【Ref: Mansour TR, et al. World Neurosurg. 2017 Feb 15. pii: S1878-8750(17)30191-2. doi: 10.1016/j.wneu.2017.02.029. [Epub ahead of print]】
海绵状血管瘤占中枢神经系统血管性疾病的5%-13%;通常位于脑内,偶见生长于脑外,脑外者多位于中颅窝,与海绵窦关系密切。但是,起源于前床突硬脑膜的海绵状血管瘤非常罕见,在PubMed数据库里搜寻近30年内的资料也未果。美国俄亥俄州托莱多大学医学中心神经外科的Tarek R. Mansour等报道1例前床突海绵状血管瘤误诊为脑膜瘤的病例,结果发表于2017年2月《World Neurosurgery》在线。
36岁男性患者。因外伤后行影像学检查,意外发现右侧中颅窝占位病变,无临床症状。术前MRI检查显示,右侧前床突一起源于硬脑膜的肿物,T1加权呈低信号,T2加权呈等信号,增强扫描均匀强化,考虑为脑膜瘤。经右侧翼点入路全切除病灶,无术后并发症。术后病理学检查,见病变为扩张、硬化的血管团,间质无神经组织,血管内有血栓形成,符合海绵状血管瘤。
作者认为,前床突硬脑膜起源的海绵状血管瘤罕见,术前影像学诊断困难;但应该考虑该病变的可能,以做好术中出血多的准备。

图1. MRI轴位成像显示右侧前床突上方一起源于硬脑膜的占位病变(白色箭头)。A图为T1加权相;B图为T2加权相;C图为T2-FLAIR相;D图为T1加权相增强。

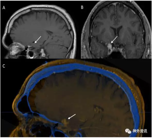
图2. A图为MRI-T1加权矢状位成像,显示一前床突上方占位病变,与硬脑膜关系密切(黑色箭头);B图为MRI-T1加权冠状位增强图像,病变位于颈内动脉上外侧;C图为MRI增强图像与CT扫描图像融合。

图3. 术中照片可见前床突占位病变,像脑膜瘤;术中分离和切除肿瘤较一般的床突旁脑膜瘤容易。

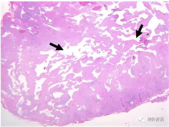
图4. 肿物标本的组织病理学检查可见扩张迂曲的血管(白色箭头),间质中未见神经组织。
(湘南学院附属医院神经外科冯梦龙编译,德国科隆大学医学院郑锋博士审校,《神外资讯》主编、复旦大学附属华山医院陈衔城教授终审)
相关回顾
更多资讯请关注神外资讯微信公众号:neurosurgerynews




