今天为大家分享的是由浙江大学医学院附属第二医院王勇杰医师编译,《神外资讯》常务编辑、海军军医大学附属长征医院神经外科徐涛医师审校的:幕上硬脑膜动静脉瘘,欢迎观看、阅读。
相关回顾
脑动静脉畸形(AVM)术中破裂的紧急处理(中英文字幕)
请阅读“硬脑膜动静脉瘘手术基本原则”一章了解疾病的一般信息,手术指征和术前准备。
一些硬脑膜动静脉瘘(dural arteriovenous fistulas,dAVFs),如筛骨或前颅窝,岩上窦或天幕来源者,并不具备理想的经动脉或静脉途径进行介入治疗,而适合显微手术治疗。这些dAVFs与颅内的主干静脉窦无关,因而几乎都由皮层静脉引流。
诊断与评估
颅内出血是这些dAVFs最常见的临床表现形式。出血可发生于脑内、蛛网膜或硬膜下腔。非出血的临床表现包括搏动性耳鸣/可闻及的杂音,进行性痴呆,静脉高压相关的缺血样症状,静脉窦回流受阻继发的脑积水。

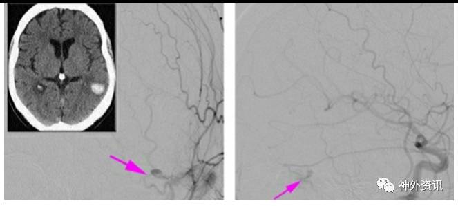
图1. 左侧颈外动脉的前后位血管造影(左图)和侧位血管造影(右图)提示筛骨dAVF,由筛前动脉和大脑镰动脉供血,引流至伴有静脉曲张的皮层静脉,可见静脉动脉化。
筛骨dAVFs位于前颅窝底,由筛前动脉、眼动脉脑膜支和起源自眼动脉的大脑镰前动脉供血,形成瘘口样连接,在额叶下方前颅窝硬脑膜基底部或内侧的大脑镰引流至一根软脑膜静脉(额静脉或嗅静脉)。
手术指征
自然病史显示,未经过治疗的伴有皮层引流静脉的dAVFs具有较高的致残和致死风险。必须通过闭塞瘘口的静脉侧来治疗dAVFs,单纯闭塞动脉将无法获得有效和持久的疗效。
AVMs病灶位于脑实质内,未处理供血动脉前闭塞引流静脉将导致出血和破裂风险增加。与AVMs不同,dAVFs的病灶(或瘘口)则位于增厚的硬脑膜内,因此阻断静脉是安全的,且可以达到治愈的效果。
大部分适合手术干预的幕上dAVFs均为筛骨和矢状窦旁局灶型dAVFs。
筛骨dAVFs动脉化静脉中的曲张静脉发生破裂的风险高。由于这些静脉为软脑膜来源,实际操作中无法通过经静脉途径到达。经动脉途径则需要穿过眼动脉,闭塞后存在失明的风险。而手术治疗从技术层面上相对容易,风险低,可治愈。
夹闭筛骨和矢状窦旁dAVFs
筛骨dAVFs
筛骨dAVFs手术的目的是在瘘口所处的硬脑膜周围发现动脉化的引流静脉,进行结扎并彻底离断。一般行单侧眶上开颅即可。
除去引流静脉位于鸡冠两侧的情况,一般很少用到双侧开颅。即便是双侧供血的dAVFs,多数情况下该入路也是不必要的,因为需要离断的引流静脉多位于单侧。
患者取仰卧位,轻度伸展头部,使得额叶在重力作用下下垂,但应避免过度后仰而导致眶上缘阻挡手术视野。作者常放置腰大池引流,以便于抬起额叶。在回流静脉同侧,行眉弓或Soutar切口。由于在开颅时额窦往往会被打开,因此需预先保留骨膜。
作者以眶顶为基底,U形或十字形切开硬脑膜,注意探查和保护下方附着在硬脑膜上的动脉化静脉。
矢状窦旁dAVFs
该类dAVFs的暴露比较简单,单侧矢状窦旁开颅,相应节段上矢状窦去顶就已足够。仔细电凝并切断硬脑膜供应血管,切开硬脑膜时,围绕上矢状窦作为基底。
硬膜内操作
筛骨dAVFs
当硬脑膜被最大程度地翻起后,轻轻抬起额叶,沿着前筛板可找到动脉化引流静脉与脑膜的连接处,该处dAVFs由筛动脉供血,或者在内侧的大脑镰上,由大脑镰前动脉供血。在瘘口处往往可观察到曲张静脉。出血病例中,这些曲张静脉多是出血的来源。
将静脉或曲张静脉与周围脑组织分开,在硬脑膜附近动脉化回流静脉起源处放置临时血管夹,确保静脉血恢复暗蓝色。一旦确认,选择一枚小的永久直夹夹闭静脉,电凝烧灼后离断。进一步用荧光造影进行确认。
图2. 一例右侧筛骨dAVF(左图,箭头),位于前筛板水平。行右侧眉弓眶上开颅,暴露引流静脉(右图,箭头)。在大脑镰旁发现动脉化静脉,烧灼后离断。
矢状窦旁dAVFs
上矢状窦dAVFs少见,约占5%。窦附近的外伤、肿瘤,和窦内静脉血栓形成在这类dAVF的病理发生中起到一定的作用。
这些dAVFs多分布在上矢状窦中部,由硬脑膜中动脉、枕动脉、颞浅动脉、椎动脉和大脑镰前动脉供血。大多数病例中,可通过介入手段有效地闭塞瘘口。
如果介入手段无法到达病灶,或者介入治疗后再次复发,则需考虑开颅手术。显微手术的目的在于离断瘘的引流静脉。这些病例中,需要骨骼化受累的静脉窦。亦可在手术暴露静脉窦后,穿刺静脉窦进行栓塞。有时可能需要显微手术和介入手段联合治疗。
如果需要完全阻断受累的上矢状窦,则需要保留窦的后2/3,以降低静脉性梗死的风险。
图3. 图示为左侧额骨后方开颅,夹闭向上矢状窦中部引流的单根窦旁dAVF。动脉化的皮层静脉上可见静脉扩张,这种现象在该类型的dAVFs中非常常见,具有较高的出血风险(左图)。在动脉化静脉与静脉窦连接处放置血管夹,导致瘘口闭塞(左图,插图),可见曲张静脉转为暗蓝色(右图)。术中荧光造影确认在扩张或曲张静脉内已呈乏血流状态。无需切除曲张静脉。
图4. 一例自发性右侧矢状窦旁dAVF,主要由硬脑膜中动脉分支供血(上图,侧位和前后位颈外动脉造影)。夹闭汇入上矢状窦的主要动脉化引流静脉(左下图)。接着,相关的皮层曲张静脉和引流静脉都转为蓝色(右下图,箭头)。


图5. 前后位和侧位颈外动脉血管造影(顶行)提示左侧天幕dAVF(箭头),由硬脑膜中动脉分支供血。幕上动脉化皮层静脉在颞叶后部形成小的曲张静脉。该曲张静脉最终引流至左侧横窦。颞叶后方开颅,暴露动脉化静脉,位于天幕后方(第二行,紫色箭头)。蓝色箭头所示为Labbe静脉。术中荧光造影显示引流静脉早期显影(第三行,紫色箭头),而此时其他皮层静脉(蓝色箭头)还未显影。在天幕靠近瘘的出口、曲张静脉附近,用血管夹阻断瘘口(底行)。
横窦/乙状窦dAVFs
介入下经静脉和/或经动脉途径栓塞是治疗横窦/乙状窦dAVFs的首选方式。然而,在一些少见的病例中,如位于窦汇区的dAVFs,或者有复发倾向的恶性瘘,以及无合适的血管内途径可以到达者,都无法将窦腔进行有效阻断。对于这些病例,可以骨骼化并阻断静脉窦与供血动脉之间的联系。
横窦/乙状窦dAVFs是颅内最常见的dAVFs。其主要动脉供血来源于枕动脉的穿乳突分支、耳后动脉、硬脑膜中动脉和潜在的咽升动脉,经过同侧横窦/乙状窦回流,如果同侧窦闭塞,则经过对侧静脉窦回流。
术前经动脉栓塞对于降低术中出血风险是至关重要的。
作者偏好公园躺椅体位,头部面向地板,使得病灶位于头部的最高点。一般马蹄形或S形手术切口足以暴露瘘区,依赖CT血管造影行术中导航帮助探查瘘口。
增粗的枕动脉和耳后动脉通过电凝或夹闭后,再行离断。头皮和枕下肌肉内含有大量瘘的供血动脉,逐步彻底止血非常重要。
开颅应暴露横窦和其上下的硬脑膜。作者更偏向颅骨切除,以避免在抬起骨瓣过程中,将穿颅骨至硬脑膜的供血动脉撕裂而导致猛烈的出血。可增加磨钻钻孔数量,以避免硬脑膜撕裂。可通过大片的Gelfoam或Surgicel压迫以控制硬脑膜的大出血。可用双极电凝或止血夹处理硬脑膜上的供血动脉。
硬脑膜内的操作则取决于dAVFs的解剖特点。如果主要目标是离断动脉化的皮层静脉,以横窦为基底在这些静脉的相应位置打开硬脑膜。应找到并离断所有动脉化的静脉。术中荧光造影和导管造影可以帮助确认目标是否被成功阻断。
如果手术的目的是切除闭塞静脉窦内形成瘘的部分节段,用配以金刚钻的高速磨钻行单侧部分乳突切除术即可。需暴露乙状窦外侧和前方的硬脑膜,在横窦/乙状窦的上方和下方以平行长轴的方向切开硬脑膜,一步步电凝或夹闭供血动脉。在骨骼化无功能的横窦/乙状窦节段后,用两根缝线穿过天幕以结扎病变的静脉窦节段。
在腰穿逐步引流脑脊液减压后,作者会轻柔地抬起枕叶,牵开小脑。这样可以进一步暴露天幕,以便离断所有向结扎的静脉窦节段供血的血管,并以平行该节段的方向切开天幕。这样便可游离病变的硬脑膜窦节段。
应找到并离断所有动脉化的软脑膜静脉。需保护未动脉化的Labbe静脉汇入横窦或乙状窦的位置。如果Labbe静脉也发生动脉化,应电凝后切断。
更多的细节可参照“硬脑膜动静脉瘘手术原则”章节。
点睛之笔
1. dAVFs是一类复杂的病变,必须对正常和病变动脉与引流静脉的解剖结构形成彻底的认识。
2. 需要多学科协作治疗dAVFs,大部分病灶可通过介入手段安全地处理。




