今天为大家分享的是《正海-妙术视界》第三十七期,由Aaron Cohen教授带来的手术视频:内镜下质地韧、富血供巨大垂体瘤的分期手术——困难肿瘤的解决办法(Hypervascular and Fibrous Pituitary Adenoma - Solutions to a Difficult Tumor)。视频由苏州市立医院罗成听译,内嵌中英文字幕,欢迎观看、阅读。
Hypervascular and Fibrous Pituitary Adenoma
Solutions to a Difficult Tumor

图1. 患者男性,53岁,视觉障碍。MR提示巨大垂体腺瘤,肿瘤质地相对不均,可能侵犯床突和斜坡区域。

图2. 内镜下经鼻蝶入路手术:术中见肿瘤富血供,出血汹涌(箭头)。

图3. 肿瘤“多肉”,质地韧,环形刮匙不易刮出。

图4. 左图:用液体明胶、明胶海绵、脑棉等填塞压迫术腔止血;右图:只要一移除压迫物并进行刮瘤操作,出血再现。

图5. 仍然积极地试图切除肿瘤,但是瘤内小血管又出血了(箭头)。

图6. 如此情形下,术者认为继续手术是不明智的,所以填塞压迫止血可靠后结束手术。

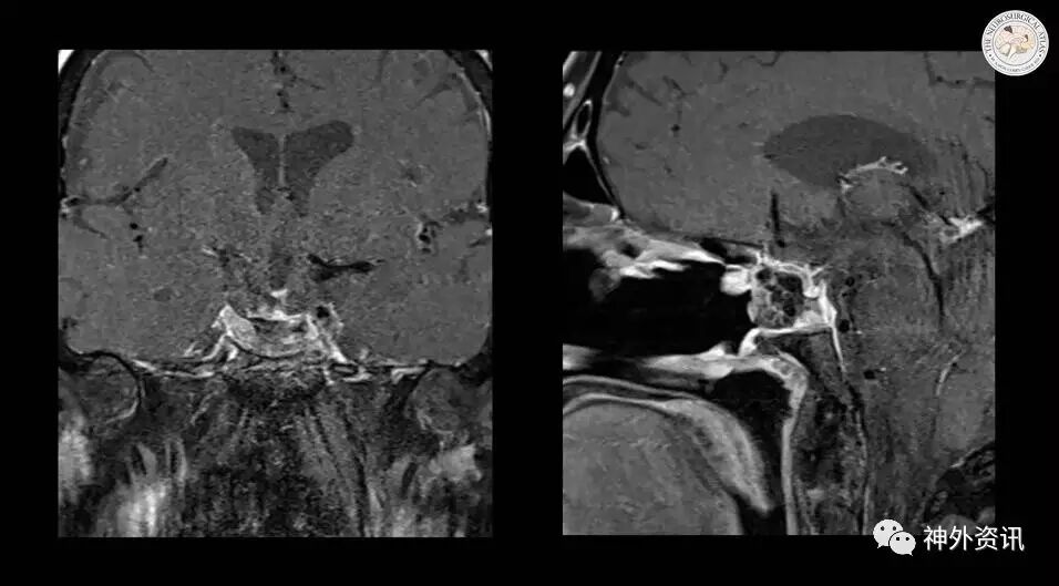
图7. 术后即刻MR。左图:可见肿瘤减压的范围(箭头),大部分肿瘤残留;右图:可见视交叉没有得到减压(箭头)。

图8. 四天后,二期手术。切除更多的骨质暴露双侧海绵窦,并切除部分鞍结节骨质。

图9. 此时肿瘤质地变软,易于吸出(箭头)。

图10. 切除边缘处的瘤囊(箭头),以便其“娩出”。

图11. 用耳鼻喉科的“Debreeder”(箭头)切除容易看到的质韧瘤囊。

图12. 交替使用环形刮匙和吸引器牵拉、抵开鞍膈(箭头),在角度镜下观察视野盲区,清除残余肿瘤。

图13. 肿瘤清除毕,扩张的鞍膈(箭头)完全塌陷,充满整个蝶鞍。

图14. 大片脂肪支撑下陷的鞍膈。

图15. 人工硬膜重建鞍底。

图16. 鼻中隔粘膜瓣重建鞍底以减少术后脑脊液漏的风险(下箭头);速即纱支撑鼻中隔瓣以防移位(斜箭头)。

图17. 胶水进一步固定整个重建物。

图18. 术后MR提示病灶全切,视路减压充分。患者术后视力明显改善。
0' - 1':Very rarely I running to large giant and very hypervascular fibrous pituitary adenomas. That present daunting challenges in their resection since they often bleed profusely. And they are so fibrous, they can not be easily removed, via the very narrow internasal corridor.
我偶尔会遇到巨大的,富血供,且质地硬韧的垂体腺瘤。切除这些肿瘤时出血很多,所以极具挑战。而且这些肿瘤质地很韧,不易通过狭窄的鼻内(手术)通道来切除。
53 year-old male with visual dysfunction
男性,53岁,视觉障碍
Let’s go ahead and discuss the case of such a patient. A 53 year-old male with visual dysfunction, who harbored this giant pituitary adenoma relatively heterogeneous and potentially eroding through the clinoid and the area of clivus.I use a standard thranssphenoidal approach.
让我们开始讨论这个病例。病人男性,53岁,视觉障碍;患有巨型垂体腺瘤,肿瘤质地相对不均,可能侵犯床突和斜坡区域。我使用标准的经蝶入路。
A part of tuberculum was removed,the dura was opened in a curve shaped fashion. U can see the tumor is very bloody,very hypervascular. And it’s not really responding to the ring curettes in terms of delivering itself. It’s very fleshy.
切除部分鞍结节,硬膜弧形打开。可以看到肿瘤“血色”很好,富血供;同时肿瘤“多肉”,用环形刮匙很难刮出。
1' - 2':The bleeding is quite profuse, we had to use floseal to get some hemostasis with packing. Whatever every time, I removed the packing and attempted resection using various ring curettes, I faced torrential bleeding with really no obvious success to deliver the firbrous tumor.
出血相当多,我们不得不使用液体明教并压迫止血。无论何时,(只要)我停止压迫并试图使用各种环形刮匙,出血就会汹涌而来,让我几乎没法切除质韧的肿瘤。
Here u can see the tumor in this area. Actively attempting to remove this tumor and instead, I got some bleeding from the small vessels within the tumor. In this case, I aborted the procedure. I thought further continuation would be not wise. Packing was performed,hemostasis was obtained as much as possible.
此处可见肿瘤。虽然我积极的试图切除肿瘤,但是瘤内小血管(还在)出血。因此,我中止了操作。我认为,继续手术是不明智的。(我)用填塞(物压迫)尽可能的获得确切止血。
2' - 3':And the closure was completed. Here is the extent of hemostasis. Immediately postoperatively, u can see the extent of my decompression. However, most of the tumor remains,and there is really no evidence of chiasmal decompression.
这是关闭(术腔)和止血的情况。术后即刻(MR)可见(肿瘤)减压的程度,但大部分肿瘤残留,视角叉没有得到减压。
I returned for the second stage of the operation about 4 days later. I thought that the timing between the two operations would allow the tumor to devascularized itself. And some of the tumor capsule will undergo necrosis and, lead to soft tumor, that can be easily deliverable.
4天后,再行二期手术。我认为两次手术间的(缓冲)时间会让肿瘤自行去血供,部分瘤囊会坏死,因此肿瘤质地会变软而易于“娩出”。
Second Stage, 4 days later Let’s go ahead and review the second stage of this operation. More bony removal was deemed necessary.
让我们来回顾二期手术的过程。似乎有必要切除更多的骨质。
3' - 4':I unroofed the dura over the cavernous sinuses bilaterally. More of the bone over the tuberculum was also removed. This time the tumor appeared much softer. As u can see, although not very soft, it’s definitively much softer than the tumor I encountered during the initial operation.
我暴露了双侧海绵窦的硬膜,也切除了更多的鞍结节骨质。正如你所见,此时肿瘤虽然不是非常软,但是肯定比第一次手术要软多了。
Once the lateral portions of the capsule were delivered, U can see the more anterior part of the capsule also descended into the resection cavity. So the steps involved first, lateral removal of the capsule, the tumor, then posterior removal of the capsule and then, removal of the capsule more anteriorly. The order of these steps prevents early descending of the diaphragm sellar. Therefore the diaphragm was not interfere with removal of the tumor along the lateral aspects of the resection cavity.
在外侧瘤囊切除后,可见更多前方的瘤囊陷入术腔。因此步骤如下,首先切除外侧肿瘤、瘤囊,然后是后方,最后是前方。按照顺序切除可以防止鞍膈过早塌陷,以免影响外侧方肿瘤的切除。
4' - 5':U can see the capsule is somewhat firbrous. It required pituitary rongeurs for its removal. The capsule had to be cut at septem points to alow its delivery. Therefore this is not really usual, (that) pituitary adenoma resection required additional more aggressive techniques and, the endoscope allowed more expanded visualization of the operative space. So that these risky maneuvers can be performed relatively safely.
可见瘤囊很韧,需要垂体咬骨钳来切除。边界点处的瘤囊需要切除以便其“娩出”。需要使用更激进方法切除的垂体瘤并不常见,因为内镜观察的术野更广,所以这些有风险的方法才能相对安全的施行。
Here is the diaphragm that is been detected and is descending into our resection cavity. Irrigation is done so that, the surrounding structures are more clearly identified.
此处是对鞍膈进行探查,并可见其陷入术腔。冲洗以便更清晰的确认周围(解剖)结构。
5' - 6':More of the tumor along the lateral sellar is been delivered into our resection cavity. Again the tumor is somewhat hypervascular, but this time, is much more manageable. We can use the ENT debreeder to remove the very firbrous portion of the capsule, that is easily visualizable. Obviously blind use of any sharp technique is avoided. Here is the debreeder or the ultrasonic aspirator that can be use to remove the very firbrous portion of the capsule. So that the diaphragm can descend further.
更多蝶鞍外侧方的肿瘤被“娩入”术腔,肿瘤血供仍有点丰富,但是此时已经好处理多了。我们用耳鼻喉科的“Debreeder”切除容易看到的质韧的瘤囊。显而易见的是,任何盲视下的锐性技术都应该被避免。此处是用“Debreeder”或超声吸引器(CUSA)切除瘤囊的质韧部分,以便鞍膈进一步塌陷。
6' - 7':Irrigation is completed to further clear the operative field. U can see the diaphragm is only partially descended. So this means that there is some residual tumor more superiorly and posteriorly. I continued to use the bimanual dissection technique to deliver the firbrous portion of the tumor that is keeping the diaphragm still elevated.
冲洗以进一步清洁术野。如你所见,鞍膈只是部分塌陷,这意味着上方和后方仍有肿瘤残留。我继续使用双手分离技术,“娩出”顶着鞍膈的肿瘤质韧部分。
Here is additional part of the soft tumor that is evident. Patience is quite important. Valsalva maneuvers may be use to further force the diaphragm inferiorly, leading to the delivery of the tumor into the resection cavity. Lumbar drain injection of air is another alternative method for making the diapharam descend automately.
此处是一部分明显质软的肿瘤。耐心很重要。摒气动作也许可以让鞍膈进一步下移,从而让肿瘤娩入术腔。也可以用腰大池引流管注气的方法使鞍膈自行下陷。
7' - 8':Patient maneuvers, careful inspection of the folds (?) of the diaphragm sellar are both important techniques for removal of those portions of the tumors that are not easily visualizable.
耐心操作,仔细检查鞍膈褶皱是切除肿瘤不易看见部分的两个重要技巧。
Using angled endoscopes, I’m able to again dissect around the folds of the diapharagm sellar. Carefully removing the tumor without tearing the diaphragm. Here is a small part of tumor that is very adherent to the diaphragm. Again, as the diaphragm descending into the sellar, it can be quite difficult to work around it. I use the suction to hold the diaphragm up and work through the girders assuring myself that gross total resection of the mass is achieved.
我使用角度镜,以便在鞍膈褶皱周围剥离。小心切除肿瘤并且不撕破鞍膈。此处是一部分与鞍膈粘连紧密的肿瘤。随着鞍膈塌陷入鞍内,鞍膈周围的操作可能会很困难。我用吸引器顶住鞍膈并在其周围操作,确认病灶完全切除。
8' - 9':See the diaphragm is quite patulous, this is expected in the very large tumor. I assure myself that there is no portion of the tumor that’s left behind laterally within the blind spots, and including anteriorly just underneath the tuberculum.
鞍膈扩张明显,这在很大的肿瘤中可以预见。我确认处于视野盲区的外侧方以及鞍结节下方的前方没有肿瘤残留。
Here is the dynamic retraction of the diaphragm and inspection via the angled endoscopes around the blind operative spots that can be quite challenging to visualize under normal circumstances.
此处是在角度镜下动态牵拉鞍膈并检查通常很难看清的术野盲区。
No obvious tumor is evident. I’m satisfied with the extent of resection in this case. I assure myself that there is no tumor especially more posteriorly. The diaphragm is essentially filling the entire sellar.
肿瘤无明显残留。我对该病例的切除程度感到满意,确认更后方也没有残留。鞍膈基本充满了整个蝶鞍。
9' - 10' 28'':Providing additional confirmation that the tumor is completely removed, I use the large piece of fat to buttress the herniating diaphragm. Again occult csf leaks are possible in this case.And these occult leaks can only show themselves postoperatively.
在进一步确认肿瘤完全切除后,我用大片脂肪支撑下陷的鞍膈。该例中可能会出现隐性脑脊液漏,而且这些隐性漏可能只有在术后才会出现。
A piece of allograft dura was also removed to reconstruct the floor in this case. And due to the use of the expanded transsphenoid technique, we use a nasal septum flap to reconstruct the floor of the sellar and minimize any risk of postoperative csf leakage. Here is use of surgicel to further buttress in keep the nasal septum flap in place.
此例中还用人工硬膜重建鞍底。因为是经蝶扩大入路,我们使用鼻中隔瓣重建鞍底以减少术后脑脊液漏的风险。此处是用速即纱进一步支撑鼻中隔瓣以防移位。
Using some glue to further buttress the whole construct.And the postoperative MRI in this case demonstrated the desirable result and gross total removal of the mass with adequate decompression of the optic apparatus. This patient’s vision improved significantly postoperatively. Thank U.
使用胶水进一步支撑整个重建物。术后MR提示结果理想,病灶全切,视路减压充分。患者术后视力明显改善。谢谢。
(译者:因专业和翻译水平所限,难免有错误之处,欢迎大家批评指正!)
【正海-妙术视界】往期回顾



