【Ref: Meyer EJ, et al. Neurosurgery. 2017 Feb 1;80(2):193-200. doi: 10.1093/neuros/nyw040.】
弥散张量成像(DTI)可以识别白质纤维束,有助于减少脑肿瘤手术后的神经功能障碍发生。之前的研究采用功能磁共振成像(fMRI)结合术中皮质电刺激测定肿瘤病灶到电生理激活部位的距离,评估对术后神经功能的预测价值。美国宾夕法尼亚州立大学赫尔希医疗中心放射科的Erin J. Meyer和神经外科的Wolfgang Gaggl等采用弥散张量成像测定脑肿瘤部位至白质纤维束间的距离(LTD),分析其与术后患者神经功能障碍发生率或死亡率的关系,评估DTI在预测手术预后的作用,结果发表在2017年2月的《Neurosurgery》上。
该研究纳入60例成人脑肿瘤患者,包含54个神经胶质瘤、3个脑膜瘤、2个颅内转移瘤和1个胚胎发育不良性神经上皮瘤;术前均行DTI成像扫描。DTI图像显示3个主要白质纤维束传导通路:上纵束(SLF)、扣带和皮质脊髓束;并且测量病灶至各个通路的最短LTD(图1)。同时,从电子病历中收集患者术后神经功能障碍发生率和死亡率。

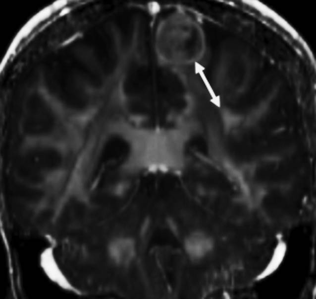
图1. MRI-T2加权冠状位成像中,白色箭头表示肿瘤病灶至上纵束间的最短距离(LTD)。
结果显示,肿瘤距同侧皮质脊髓束的LTD和距上纵束的LTD均与术后运动功能障碍(P=0.018)和语言功能障碍(P<0.001)显著相关,包括术前已有而术后仍存在的功能障碍和术后新出现的功能障碍。病灶部位距左侧上纵束的LTD与术后新发生语言功能障碍(P=0.003)显著相关。预测发生术后神经功能障碍的LTD阈值为1cm(P<0.001)。高级别肿瘤患者的Kaplan-Meier存活分析和对数秩检验证明,病灶部位距上纵束的LTD<1cm患者死亡率显著上升(P=0.01)。
作者认为,使用DTI图像测量肿瘤至主要白质纤维束的距离可以警示临床医生手术发生神经功能障碍的可能性。如果病灶与运动或言语纤维束相距1cm或更小的距离时,可以确切地预示手术后将发生新的神经功能缺失。
(天津医科大学安奇编译,复旦大学附属华山医院王知秋教授审校,《神外资讯》主编、复旦大学附属华山医院陈衔城教授终审)
相关链接




