
今天为大家分享的是“强生医疗CNV-神经介入专栏”第十一期,由首都医科大学宣武医院何川教授带来的“动脉瘤栓塞的微导管塑型”的精彩分享,欢迎阅读。文章仅代表作者个人观点,如有不同见解,欢迎同道斧正!

何川 ,首都医科大学宣武医院副主任医师,中国医师协会神经介入专业委员会常务委员,长期从事脑血管病和脊髓血管病的手术及介入治疗和相关研究工作。首都医科大学神经外科博士,师从于中国神经介入开创人凌锋教授;日本东北大学医院脑血管病治疗科博士后,师从于日本国脑血管病血管内治疗的开创者高桥教授。
微导管塑型的目的
1. 便于输送微导管到位,进入动脉瘤囊内。
2. 弹簧圈填塞过程中微导管稳定。
3. 策略比技巧更重要,思考题。

微导管塑型的要点
为保证微导管头端的指向,需要考虑近端载瘤动脉的弯曲“二级弯”的塑性,此外两个弯曲之间的过渡段长度也常常需要考虑。
微导管与塑性针的关系并不是1:1成型,各类微导管的性能不同。
微导管需要利用加热方式成型,加热时间延长有利于形状稳定,建议不短于20秒,复杂形状则60秒为宜。

常用的塑形方式

近直行塑形
动脉瘤指向与载瘤动脉走向一致的各种顶端动脉瘤:
(1)顺行大脑前动脉顶端的前交通动脉瘤
(2)顺行大脑中动脉顶端的M1分叉动脉瘤
(3)顺行颈内动脉顶端的动脉瘤
(4)顺行基底动脉顶端的动脉瘤
不建议使用单纯的直行导管:
(1)轻微的弯曲使微导管摆动,有利于均匀致密填塞
(2)微导管摆动,避免动脉瘤壁单一位置持续受力破裂
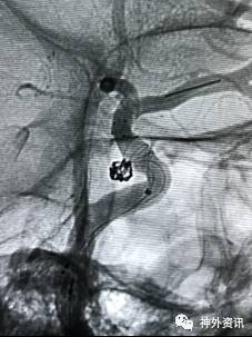
病例一


病例二


病例三


单弯塑形
动脉瘤指向与载瘤动脉走向弧度一致(通常A1和M1弓背向上)
(1)指向下方的前交通动脉瘤
(2)指向下方的大脑中动脉分叉动脉瘤
(3)动脉瘤指向与载瘤动脉走向弧度一致的远端动脉瘤
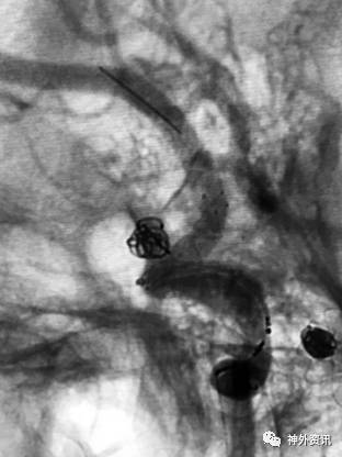
病例一


病例二


病例三


病例四



S行塑形
动脉瘤指向与载瘤动脉走向弧度相反(通常A1和M1弓背向上)
(1)指向上方的前交通动脉瘤
(2)指向上方的大脑中分叉动脉瘤
(3)指向上方的颈内动脉终末动脉瘤
(4)指向上方的颈内动脉眼动脉段或床突上段动脉瘤
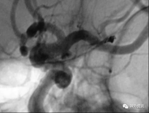
病例一


病例二


病例三


病例四


病例五




病例六




病例七





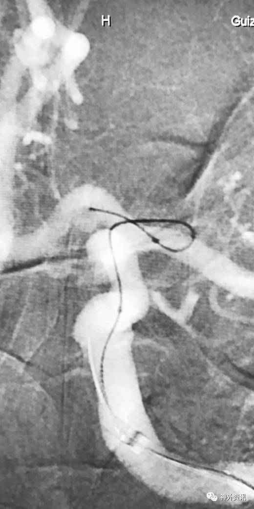
猪尾塑形
猪尾左行和右行
微导管尾端向下直立,头端向前弯曲时,头端相对左偏为左行,右偏为右行。
指向下方的颈内动脉眼段或床突段动脉瘤(颈动脉窝动脉瘤)
指向下方的颈内动脉后交通段或脉络膜段动脉瘤
(1)左侧颈内动脉-猪尾左行
(2)右侧颈内动脉-猪尾右行
病例一




病例二








病例三




病例四





单弯导管在血管内呈螺旋状前进,因此微导管的塑形需要考虑到其在血管内螺旋前进的因素

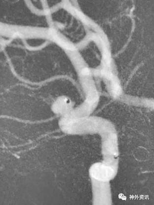
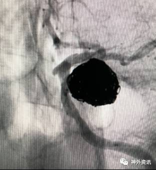
大C塑形
10mm以上的大动脉瘤:
(1)C型头端完全进入动脉瘤囊内,微导管的盘旋有利于均匀填塞
(2)避免微导管头端过早踢出
病例一




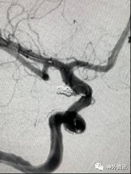
复合立体塑形
塑形考虑血管走行,但是血管内径过大(约>3mm,例如颈内动脉)的情况下,微导管在血管内是螺旋前进(2维是折线前进),即使顺行也需要考虑改变角度。
非同一平面内的弯曲:
(1)指向前方或后方的前交通动脉瘤
(2)指向前方或后方的大脑中动脉分叉部位动脉瘤
病例一



病例二





病例三






微导管操作
(1)微导管塑型体现到位操作和栓塞的思路
(2)良好的塑型是完美到位和栓塞的基础
(3)基于塑型的微导管操作同样重要
(4)策略比技巧更重要,对于过于迂曲的血管,需要灵活的思维
微导管成袢技巧
适用于:
(1)颈内动脉-眼动脉段的Carotid Cave动脉瘤
(2)大脑前动脉A1起始段的偏下方指向动脉瘤
(3)其他载瘤动脉近心端走行方向与动脉瘤指向之间大于90度的微导管到位
注意事项:
(1)上述动脉瘤指向的成角过大,即使使用微导丝进入动脉瘤囊内导引,微导管顺行到位也难以实现
(2)成袢的微导管常常弹跳进入动脉瘤囊内,有动脉瘤破裂风险
塑型要点:
(1)基于载瘤动脉走向与动脉瘤指向的微导管塑型,并适当增加微导管头端的直行长度,有助于成袢和微导管稳定性
(2)可利用颈内动脉分叉或大脑中动脉M1分叉进行微导管成袢
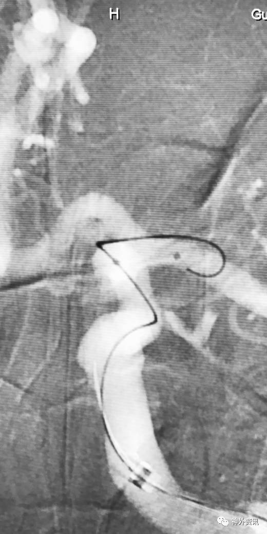
病例一
眼动脉动脉瘤,支架完全释放后,微导管成袢逆行到位


病例二
眼动脉动脉瘤,支架释放前,微导管成袢逆行到位




病例三
A1起始段动脉瘤,微导管成袢逆行到位






病例四
海绵窦区硬脑膜动静脉瘘,海绵窦下外侧干超选栓塞




思考题
A1近段指向下方动脉瘤的微导管策略?

【强生医疗CNV-神经介入专栏】回顾




