今天为大家分享的是《颅脑创伤-神经重症病例周刊》第七期,由西南医科大学附属医院神经外科创伤组陈礼刚教授团队带来的病例:去骨瓣减压术+迟发性颅内血肿并继发性脑积水病例一例。文末分别由中国医师协会神经外科医师分会神经创伤专委会主任委员、“神外资讯中国颅脑创伤-神经重症专家组”副组长张赛教授,第四军医大学唐都医院神经外科重症创伤中心主任、“神外资讯中国颅脑创伤-神经重症专家组”委员李立宏教授对病例做出了精彩点评,欢迎阅读。
【颅脑创伤-神经重症病例周刊】往期回顾
病人信息:王XX,女,52岁,住院号102XXX
病情摘要:患者因“头部跌伤伴意识障碍5+小时”入院
病史:患者于2016.12.19,16点左右,下楼梯时踩滑从高约1m处摔倒在地,枕部着地,随后出呼之不应,不伴恶心呕吐、无肢体抽搐,被家属送至当地医院行头颅CT示:左额颞叶脑挫裂伤,具体治疗不详,患者未见明显好转,为求进一步治疗急诊入我院,行头颅CT示:左额颞顶部急性硬膜下血肿,小脑血肿,以“硬膜下血肿”伤后5+小时收入我科,患者自发病以来意识呈浅昏迷,大小便未见异常。
查体:患者体温36.9℃,脉搏67次/分,血压105/70mmHg,神志呈浅昏迷,互换无反应,GCS评分6分,左颞部头皮肿胀,双瞳不等大,左瞳形圆直径约3.5mm,光反射消失,右瞳3.0mm,光反射迟钝,呼吸运动正常,双肺呼吸音清,心率齐,未闻及杂音,腹部平坦,腹壁无压痛、反跳痛,四肢未见明显肿胀及畸形,肌张力不高,四肢刺痛可见回缩,病理征(-)。
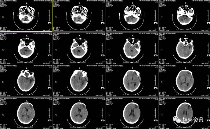
辅助检查:入院头颅CT示:①左侧额颞顶部硬膜下血肿;右侧枕部硬膜外血肿;左侧额颞叶及右侧小脑半球多发挫裂伤伴血肿形成;蛛网膜下腔积血;大脑镰下疝。②枕骨右侧骨折;蝶窦后壁骨折,累及枕骨斜坡;蝶窦右侧积液/积血,鞍区少许积气;枕部头皮肿胀。
初步诊断:重型内开放性颅脑损伤:①左额颞及右小脑半球脑挫裂伤伴血肿,②左额颞顶枕部急性硬膜下血肿,③左额部硬膜外血肿,④颅底骨折,⑤右枕骨骨折,⑥左颞部头皮血肿

空心箭头:小脑血肿,约2cm*2cm*2cm;实心箭头:左额叶脑挫裂伤伴硬膜外血肿
手术指征:患者意识浅昏迷,双瞳不等大,头颅CT示:多发脑挫裂伤、急性硬膜下/外血肿,环池不清。
手术方案:标准大骨瓣减压,左侧额颞顶部硬膜下血肿及挫裂伤灶清除
2016.12.19:在急诊全麻下行:开颅探查+左侧额颞顶部硬膜下血肿及挫裂伤灶清除术+去骨瓣减压术,关颅时脑搏动可,皮瓣张力不高,加之经济条件略差,故未安颅内压监护探头。术后患者瞳孔恢复,双瞳等大形圆,直径约3.0mm,光反射迟钝。
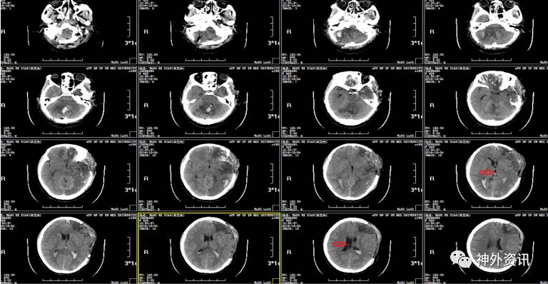
2016.12.20:术后第1天,患者意识仍昏迷,自主呼吸尚可,出现双瞳不等大,左瞳3.0mm,右瞳2.0mm,光反射消失,复查头颅CT发现,原小脑挫裂伤灶出血明显增加,周围水肿明显,环池仍不清。

小脑血肿增加:约4.6cm*5.1cm*2cm
在急诊全麻下经枕后旁正中入路,行:开颅探查+小脑血肿清除术。

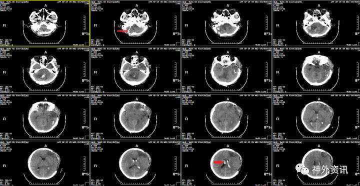
空心箭头:血浆引流管;实心箭头:脑室积血。
2016.12.21:患者生命体征平稳,自主呼吸,意识呈浅昏迷,双瞳不等大,左瞳直径3.0mm,右瞳2.5mm,光反射均迟钝,复查头颅CT示:环池欠清,脑室积血,脑组织稍肿胀,未见明显脑积水,暂不考虑手术,予以止血、脱水、促性、预防感染及癫痫处理,动态头颅CT密切监测患者病情变化。
2016.12.24:患者意识仍昏迷,双瞳等大形圆直径约2.0mm,光反射迟钝,复查头颅CT发现脑室系统积血存在,三脑室及侧脑室明显扩大,考虑脑室积水,在急诊局麻下行:右侧脑室外引流术,考虑患者短时间内不能清醒,予以气管切开处理。

2016.12.25:侧脑室外引流术后第1天复查头颅CT,脑室系统积血明显减少,脑室大小恢复。继续予以脱水、促醒、预防感染等对症支持治疗,血浆引流管爬坡10cm,密切观察患者病情变化。

箭头为脑室引流管
2017.01.03:侧脑室外引流术后第10天,患者意识呈昏睡,生命体征平稳,脑室引流管通畅,引流清亮脑脊液140ml,双瞳等大形圆直径2.5mm,光反射迟钝,予以关闭血浆引流管48h后复查头颅CT。

2016.01.06:复查头颅CT,关闭脑室血浆引流管后无脑积水表现,予以拔除血浆引流管。

患者出院时神志清楚,吐词欠清,双瞳等大形圆,直径约2..5mm,光反射灵敏,气管切口愈合良好,心肺腹(-),四肢肌力5级,肌张力不高,病理征(-),脑膜刺激征(-)。
总结:
入院GCS评分低,脑挫裂伤合并血肿伴脑组织肿胀,环池不清,一期尽早去骨瓣,充分减压。
颅内多发脑挫裂伤,应严密监测患者病情变化,动态头颅CT监测颅内情况,对病情及时预判及处理。
颅脑损伤较重者,应早期予以ICP监测,及时了解患者ICP情况,为后续治疗提供可靠依据。
精彩点评
这是一例较复杂sTBI成功救治的临床案例,有很强的临床指导价值。两次开颅减压,手术指征明确、救治及时,伤者得以转危为安。正如作者所言,此类患者应尽早行ICP监测。尤其是选择脑室内置管,外接压力传感器进行ICP监测,引流监测可同时兼顾。另外,小脑血肿清除同时如果去掉适当的骨瓣行后颅窝减压术,更有利于达到充分减压之目的,或许可以降低该患者继发脑积水出现的概率。该患者伤后若尽早应用止血药,在监测ICP、保证CPP在50-60mmHg水平的情况下,尽可能控制好血压(伤前水平)并合理镇静,也许可以降低DICH发生发展和继发性脑水肿加重的机率,值得我们在临床上共同探讨。
张赛 教授
中国武警脑科医院院长
中国神经创伤专委会主委
中国研究型医院学会神经外科学专委会主委
精彩点评
这是一例临床典型的急性重型内开放性颅脑创伤病例,多部位、多发颅内出血及挫伤是其特征。发病规律符合直接损伤与间接对冲伤、原发与继发性脑损伤、即刻与延迟出血的等一系列典型脑外伤病理生理过程。 早期手术指征把握及后期病情变化的处理均及时得当,对临床具有指导意义。1.一期行单侧开颅探查、血肿清除、去骨瓣减压手术手术指征明确(脑挫裂伤的手术时机存在争议,一般推荐在伤后6-8小时、甚至12小时后,并复查CT后再做更佳,当然脑疝需紧急手术者除外);2.术后第二天及时发现病情变化、第一时间复查CT并再次开颅手术处理及时得当;3.及时根据病情及颅内改变行脑室穿刺外引流,解除梗阻性脑积水,再次缓解病情。通过上述治疗最终取得满意临床效果,为复杂、多发、重型颅脑创伤的救治提供了良好的治疗范本。 需要指出并提醒广大临床医生高度重视的是:1.此类复杂多发重型颅脑创伤病例是颅内压监测的典型适应症,同等情况下优先推荐使用(这个病例因为经济原因未使用可以理解,是中国的现实国情)。如果没有颅内压监测则需严密观察病情并及时复查。2.推荐早期开颅减压手术的同时,一期行脑室穿刺外引流术,可能会对后期颅内压的管理及颅内病情变化时的处理起到积极作用。当然穿刺后引流管是否开放、如何开放与管理则需根据颅内情况酌情使用。
李立宏 教授
唐都医院神经外科重症创伤中心主任
【颅脑创伤-神经重症病例周刊】往期回顾
更多资讯请关注神外资讯微信公众号:neurosurgerynews





