引用《神外沙龙》中的一段话开始本次病例汇报,也说出了术者本人的心声。


孙怀宇,主任医师,沈阳医学院附属铁煤集团总医院(三级甲等)主任,教授,硕士研究生导师。主要从事脑血管疾病外科治疗临床工作,主持和参与省级、市级课题多项,在《中华神经外科杂志》等各级各类学术期刊发表论文数十篇。
相关回顾
病例介绍
男,46岁,突发头痛2小时入院。既往否认有高血压病。入院时神志清,问答正确,瞳孔及肢体活动正常,颈强直(+)。
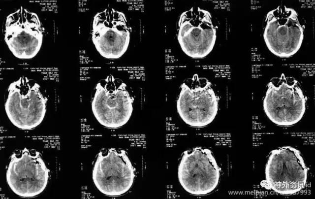
CT平扫提示SAH,鞍上池和双侧外侧裂池广泛均匀分布。

CTA提示基底动脉尖不规则形状动脉瘤,同时左侧大脑中动脉M1末端囊状动脉瘤。



重点显示基底动脉尖动脉瘤和大脑中动脉动脉瘤形态和颅骨表面投影。

显示基底动脉尖动脉瘤和相关血管形态,可见动脉瘤窄蒂,瘤顶不规则,判断为责任病灶。双侧P1、P2血管形态正常。

侧位显示基底动脉尖动脉瘤形态,可见动脉瘤窄蒂,瘤顶指向前上方,瘤颈与后床突相距约3.0cm,属于高位基底动脉尖动脉瘤。

手术选择左侧扩大翼点入路,骨窗下缘至中颅窝底。首先分离外侧裂,暴露中动脉动脉瘤。

大脑中动脉动脉瘤手绘图显示术中所见形态。

一枚动脉瘤夹夹闭动脉瘤颈后发现动脉瘤仍有供血,考虑瘤颈有血栓导致瘤颈夹闭不全。

补夹一枚动脉瘤夹,之后动脉瘤缩小,剪开动脉瘤体,证实瘤颈有局部血栓机化,瘤颈夹闭完全可靠。


处理完大脑中动脉动脉瘤之后,继续沿外侧裂向深部分离,经过第二间隙,打开Liliequist膜,清除SAH,可见基底动脉,准备经A1段上方暴露基底动脉尖,结果发现A1段向上穿支血管众多,没有空隙可以暴露目标区,遂改为经颞下入路暴露基底动脉尖动脉瘤。

经颞下入路暴露大脑后动脉P2段、后交通动脉、基底动脉、动眼神经及视神经后部,可见大脑后动脉和后交通动脉穿支血管众多。

继续深入暴露大脑后动脉P1段及其穿支血管,接近动脉瘤颈。


可见基底动脉尖动脉瘤颈,瘤壁呈淡蓝色,菲薄,基底动脉临时阻断状态下动脉瘤体张力不高。


小心剥离动脉瘤颈前、后方,仔细辨认穿支血管,小心保护,之后以一枚mini动脉瘤夹顺利夹闭动脉瘤颈,瘤体缩小,瘤颈右侧根本没有空间暴露及窥视,祈祷没有穿支血管误夹。


手绘图示基底动脉尖局部精细解剖结构。


术后复查头CT显示手术效果满意。

术后第2天病人神志转清,四肢可以自主活动。

术后第10天,切口愈合良好。

术后16天病人可以自如行走,言语正常。

我们可爱的团队和总医院


更多资讯请关注神外资讯微信公众号:neurosurgerynews





