头端。铣刀铣除左颞顶螺纹钢出颅处卡压颅骨,打开额颞骨瓣,磨除蝶骨嵴至颅底,弧形剪开硬膜,见侧裂血管未损伤(见图4)。显微镜下打开侧裂及颈动脉池、视交叉池等释放脑脊液,降低颅压后,牵开颞叶,逐渐暴露颅底,见螺纹钢由中颅窝突破颅底,剪开螺纹钢周边外侧颅底硬脑膜,清掉碎骨,使螺纹钢松动。考虑螺纹钢带有螺纹,逆行拔除会带动颅底碎骨片,刺破颅底颈内动脉可能,且螺纹钢颞顶出颅处及颅底进颅处均已解除固定,在下颌伤口及口咽部充分消毒后顺着穿刺道从颞顶处缓慢取出螺纹钢。窦道可见活动性动脉性出血,探查颅底见出血来自脑膜中动脉,予电凝止血,海绵窦区渗血予明胶海绵压迫止血。同时取自体颞肌及自体脑膜修补颅底,窦道充分止血(见图5)。取出的螺纹钢(见图6)。(点击左下方阅读原文或扫描下方二维码可观看手术视频)

长按并识别二维码即可观看手术视频

图4. 术中见螺纹钢突破颅骨,但未损伤侧裂血管。

图5. 术中所见:A. 显微镜下可见螺纹钢由中颅窝入颅;B、C. 取出螺纹钢后,可见脑膜中动脉出血(箭头所示),予电凝止血;D、E. 自体颞肌及脑膜修补颅底;F. 窦道未见活动性出血。

图6. 取出的螺纹钢长约22cm,直径约1.2cm。
随后,由耳鼻喉及口腔科医师处理鼻咽部及口咽部伤口。术后患者病情平稳,神志转清,次日复查CT提示:颅内异物取出术后,术区少量积血、积气(图7)。术后第2天转普通病房继续抗感染等治疗。

图7. 术后复查头颅CT。
讨论
颅脑贯通伤(penetrating brain injury,PBI)在战时多为火器伤,非战时则多为钢筋、匕首、筷子、铅笔、钢钉等锐器伤。颅脑贯通伤患者往往病情危重,常伴有出血性休克或脑损伤及感染,死亡率较高,涉及功能区的则可遗留明显的后遗症,是颅脑损伤救治的难点。国内外与此相关的文献报导也屡见不鲜。
PBI的治疗目标为:
①取出颅内异物,降低颅内压;
②清创预防感染;
③预防血管损伤;
④防止脑脊液漏[1]。
具体在急诊遇到一个PBI病人时,该如何处理呢?我们的体会是:首先,快速评估生命体征,尤其是血压,呼吸,若有问题马上处理;其次,在询问病史的同时,需迅速留意有无活动性出血,以及颈椎是否受伤,脑脊液或脑实质有无流出等[2];随后,仔细检查头面部皮肤伤口,尤其是头皮,因为头发上的血凝块可能覆盖住伤口。判断出异物的入口后,仔细辨别出口。进一步,对患者进行神经功能查体和GCS评分[3],注意使用颈托保护患者颈椎。神经系统查体之后,对其它部位进行查体,以排除多发伤。完成血气、生化等常规检查,详细询问病史,准备行影像学检查。
影像学检查主要为头颅平片和头部CT,在致伤物为木质的情况下,MRI检查能起到更好的效果[4,5]。当损伤轨迹可能波及颈内及颅内动脉、侧裂、海绵窦以及大静脉窦等易出血的部位时,有必要进行脑血管造影检查,同时也能辨别出一些分枝血管的损伤[4,6,7]。如情况紧急或条件有限,CTA常用于替代DSA来观察血管及血流情况,CT三维重建对了解异物与颅底和颅骨结构之间的关系非常有用。
对于PBI的手术处理,可参考颅脑贯通伤处理指南[8]。为降低感染风险,手术应尽量在12小时内进行。在取出异物,去除坏死的头皮、骨质和硬膜的同时,尽量去除穿刺道周围可及的碎骨片,清除血肿。对于功能区的异物或者碎骨片,可以视情况保留[3,8-10]。如果致伤物经过鼻旁窦,应严密缝合硬膜以减少脓肿形成和脑脊液漏的机率[3,8,11]。对战时PBI的大样本研究显示,去骨瓣减压能改善此类患者的预后[12]。
本例病人为螺纹钢导致的颅脑贯通伤,所幸未伤及颈内动脉,没有出现致命性大出血。为了预防术中可能发生的颈内动脉破裂引起的大出血,术前必须充分备血,术中充分暴露颅底,随时准备按压或临时夹闭颈内动脉配合主刀进行止血。若有复合手术室条件,介入手术组也须待命配合,以备不时之需。对涉及多学科损伤,需多科通力协作,各司其职。本病例虽然成功顺利取出了螺纹钢,但术后仍需密切观察颅内及伤口感染等并发症,并及时处理。
浙医二院作为“百年老店”,一直在创伤救治方面走在国内前列,是浙江省神经创伤、急诊医学等的中心,每年都有大量颅脑创伤等病人送来救治,其中不乏颅脑贯通伤病例。以下为近年来我们所救治的另外几例颅脑贯通伤病例,基本上都得到了满意的治疗效果。

图8. 折叠刀刺入颅内,成功拔除(患者,男,37岁,A、B术前CT,C术后CT复查)。

图9. 钢棒入颅,成功拔除(患者,男,55岁,A、B术前CT,C术后CT复查)。

图10. 钢钩扎入眶颅,顺利拔除(患者,女,35岁,A、B、C术前,D术后CT复查,E取出钢钩)。

图11. 钢钎经口咽入颅,成功拔除(有点类似于本病例,患者,男,44岁)。

图12. 刀片插入眶颅,顺利拔除(患者,女,67岁)。

图13. 拔除枯竹(患者,女,61岁,详见浙二神外周刊(八))。
(本文由浙二神外周刊原创,浙江大学医学院附属第二医院神经外科徐航哲整理,陈景森副主任医师审校,张建民教授终审)

点击阅读原文或扫描二维码可观看手术视频
精彩点评
平时颅脑贯通伤相对少见,患者往往病情危重、处理棘手、致残致死率高。浙医二院颅脑创伤团队为我们提供了一例成功的案例,其处理经验值得借鉴。
1.从投射物角度而言,该投射物虽为冷兵器,但具有旋转螺纹,在穿行颅脑过程中具有较强的旋转力,使脑组织具有旋转应力损伤。术者通过娴熟的显微外科技术,首先对入口和出口进行充分松解,并从出口取出异物,最大限度地减少了医源性损伤。
2.从创伤弹道学角度而言,该伤道从右侧颈部颌下,斜行穿过左侧中颅底,累及额颞两个脑叶,影响手术效果及预后;既有骨性伤道,又有脑组织伤道,伤道内有大量的异物,增加了手术难度。
3.从解剖角度而言,异物从卵圆孔附近穿入,累及海绵窦区,有可能累及周围大血管及颅神经。术前快速和完善的评估非常重要,尤其是对异物和颈部大血管及颅内主要血管的关系需要有详尽的了解。本例中采用CTA进行评估,明确了钢筋和颈部主要血管之间没有直接关系,是手术安全进行的基础。如果异物和血管之间关系密切,应当进一步行DSA检查,了解颅内侧枝循环情况和牺牲受累血管的可能性;同时需要对术中大出血做好详尽的处理预案。
4.此病例涉及颅颌面多部位损伤,通过多学科合作有效减少了术中、术后并发症的发生。
5.术中采用自体材料严密修补颅底缺损,有效预防了术后脑脊液漏和感染的发生。
对于此类伤者围手术期的处理同样至关重要,需要应用广谱抗生素预防感染,抗癫痫药物预防癫痫,伤后2周需要再次评估颅内血管以排除创伤性动脉瘤的发生。另外,如果在条件允许的情况下,能结合神经内镜技术松解颅底、探查伤道、清除伤道内异物,有可能使手术更加微创和安全。
侯立军 教授
上海长征医院神经外科主任
全军神经外科研究所所长
上海市神经外科研究所所长
上海市医学会创伤学分会主任委员
吕立权 副教授
上海长征医院神外一科副主任
上海市医学会创伤学分会青年委员会副主委
精彩点评
颅脑贯通伤因病情复杂、术中变化多、术后并发症多,一直是颅脑损伤救治的难点。其处理主要集中在四个方面:1.异物的去除;2.控制术中出血;3.颅底的修补和重建;4.颅内感染的防控。
本例螺纹钢所致贯通伤处理原则正确:1.在病情紧急的情况下仍对患者做了充分必要的评估,如行头颈胸的CT及颈动脉的CTA检查等,并请相关学科会诊,制定周密的手术方案;2.术中处置正确,根据异物为螺纹钢的具体情况,采取顺行从穿刺道取出螺纹钢,并用自体颞肌和自体脑膜修补颅底,术后行去骨瓣减压。
个人认为不足之处:1.患者为颅底的贯通伤,且异物接近左侧海绵窦区,在行颈部CTA的同时如行头颅CTA检查可以术前明确颅内血管有无损伤,将对手术有更明确的指导意义;2.处理贯通伤,感染控制应该贯穿始终,但文中一直没交代如何预防控制感染,如术中是否使用双氧水冲洗、术中术后如何使用抗生素、术后是否留置腰大池引流、患者的总体预后等等,若能充实此方面内容,将使文章更加饱满。
王玉海 教授
神经外科主任
无锡101医院副院长兼脑科医院院长
参考文献
1. Natrella M, Duc L, Lunardi G, Cristoferi M, Fanelli G, Meloni T. Treatment of a transorbital penetratinginjury: a particular endovascular approach. Interventional Neuroradiology. 2012; Jun 18(2): 191-194.
2. Blissitt PA. Care of the critically ill patient withpenetrating head injury. Critical Care Nursing Clinics of North America. Sep2006; 18(3): 321-332.
3. EspositoDP, Walker JP. Contemporary management of penetrating brain injury. Neurosurgery Quarterly. Dec 2009; 19(4): 249-254.
4. Neuro imaging in the management of penetrating brain injury. Journal of Trauma-injury Infection and Critical Care. Aug 2001; 51(2 Suppl): S7-11.
5. Green BF, Kraft SP, Carter KD, Buncic JR, Nerad JA, Armstrong D. Intraorbital wood. Detection by magnetic resonance imaging. Opthalmology. May 1990; 97(5): 608-611.
6. Offiah C, Twigg S.Imaging assessment of penetrating craniocerebral and spinal trauma. Clinical Radiology. Dec 2009; 64(12): 1146-1157.
7. Levy ML, Rezai A, Masri LS, Litofsky SN, Giannotta SL, Apuzzo ML, Weiss MH. The significance of subarachnoid hemorrhageafter penetrating craniocerebral injury: Correlations with angiography and outcome in a civilian population. Neurosurgery. Apr 1993; 32(4): 532-540.
8. Surgicalmanagement of penetrating brain injury. Journal of Trauma-injuryInfection and Critical Care. Aug2001; 51(2 Suppl): S16-25.
9. Chaudhri KA, Choudhury AR, al Moutaery KR, Cybulski GR. Penetrating craniocerebral shrapnel injuries during ''Operation Desert Storm'': Earlyresults of a conservative surgical treatment. Acta Neurochirugica(Wien). 1994; 126(2-4): 120-123.
10. Hammon WM. Analysis of 2187 consecutive penetrating wounds of the brain from Vietnam. J Neurosurgery. Feb 1971; 34(2 Pt 1): 127-131.
11. Aarabi B, Taghipour M, Alibaii E, Kamgarpour A. Central nervous systeminfections after military missile head wounds. Neurosurgery. Mar 1998; 42(3): 500-507.
12.Bell RS, Mossop CM, Dirks MS, Stephens FL, Mulligan L, Ecker R, Neal CJ, Kumar A, Tigno T, Armoda RA. Earlydecompressive craniectomy for severe penetrating and closed head injury duringwartime. Neurosurgery Focus. May 2010; 28(5): E1.
【颅脑创伤-神经重症病例周刊】往期回顾





