
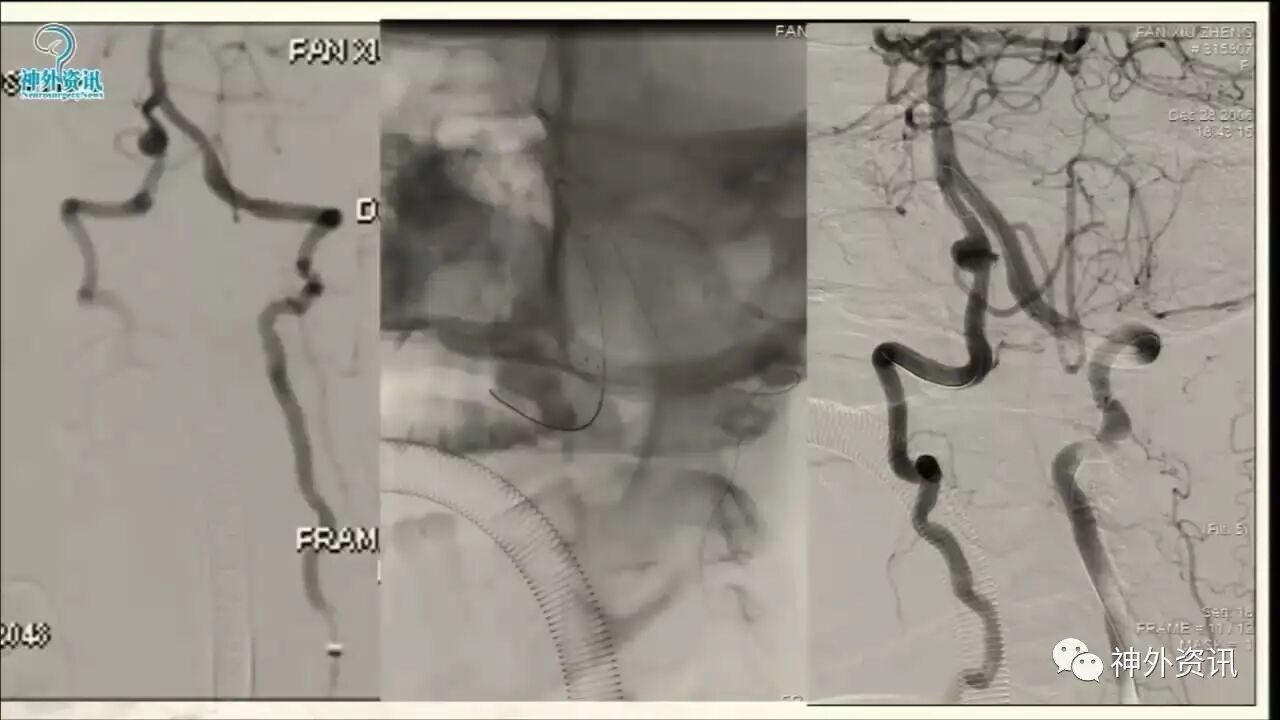
今天“神经介入专栏”为大家分享由上海交通大学医学院附属仁济医院神经外科副主任万杰清教授带来的“颅内小动脉瘤的介入治疗--GALAXY微弹簧圈是一种不错的选择”精彩讲课视频及PPT,欢迎观看、阅读。文章仅代表作者个人观点,如有不同见解,欢迎同道斧正!

万杰清,博士,主任医师,硕士生导师。上海交通大学医学院附属仁济医院神经外科副主任,脑血管组组长。卫生部脑卒中筛查与防治工程全国中青年专家委员会全国委员;中华医学会神经外科分会脑血管介入治疗组专家委员;上海医学会脑卒中分会委员兼秘书,脑卒中预防组副组长;上海市医学会神经外科分会脑血管病介入学组副组长。已发表论文30余篇(SCI收录7篇)。擅长脑血管病的外科治疗,尤其对颅内外血管狭窄、复杂动脉瘤及血管畸形的治疗具有一定的造诣。



























































