今天为大家分享的是《正海-妙术视界》第三十八期,由首都医科大学附属天坛医院脑血管病中心三病区主任张东教授及莫大鹏主任共同带来的:颈动脉闭塞复合手术开通二例手术视频,由戴科芳主治医师整理,欢迎观看、阅读。
病例一
病例二

张东,医学博士,主任医师、教授、博士生导师,现任北京天坛医院脑血管病中心三病区主任。曾在比利时自由大学Erasme医院访问。2001年入选“北京市科技新星计划”,并被评为2001年(第四批)“北京市优秀青年知识分子”;2003年获得霍英东基金会青年教师基金项目。临床工作主要从事神经外科疾病尤其是脑血管疾病和老年脑肿瘤的外科治疗,专长颅内外血管搭桥手术治疗烟雾病和动脉粥样硬化等缺血性脑血管病。

戴科芳,医学博士在读,主治医师,硕士毕业于天津医科大学,毕业后于邢台市第三医院从事神经外科工作,主要从事脑血管疾病的开颅手术及介入治疗。目前就读于首都医科大学附属北京天坛医院。
第一例
患者:女性,66岁,主因发作性右眼黑曚约2年入院。
患者于2年前无明显诱因出现右眼黑曚,间断发作,持续约数秒钟可自行好转。未治疗。5个月前患者右眼黑曚加重,就诊于眼科医院,行CTA示:右侧颈内动脉C1段重度狭窄,3个月前行行脑血管造影示:右侧颈内动脉起始段近全闭塞。近1个月患者右眼曚再次加重。
查体:神清、语利,精神可,双眼视力、视野粗测未见明显异常,各方向眼动充分,双瞳等大正圆,D=3mm,光反应(++),面纹称,伸舌居中,听力粗测正常,颈软,四肢肌力V级,肌张力未见明显异常,感觉检查未见明显异常,生理反射存在,病理反射未引出。
术前三个月造影:右侧颈内动脉几乎不显影。


术前CTP示:右侧大脑半球灌注较差。


术前诊断:①颈内动脉闭塞(右侧C1段);②短暂性脑缺血发作
治疗计划:全麻后造影,进一步评估颈部血管。然后尽量长的切除闭塞颈内动脉内膜,为血管内治疗,打开通道,接着介入下植入支架。
手术过程:全麻后造影示颈内动脉闭塞,经眼动脉从颅外代偿,经前交通动脉自左侧代偿。


然后行右侧颈内动脉内膜切除术,并植入动脉鞘,手术视频如下:
血管内治疗过程:
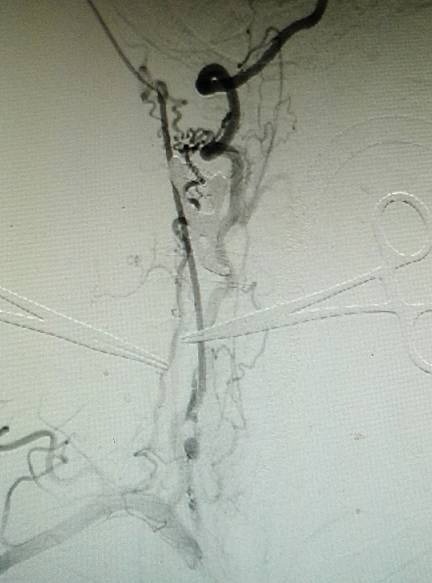
经动脉鞘造影,可见远端颈内动脉淡淡显影。

然后球囊扩张,植入支架。植入支架后造影示右侧颈内动脉开通。

术后7天复查CTA右侧颈内动脉通畅,管径较术后增粗。

术后2个月患者未再诉右眼黑曚。复查CTP示:颅内灌注明显改善。


第二例
患者:男,53岁,主因“间断左侧肢体无力1年”以“颈动脉闭塞”入院。
查体:神清语利,生命体征平稳,双侧瞳孔等大等圆,对光反射存在。四肢肌力肌张力正常,四肢感觉正常,双侧巴氏征阴性,双膝反射正常。
影像资料:
术前CTA,右侧颈总动脉近端开始闭塞,至颈内动脉颈段。

术前灌注成像,右侧大脑半球灌注较差。


术前造影:右侧颈总动脉起始部显影,其余部位闭塞。颈外动脉向颈内动脉代偿供血。


术前诊断:①右侧颈总动脉闭塞;② 短暂性脑缺血发作。
手术过程:手术先切除颈总动脉动脉远端斑块,自远端颈内动脉处缝合至颈总动脉远端,夹闭颈总动脉远端,开放颈内动脉及颈外动脉,便于颈外动脉经颈内动脉向颅内代偿供血。再切除颈总动脉近端斑块,缝合后植入动脉鞘。视频如下。
剥下的斑块:

经动脉鞘造影,可见颈总动脉通畅,但管腔狭窄,不规则。

然后球囊扩张,植入颈总动脉支架,造影示,右侧颈总动脉显影好。

术后七天CTA示:颈总动脉及颈内动脉较术后增粗。

此次分享两例颈动脉闭塞复合手术开通病例。第一例为颈内动脉长段闭塞,从颈内动脉起始段开始闭塞。患者术前存在眼动脉缺血事件及右侧半球灌注不足。颈内动脉剥脱后,颈内动脉可淡淡显影,为微导管通过创造条件。微导管通过后,顺利完成球囊扩张及支架植入,完全开通右侧颈内动脉。第二例为右侧颈总动脉闭塞患者,虽有颈外动脉代偿,但仍存在TIA及右侧大脑半球灌注不足。经颈动脉内膜剥脱后,造影可见颈总动脉显影,但管腔严重不规则,经球囊扩张及支架植入后,颈总动脉显影好。两例患者术后7天复查颈动脉CTA,均显示颈内动脉起始处较术后造影增粗。
【正海-妙术视界】往期回顾





