【Ref: Siasios I, et al. J Clin Med Res. 2017 Jan;9(1):74-78. Epub 2016 Nov 24.】
在临床实践中,脑肿瘤及其分级的组织病理学诊断对制定治疗策略非常重要。术前仅依靠一种影像学技术往往不能明确脑肿瘤性质。磁共振波谱分析(MRS)是一种非侵入性影像学检查方法,可检测组织代谢活性,于1990年首次用于临床辨别脑肿瘤,曾认为是一类最有前途的诊断技术。目前,MRS和其他功能MRI技术,如PWI和DWI已经成为术前诊断颅内肿瘤的常规检查。此外,科学家十分推崇MRS在一些病理条件下的诊断价值,如新生儿的缺氧缺血、头部创伤、癫痫、脑白质营养不良和代谢性疾病等。然而,MRS单独或与其他高级MRI技术联合使用,并不能解决所有鉴别诊断的难题。术前需要应用其他的成像模式,对肿瘤进行组织病理学诊断。希腊拉里萨大学医院神经外科的Ioannis Siasios等报道1例术前由MRI、1 H-MRS和SPECT联合诊断为脑膜瘤的病例,经手术标本的组织病理学检测得以证实。文章发表于2017年1月的《J Clin Med Res》杂志。
1例66岁女性患者,以“脑肿瘤”收入院治疗。患者既往有癫痫发作史,曾患与非霍奇金淋巴瘤相关的抗磷脂综合征。头颅MRI显示右额顶叶矢状窦旁增强病灶,伴明显的瘤周脑水肿,考虑为高级别胶质瘤。氢质子磁共振波谱(1H-MRS)检查发现肿瘤中心代谢为:Chol/NAA比值高,怀疑病变为胶质瘤(图1、2)。

图1. a.MRI冠状位;b.MRI矢状位;c.MRI轴位;d.在a、b、c显示的肿瘤区域中选取的体素MRS。

图2. 左(绿色):肿瘤区域MRS,Chol/NAA比值高;右(红色):正常脑组织MRS。
采用高级MRI技术进行常规扫描的同时,对该患者使用锝99m标记的SPECT检查。脑SPECT显示放射性药物均匀吸收,标准化摄取值(SUV)很高,支持脑膜瘤的诊断(图3)。

图3. 脑SPECT(Tc99m标记)轴位图像示:标准化摄取值(SUV)高。
患者接受右额顶叶肿瘤全切除术。手术标本的组织病理学检测提示,I级脑膜瘤(图4、5),证实了SPECT的诊断。术后患者恢复良好,随访期间未发现肿瘤复发。

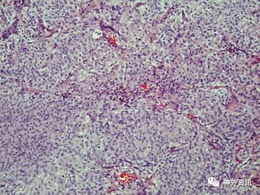
图4. HE染色(× 10)示:肿瘤细胞形成小叶,被菲薄的胶原隔膜分开。

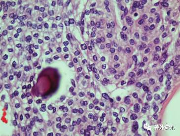
图5. HE染色(×40)示:肿瘤细胞大小均一,核椭圆形,染色质细,偶见中央清除区或核包涵体;有沙粒小体存在。
作者认为,术前运用多种影像学检查方法对脑肿瘤进行评估,有助于对肿瘤作出组织学诊断。无论是对患者还是对制定治疗计划的医师来说,都极有好处。
(郑州大学第一附属医院希文小巫编译,复旦大学附属华山医院陈灵朝博士审校,《神外资讯》主编、复旦大学附属华山医院陈衔城教授终审)
相关回顾
更多资讯请关注神外资讯微信公众号:neurosurgerynews




