2017年03月07日发布 | 1529阅读

采用自体骨瓣进行颅骨修补的效果

孙冬冬

宁夏医科大学总医院

达人收藏
【Ref: Zhang J, et al. J Neurosurg. 2017 Feb 10:1-8. doi: 10.3171/2016.8.JNS16204. [Epub ahead of print]】


中国山东省临沂人民医院神经外科的Jian Zhang等撰文报告采用保存在聚维酮碘的冷冻自体骨瓣进行颅骨修补术的长期疗效和危险因素,文章发表在2017年2月《J Neurosurg》在线。

 

自2001年1月至2012年12月该医院为188例患者采用211块保存在聚维酮碘的冷冻自体骨瓣进行颅骨修补术。自体骨瓣取自开颅手术,用生理盐水洗净后置于无菌手套中,浸泡在0.5%的聚维酮碘溶液。经过一系列处理,注明患者姓名、性别、年龄、住院号和手术日期等,保存在-20°C的冰箱内备用。188例患者术后有8例骨瓣感染,2例在两年随访期间死亡,故将该10例剔除。其余178例患者使用201块自体骨瓣,被纳入研究。178例患者使用的201块自体骨瓣根据CT扫描显示骨瓣骨质吸收状况分成3种类型,骨瓣变薄的I型、骨瓣骨密度降低的II型和骨瓣溶解的III型(图1、2、3)。


图1. 骨瓣变薄的I型:特点是骨瓣变薄和骨间隙增宽。骨瓣吸收程度分为轻度(A)、中度(B)或重度(C和D)。D组骨瓣显示严重的骨间隙增宽,但只有轻微的骨瓣变薄。


图2. 骨瓣骨密度降低的II型:其主要特征是密度均匀下降。A和B为骨密度轻度吸收,C为骨密度中度吸收。


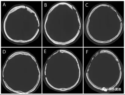
图3. 骨瓣溶解的III型:其特点是有限的或广泛的骨质溶解,表现为虫蛀状。A和B为骨密度轻度吸收,C为骨密度中度吸收,E和F为骨密度重度吸收。


201块骨瓣中,108块(53.7%)无骨质吸收,66块(32.8%)轻度吸收,15块(7.5%)中度吸收,12块(6%)重度吸收。术后短期内有19例(9%)骨瓣修补处的皮下或硬膜出血,16例(7.6%)硬膜外血肿(7.6%),8例(3.8%)骨瓣感染。术后随访24-122个月,平均63.1个月。201块骨瓣中,93块(46.3%)经CT扫描显示骨质吸收;其中I型55块(59.1%),II型11块(11.8%),III型27块(29%)。III型的中度或重度骨质吸收发生率高于I型(P=0.0008)。骨瓣吸收分级与骨瓣的位置(P=0.0210)和碎片数(2或3片)相关(P=0.0009)(表1)。此外,脑室腹腔引流术可以导致修补的自体碎片骨瓣塌陷(p=0.0091)。


表1. 178例患者的201块自体骨瓣在修补术后随访至少24个月,以确定影响骨质吸收的因素。 


最后,作者认为采用浸泡在聚维酮碘溶液中冷冻的自体骨瓣作颅骨修补术是安全有效的。行颅骨修补术2月后在CT上可见骨瓣骨质的吸收状况,18个月后趋于稳定。


(宁夏医科大学总医院孙冬冬编译,《神外资讯》主编、复旦大学附属华山医院陈衔城教授审校)


相关回顾


更多资讯请关注神外资讯微信公众号:neurosurgerynews

最新评论
发表你的评论
发表你的评论
来自于专栏
相关临床评分小工具
关键词搜索