非典型垂体腺瘤(atypical pituitary adenoma,aPA)具有侵袭性。2004年WHO对aPA的定义中还包括核分裂能力增强、Ki-67标记指数(LI)>大于3%和具有较强的p53免疫反应性。目前临床上发现,同时具备上述特征的aPA患者极少。近期,韩国天主教大学医学院医院病理科Jee Soon Kim和神经外科Yong Kil Hong 等开展垂体腺瘤的病理学特征与其术后复发的相关性研究,结果发表于2016年10月《J Pathol Transl Med》在线。
研究共纳入从2011年至2013年在韩国首尔圣玛丽医院手术的167例垂体腺瘤患者,其中aPA 1例。28例术后复发,为复发组;139例未复发,为未复发组。回顾性分析两组肿瘤细胞的有丝分裂情况、侵袭性、Ki-67 LI以及p53免疫反应性,研究垂体腺瘤或非典型垂体腺瘤的病理学特征与术后复发的相关性。
结果显示,垂体腺瘤的4项病理学特征性指标中,Ki-67 LI>大于3%与肿瘤术后复发存在显著的相关性(p=0.02)。垂体腺瘤或非典型垂体腺瘤至少1项病理学特征性指标增高,其复发率显著上升(p<0.01)。Ki-67 LI>3%和p53免疫反应性≥20%同时存在的垂体腺瘤或aPA,与复发显著相关(p<0.01)。该研究中的1例非典型垂体腺瘤,同时具备该4项病理学特征指标的改变,与复发密切相关(p=0.03)。该患者在初诊后1年,发现肿瘤转移至大脑和颅骨(图1、2),证实为垂体腺癌。

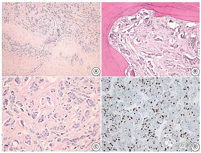
图1. 显微镜下示侵入蝶窦和硬脑膜的aPA病理学表现。A.肿瘤细胞侵入蝶窦;B.肿瘤细胞侵入硬脑膜;C.肿瘤细胞的P53免疫反应性;D.Ki-67 LI约40%。

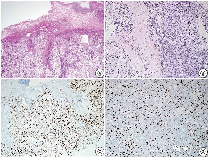
图2. 显微镜下显示垂体腺癌向大脑和颅骨转移。A.肿瘤细胞向大脑转移;B.肿瘤细胞转移至颅骨;C.转移瘤细胞具较强的核分裂能力;D.Ki-67 LI>15%。
最后作者指出,检测垂体腺瘤细胞的有丝分裂情况、侵袭性、Ki-67 LI以及p53免疫反应性等4项病理学特征指标,可以作为垂体腺瘤术后复发的预测因素。
(福建医科大学附属第一医院陈小勇编译,德国科隆大学医学院郑锋博士审校,《神外资讯》主编、复旦大学附属华山医院陈衔城教授终审)
相关回顾
更多资讯请关注神外资讯微信公众号:neurosurgerynews




