病史简介
患者,男,51岁,主诉“颅内淋巴瘤术后11年余,右手乏力1月余”,我院头颅CT示:左侧顶枕骨术后改变,左侧脑室后角旁占位,伴周围脑实质水肿,考虑肿瘤复发可能(图1)。门诊以“复发性原发性中枢神经系统淋巴瘤”收入院。

图1. CT:左侧脑室后角旁占位,伴周围脑实质水肿,考虑肿瘤复发可能。
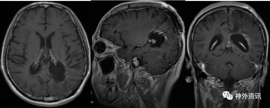
既往史:11年前(2005年)因“头痛1月”,行头颅MRI检查提示左顶枕肿瘤,胶质瘤?(图片未找到)收住我院,完善术前检查后行开颅肿瘤切除术。术后病理提示非霍奇金淋巴瘤,B细胞性,部分细胞核较大,考虑大B细胞型。术后放疗18次(全脑6MV-X线DT3600 Cgy/18F,面积12*16.5cm2);化疗1次(具体方案不详),因患者不耐受化疗而停药。术后多次复查头颅MRI增强,未见肿瘤复发,于2009.4.16最后一次复查头颅MRI增强,未见肿瘤复发(图2)。之后患者未再复查头颅MRI。

图2. 术后4年复查MRI,增强扫描未见肿瘤复发
入院查体:生命体征平稳,神清,精神尚可。右侧同向性偏盲,右上肢肌力V-级,余神经系统检查未见异常。
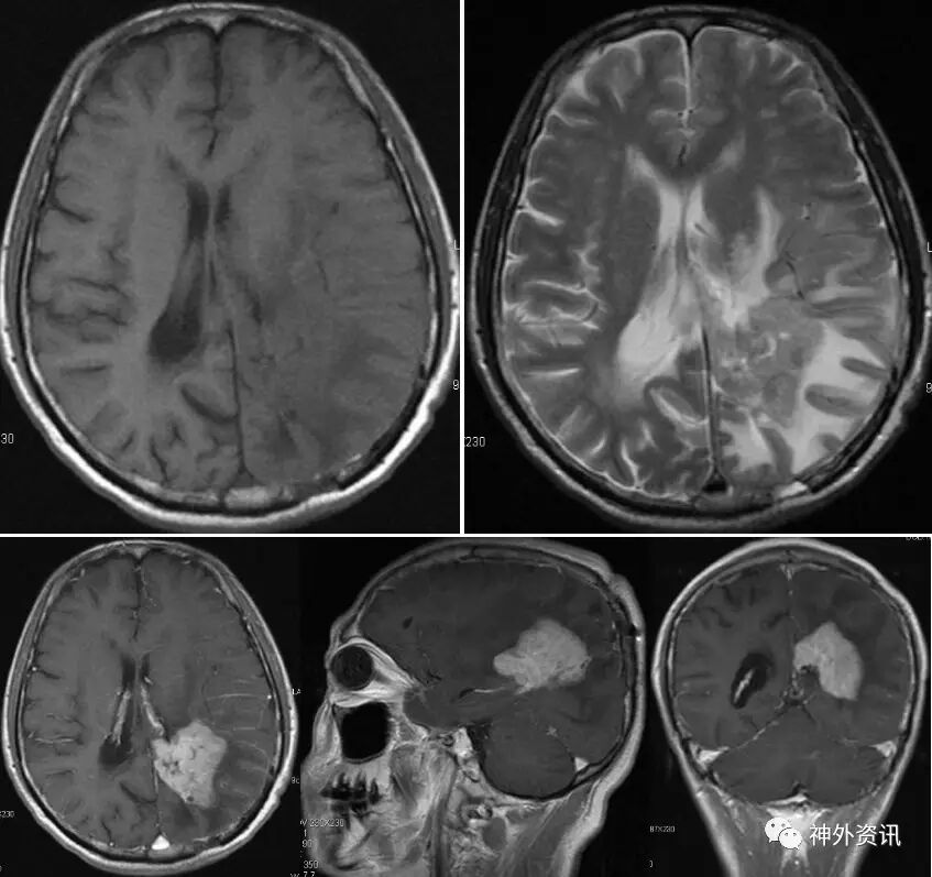
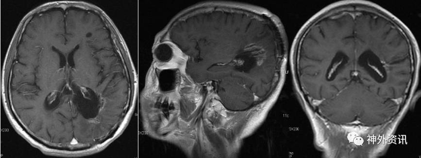
辅助检查:增强MRI示(2016.7.12):左侧顶枕骨术后改变,左侧脑室后角旁不规则形异常信号,大小约37mm*46mm*39mm,呈T1、T2等信号,内见小片T2稍高信号,增强后呈明显强化,强化尚均匀,周边见大片T1低信号、T2高信号水肿区,左侧颞叶及右侧脑室后角旁见小片类似强化信号,左侧侧脑室受压,双侧脑室前后角旁及半卵圆中心、左侧额叶见多发点片状长T2高信号。影像诊断:左侧顶枕骨术后改变,左侧脑室后角旁旁、左侧颞叶、右侧脑室后角旁淋巴瘤复发。两侧脑室前后角旁及半卵圆中心多发缺血灶。左侧额叶囊性病变(图3)。血化验未见明显异常。浅表淋巴结超声、胸片、心电图等相关检查均未见明显异常。

图3. MRI检查:左侧脑室后角旁不规则形异常信号,大小约37mm*46mm*39mm,呈T1、T2等信号,增强后呈明显强化,强化尚均匀,周边见大片T1低信号、T2高信号水肿区。
诊疗经过
术前讨论:根据病史及影像学检查,诊断考虑复发淋巴瘤可能性大,建议活检明确病理性质。逐于2016.7.21行立体定向活检术,手术顺利,术中冰冻切片结果提示为:恶性肿瘤,倾向淋巴造血系统肿瘤,待常规明确。术后予以脱水、激素(甲强龙40mg Bid)及对症支持治疗,患者病情平稳。
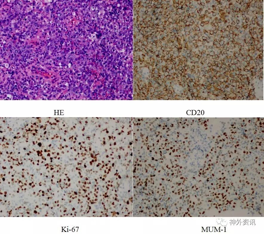
术后常规病理回报:(左侧侧脑室后角旁活检)弥漫性大B细胞淋巴瘤,非生发中心亚型。免疫组化结果:Bcl-2 -,Bcl-6 部分+,CD10 -,CD20 +,MUM-1 +,CD3 散在+,CD43 散在+,CD79a +,Ki-67 80-90%+,c-Myc -(图4)。

图4. 病理HE染色见弥漫片状大的多行性细胞浸润,伴核型不规则,染色质空泡状,核仁单个或少量,胞浆缺乏。背景见小的成熟淋巴细胞。核分裂和凋亡小体易见。B-D:免疫组化CD20、Ki67、MUM-1阳性。
鉴于病理诊断明确,请我院血液内科会诊以进一步治疗。血液内科医生与患者家属沟通,建议行甲氨喋呤(Methetrexate, MTX)为主的化疗,但化疗毒性较大,化疗风险大。且因10余年前患者术后化疗1次,化疗毒性大,不能耐受,患者及家属商量后决定拒绝转血液内科化疗。请我院放疗科会诊,建议行全脑放疗,因10余年前患者术后放疗后副反应也比较大,家属犹豫。与患者及家属沟通后,决定行立体定向125I粒子植入联合替莫唑胺化疗。
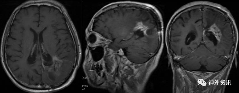
完善术前准备,并经过科室讨论后,于2016.8.16行立体定向125I粒子植入术,术前复查头颅MRI增强,提示激素使用后,肿瘤未见明显缩小。根据放射性粒子植入计划系统(TPS)系统,设计7个穿刺道,共计植入34颗125I粒子(图5)。

图5. MRI检查肿瘤未见明显缩小。TPS系统设计7个穿刺道。
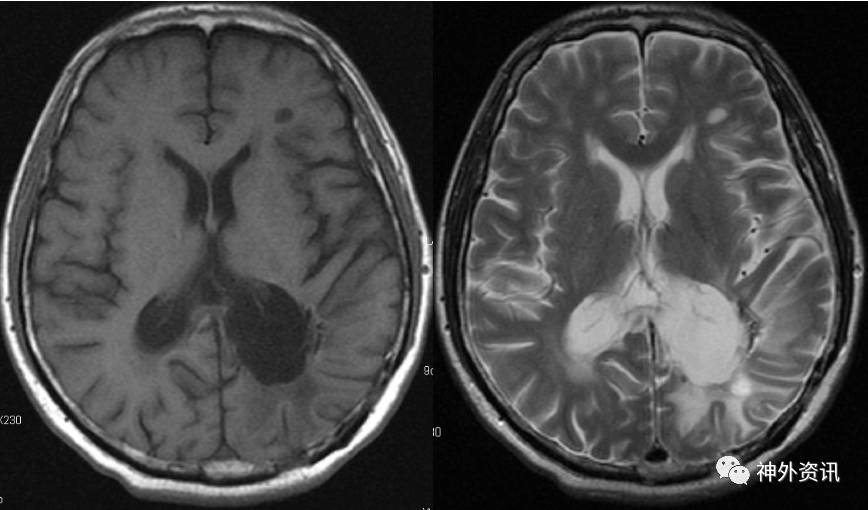
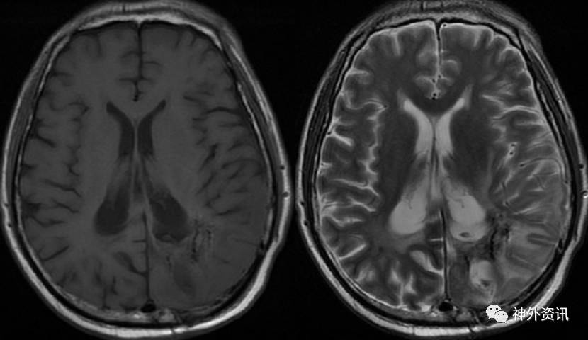
手术顺利,术后予以脱水、激素(甲强龙40mg Qd)及对症支持治疗,患者病情平稳。复查头颅MRI增强(2016.8.22):左侧脑室后角旁不规则形异常信号,呈T1、T2等信号,内见小片T2稍高信号,增强后呈明显强化,强化欠均匀,周边见大片T1低信号、T2高信号水肿区。对比前片(2016-07-12)肿块明显缩小(图6)。


图6. MRI检查:左侧脑室后角旁不规则形异常信号,呈T1、T2等信号,内见小片T2稍高信号,增强后呈明显强化。
征得家属同意后,在常规适当脱水、激素(甲强龙40mg Qd)及对症支持治疗治疗的基础上,于2016.8.23(术后7天),开始替莫唑胺260mg(150mg/m2,服药5天,停药23天)口服化疗,化疗过程顺利,未发生恶心、呕吐及骨髓抑制等副作用,患者病情逐渐好转。2016.8.27化疗结束,患者神清,精神可,顺利出院。
出院后1月复查头颅MRI增强示(2016.9.21):左侧脑室后角旁不规则形异常信号,呈T1、T2等信号,内见小片T2稍高信号,增强后呈部分强化。对比前片(2016-08-22)左侧脑室后角及三角部旁病灶明显缩小(图7)。


图7. MRI检查:左侧脑室后角旁不规则形异常信号,呈T1、T2等信号,内见小片T2稍高信号,增强后呈部分强化。
目前患者病情稳定,已经密切随访半年余,除右侧同向性偏盲外,无其他明显症状和体征,KPS评分90分。复查头颅MRI增强示(2017.02.13):左侧脑室后角旁不规则形异常信号,呈T1、T2等信号,内见条状T2低信号影,增强后呈部分强化,周围脑组织水肿,左侧脑室后角扩张。对比前片(2016-08-22)左侧脑室后角及三角部旁病灶相仿(图8)。


图8. MRI检查::左侧脑室后角旁不规则形异常信号,呈T1、T2等信号,内见条状T2低信号影,增强后呈部分强化
讨论
原发性中枢神经系统淋巴瘤(primary central nervous system lymphoma,PCNSL)是具有高度侵袭性的恶性肿瘤,约占颅内肿瘤的1-2%[1],占非霍奇金淋巴瘤的0.7-0.9%[2]。绝大多数PCNSL为弥漫性大B细胞淋巴瘤。目前,对于新诊断的PCNSL患者的标准治疗方式为大剂量MTX为基础的化疗联合全脑放射治疗[3]。DeAngelis等人[4]的研究显示,大剂量MTX为主的化疗联合全脑放射治疗60岁以下患者的中位生存期为50个月,然而对于60岁以上患者,中位生存期仅为21.8月,老年PCNSL患者预后较差。
复发性 PCNSL患者的预后相当差,最常见为病灶原位复发,也有颅内其他部位复发,甚至脊髓、眼球转移等。复发性PCNSL的病程进展非常迅速,未经治疗的复发性PCNSL的中位生存期仅为约3个月[5],但积极治疗能延长生存,但目前且尚无标准的治疗方案。对于初始大剂量MTX为主的化疗有效的PCNSL,复发后可以继续尝试大剂量MTX为主的化疗[6]。也有单一或联合使用替莫唑胺、利妥昔单抗、阿糖胞苷及异环磷酰胺等化疗药物[7]。全脑放疗对于部分复发PCNSL仍然有效,但全脑放射治疗可导致迟发性神经病变等严重毒副作用,临床表现为痴呆、步态异常和尿失禁,严重影响生活质量。对于初始治疗时进行过全脑放射治疗的PCNSL,复发时更需慎重选择全脑放疗[8]。
立体定向125I放射性粒子植入术是一种近距离放射治疗技术,大量的临床回顾性分析显示,放射性粒子植入术对胶质瘤、转移瘤等具有良好疗效。Laperriere 等于1998年发表了第一个关于立体定向放射性粒子植入治疗恶性胶质瘤的临床随机对照试验[9]。Selker等于2002年发表了第二个放射性粒子植入治疗恶性胶质瘤多中心的临床随机对照试验[10]。然而,这两个大规模的临床随机对照试验均未能证实放射性粒子植入术治疗胶质瘤的有效性,再加上立体定向外放射技术的兴起,此后,放射性粒子植入治疗颅内肿瘤的研究锐减。近年来,新的治疗计划系统、术后质量验证系统、粒子链技术、定位技术、新型核素及其国产化研制成功,使得放射性粒子近距离放射治疗重新引起人们的兴趣。目前常用的同位素为125I。其优势在于其低剂量率、连续照射的特性,可大幅增加肿瘤总照射剂量,提高局部控制率,是肿瘤局部治疗的有效手段,正日益广泛地应用于头颈部、肺、胰腺、前列腺、宫颈部原发性恶性肿瘤及转移瘤的治疗。
立体定向125I粒子近距离放射治疗(stereotactic iodine-125 brachytherapy, 125I-SBT)结合了影像融合、三维计划、立体定向置入、影像导航等多种技术,植入125I粒子后靶区肿瘤可获得较高照射剂量,而肿瘤周围组织受照量陡降,具有较好的适形效果,故在有效治疗肿瘤的同时,可以最大限度地保护正常组织。置入125I粒子一般不受限于肿瘤的大小和位置,如发生于重要脑功能区和特殊、复杂部位的肿瘤。在置入125I粒子的同时可进行组织活检,以明确肿瘤的组织学类型。Kickingereder等[11]回顾分析了1990-2012年的共计201例接受125I-SBT治疗的胶质母细胞瘤病人,平均随访时间为9.8月,无操作相关死亡病例,OS和PFS分别为10.5月和6.2月。本例患者,我们术前经过科室讨论、医院伦理审批及患者家属的知情同意,首次尝试利用立体定向125I粒子植入治疗复发PCNSL,疗效满意。
替莫唑胺( Temozolomide,TMZ)是一种新型的口服烷化剂类抗肿瘤药,在生理PH条件下可自然水解为[5-(3-甲基三氮烯-1-)咪唑-4-酰胺(MTIC)],通过DNA甲基化发挥细胞毒作用,能够通过血脑屏障,口服生物利用度为98%,口服给药4h后脑脊液的生物利用度为血浆的40%[12]。目前适应症主要为新诊断的多形性胶质母细胞瘤及复发的间变性星形细胞瘤。烷化剂类抗肿瘤药物对于非霍奇金淋巴瘤有较好的疗效,TMZ作为一种新型的口服烷化剂类抗肿瘤药,具有血脑屏障通透性高及毒性反应小的特点,理论上对于PCNSL有一定的疗效。目前,TMZ在PCNSL的治疗领域中,主要作为二线化疗药物治疗复发PCNSL或者常规治疗无效的PCNSL。Reni[13]应用TMZ 单药治疗36例复发性PCNSL,结果发现完全缓解(CR)9 例,部分缓解(PR)2 例,中位CR时间为7月(CR时间:1-70月)。先前的周刊中,我们也报道了一例单用TMZ治疗新诊断的PCNSL,化疗后达到完全缓解。本患者进行了一个周期的的替莫唑胺化疗,复查头颅MRI提示肿瘤明显缩小,因经济问题,患者未进行更多周期的化疗。
我们应用立体定向125I粒子植入联合替莫唑胺治疗了1例复发性原发性中枢神经系统淋巴瘤患者,经过半年的随访,未见明显肿瘤复发,疗效满意。对于复发性原发性中枢神经系统淋巴瘤患者,立体定向125I粒子植入联合替莫唑胺治疗或许是一种比较有效的治疗方式。有待于积累更多的病例。
参考文献
1.Jaiswal AK, Mahapatra AK, Sharma MC. Primary central nervous lymphoma presenting as bilateral cerebellopontine angle lesions: a rare case report. J Clin Neurosci. 2004 Apr;11(3):328-31.
2.Wen CY, Huang PH, Chang CJ, Hsieh CT. Primary cerebellopontine angle lymphoma. Kaohsiung J Med Sci. 2015 Jan;31(1):55-6.
3.Gaviani P, Simonetti G, Innocenti A, Lamperti E, Botturi A, Silvani A. Safety and efficacy of primary central nervous system lymphoma treatment in elderly population. Neurol Sci. 2016 Jan;37(1):131-3.
4.DeAngelis LM, Seiferheld W, Schold SC, Fisher B, Schultz CJ. Combination Chemotherapy and Radiotherapy for Primary Central Nervous System Lymphoma: Radiation Therapy Oncology Group Study 93-10. J Clin Oncol. 2002; 20(24):4643-4648.
5.Reni M, Ferreri AJ, Villa E. Second-line treatment for primary central nervous system lymphoma. Br J Cancer 1999;79:530–534.
6.Plotkin SR, Betensky RA, Hochberg FH, Grossman SA, Lesser GJ, Nabors LB, Chon B, Batchelor TT. Treatment of relapsed central nervous system lymphoma with high-dose ethotrexate. Clin Cancer Res Off J Am Assoc Cancer Res 2004; 10:5643–5646.
7.Enting RH, Demopoulos A, DeAngelis LM, Abrey LE. Salvage therapy for primary CNS lymphoma with a combination of rituximab and temozolomide. Neurology 2004; 63:901–903.
8.Guha-Thakurta N, Damek D, Pollack C, Hochberg FH. Intravenous methotrexate as initial treatment for primary central nervous system lymphoma: response to therapy and quality of life of patients. J Neurooncol 1999;43:259–268.
9.Laperriere NJ, Leung PM, McKenzie S, Milosevic M, Wong S, Glen J, Pintilie M, Bernstein M. Randomized study of brachytherapy in the initial management of patients with malignant astrocytoma. Int J Radiat Oncol Biol Phys. 1998 Jul 15;41(5):1005-11.
10.Selker RG, Shapiro WR, Burger P, Blackwood MS, Arena VC, Gilder JC, Malkin MG, Mealey JJ Jr, Neal JH, Olson J, Robertson JT, Barnett GH, Bloomfield S, Albright R, Hochberg FH, Hiesiger E, Green S; Brain Tumor Cooperative Group. The Brain Tumor Cooperative Group NIH Trial 87-01: a randomized comparison of surgery, external radiotherapy, and carmustine versus surgery, interstitial radiotherapy boost, external radiation therapy, and carmustine. Neurosurgery. 2002 Aug;51(2):343-55; discussion 355-7.
11.Kickingereder P, Hamisch C, Suchorska B, Galldiks N, Visser-Vandewalle V, Goldbrunner R, Kocher M, Treuer H, Voges J, Ruge MI. Low-dose rate stereotactic iodine-125 brachytherapy for the treatment of inoperable primary and recurrent glioblastoma: single-center experience with 201 cases. J Neurooncol. 2014 Dec;120(3):615-23.
12.Makino K, Nakamura H, Kudo M, Takeshima H, Kuratsu J. Complete response to temozolomide treatment in an elderly patient with recurrent primary central nervous system lymphoma--case report. Neurol Med Chir (Tokyo). 2007 May;47(5):229-32.
13.Reni M, Zaja F, Mason W. Temozolomide as salvage treatment in primary brain lymphomas. British Journal of Cancer, 2007, 96 (6) : 864-7.
(本文由浙二神外周刊原创,浙江大学医学院附属第二医院神经外科郑建主治医师整理,病理科许晶虹主任提供病理图片,刘凤强主任医师审校,张建民主任终审。)
往期回顾
浙二神外周刊(三十七)--垂体瘤伴发鞍结...
浙二神外周刊(三十六)--脑膜血管瘤病...
更多资讯请关注神外资讯微信公众号:neurosurgerynews




