【Ref: Marchioni D, et al. J Neurosurg. 2017 Jan;126(1):98-105. doi: 10.3171/2015.11.JNS15952. Epub 2016 Mar 11.】
听神经瘤切除的手术入路众多,其中最常用乙状窦后入路、经乳突-迷路入路和中颅窝入路等。然而,对内听道内的小型听神经瘤,不管哪种入路依然难以到达。在乙状窦后入路中,需要磨除较多的岩骨后面的骨质才能充分暴露内听道。意大利维罗纳大学医院耳鼻喉科和摩德纳大学医院耳鼻喉科的Daniele Marchioni等撰文介绍采用内镜下经外耳道-鼓岬入路(exclusive endoscopic transcanal transpromontorial approach,EETTA)切除位于内听道内的小型听神经瘤或脑膜瘤的经验,发表在2017年1月的《J Neurosurg》杂志上。
从2011年11月至2015年1月,在上述两家医院有10例患者接受EETTA入路切除位于内听道内的听神经瘤或脑膜瘤。该入路的手术指征为,①MRI成像提示进行性增大的听神经瘤;②肿瘤分级为Koos Grade I级(肿瘤局限于内听道内)(图1)或Koos Grade II级(肿瘤局部涉及小脑桥脑角);③美国耳鼻喉头颈外科学会(AAO-HNS)听力分级D级,即严重听力丧失。所有手术均由两位耳鼻喉科主任医师主刀,1名神经外科医师做助手。图2、3、4、5展示手术图解和术中照片。
10例患者均手术全切除肿瘤,平均手术时间192分钟。因为耳蜗被切除,所有患者术后耳聋,但无脑脊液漏或出血等严重并发症发生。手术标本病理学检查显示9例为听神经瘤,1例为脑膜瘤。7例(70%)患者术后面神经功能为RGS I级,即正常;其中2例术后出现暂时性面瘫,在随访期间完全恢复。3例(30%)术后面神经功能为RGS III-IV级,即明显面瘫但能闭眼或明显面瘫并不能闭眼,但在住院期间恢复到RGS II级,即轻微面瘫或RGS III级,明显面瘫但能闭眼。
综上所述,EETTA入路适用于切除位于内听道内、甚至侵犯耳蜗的听神经瘤或脑膜瘤。具有无外部皮肤切口、有创范围小和手术并发症少的优点。

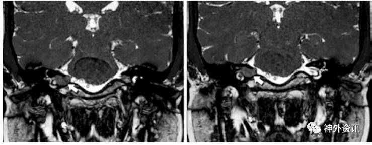
图1. MRI-T2加权冠状位显示内听道内听神经瘤,未向小脑桥脑角区扩展(白色箭头)。

图2. EETTA手术图解。A.经外耳道入路,无皮肤切口;B.术前解剖标志;C.磨除耳蜗和听小骨后;D.磨除内听道,可见肿瘤;E.切除肿瘤;F.术毕,内耳道脂肪垫填塞。缩略词:an=听神经瘤(VS);ca=颈内动脉;et=咽鼓管;fn=面神经(鼓室段);fn*=面神经(乳突段);fn**=面神经(内听道段);fp=脂肪垫;gg=膝状神经节;in=砧骨;jb=颈静脉球;isc=外半规管;ma=锤骨;pr=鼓岬;s=镫骨;ve=耳前庭。以上图片版权归Daniele Marchioni所有。

图3. 右侧EETTA入路手术照片。A.经外耳道暴露鼓室,可见面神经乳突段和颈静脉球;B.磨除砧骨和锤骨,暴露颈内动脉;C.磨除镫骨暴露耳前庭,磨除鼓岬暴露耳蜗拐角;D.进一步磨除耳前庭与耳蜗之间骨质,暴露内听道。缩略词:co=耳蜗,其余见图2。

图4. 右侧EETTA入路手术照片。左图:从外侧向内侧,在耳前庭下方沿内听道环磨除骨质,成马蹄形(橙色箭头),探查并打开内听道的前、下和后壁;右图:解剖内听道,直至打开内听道孔至颞骨内侧面的硬脑膜,到达小脑桥脑角区。缩略词:dp=内听道孔处的硬脑膜;其余见图2。

图5. 右侧EETTA入路手术照片。A.探查走行于内听道内的面神经后,切除听神经瘤;B.内镜下检查内听道至小脑桥脑角区的面神经完整性;C.显示肿瘤切除后的鼓室;D.取脂肪垫填塞鼓岬缺损。
(湘南学院附属医院神经外科冯梦龙编译,德国科隆大学医学院郑锋博士审校,《神外资讯》主编、复旦大学附属华山医院陈衔城教授终审)
相关回顾
更多资讯请关注神外资讯微信公众号:neurosurgerynews




