【Ref: Wang H, et al. Sci Rep. 2017 Jan 16;7:40595. doi: 10.1038/srep40595.】
肥胖是危害人们健康的主要因素。肥胖人群与正常体质指数人群的大脑皮质(BM)结构是否存在区别、脑解剖结构的改变与冲动型人格特征之间的关系如何,是目前尚未明确的问题。吉林大学白求恩第一医院神经外科的Haifeng Wang等应用基于立体像素的形态测量学方法,比较两组人群的大脑灰质体积与冲动型人格特征的相关性,结果发表在2017年1月的《Sci Rep》在线。
研究共纳入80例患者,采用UPPS-P冲动行为量表评分评估冲动型人格特征状况。通过神经影像学测量全脑的灰质体积变化,再测定大脑特定区域灰质体积变化;进一步分析灰质体积与UPPS-P冲动行为评分的关系。
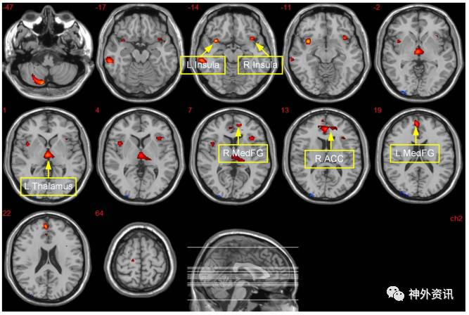
结果显示,与正常体质指数人群组相比,肥胖组患者在额区与边缘区的灰质体积均减少(图1)。正常组中发现,前扣带回皮质体积与缺乏毅力和恒心呈负相关(R=−0.372,p=0.009),岛叶的灰质体积与缺乏紧迫感呈负相关(R=−0.364,p=0.010)。肥胖组中,左侧杏仁核与右侧苍白球的灰质体积与寻求感觉呈负相关(前者R=−0.414,p=0.010;后者R=−0.448,p=0.010)。
最后作者指出,该研究结果显示,人们体重的变化与缺乏毅力和恒心、缺乏紧迫感以及寻求感觉的冲动型性格存在一定的关系。

图1. 肥胖组与正常体质指数组患者大脑灰质特定区域体积改变具有统计学意义(p=0.005);红色区域代表肥胖组比正常组灰质体积明显减少的部位,蓝色区域代表肥胖组比正常组灰质体积增加的部位。R. MedFG:右额内侧回;R. ACC:右侧前扣带皮质;L. MedFG:左额内侧回。
(福建医科大学附属第一医院陈小勇编译,《神外资讯》主编、复旦大学附属华山医院陈衔城教授审校)
相关回顾
更多资讯请关注神外资讯微信公众号:neurosurgerynews




