中枢神经脱髓鞘病,相信大家对此多多少少会有一些了解,但对非神经内科的同行来讲,对于脱髓鞘,很有可能还是一个概念上的认识,实际上,诊断一个脱髓鞘,就是中枢神经系统单发/多发病变的一个诊断和鉴别诊断过程,其中涉及的疾病种类实在是很多。
神经系统疾病的定性诊断我们常常用的是“Midnights”或“vitamin”原则,我们以“Midnights”为例,进行详细分解,一起看看吧!
M--metablism,代谢性
I--inflammation,炎症
D--degeneration,变性
N--neoplasm,肿瘤
I--infection,感染
G--gland,腺体,内分泌
H--hereditary,遗传
T--toxication,中毒/trauma,外伤
S--stroke,卒中
前方高能,一大波专业名词和眼花缭乱的图片袭来……
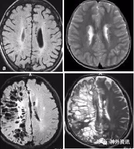
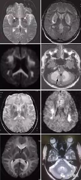
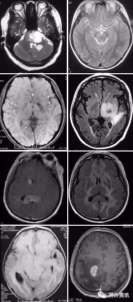
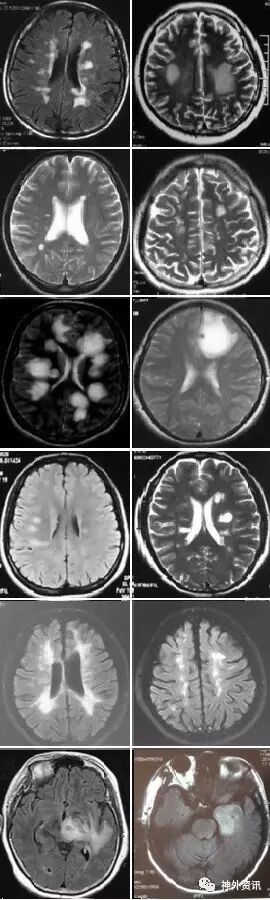
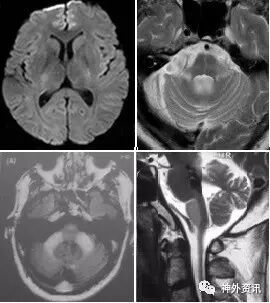
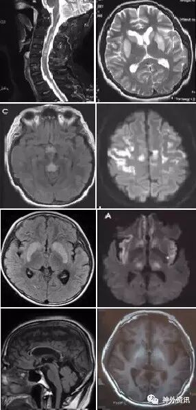
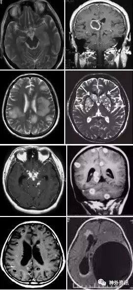
(重要申明:以下每个部分会配磁共振图片,因疾病和影像之间存在同病异象、同像异病,为避免误导,图片不标注疾病,其各自鉴赏,另其中的部分图片来源于网络,有疑问可与本人联系)
在这九大类疾病中,每一大类都可出现中枢神经系统单发/多发病变,我们一个个看。
M—metabolism 代谢性
代谢性脑病的原因很多,包括氨基酸、有机酸、脂肪酸、糖等代谢异常,以及线粒体功能障碍等,导致高氨血症、低血糖、酸中毒和能量缺乏,引起脑功能障碍。我们在临床上看到的有缺血缺氧性脑病、低血糖致白质脑病、肝性脑病、肾性脑病、Wernicke脑病、线粒体脑病等。中枢神经系统受累的病灶在磁共振上可出现各种表现。

I--inflammation,炎症
脱髓鞘,多发性硬化(MS)、视神经脊髓炎(NMO)、急性播散性脑脊髓炎(ADEM)、MOG相关性脱髓鞘病变、自身免疫性脑炎、CNS血管炎、神经系统结节病、Susac's Syndrome、Clippers’综合症、桥本氏脑病等。还有如急性、亚急性的放疗损伤等。

D--degeneration,变性
如脑梗塞或脑出血等疾病后华勒变性、ALS的锥体束变性等。脑白质疏松症等。

N--neoplasm,肿瘤
各种肿瘤,如胶质瘤、淋巴瘤、脑膜瘤、血管内淋巴瘤,生殖细胞瘤、各种转移瘤、心房粘液瘤等。神经纤维瘤病也可在中枢出现影像学上类似脱髓鞘的病变。

I--infection,感染
指的是各种感染,病毒(单纯疱疹病毒、带状疱疹…)、细菌(革兰阳性、革兰阴性、球菌、杆菌…)、结核、。真菌、梅毒、各种寄生虫(囊虫、弓形虫、吸虫、裂头蚴等)。还有进行性多灶性白质脑病(PML)、CJD、Whipple’s 病等。亚急性细菌性心内膜炎。

G--gland,腺体,内分泌
内分泌病变一般引起系统性病变,不引起实质占位病变。
H--hereditary,遗传
引起中枢神经系统病变的遗传性疾病可是种类繁多,主要指脑白质营养不良、脑小血管病等白质受累为主的病变。
如前者按发病机制可分为:溶酶体疾病(异染性脑白质营养不良、Fabry’s 病、Krabbe’s 病),过氧化物酶疾病(肾上腺脑白质营养不良(ALD)、肾上腺脊髓神经病(Adrenomyeloneuropathy))、线粒体疾病(MELAS、Leigh病)。按髓鞘病变病理过程种类分:异常髓鞘化:肾上腺脑白质营养不良、球形细胞脑白质营养不良、 染性脑白质营养不良;髓鞘化低下:佩梅氏病、Alexander病、白质消融性脑白质病;髓鞘囊性变性:Canavan病、空泡性脑白质病。
各种遗传性脑小血管病:如CADASIL、CARASIL、Fabry病及CAA、CAA相关性血管炎等等。
还有结节性硬化、各类NBIA(脑组织铁沉积神经变性病),脑肝肾综合征、线粒体脑病、LCC等。

T--toxication,中毒/trauma,外伤
个人认为这里的中毒理解为毒物相关的病变更合理一些。
如酒精中毒相关的,如MBD。
各种中毒,有机溶剂,如苯、甲醇、一氧化碳中毒、氨己烯酸中毒等。
毒品如海洛因、可卡因等。
抗肿瘤或免疫抑制剂如甲硝唑、5-FU(5-氟尿嘧啶)及其前体药物卡培他滨、他克莫司、甲氨蝶呤、贝伐单抗等相关性脑病。

S--stroke,卒中,即血管性
各种动脉性、静脉性血管病、静脉窦血栓形成、动脉夹层致脑梗塞、脑小血管病、脑动静脉畸形、CAA等,Moya-Moya也可出现脑实质的多发病灶,易被误诊为脱髓鞘。

除此之外,还有一些解剖结构变异造成的病变,如V-R间隙扩大,灰质异位等。

怎么样,够眼花缭乱了吧!
这还没完呢,由于影响和疾病之间有同病异象、异象同病的特点,所以,单从影像是无法区分如此众多的疾病的,那还需要结合患者的病史、体格检查来判断疾病,如果仍不能明确,则需要完善血生化、免疫等检测项目,甚至还需要脑脊液细胞学、活检病理、基因检测等来完善疾病的诊断和鉴别诊断,如何把这么多纷繁复杂的化验检查项目灵活应用好,这可是个技术活,需要长期的临床积累,我们以后慢慢聊……

赵桂宪,复旦大学附属华山医院神经病学专业主治医师,临床医学博士。2000年毕业于西安交通大学临床医学院,获医学学士学位。2008年博士毕业于福建医科大学。2010年赴加拿大温哥华UBC大学进行短期MS临床研究培训。擅长中枢神经系统脱髓鞘疾病的诊断和鉴别诊断,对神经遗传变性病和周围神经病也有一些自己的心得体会。目前主要进行多发性硬化(MS)的临床及科学研究。主持完成多发性硬化国家自然基金1项,曾以第一骨干参与1项中国-加拿大多发性硬化合作课题,并曾参与完成研究生导师的国家自然基金和省级自然基金多项。
相关回顾
更多资讯请关注神外资讯微信公众号:neurosurgerynews




