“浙二神外周刊”不定期接收外院投稿,审核后发表。欢迎各专业同道联系我们,分享精彩病例、研究热点或前沿资讯。投稿请联系:shishi74@163.com
病史简介
患者,男,67岁,因“性欲减退,乳房增大20余年”入院。
20余年前患者无明显诱因下出现性欲减退,伴乳房增大,未予重视。20年来患者上述症状持续未缓解,也无加重。2周前因“午睡后头晕呕吐”去当地医院就诊,查头颅CT提示垂体占位,进一步头颅MRI平扫检查考虑鞍区肿瘤,患者为求进一步诊治,遂来我院就诊,门诊拟“鞍区肿瘤”收住入院。
既往有高血压病史20余年,药物控制良好。
入院查体:双侧乳房轻度增大,视力可,余未见异常。
诊治经过
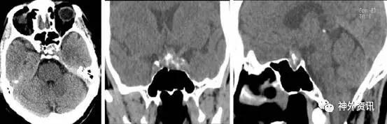
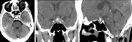
入院后复查头颅CT,示蝶鞍扩大,鞍区见不规则团块状软组织密度影,边界模糊,病灶内见钙化灶,CT值140,鞍底及蝶窦后壁骨质有破坏吸收(图1)。

图1. 头颅CT示鞍区不规则团块状软组织密度影,其中可见结节状钙化灶
垂体增强MRI检查,显示鞍内见一径约1.7cm卵圆形肿块影,边界清,增强扫描病灶呈不均匀明显强化(图2)。
图2.垂体增强MRI提示鞍内见大小为23x16x18mm的卵圆形长T1长T2肿块影,边界清,垂体柄右偏,注射造影剂后增强扫描病灶不均匀明显强化,鞍底骨质略受压,左侧颈内动脉海绵窦段部分包埋,视交叉未见明显受压。
垂体激素检查显示泌乳素>4240mIU/L(标准范围53-360.4 mIU/L,查房疏忽未行精确测定),睾酮4.79 nmol/L↓(标准范围5.55-25.17nmol/L),皮质醇等其他激素水平正常,视力视野检查未见明显受损。
术前科室讨论,根据MRI及CT检查,诊断患者鞍区占位明确,性质考虑为颅咽管瘤或垂体腺瘤可能。由于患者泌乳素高,伴有乳房肿大,若两者相关,可先考虑予溴隐停治疗。因肿瘤内有钙化,不排除颅咽管瘤可能,也可直接手术治疗。与患者及家属沟通后,患者及家属手术意愿强烈,要求手术。逐决定行经鼻蝶内镜下鞍内肿瘤切除术。术中见肿瘤呈实性,质地硬,包膜完整,血供一般。先予瘤内减容,再沿肿瘤边界分离肿瘤,分块切除,其中可见肿瘤内部较多钙化结节(图3),一并予剥除,送快速病理切片。肿瘤靠近左侧颈内动脉处粘连紧密,未予完全剥除,大部切除鞍内肿瘤后,鞍隔塌陷,肿瘤与鞍隔粘连紧密,予分离后切除。术中冰冻切片提示:考虑垂体腺瘤。逐终止手术,行肿瘤次全切除。
图3.术中所见,箭头所指为钙化结节
患者术后一般情况良好,出现轻度尿崩,予弥凝对症治疗后好转。复查激素水平提示泌乳素6645.2 mIU/L,仍然较高,睾酮3.92 nmol/L↓(标准范围5.55-25.17nmol/L),其他激素水平正常。予溴隐停继续治疗。复查头颅CT及垂体增强MRI显示肿瘤次全切除(图4)。
图4.术后CT及MRI提示肿瘤次全切除,左侧海绵窦内小部分残留。
病理结果
术后病理回报:(鞍区肿瘤)垂体腺瘤,伴较多钙化。结合免疫组化结果,符合泌乳素腺瘤。
免疫组化结果:ACTH -,PRL+,GH -,FSH -,LH -,ER ++,TSH -,CAM5.2 灶性+,P53 -,Ki-67 -,Syn +++,CgA 个别+,EMA -,PR +,GFAP 个别+,S-100 个别+,CD45(LCA) -,CD30 -(图5)。
图5. 病理报告结合免疫组化诊断为垂体PRL腺瘤伴钙化。A:实性生长肿瘤,细胞呈嫌色性,核形态温和。伴见砂砾体,呈同心圆结构;B:肿瘤部分区域间质纤维化,并见砂砾体;C:PRL阳性;D:SYN阳性。
讨论
垂体腺瘤、颅咽管瘤、Rathke囊肿及脑膜瘤等为鞍区常见肿瘤。影像学上伴有钙化表现的以颅咽管瘤最为多见[1],也有非常少数的垂体腺瘤和Rathke囊肿可伴有钙化[2,3]。垂体腺瘤伴钙化的病例最早报道于19世纪中叶,迄今为止大多数的垂体腺瘤伴钙化的病例来自于日本和少数的几个亚洲国家[4]。
由于不同病变治疗策略不尽相同[4],术前诊断及鉴别诊断具有重要的指导意义。垂体腺瘤和颅咽管瘤一般可以从影像学(表1)及临床表现等方面进行鉴别。垂体腺瘤首先出现双颞上象限视野缺损,继续发展则相继出现颞下、鼻下象限视野缺损,鼻上象限常最后受累。亦可先累及黄斑纤维而产生中心暗点,肿瘤生长较快可先出现暗点,如向一侧生长可出现同向偏盲,这种情况较少见。颅咽管瘤的视野改变常是最早出现的症状.由于其生长方向不规则,且发生部位、大小及视交叉的解剖变异较大,使颅咽管瘤的视野改变无一定的规律。虽然两类肿瘤都有可能引起内分泌功能发生改变,但垂体腺瘤主要为内分泌亢进或垂体功能低下,而颅咽管瘤主要为下丘脑调节功能异常[24]。伴有钙化的Rathke囊肿极少见。但临床上有时候鉴别鞍区肿瘤非常困难,最终还是需要病理结果进行鉴别。
表1 垂体瘤及颅咽管瘤影像特点[24]
在垂体腺瘤病例中,影像学上能够发现钙化的比例为0.2%—8%[5],而组织病理学发现钙化的比例跨度更大,为5.4%—25%[5,6],这可能与不同的标本固定技术有关。Deery[7]对19个在影像学上发现有钙化的腺瘤标本进行组织病理学分析,却1个都找不到钙化点,而Muller和Hoffman[8]在病理上发现有30个(占总量7.4%)腺瘤伴有钙化,但这之中只有1个腺瘤在影像学上发现了明显的钙化斑。
垂体腺瘤的钙化在形态学上主要分为两类(图6):
(1)分布在瘤周的薄片状或囊状的钙化,甚至瘤周完整的蛋壳样钙化;
(2)瘤内的高密度或者颗粒样结石,常表现为砂砾体或者钙球体的形式[9]。临床上后者相对多见,本病例钙化亦属于后者。
图6. A:瘤周的环形强化[4] B:瘤周蛋壳样钙化[18] C:弥漫性瘤内钙化斑[19] D:本病例表现为瘤内颗粒样钙化。
对于垂体腺瘤伴钙化的原因,目前尚未形成统一的观点,但主流的观点认为与局部的供血不足、营养缺乏有关。在肿瘤的生长过程中,由于肿瘤局部的血液供应不足,无法满足肿瘤的营养需求,产生局部坏死,细胞内碱性磷酸酶释放,同时又有钙离子和磷酸根离子在局部的沉积,最终形成钙化斑块[10]。除此之外,有学者认为钙化与肿瘤分泌的激素有关,因为垂体腺瘤伴钙化最常见于泌乳素瘤,生长激素腺瘤,尤以前者最为多见,较少见于其他几类腺瘤。Rilliet等[9]对755例垂体腺瘤的病例进行分析,发现组织病理学上有钙化的51例病例中,有38例为泌乳素瘤(占74.5%),而术前影像学上发现有钙化的13例病例中,有10例为泌乳素瘤(占76.9%)。这可能是因为泌乳素参与了钙代谢而影响了钙化[11],国外有人报道未全部切除的残余肿瘤在用药控制泌乳素水平后,其残余肿瘤内的钙化灶也随之变小[13]。其他引起垂体腺瘤钙化的原因还有退化的过程如垂体手术,射线,垂体卒中以及药物治疗如溴麦角环肽[9,12]。本病例详细询问病史后并未发现患者接触过射线或者接受过手术治疗和药物治疗,结合其术后病理结果,考虑为升高的泌乳素以及肿瘤生长过程中的营养不足导致了其钙化斑的形成。
目前对于钙化垂体瘤的治疗尚无统一观点,我们认为可参照无钙化垂体瘤的治疗方法,再结合个体的垂体瘤钙化灶的类型,大小,位置等进行个体化治疗。对于已经引起视力视野受损或有其他神经受压症状的病人,手术是第一选择。随着微侵袭神经外科的发展,鞍区肿瘤绝大多数采用经鼻蝶入路手术。对于鞍区伴有钙化的垂体腺瘤,国外学者多主张经鼻蝶入路,但国内学者更倾向于开颅手术。因为经鼻蝶入路术野狭小,术中因有钙化斑,瘤壁不易塌陷,切除钙化斑有困难,且斑块与邻近重要结构的关系不清,术中切除斑块时易伤及颈内动脉和视神经。蝶鞍扩大是经蝶手术的良好指征,而经翼点人路手术,可以更好地暴露视交叉、垂体柄、下丘脑、颈内动脉等重要结构,并加以保护。有作者报道对于靠近鞍底且直径小于20mm的瘤内结石,可经蝶顺利完成手术[15,16]。而当结石位置远离鞍底、肿瘤质地偏硬、纤维化明显[17],或者有坚硬外壳[3]时,经蝶手术效果较差。本病例患者由于其视力视野未受到明显影响,且钙化斑块未压迫毗邻重要结构,再加上患者要求微创手术意愿强烈,权衡之后,我们采用了内镜下经鼻蝶手术。由于术中发现钙化与周围组织粘连紧密,为防止术中副损伤,未对粘连紧密的钙化求勉强全切,而是对残留了靠近颈内动脉且粘连较紧的部分肿瘤。对这些手术存在明显困难或术后残留肿瘤,可行伽马刀或药物治疗。对于如本例泌乳素水平较高的患者,则可予溴隐亭治疗。
本病例也提示我们,在遇到钙化的鞍区肿瘤时,不仅要考虑最常见的颅咽管瘤,还应考虑到垂体腺瘤的可能,甚至还需要怀疑更少见的Rathke囊肿。仔细分析患者的临床表现,实验室检查结果及肿瘤的影像学特征加以鉴别。对于鉴别非常困难的患者,病理诊断仍然是金标准。
附:垂体腺瘤伴钙化的部分文献统计
注:1型钙化为瘤周薄片状或囊状的钙化,2型钙化为腺瘤内部高密度或颗粒状结石。
参考文献
1. ELDEVIK O P, BLAIVAS M, GABRIELSEN T O, et al. Craniopharyngioma: radiologic andhistologic findings and recurrence [J]. AJNR American journal ofneuroradiology, 1996, 17(8): 1427-39.
2. Burrows EH: Pathologicintracranial calcification: Neoplasms. In:Newton TH, Potts DG. Radiology of theskull and brain,Vol.1. Book 2, The Skull. St Louis, MO: Mosby, 1971: 848-873
3. NAKASU Y, NAKASU S, NAKAJIMA M, et al. Atypical Rathke's cleft cyst associated withossification [J]. AJNR American journal of neuroradiology, 1999, 20(7): 1287-9.
4. KASLIWALM K, SHARMA B S. A rare case of pituitary adenoma with calcification: a casereport [J]. Turkish neurosurgery, 2008, 18(3): 232-5.
5. HORIUCHI T, TANAKA Y, KOBAYASHI S, et al. Total capsular calcification in a prolactinoma--casereport [J]. Neurologia medico-chirurgica, 1996, 36(10): 729-32.
6. MULLER W, UDVARHELYI G. [Colloid degeneration and calcificationof tumor cells of pituitary adenoma] [J]. Endokrinologie, 1955, 32(3-4):129-36.
7. DEERY E M. Note on calcification in pituitary adenomas [J].Endocrinology, 1929, 13(455-8.
8. Müller W, Hoffmann H.: Oncalcifications within pituitary adenomas.Zentralbl Neurochir 28:287-290, 1967.
9. RILLIET B, MOHR G, ROBERT F, et al. Calcifications in pituitaryadenomas [J]. Surgical neurology, 1981, 15(4): 249-55.
10. CHAMBERS A A, LUKIN R, TSUNEKAWA N. Calcification in a chromophobeadenoma. Case report [J]. Journal of neurosurgery, 1976, 44(5): 623-5.
11. KURISAKA M, MORI K, TINDALL G T, et Al.Pituitary adenomacalcification[J].No To Shinkei,1986, 38:1187-1195.
12. RASMUSSEN C, LARSSON S G, BERGH T. The occurrence of macroscopicalpituitary calcifications in prolactinomas [J]. Neuroradiology, 1990, 31(6):507-11.
13. CARAPELLA C M, POMPEI P, MASTROSTEFANO R, et al. Calcified pituitaryadenoma associated with severe hyperprolactinemia. Case report [J]. Journal ofneurosurgery, 1983, 59(5): 871-4.
14. Garg MK, Singh G, Brar KS, Kharb S. Pituitarycalcification masquerading as pituitaryapoplexy[J]. Indian J Endocrinol Metab.2013 Dec;17(Suppl 3):S703-5.
15. TAMAKI T, TAKUMI I, KITAMURA T, et al. Pituitarystone--case report [J]. Neurologia medico-chirurgica, 2000, 40(7): 383-6.
16. PALAOGLU S, BAVBEK M, PEKER S, et al. Ossified somatotropinoma[J]. Surgical neurology, 1994, 41(2): 143-6.
17. WEBSTER J, PETERS J R, JOHN R, et al. Pituitary stone: two casesof densely calcified thyrotrophin-secreting pituitary adenomas [J]. Clinicalendocrinology, 1994, 40(1): 137-43.
18. 何瞻,杨树旭,方兵等.蛋壳样钙化的垂体腺瘤一例[J].浙江大学学报(医学版), 2010,39(4):448-450.DOI:10.3785/j.issn.1008-9292.2010.04.020.
19. 孙玉学,于金录,孙默等.弥漫性钙化泌乳素型垂体腺瘤一例[J].中华外科杂志, 2014,52(1):77.DOI:10.3760/cma.j.issn.0529-5815.2014.01.022.
20. 文传志,赖召攀,高伯元等.垂体瘤伴钙化1例[J].第三军医大学学报, 2009,31(16):1538,1544.DOI:10.3321/j.issn:1000-5404.2009.16.034.
21. 石磊,王连元,姚兴发等.垂体瘤伴钙化斑1例报告[J].中国临床神经外科杂
志, 2001,6(1):36.DOI:10.3969/j.issn.1009-153X.2001.01.038.
22. 苏卢海,张世渊,沈波等.垂体腺瘤伴钙化2例诊治报告[J].国际神经病学神经外科学杂志, 2015,42(2):166-169.
23. 赵鹏飞,高进喜,王守森等.蛋壳样钙化垂体瘤1例[J].中国微侵袭神经外科杂
志, 2009,14(2):92.
24. 孙楠,高培毅.垂体瘤与颅咽管瘤的影像学鉴别诊断[J].中国医学影像技
术, 1998,14(11):864-867.DOI:10.3321/j.issn:1003-3289.1998.11.031.
(本文由浙二神外周刊原创,浙江大学医学院附属第二医院神经外科陈华辉研究生整理,洪远副主任医师审校,许晶虹副主任医师提供病理诊断意见,张建民主任终审。)
往期回顾
浙二神外周刊(九十二)--鞍上毛细胞黏液样星形细胞瘤伴自发性出血一例
浙二神外周刊(九十一)--2017西湖神经外科论坛成功召开!
浙二神外周刊(九十)--以尿崩症为首发表现的Erdheim-Chester病一例并文献复习
浙二神外周刊(三十七)--垂体瘤伴发鞍结...
浙二神外周刊(三十六)--脑膜血管瘤病...




