【Ref: Oliveira RA, et al. Front Neurol. 2017 Feb 15;8:44. doi: 10.3389/fneur.2017.00044. eCollection 2017.】
目前,临床上CT扫描广泛应用于创伤性颅脑损伤(TBI)患者的状况评估。经颅彩色多普勒超声扫描(transcranial color-coded duplex sonography,TCCS)因其无创、可床边检查并且可以间接提示与颅高压相关的信息,如中线偏移、第三脑室宽度和中脑周围池闭塞等,逐渐应用于TBI患者的监测。巴西圣保罗大学医学院的Raphael A. G. Oliveira等研究TCCS与CT扫描对于评价TBI患者状况的一致性,结果发表在2017年2月的《Front Neurol》在线。
该研究共纳入15例患者,TCCS均在颅脑CT扫描前6h完成。比较患者进入ICU后的第1次CT扫描与TCCS结果。通过Bland-Altman法和评估组内相关系数(>0.75认为相关性强)分析二者一致性。15例患者中男性占80%,平均年龄为42±23岁,GCS评分为5。测量中线偏移,颅脑CT与TCCS结果的平均差异为0.30±2.1mm(组内相关系数:0.93,p<0.01)。第三脑室宽度测量,二者同样表现出极强相关性(0.88,p<0.01)。一致性分析显示,Bland-Altman法未表现出系统偏差。同时,与颅脑CT扫描相比,TCCS对判别非受压所致的中脑周围池和大脑外侧裂改变的精确度较高(图1、2)。

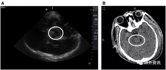
图1. A图中TCCS的白圈内中脑平面蝴蝶翼样结构,与B图中CT扫描结果相对应。

图2. A图中TCCS的白色箭头对指的是间脑平面第三脑室,灰色箭头指向大脑外侧裂,与B图中 CT扫描结果相对应。
作者指出,TCCS扫描简易、方便地在ICU床边监护颅脑创伤患者,可以提供与CT扫描一致、准确的颅高压相关参数,还可避免辐射和患者运送过程中的意外;或许对TBI患者的评估方面可以取代CT。
(福建医科大学附属第一医院陈小勇编译,复旦大学附属华山医院王知秋教授审校,《神外资讯》主编、复旦大学附属华山医院陈衔城教授终审)
相关回顾
更多资讯请关注神外资讯微信公众号:neurosurgerynews




