今天为大家分享的是《颅脑创伤-神经重症病例周刊》第十一期,由解放军第三医院神经外科主任王晓峰教授团队(王军、杨晓亮、唐宗椿、杨兴奎、高飞等)带来的病例分享:一例重型颅脑损伤合并术后脑积水并颅内感染的治疗体会。文末分别由中华医学会创伤学分会主任委员、“神外资讯中国颅脑创伤-神经重症专家组”组长江基尧教授,第四军医大学第一附属医院(西京医院)神经外科主任、“神外资讯中国颅脑创伤-神经重症专家组”委员费舟教授对病例做出了精彩点评,欢迎阅读。
患者信息:男性,23岁,解放军第三医院病案号:00605XXX。
病史:患者因“头部外伤后意识不清2小时”于2015年12月02日13时以"创伤性重型颅脑损伤"收住入院。陪人诉患者骑电动自行车时与一辆卡车相撞,伤后当即昏迷,未见呕吐,无肢体抽搐及大小便失禁。当地医院行头颅CT检查示:右侧额颞顶部急性硬膜下血肿,量约60ml,右侧额颞叶少量脑挫裂伤,蛛网膜下腔出血;双顶骨折。
查体:体温37.1℃,脉搏88次/分,呼吸20次/分,血压130/70mmHg。意识浅昏迷,Glasgow意识评分为7分。双侧瞳孔等大形圆,直径各约2.5mm,直接、间接对光反射迟钝。
2015-12-02 12:33 伤后1小时我院急诊科复查头颅CT(2015-12-02 12:33):

入科后急诊在全麻下行去骨瓣减压及硬膜下血肿清除术,植入脑实质内颅内压监测,术后患者颅内压正常范围,生命体征平稳,术后第二日复查头颅CT及胸部CT(术后约14小时,2015-12-03 09:33):

患者术后虽然颅内显示正常,但挫伤出血量大,脑肿胀明显,行二次开颅颅内血肿清除术,术后复查头颅示(2015-12-04 09:05):

术后给予镇痛、镇静、机械通气、脱水、止血、抗感染、目标性体温控制、营养支持等治疗,术后4天复查头颅CT及胸部CT示(2016-12-08 10:39):

患者术后持续昏迷,分别于2015-12-11、2015-12-13及2015-12-18行腰椎穿刺术,脑脊液提示为血性脑脊液逐渐转变为红色脑脊液,期间未发现明显感染迹象。胸部给予反身、叩背、吸痰、重症早期康复、高压氧等治疗,2015-12-18逐渐意识恢复至朦胧,至2016-01-03患者逐步意识恢复至清楚,自动睁眼,配合动作,失语。双侧瞳孔等大形圆,直径各约2.5mm,对光反应灵敏,双肺呼吸音清晰,右侧肢体活动可,肌力Ⅳ级,左侧肢体刺痛反应弱,左上肢肌力Ⅰ级,左下肢肌力Ⅱ级,四肢肌张力正常。期间多次复查头颅CT示见出血吸收,胸部CT好转。
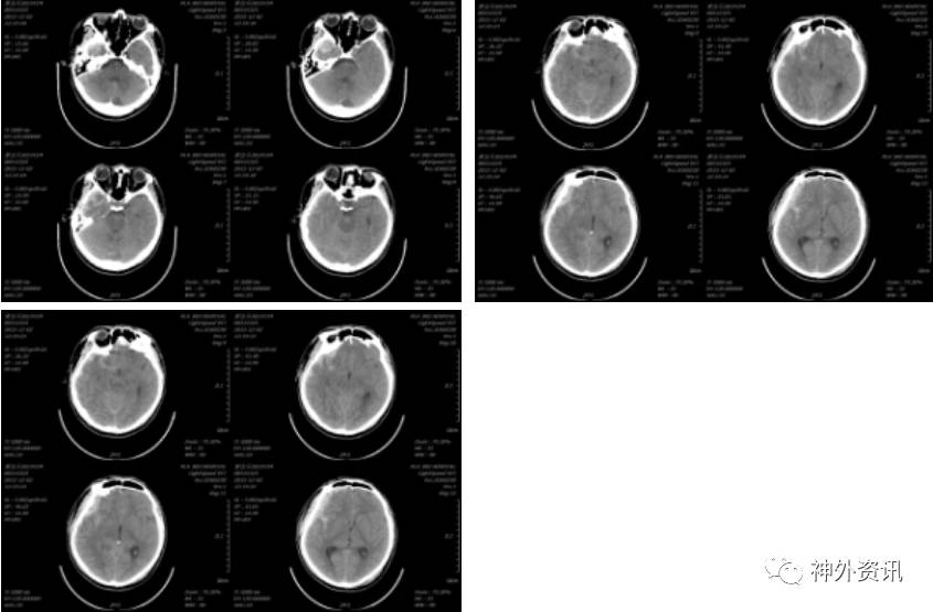
患者于2016-02-03能发简单“咿、啊”等音,但2016-02-26患者出现反应迟钝,大小便失禁等症状,复查头颅CT示(2016-02-26 14:25):

患者多次行腰穿症状缓解不明显,考虑脑积水,一方面病人各项情况逐渐好转,而且患者头皮状况较差,不适宜于立即行颅骨修补及分流,所以一直到伤后三个月行颅骨修补和分流手术。
于2016-03-04在全麻下行颅骨钛网修补术,2016-03-05复查头颅CT示(2016-03-05 10:02):

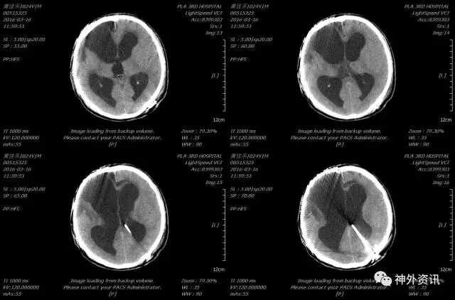
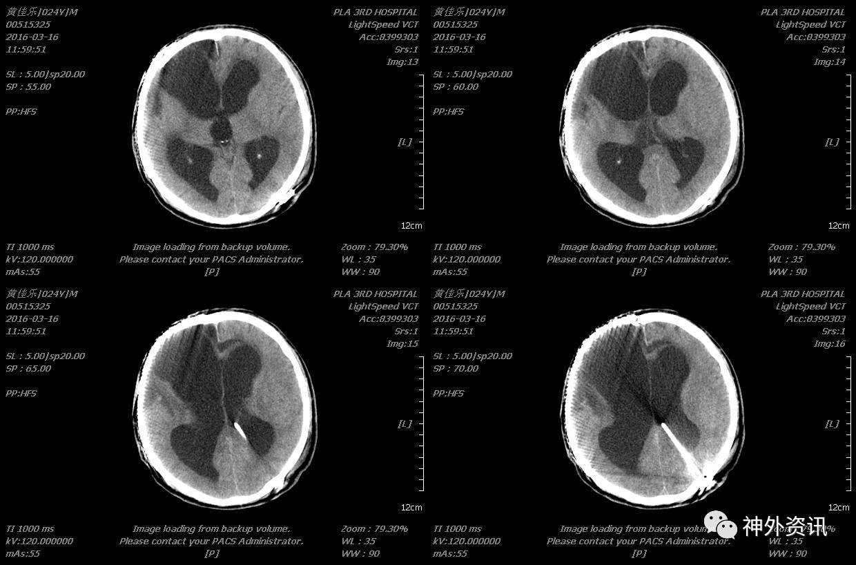
术后患者反应迟钝、大小便失禁等症状缓解不明显,于2016-03-15在全麻下行脑室-腹腔分流术,术后复查头颅(2016-03-16 11:59)示:

患者术后反应逐渐好转,至2016年08月患者逐渐恢复至意识清楚,能够言语,但骂人较多,能辨识家人,与康复师正常交流,家人搀扶下可行走,大小便自控,考虑存在外伤性精神症状,请精神科会诊后给予心理疏导、精神类药物治疗后好转。
阶段思考:
1、第一次急诊手术清除硬膜下血肿,见皮层无破损,张力中等,需要不需要切除部分脑组织,同时探查脑内有无继发血肿。如果首次术中B超进行探查,了解有无继发血肿、脑血流和脑室移位情况,可否避免二次手术?
2、ICP植入能够为我们的治疗提供指导,但我们也应看到,脑实质内ICP受到减压窗的影响,只能提供局部颅内压情况,而脑室型颅内压能够提供更加全面的颅内压,同时释放脑脊液,ICP监测只是颅内监测的一个方面,不应该完全依赖颅内压。
3、患者二次出血,有手术指征,术后脑缺血面积较大,如果能行亚低温治疗可能对颅内压的控制更加有利。
4、脑外伤术后脑积水的预防非常关键,除了多次腰穿释放血性脑脊液,是否还有别的办法。
5、颅骨缺损的修补时机,虽说大家的意见是可以提前,甚至到术后一个月,但到底什么时候最合适,缺少相应证据支持。尤其是伤后头皮有损伤,愈合延迟时,最早什么可以进行颅骨修补。传统的说法是如果头皮有感染建议修补最少在伤后半年。
6、颅骨缺损合并脑积水的术式选择也一直是讨论热点,分期做还是同时做?分期做并发症少,病情可控性好,分流管压力好选择(不是所有病人都能负担起可调压分流管),但毕竟要做两次手术,两次手术间隔期多长也值得讨论。
病情出现新的变化(伤后8个月,分流修补术后5个月)
患者于2016-08-27出现发热,伴咳嗽,白细胞(WBC)16.67×109/L、中性细胞比率(NE%)87.8%、中性细胞计数(NE)14.6×109/L、降钙素原测定(PCT)0.45ng/ml、超敏C反应蛋白测定(UsCRP)35.20mg/L,给予舒普深静滴后,2016-08-30复查血常规:白细胞(WBC)6.76×109/L、中性细胞比率(NE%)57.4%、超敏C反应蛋白测定(UsCRP)4.10mg/L、降钙素原测定(PCT)0.05ng/ml,2016-09-02体温恢复正常,停用舒普深, 2016-09-10再次出现发热, 体温38.6度,患者出现腹痛,2016-09-12腹部B超及MRI示:腹腔包裹性积液、双侧胸膜腔少量积液。2016-09-13日查胸部CT示:1.双肺下叶渗出性改变伴右肺下叶部分不张,2.双侧胸膜腔积液,以右侧为著。请呼吸科、胸外科会诊后,行胸腔闭式引流,血培养未见异常,胸水生化提示感染性渗出性改变。
2016-09-12行胸部超声后,复查腹部MRI示(2016-12-12 17:46):

2016-09-13复查胸部CT示:

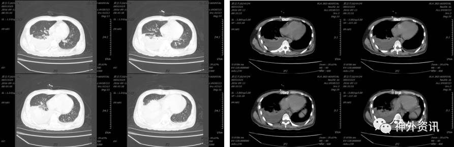
胸外科2016-09-13给予胸腔闭式引流,当日引出淡黄色胸水约600ml,送化验示:淡黄色浑浊胸水,白细胞手工计数1363.00×106/L、胸腹水糖(XGLU) 5.43mmol/L、胸腹水蛋白46.60、普通培养无细菌生长,考虑渗出液,肺部感染及胸腔积水。第二日复查胸部CT示(2016-12-04 10:50):

第四日复查胸部及脑CT示(2016-09-16 15:29):

然而患者仍持续发热,考虑存在颅内感染可能,2016-09-15改为万古霉素500mg 1/8h, 美罗培兰 0.25g 1/12h, 期间多次腰椎穿刺结果如下:



患者多次腰穿脑脊液为淡黄色,但分流管储液囊穿刺脑脊液为无色透明,多次脑脊液培养未见细菌生长,积极建议家属行分流管取出术,家属不同意手术,要求保守治疗,考虑存在腹部逆行感染可能,2016-09-22行脑室腹腔分流管腹腔端位置调整,术中留取脑脊液:无色透明脑脊液,葡萄糖2.68mmol/L,细胞数9×106/L,期间一直未发热,更换抗生素为头孢哌酮舒巴坦钠。
2016-09-30患者再次出现出现咳嗽,发热38.6度,血常规:白细胞(WBC)21.78×109/L,中性细胞比率(NE%)88.4%,继续给予舒普深等药物, 2016-10-04血常规:白细胞(WBC)8.40×109/L、中性细胞比率(NE%)66.5%,复查胸部CT示:

患者于2016-10-06体温恢复正常,于2016-10-08停用舒普深、痰热清,分流储液囊中脑脊液:无色透明脑脊液,葡萄糖2.83mmol/L,细胞数130×106/L,2016-10-10出现发热,分流管处皮下水肿,沿分流管皮肤变红,给予舒普深,2016-10-10头部分流泵处出现皮下包块,沿分流管皮肤变红,大约10多分钟后皮肤变成正常肤色。
此时已距8月27日发烧已经45天,患者病情反反复复,脑脊液化验结果时好时坏,细胞数很难降低到50以下。这期间经历过了抗感染治疗,多次腰穿,胸腔闭式引流,腰大池引流等治疗。但患者意识各方面反应呈进行性下降趋势,最重时呈浅昏迷,营养状况下降明显。家属对继续治疗信心不足。
全科讨论时遇到的问题:
1、当出现发热时,我们首先发现了胸腔积液,用“一元论”解释,但当这个病因去除后,患者仍发热,这是我们应积极考虑是否存在其他感染可能。
2、分流术后半年出现感染,而且是多部位,大脑,腹部,胸腔,什么原因,有没有血行感染可能,是否存在菌血症,但多次胸水、血、脑脊液培养,均未拿到培养结果及药敏,是否继续抗感染,广谱还是窄谱,降不降阶梯,如何降?
3、分流管和修补用的钛网都是异物,都要取出吗?
4、分流管取出后脑积水的问题如何解决,腰大池引流?OMAYA囊植入?脑室外引流?
5、要不要保留脑室端做为外引流,头皮发红变薄的问题会不会进一步加重。
6、为什么分流管储液囊和腰椎穿刺的脑脊液性状不一致。
最后决定脑脊液异常,腹腔包裹积液,胸腔积液都与分流管有关,先拔除分流管,把抗感染做为处理的第一步,然后走一步看一步,出现什么问题解决什么问题。
2016-10-11血常规:细胞25.42×109/L、降钙素原测定(PCT)0.40ng/ml,2016-10-10发现分流管处头皮水肿,行B超示:皮下组织水肿,头颅CT示较前无明显变化。腰穿检查示:无色浑浊、白细胞手工计数1958.00×106/L、中性粒细胞0.89、淋巴细胞0.11、葡萄糖(GLU)1.46mmol/L、脑脊液蛋白(PRO)0.97g/L,压颈不通畅。考虑颅内感染,再次建议家属行分流管取出术,2016-10-14行分流管取出术,术后行导管细菌培养及图片未发现细菌,2016-10-17脑脊液细菌图片:偶见革兰氏阴性杆菌,但培养未发现细菌,继续给予万古霉素、美罗培兰抗感染至3次脑脊液基本正常后于2016-11-12停药,患者逐渐恢复,意识清楚,言语清晰。
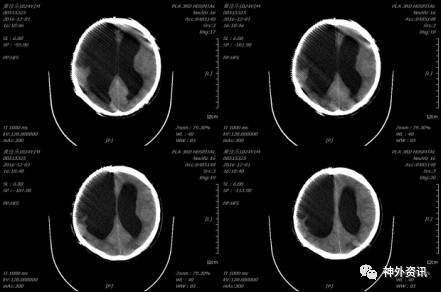
2016-10-15复查头颅CT示:拔出引流管后未见脑室继续扩大。

胸部情况较前明显好转,于2016-12-01再次复查头颅CT示未见脑室进一步扩大。

2016年9月15日开始腰穿葡萄糖及蛋白的变化(单位:GL:mmol/L, Pro, g/L):

2016年9月15日开始腰穿细胞数的变化(单位:106/L, 储液囊为分流管储液囊穿刺):

2016年9月15日开始腰穿脑脊液压力的变化(单位:mmH2O):

后患者逐渐康复,未再行脑室腹腔分流术,耐受良好,于2017年3月复查头颅CT未见脑室明显扩大,意识清楚,言语清晰,对答切题,扶物下可自主行走,生活大部分基本自理。
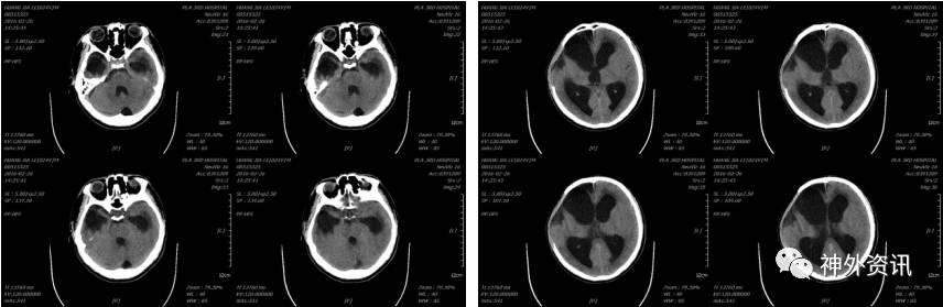
2017-03-30头颅CT示:

2016年3月,患者恢复良好,轻度辅助下可行走。

第二阶段思考:
1、脑积水脑室-腹腔分流术后的感染是比较常见的并发症,急性期的感染会很容易决定拔出分流管,抗感染治疗。但对慢性感染,拔除分流管的信心不足。应该严格按照指南要求,分流术后一旦发生感染要立即拔除分流装置(这已经是我们近5年遇到的第三例分流术后慢性感染,拔除分流管后感染才得以治愈)。
2、脑室-腹腔分流术后可以出现逆行感染,可以从头端到腹腔,也可以从腹腔到头端,甚至邻居的胸腔, 也存在血行感染。
3、脑室-腹腔分流术后,分流管装置细菌可以长期附着生存的。因为在第一次调整分流管时,分别在术中探查并化验了脑室端和腹腔端的脑脊液,都显示正常。
4、脑室-腹腔分流装置取出后感染很快控制。但是什么原因造成患者脑积水没再加重,甚至好转,机理是什么,机体的自适应,重新建立了脑脊液循环还是因为感染等因素造成脑脊液的分泌功能下降?
最大的感受是长达1年4个月的治疗,虽然患者得到了目前比较好的结果,但在整个治疗周期中的多个时机把握欠缺很多,如果每个环节都掌控恰当,患者应该会有一个更好的结果。真诚要感谢此位患者给予我们的机会和理解,祝愿他恢复的更好。所以此例病例提供的不是经验分享,而是我们治疗中的反思,请各位同道和老师批评指正。
精彩点评
这是来自陕西宝鸡解放军第三医院王晓峰团队成功救治的一例重型颅脑创伤病例。历时一年四个月,最终取得满意疗效。 1.在ICP正常、CT扫描显示基底池基本正常的情况下,第二次手术清除脑挫裂伤有待商榷;2.脑积水明确,应该尽早行分流手术;3.在脑外伤术后半年多发生脑室系统感染,通过拔除脑室分流管和正规治疗得到有效控制;4.拔除脑室端分流管后CT扫描显示病人严重脑积水,尽管病人的病情稳定,但是,仍然应该再次采取分流手术,可以采用L-P分流;5.关于安置分流管脑室分流管的位置,尽量釆取侧脑室前角穿刺。
江基尧 教授
上海市颅脑创伤研究所所长
中华医学会创伤学分会主任委员
上海交通大学医学院附属仁济医院首席专家
精彩点评
患者青年男性,车祸致颅脑损伤,入院时生命体征平稳,神志浅昏迷,结合CT检查结果,有手术指征,急诊行血肿清除、去骨瓣减压术。但术后14小时出现右额叶血肿,随即二次手术清除血肿。术后半月意识恢复至朦胧,术后1月意识清楚,自动睁眼,遵嘱动作。术后近2月出现脑积水,并出现反应迟钝,大小便失禁等脑积水相关症状,于术后3月分期行颅骨修补术、脑室腹腔分流术,术后上述症状缓解。分流术后5月出现颅内、胸腔、腹腔多发感染,给予强力抗感染治疗,效果不佳,病情进行性加重,因患者家属不配合,未能及时拔除分流管,直至感染后近50天,才拔除分流管,拔管后给予强力抗生素抗感染治疗4周,感染彻底控制,患者预后良好。
感谢宝鸡三院神经外科给我们提供这么典型的病例,该病例治疗过程中遇到了术后出血、脑积水、脑室腹腔分流术后颅内、胸腔、腹腔多发感染等多种并发症,并得到了及时处理,预后良好,是一个难得的教学病例。文中作者提出了系列问题,均是目前颅脑损伤治疗过程中亟待解决的临床问题,看似简单,但均值得大家进一步行临床RCT研究,必将提高颅脑损伤的救治水平;当然。治疗过程中也遇到了临床上常出现的难以回避的问题,如出现难以控制的颅内感染,因分流管本身没有血供,细菌可以长期附着生存,致使该患者近50天的抗感染治疗中,感染反复出现、波动,如若及时拔除分流管,则可利于控制感染。当然,患者家属不配合拔管,是其主要原因,这时就需要医务人员做过细的工作,应尽全力沟通,及时取得家属理解,从而及时控制感染。
费舟 教授
西京医院神经外科主任
中华医学会创伤学分会神经损伤组副组长
中华医学会神经外科学分会神经创伤组副组长




