今天为大家分享的是,由首都医科大学附属天坛医院脑血管病中心三病区张东主任、张岩主任和张谦主治医师合作完成的:颅内多发血泡样动脉瘤手术治疗1例,由喻乐保博士整理,欢迎观看、阅读。

张东,男,1967年出生,汉族,主任医师,教授,医学博士,博士生导师,比利时自由大学Erasme医院访问学者,现任首都医科大学附属北京天坛医院脑血管病中心脑血管3病区主任。
现任中国卒中学会脑血管外科分会副主任委员;中国研究型医院学会脑血管病学专业委员会常务委员;北京市脑血管病防治协会常务理事;中华急诊医学会心脑血管病学组委员;《中华解剖与临床杂志》特约编委;《中华神经外科杂志》审稿专家;国家自然科学基金委员会评审专家。
长期从事神经外科疾病尤其是脑血管疾病和老年脑肿瘤的外科治疗,在脑动脉瘤、脑血管畸形等出血性疾病、以及颅内外血管搭桥手术治疗烟雾病和动脉粥样硬化等缺血性脑血管病达到较高的学术水平,在学科领域具有较大的影响。完成搭桥手术治疗脑缺血接近千例,其中烟雾病800余例,动脉粥样硬化性脑血管闭塞200例;颈动脉内膜剥脱术500余例。
负责并参与多项国家自然科学基金项目,参与十三五、十一五科技攻关等重大科研计划。获得国家科技进步二等奖二项(参与),中华医学科技奖一等奖和北京市科技进步一等奖、二等奖多项(参与)。发表学术论文50余篇,参编赵继宗主编《微创神经外科学》和《神经外科手术精要与并发症》等多部学术专著。
血泡样动脉瘤多位于颈内动脉床突上段,站颅内动脉瘤的0.3%-1%。动脉瘤在显微镜下呈鲜红色血泡样,瘤体较小且基底较宽,瘤壁菲薄,极易破裂出血。血泡样动脉瘤治疗困难,无论介入或是手术治疗都容易导致瘤颈撕脱,动脉瘤再次破裂出血。
患者,女性,44岁,既往胆囊切除史及重症胰腺炎病史。
主诉:突发剧烈头痛伴恶心呕吐4日余。
简要病史:4日前与安静状态下突发剧烈头痛伴恶心呕吐,后出现双侧肢体抽搐,持续约2分钟后意识丧失,呼叫不应。就诊于当地医院,CT提示“基底池、环池、四叠体池、双侧裂、大脑镰旁广泛蛛网膜下腔出血”。现就诊于我院,复查颅内CT出血较前减少,DSA提示“左侧颈内动脉眼端、交通段、左侧大脑前动脉A1段多发动脉瘤”。
查体:神清语利,双瞳孔等大等圆,直径2.5mm,直间接对光反射灵敏,双侧眼球外展不充分。余颅神经检查未见异常,四肢肌力肌张力正常,感觉对称。病理征阴性,脑膜刺激征阳性。
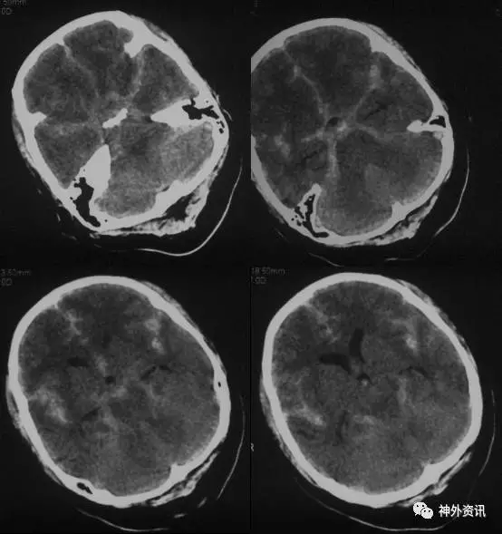
出血当日CT(2017-03-20): 基底池、环池、四叠体池、双侧裂、大脑镰旁广泛蛛网膜下腔出血。

术前CTA(2017-03-28): 左侧颈内动脉虹吸部、左侧大脑前动脉A2段管壁多发小动脉瘤

术前DSA(2017-03-24):左颈内动脉后交通段、左侧颈内动脉眼动脉段、大脑前动脉A1段多发动脉瘤

术前诊断:①颅内多发动脉瘤 ②蛛网膜下腔出血
治疗计划:左额颞入路开颅,探查颈内动脉、前交通动脉并夹闭动脉瘤。
手术过程:左额颞开颅,筋膜下入路。铣开骨瓣后咬除蝶骨嵴和前床突,剪开硬脑膜。显微镜下探查至鞍旁和海绵窦,打开蛛网膜,显露左侧颈内动脉,见2枚动脉瘤位于眼动脉段,成血泡样,其中一枚与周围脑组织和视神经粘连明显。分离动脉瘤时一枚破裂,临时阻断ICA后先以2枚动脉瘤夹夹闭破裂动脉瘤,再以2枚动脉瘤夹夹闭未破裂动脉瘤。临时阻断共4分钟。分离瘤顶解除对视神经压迫,探查同侧后交通动脉及大脑前动脉A1、A2段未见动脉瘤。创面止血后缝合硬膜、复位骨瓣、逐层关闭。
此次分享1例颅内多发血泡样动脉瘤夹闭病例。本手术采取左额颞入路开颅,铣开骨瓣后咬除蝶骨嵴和前床突,取得良好的颈内动脉暴露。术中探查2枚动脉瘤,其中1枚破裂,临时阻断颈内动脉后夹闭。血泡样动脉瘤极易破裂,术中获得良好的暴露是手术成功的关键。如术中动脉瘤破裂,可临时阻断载瘤动脉,再夹闭瘤颈满意后再行进一步操作。






