今天为大家分享的是由九江市第一人民医院神经外科程毛峰医师编译、九江市第一人民医院神经外科胡炜主任医师、《神外资讯》常务编辑、海军军医大学附属长征医院神经外科徐涛医师审校的:颞叶动静脉畸形(AVMs)手术技巧,欢迎观看、阅读。
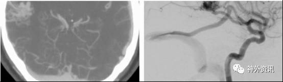
颞叶动静脉畸形的手术治疗-1.Giant Temporal AVM-FLOW800
颞叶动静脉畸形的手术治疗-2.Lateral temporal AVM-Commando operation
颞叶动静脉畸形的手术治疗-3.Medial temporal AVM
颞叶动静脉畸形的手术治疗-4.posterior Temporal AVM
相关回顾
脑动静脉畸形(AVM)术中破裂的紧急处理(中英文字幕)
手术解剖
颞叶的供血动脉既有前循环来源的(通过外侧裂内的大脑中动脉下干供血),也有后循环来源的(通过大脑脚池和环池的大脑后动脉分支供血)。
总体来说,颞叶侧裂区及外侧面的血供主要来于自大脑中动脉分支;而颞叶下部及底面主要由大脑后动脉分支供血。颞叶前内侧组织,包括杏仁体和海马,血供来自于脉络膜前动脉、丘脑前穿通支(后交通动脉的分支)和大脑后动脉穿通支。颞叶后内侧的血供来自大脑后动脉的分支。
颞叶动静脉畸形病变位置不同,大脑中动脉和大脑后动脉的供血情况也不同;因此,术前每一例型AVMs都需要单独研究。
大脑中动脉近端主干(M1段)有两支供应颞极的早期分支:
1、颞极动脉,颈内动脉分叉远端;
2、颞前动脉,大脑中动脉分叉近端;
这两个分支均起源于M1段的下表面,提供大多数前内侧颞叶AVMs的血供。
M1的分叉部分为三种类型:
(1)分成上干(额支)和下干(颞支)两支;
(2)分成上、中、下三干;
(3)分成多干。
下干进入外侧裂,延续为M2(脑岛段)和M3(岛盖段)。然后自外侧裂发出成为M4段皮层支。这些皮层支从前往后包括:
1、颞中动脉;
2、颞后动脉;
3、颞枕动脉;
4、角回动脉;
这些分支统一称之为颞叶上动脉。


图1. MCA上干分支成为绝大多数侧裂和颞叶侧面AVMs的供血动脉(图谱来自于AL Rhoton, Jr)
起自大脑后动脉(PCA)的颞叶后部动脉,发出以下分支供血到颞叶内侧面和底面:
1、 海马动脉发自于大脑脚池和环池,供应钩回、海马旁回前部、海马及齿状回;
2、 颞叶后动脉分成前、中、后三支,可以是独立的三支,或是发自同一根主干,供应颞叶底面;
总之,这些分支统称为颞叶下动脉,分布于颞叶底面并供血颞中回。

图2. 颞叶内侧面和底面的显微手术解剖与AVMs手术相关。经过AVMs周围的血管需要与AVMs的供血动脉区分开来。P2段分支的命名不同作者叫法不一。(图片由AL Rhoton, Jr教授授权)
根据AVMs的位置分布,其引流静脉非常多变,可以引流到不同的浅静脉及深静脉系统。颞叶外侧面AVMs的引流静脉常常向下引流,然后汇入Labbe静脉,最后流向横窦。颞叶内侧面和底面的AVMs常常引流至直窦,罕见引流至蝶窦、岩窦或居中的基底静脉。颞叶浅静脉引流侧裂表层的AVMs。
颞叶AVMs的分型
一、颞叶外侧面AVMs
此亚型AVMs的主要供血动脉根据病灶的位置、大小及复杂性而不同。AVMs的前方主要供血动脉有颞前动脉和颞极动脉;上方有MCA下干的分支动脉供血,后方和下方由颞叶后动脉和颞枕动脉供血。



图3. 颞叶外侧面AVMs是基底位于颞叶凸面的锥形病变,通常锥形病变的尖端伸向颞叶深部的颞角室管膜表面。因为外侧面是颞叶最大的表面,因而此AVMs亚型是AVMs中最常见的亚型。其静脉引流也由于病灶位置及复杂性而有变化,不过主要引流静脉主要位于颞叶浅表并向后下引入Labbé静脉。引流静脉也可能向上引流到大脑侧裂浅静脉和蝶顶窦。扩展到颞角室管膜表面的大型AVMs,由位于脑组织内侧的脉络膜前动脉和大脑后P2段的小穿支动脉供血。

图4. 简单的颞叶外侧面AVMs。这是位于颞叶下方颞下回的病变,P2段分支颞后动脉于病灶后缘进入并参与供血。注意向后方引流的粗大引流静脉(见侧位和正位的颈内动脉造影)。主要的供血来源于颞叶上动脉。对于优势半球颞叶后方的病变,需要注意保留Wernicke语言区,它位于距颞极约5厘米的颞中、颞上回。
笔者不建议术前利用功能磁共振标记(语言功能区)或术中唤醒下开颅切除任何AVMs。通过脑沟间入路可以达到病灶的完整切除,永久性语言功能损伤的风险很低。
开颅按照病变位置进行规划,对于位于外耳道之前的病变,可以采用标准翼点入路。而位于颞叶后部的病变可以考虑进行颞下入路开颅。两种入路的患者均为平卧位,头向对侧旋转。颞下入路头部旋转90度,使得中轴线处于水平位。
颅骨、硬脑膜的打开要尽量充分。源于脑膜中动脉的跨硬膜小供血血管可以为AVMs供血,术者打开硬膜时应该仔细查找并发现这些血管以防撕裂。打开硬脑膜时应该注意保护Labbe静脉。
首先在脑沟进行蛛网膜的解剖,并在病变周缘循着大的供血动脉进行分离; 清晰分辨供血动脉和引流静脉。循着大的供血血管分离直到病变部位才能阻断,因为在向病变延伸的过程中会发出血管供应语言皮层或其他(功能)静止性皮层。
病变深部四周的供血血管可以通过吸除病灶周围薄层组织(胶质增生带),以便显露并尽量靠近病灶阻断。经脑沟分离切除Wernicke区小的致密型AVMs是安全可行的。
延伸到颞角并接受脉络膜前动脉供血的大型AVMs, 脉络裂内的脉络膜前动脉主干和非供血的穿支动脉应该小心保护。优势侧的海马体应当保留以免出现记忆功能障碍。
向大型AVMs供血的高流量P2段可导致PCA的逆行性血栓形成和视野部分缺损。
所有引流到Labbé静脉或颞浅静脉的静脉应该保留完好,直到病灶的环形分离完成。

图5. 右侧颞顶叶外侧面大型、复杂AVMs(侧位和前后位的ICA脑血管造影-上图)。MCA的供血分支(左下图)和P2来源的供血动脉夹闭后切断。临时阻断静脉(右下图)以明确病灶没有血供,之后进行AVMs的离断移除。



图6. 破裂的颞叶外侧面AVMs切除。注意粗大并动脉化的Labbe 静脉(第一行)。直切口开颅形成颞部骨瓣,经脑沟入路确认MCA远端粗大的供血血管(第二行)。这个MCA分支是从病灶边缘路过的血管,沿着它分出许多AVMs的供养血管。病灶恰位于此“过路动脉”的上方,当此动脉被轮廓化后,病灶也即切除 (最后一行)。可以看到切除完成后Labbe静脉颜色变深。保存此过路动脉对于避免远端缺血是很重要的。
二、颞叶底面AVMs
颞叶底面AVMs可位于颞下回、梭状回、海马旁回。颞叶底面的病灶可能没有可直视的皮层面,除非进行较大范围的颞叶下部切除,并沿病灶切线方向打开手术通道。这一手术角度使切除颞叶底面的AVMs比切除外侧面的AVM更具挑战性。其供血动脉大多起源于PCA P2段的颞叶下动脉。在进行AVMs由前向后的环形切除时可以看到这些PCA来源的供血动脉。颞叶上动脉从病变的外侧面供血。引流静脉通常是通过颞叶底面浅静脉流入Labbé静脉,也可能流入基底静脉。
颞叶底面的AVMs手术入路常选择经颞或颞下入路,患者取仰卧或侧卧位;头部中轴线处于水平位,头部向地面下垂,以便利用重力作用使颞叶离开中颅底。术者常规用腰大池引流实现早期的颞叶松弛。
颅骨切开后骨窗的下界尽量磨平达到中颅窝底水平。打开的乳突气房用骨蜡封闭。硬脑膜以颞底方向为基底切开。硬膜后部打开时注意保护Labbé静脉,因为此静脉在汇入横窦之前会在硬脑膜夹层之间走行一段。如果是这种情况,术者在静脉周边打开硬脑膜,保留一小块硬膜在静脉表面,以保护静脉的完整性。
使用腰大池引流放液(每次10 cc,最多80 cc)可以减轻对于脑叶的过度牵拉。颞下分离术中注意小心而细致的操作,避免无端损伤从中颅窝硬膜发出的供血动脉。
Labbé静脉连接脑叶紧贴颅底时,抬起颞叶会有困难。特别当病变位于后方时,术者应该小心避免撕裂静脉。显露后,首先松解静脉硬膜下部分周边的蛛网膜系带,然后覆盖湿脑棉来防止它干燥、破裂。
在AVMs的边缘开始脑沟的解剖分离,切断颞叶上动脉来源的供血动脉,环形分离病变,逐渐深入,注意与AVMs长轴的角度保持垂直或稍倾斜。伸入颞下病变的两侧、前方、后方分离松动后即可显露底部的供血动脉。这样,可以显露并离断位于中线小脑幕切迹的颞叶后动脉。
近中线部位有限的操作空间使出血的控制变得复杂。因此,选择性栓塞难以接近的PCA供血动脉是一个合理的策略。
三、颞叶侧裂AVMs
此AVMs亚型位于颞上回侧裂表面,主要由MCA下干的上中部分支供血。如果病灶的范围达到颞角,脉络膜前动脉及其分支也可能参与供血。
颞叶侧裂AVMs不会侵犯额叶岛盖及岛叶皮层的软膜。它们可能会因此在颞上回外侧面皮层上没有任何的表象,除了引流静脉的动脉化是一个明显标志。引流静脉大多位置表浅,也可累及侧裂上静脉及深部静脉。



图7. 图示的是左侧侧裂破裂AVMs。ICA血管造影斜位片显示动脉早期/晚期(上层图像)。侧裂的广泛解剖分离后可以将MCA分支轮廓化并断开AVMs的供血血管(中图)。随着病灶供血动脉的离断,即可切断引流静脉;剩下的皮层静脉颜色转为深蓝色(下图)。
病人体位和开颅与额叶侧裂AVMs相同。平卧位翼点开颅。我主张广泛且深入的分离大脑侧裂,分离时将浅表的动脉化侧裂静脉留在侧裂的颞侧,然后将M2和M3主干轮廓化。这些操作可以让术者区分供血血管的终末端、过路动脉和脑裂中其他与病灶无关的重要血管。
从病变的上中部开始切开病变表面的脑沟及软膜,阻断供血血管,在从MCA近心端向远端分离的过程中保留过路动脉及周边动脉的完好。环状的切开分离可以游离颞角内病灶的顶部,往往可以发现脉络膜血管并分离。
侧裂颞叶AVMs有些位于后方,涉及到颞横回和Wernicke区。质地紧密AVMs附近的精细显微外科操作可以以最小的永久性神经功能障碍切除AVMs。
四、颞叶内侧AVM
颞叶内侧面AVMs主要涉及钩回、海马体、海马旁回,在外侧皮层看不到任何表象。根据它们的大小,这些病变可以侵入到基底节区。
供血动脉来自脉络膜前动脉、颞前动脉、PCoA的丘脑穿通支、海马动脉、颞叶后部动脉以及PCA的P2段。引流静脉一般向内侧进入基底静脉,偶尔走向前外侧进入表浅和深部侧裂静脉。
显露这些AVMs需要根据病灶前后端与海马体的位置关系。
(1)颞叶前内侧病灶
对位于海马中部之前的病变,术者较喜欢眶颧开颅或更常用扩大翼点入路。这些经过侧裂的入路提供了较短的操作距离和宽敞的工作空间。手术工作的视线与病灶保持切线方向。


图8. 经斜位ICA血管造影显示左侧颞叶前内方的AVMs (上图)。CT血管造影图像(插图)定位AVMs。供血动脉源于颞叶前动脉、PCoA丘脑穿通支、海马动脉、颞叶后动脉、P2段。引流静脉是向内侧引流入基底静脉。术者通过经侧裂入路切除病变。可以看到颞前动脉紧贴AVMs经过(下图)。

图9. 充分的游离大脑侧裂,开放颈动脉池和基底池,将脉络膜前动脉,P2段轮廓化,断开AVMs内侧面的供血动脉。保留手术视野中的中脑穿支完好无损。注意引流静脉向后方越过钩回。MCA(吸引器下)显露。

图10. 来自颞前动脉(左)和M1主干(右)的供血血管被游离、切断。

图11. 其他源于P2、PCoA和脉络膜前动脉的供血血管也被切断。
术者的工作角度与AVMs的轴线相倾斜。病灶进入切除视野后,病变的后下缘最不容易被直视。小心操作避免电凝时热传导损伤动眼神经。软膜下切除钩回可以保护脑干及其穿支血管。术中有快速出血时,不建议盲目进行电凝止血。

图12. 最终,AVMs供血动脉被完全断开,其引流静脉被切断,病灶被移除。
(2)颞叶后方内侧病变
对位于海马中部之后的病变,用颞瓣开颅,类似于用来切除颞叶底面AVMs的骨瓣是合适的。 通过颞叶中下回、梭状回,偶尔穿过海马旁回的跨脑沟、跨脑室操作是必要的。
在此入路中,术者的视角同样倾斜于AVMs的长轴。此处病灶的供血动脉和引流静脉位置深在,在解剖分离过程的后期才能看到。脉络膜前动脉和PCA 穿支分别位于脉络裂和环池内,术中会先看到他们发出的供血动脉,然后在靠近病灶的位置将其切断。优势半球海马后部、海马旁回被病变侵及,这可能与术后记忆障碍有关。
术者有成功应用小脑上经天幕入路治疗小型、中型海马后部及海马旁回AVMs的经验。此入路提供了一个不用过多切除或损伤颞叶的合适的手术通道。但是病灶前方的显露是有限的,因此应该严格选择合适的AVMs。请参见“经天幕海马旁病变”一章的适应症及手术技术。


图13. 大型颞叶后内侧AVMs,主要由脉络膜前动脉供血,如图(ICA和椎动脉造影侧位像,上图)。术者采用经皮层、经脑室、经脉络裂的方法(中图)。在穿过颞角的脉络裂中显露脉络膜前动脉 (中图的插图)。AVMs完全游离后,病灶水平的脉络膜前动脉被离断,AVMs去除(下图)。所有浅静脉转为暗蓝色。


图14. 图示另一个颞叶后内侧AVMs。大多数供血动脉源自P2分支(上图)。血肿腔为经皮层入路显微外科操作提供了宽敞的空间。过度增生的P2穿支血管被切断(中图)。移除AVMs (下图)。
Contributors: Rouzbeh Shamsa, MD and Mohsen Noori, MD
DOI: https://doi.org/10.18791/nsatlas.v3.ch02.4
参考文献
1. Lawton, MT. Seven AVMs: Tenets and Techniques for Resection. New York, Stuttgart: Thieme Medical Publishers, 2014.





