今天为大家分享的是由九江市第一人民医院神经外科胡炜主任医师翻译的:前交通动脉瘤手术要点(Anterior Communicating Artery Aneurysm),欢迎观看、阅读。
Microsurgical Clip Ligation of Anterior Communicating Artery
相关回顾
前交通动脉瘤是并发自发性蛛网膜下腔出血动脉瘤中最常见的,占所有破裂动脉瘤的30%。出血除了进入纵裂,形成蛛网膜下腔出血,还可能进入脑内形成额叶底面的血肿,或者通过终板进入第三脑室。
孤立的额叶自发血肿,即使没有典型剧烈头痛病史,仍然需要血管的检查排除血管病变。
检查时无意中被忽视的“血管造影阴性”SAH 患者的最常见动脉瘤类型是ACoA动脉瘤。发生这种现象的原因是前交通动脉瘤的双侧A1血流灌注势均力敌,这导致非常罕见的情况,即造影剂不能充填此型的小ACoA动脉瘤。
非常小的ACoA动脉瘤可表现为“水泡”样假动脉瘤。夹闭这样的动脉瘤是危险的,因为他们没有真正的动脉瘤颈。使的外科医生随后连带部分载瘤血管管壁一同夹闭,导致载体血管某种程度的狭窄。这样的病例进行介入血管造影三维图像重建进行充分的术前计划是必要的。
怀疑是水泡样动脉瘤时,或CTA不能清楚显示动脉瘤形态时,这样的检查尤为必要。水泡样假性动脉瘤治疗后动脉瘤的复发几率高,随后的影像学检查随访是十分必要的。
传统上,ACoA动脉瘤的分类是基于他们的瘤顶相对于ACoA的方向:向下、向前、向上、向后。
手术适应症
目前,血管内治疗和显微外科治疗两者均可用于治疗ACoA动脉瘤。根据动脉瘤形态和指向,通常需要切除小部分直回,并且认真地处理隔区、下丘脑和前穿质等局部的中央穿支血管。因此,显微神经外科治疗有造成认知功能下降的风险,特别是对于高级别的病人。这种风险对于向上方和后方指向的动脉瘤发生率较高。由于这个原因,笔者倾向于选择血管内治疗优于显微外科治疗。显微外科合理的适应症包括年轻患者(< 50岁)、宽瘤颈或血栓性动脉瘤。偶尔,大型血栓型ACoA动脉瘤由于占位效应也可能对视交叉产生压迫。在这种情况下,显微手术能通过夹闭、结扎有效减轻占位效应,可以去除囊内血凝块,解决动脉瘤体内血液的搏动性传导。
最近应用的球囊及支架辅助栓塞技术进一步拓展了针对此类复杂动脉瘤亚型的血管内治疗范围。弹簧圈栓塞后瘤颈小部分残留的动脉瘤自然发展史目前不清楚,但SAH的风险相对降低。
动脉粥样硬化动脉瘤的夹闭可能对大脑前动脉A2段入口处的血流造成影响。血管外的检查不能检测出任何明显的管腔内狭窄和流入、流出血管内血流的受阻。这样的矛盾可能导致术后A2分支远端区域的缺血,尽管术后血管造影缺乏任何明显的夹闭后血管狭窄表现。
目前,还没有可靠、实用的方法来量化评估夹闭后载瘤和分支动脉内的血流情况。术中荧光造影可以对血流进行定性评估。因此,笔者认为高度动脉粥样硬化或钙化的动脉瘤通过血管内治疗更安全。
术前注意事项
计算机断层扫描血管造影(CTA)已成为研究大多数脑动脉瘤的首选。颅底骨质的凹凸不平会降低CTA的分辨率,影响ACoA动脉瘤细节形态的显示。因此,如果CTA不能够为这个区域复杂的血管提供充分的信息,笔者多数情况下会进行DSA检查,特别是类似水泡样动脉瘤的小型ACoA动脉瘤。
术前应该研究的解剖因素包括:动脉瘤的大小和指向;A1优势侧;ACoA复合体距离颅底的高度以及ACoA复合体在矢状面和冠状面的指向。钙化和动脉粥样硬化的存在影响动脉瘤的治疗方式。由于这一区域手术解剖的复杂性,仔细研究术前影像可以将术中意外的风险最小化。



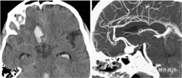
图1:ACoA动脉瘤导致频繁的纵裂及直回出血(左上图CT所示),CTA在动脉瘤诊断上起重要作用 (右上图)。一个典型的向前指向的ACoA动脉瘤(中图)。此动脉瘤及其相关血管表现出解剖结构的变异(下图)。
手术解剖
ACoA的起始部是大脑前动脉(ACA)A1段向A2段过渡的部位。ACoA动脉瘤通常与A1的解剖学管径不对称相关。动脉瘤瘤顶的方向指向优势侧A1的血流冲击方向,所以A1段右侧优势侧通常会导致动脉瘤顶指向左侧。这是制定手术计划的重要信息,因为动脉瘤顶的方向指导手术入路。为了可靠的控制近端血管,开颅应该在动脉瘤顶指向的对侧。
然而,血管造影总是显示非优势侧A1发育不全,手术探查会发现一个细小但是具有功能的A1或是存在解剖残留而不是A1的缺如。笔者在外科手术时会先找到两侧A1段(尽管一个看似没有A1段动脉),以确保处理动脉瘤之前充分的近端控制。
缺乏两侧A1分支的近端控制,当术中动脉瘤过早破裂时可能导致迅猛的出血、慌乱的决策过程和不良的后果。
在显露ACoA复合体的过程中,可能需要明确14个动脉。其中10个是成对动脉:双侧的A1/A2、Huebner回返动脉、眶额动脉、额极动脉。对侧的Huebner回返动脉、眶额动脉、额极动脉通常并不需要解剖时显露。剩下的四个动脉,其中两个分别是ACoA本身和其下丘脑中央穿支。最后两个可能存在解剖变异,应该牢记,否则他们会被忽视并造成损伤:第三支A2段、变异的扣带回早期分支,此分支可能来源于A2、或者眶额及额极动脉。
同侧Heubner回返动脉是一个在解剖分离过程中可以早期识别的小动脉。它代表A1发出的内侧丘纹动脉的最后分支,有时还从ACoA远端、A2起始端的侧方横向发出。走行在前穿质下方、平行且位于A1上方,向上发出中央穿支供应尾状核头、壳核、苍白球外侧、内囊前肢的血供。这一重要动脉的闭塞导致卒中,发生经典的三主症:对侧面部、上肢的力弱和失语 (如果优势半球卒中)。
在大多数患者,回返动脉的起源位于距ACoA 复合体4毫米范围内。这种解剖关系起到一种可靠的引导作用,一个可以通过回返动脉追溯并定位发现ACoA的方法,尤其是当A1段弓形急剧向上位于术者视野之外。
虽然在手术解剖过程中往往是精心保护Heubner回返动脉,仍有少数不幸的患者术后会发生其支配区域的梗死。这种并发症最可能与动脉痉挛、瞬间血流动力变化和解剖动脉等潜在因素相关。极少的侧支循环导致这一区域不能耐受低灌注。
虽然理论上讲ACoA在两ACA之间连接,于冠状位上看应该是较平整的走向,而在实践中,优势侧A1造成的解剖不平衡导致ACoA复合体在冠状、矢状面的旋转。形成ACoA通常走行在一个倾斜面上的事实。这种解剖变异通常使外科医生迷失方向并影响解剖的策略。
ACoA的旋转显著的影响上述需明确分支的位置。这些外科解剖方面的变化造成在这个区域进行的显微解剖技术的复杂性,因此,外科医生必须要十分熟悉动脉可能的病理解剖以便获得最好的手术结果。
术前彻底研究血管造影,对于理解经拟行手术入路中所见血管的三维结构十分必要。应该在夹闭之前仔细地探寻和理解动脉瘤旁的血管树。草率和不完全的放置动脉瘤夹是导致手术效果不佳最常见的原因。
ACoA也有几个重要的中央穿支,向后方及上方走行为下丘脑前部、漏斗、穹窿、胼胝体、透明隔、视交叉供血。这些血管的任何一支损伤均是ACoA动脉瘤手术后认知功能障碍的主要原因。
认真、小心的识别和一丝不苟的解剖(或避开,如果可能的话)的这些精细、脆弱的血管是至关重要的。他们非常脆弱,以至细小的操作也容易形成剥离损伤。他们可能来自A1远端或A2近端。任何中央穿支,无论多细小,都是至关重要的,必须小心保留以便将神经心理和记忆缺失的风险降到最低。
眶额动脉的起源于Huebner回返动脉的远端,从A2段发出,走行垂直于直回和嗅束,延伸到额眶回的皮质。眶额动脉是回返动脉后的第一个分支,为直回、嗅球和嗅束供血。额极动脉是回返动脉后A2的第二个皮层分支,为额极供血,其走行平行于纵裂间的A2。有可能这些分支,特别是眶额动脉,会被误认为是A2,因为他们的走行与颅前窝底相平行。
A2段有许多可能的解剖变异。如果一个A2段供应两个半球,称为ACA共干。如果有两个A2段,但其中一个是主要供血动脉,供应两个半球的血供,这叫做双半球ACA。如果找到三个A2段,第三是被称为副ACA。前交通动脉通常可能有两个或三个 (通常表现为血管丛形态)。应该在解剖时认出这种有孔的ACoA解剖变异。夹闭时应该避免损伤ACoA的功能部分及其中央穿支。最常见的是,动脉瘤位于ACoA的最远端。这些解剖变化可能在术前影像中不可见,尤其是在CTA,因此应该在术中寻找观察。

图2: ACoA动脉瘤手术相关的前循环,右侧额叶下面观。注意Heubner回返动脉向后(白色箭头)平行于A1走行。ACoA被移出纵裂,位于视交叉前方。眶额动脉(蓝色箭头)不应与A2混淆 (图片由AL Rhoton Jr提供)

图3: 图示前交通动脉的下丘脑中央穿支 (左图)。ACoA的内窥镜下面观(右图)(图片由AL Rhoton Jr 提供)
前交通动脉瘤的显微夹闭
请参阅后续章节 经颅入路卷(Cranial Approaches) 了解 扩大翼点入路(extended pterional) 以及 经眶上(锁孔)入路(supraorbital craniotomies) 的细节。在这一节中,因为这些入路适合于显露ACoA动脉瘤,笔者将详细说明它们的细节。
笔者使用扩大翼点以及眶上(锁孔)入路(通过一个眉弓切口)将大多数ACoA动脉瘤夹闭。笔者不认为眶颧入路是常规的、必要的。眶上入路适合于小的颅内动脉瘤。
对于大型或复杂动脉瘤将眼眶后外侧切除可以进一步增加显露范围。这些病变位于前颅窝底部;因此,额骨切开的程度应该其下界紧贴眶顶以便减少额叶牵拉。蝶骨嵴的广泛磨除提供了更灵活的从下到上的工作角度。最小的颞下开颅足够显露。
病人的头部向对侧旋转大约 20度以便进入前颅底间隙进行解剖。开颅骨窗的前内侧延伸到过瞳孔矢状线。
骨内板和眶顶磨平以便为额下显露提供一个良好的视野。

图4: 经翼点入路显露ACoA动脉瘤的路线图。只将大脑侧裂的前部分离开,进入纵裂之前显露A1。ICA分叉部的显露并不是必要的。
ACoA动脉瘤入路的侧别
ACoA动脉瘤手术期间应该从哪一侧进入有一些争论。两个影响选择的主要因素:①动脉瘤顶的指向;②外科医生的左右利手。
一般来说,应接从远离动脉瘤顶的一侧进入,从而提供一个早期近端控制和充分显露动脉瘤颈部的机会。右侧翼点入路在技术上更适合右利手的外科医生。不过,由于很容易在硬膜内进行早期双侧A1的近端控制,笔者的一些同事提倡对所有的ACoA动脉瘤进行右侧入路。
这些规律在特殊的情况下会有例外,例如左侧A1单支供血的巨大动脉瘤(建议经左侧入路);或伴有左侧脑内血肿的(ACoA动脉瘤),为了保留仅剩的健康侧额叶底面(建议经左侧入路)。
另外的同事相信左侧入路在技术上没有太多困难,更愿意从远离动脉瘤顶部的一侧入路以便显露动脉瘤颈部。基于这一理念,术者入路在脑内血肿(血肿与动脉瘤顶部位于同一侧)的对侧,不过当术者分离到动脉瘤的层次时,很容易将血肿清除。
对笔者来说,更倾向于经同侧入路处理伴有脑内血肿的动脉瘤,以避免对唯一完好的直回产生任何损伤。不过,笔者也认为动脉瘤顶的方向是确定最合适入路的最重要因素。
换句话说,ACoA动脉瘤应从动脉瘤顶指向的对侧入路进行显露。重要的是,ACoA动脉瘤几乎总是从A1-ACoA或 A2-ACoA交界处发出,而不是仅从ACoA上发出。因此,充分显露同侧的ACA对于动脉瘤颈的理想显露和夹闭是很重要的。由于A1和A2的内侧壁是术者的盲区,使得外科医生通常低估动脉瘤颈在同侧A2的延伸,造成瘤颈的夹闭不完全,这也是术中动脉瘤过早破裂或瘤颈残留的最常见原因。
硬膜下操作过程
初期的显露
硬脑膜之前打开,如果触诊硬脑膜感觉脑组织张力高,即可在Kocher点穿刺并在侧脑室额角置入导管引流脑脊液(CSF)。这种策略可能对破裂动脉瘤尤其重要,因为此时大脑经常处于肿胀状态,并且脑室内的积血影响基底池和脑室内的脑脊液循环。
一旦打开硬脑膜,术者轻轻提起额叶后部的眶回表面(就在大脑侧裂前方),从侧方经过嗅束,显露视神经。将视神经-颈动脉池的蛛网膜索带锐性分离,吸除CSF以便达到大脑松弛。
然后越过颈内动脉和视神经,向后于侧裂内侧将蛛网膜打开并分离其前方或水平段(蝶骨部分)。尽管经过充分的脑脊液吸除,破裂动脉瘤的脑组织常常仍会张力较高。
过度的牵拉会导致皮质静脉出血并引起进一步的损伤。有关大脑侧裂前部分离的进一步技术细节,请参考后续章节:侧裂分离技术(Techniques of Sylvian Fissure Split)。
术中不需要广泛的侧裂远端分离,因为只需要显露A1。A1和颈内动脉(ICA)交界处可能不需要暴露,因为它通常位于颅内更深部,将其显露可能需要较多的牵拉额叶。术者会沿着视交叉后部来确定A1,以便安全的进行近端控制。

图5:最初的显露需要分离大脑侧裂的前部。将额叶底面从视神经上分离,从而暴露A1段。用蛛网膜刀进行蛛网膜的锐性分离是为了避免损伤支配视神经、视交叉的微血管。动脉瘤复合体一般位于纵裂内,而不是视交叉之上的空间。因此,在视交叉之上进行解剖是安全的,可以快速地进行。不过,一个向下指向的动脉瘤顶部可以与视交叉粘连;永久夹闭之前可能需要对侧A1的近端控制。
显微分离进行安全的近端控制
利用显微器械将连接额叶和视交叉的蛛网膜系带牵开并锐性分离。将分离向中线和外侧延伸以便游离额叶。沿视神经向后方分离,直到显露同侧的A1和回返动脉。然后将远端A1与相粘连的额叶和视交叉分离。注意尽量避免影响回返动脉。
A1的显露保证了早期的近端控制,而不必显露ICA分叉部。偶尔,A1的弓背向上造成它难以显露、识别;回返动脉可以用作ACoA的定位标志。由于内侧豆纹动脉源于A1的上表面,因而向ACoA分离的安全平面位于A1的下表面。
虽然笔者避免过度的牵开,但是其他术者喜欢这样使用。如果是这样,牵开器叶片的端部恰位于直回的外侧缘。此时,要注意回返动脉和A1应该避免脑压板的压迫。
继续下一步之前,对侧A1近端的安全控制是很重要的。使用以下规则容易发现对侧A1:沿同侧视神经探寻至同侧A1向中线转弯进入纵裂处的位置,然后把注意力转向对侧的视神经,循着对侧视神经,在对侧视神经与视交叉交界处的稍外侧,总是会发现对侧的A1。
理解显微手术的解剖
使用手持式吸引装置或者牵拉叶片以动态推移的方式抬起直回,进入纵裂显露同侧A2。纵裂的间隙可以用显微外科的方式进行分离,以免需要进一步的牵拉脑组织。
旋转的ACoA复合体会影响术者对术区的显露。如果同侧A1是优势侧,复合体可能向远离术者的方向旋转,这样使同侧的A1-A2交界处指向前方。这样的结构使得同侧的A2突出于纵裂并指向操作入路方向,使其更容易识别。
相反,如果复合体旋转指向术者,那么同侧A1-A2交界处指向后方,同侧A2也被推移深入纵裂内。复合体也可以旋转指向上或向下。如果同侧A1-A2交界处是斜指向下方,A2仍会位于纵裂外,使其显露更容易。如果同侧A1-A2交界处斜向上方,A2会深入纵裂间隙,A1则在额叶下方呈向上的走行。

图6:轻柔的横向推移额叶,经过嗅束显露直回和由多层增厚的蛛网膜覆盖的纵裂。 注意Heubner回返动脉平行A1,但指向其相反方向,术者应该将其和其所附着的额叶一并推开。对这一重要和脆弱的动脉必须小心的应用轻柔动态推移、双极和吸引器以避免机械或热损伤。
直回切除
简单的抬起直回不足以显露同侧的A2,这并不罕见。此外,破裂动脉瘤顶部可能指向下方并和视交叉粘连,因而需要避免任何对额叶过度的移动。在这种情况下,笔者下一步会切除小部分直回。如果使用牵开器,仅将它放置在嗅束外侧,使直回突出于牵开器叶片的尖端。

图7:通常需要两片牵开器牵开后才能到达覆盖动脉瘤的直回。这些牵开器叶片之间突出的脑组织都需要被切除。直回表面有两层软膜,外侧面对着术者,内侧面对着纵裂。
电凝直回外侧面后锐性打开。眶额动脉可能位于直回中央的钩回中,要注意保护。之后轻柔的软脑膜下吸除此区域小部分脑组织,显露出半透明状覆盖动脉瘤和同侧A2的内侧软脑膜。接下来,需要小心翼翼地电凝、切开内侧软膜并将其翻转,显露近端A2和ACoA复合体。
然后调整牵开器将其前端抬起软膜下切除的术腔内。静脉出血常常干扰直回的软膜下切除,此时应保持耐心避免过度的电凝。用小块浸过凝血酶的明胶海绵轻轻压迫常可以止住任何的静脉渗血。过度使用双极电凝会对周围的血管造成热损伤。

图8:直回部分软膜下切除可以暴露ACoA复合体、回返动脉和同侧A2。可以从上、下方来显露ACoA复合体(绿色箭头所示)。同侧A1暂时阻断后,可以从复合体上方和后方快速解剖ACoA复合体。
这些看似简单的步骤包括一些细节。首先,在软脑膜切开之前,识别Huebner回返动脉和ACA皮层分支(眶额支和额极支)并将他们推离直回是必须的。直回切除的影响是很小的,但牺牲这些血管(特别是回返动脉)却是灾难性的。
第二,软膜下切除的目的是显露同侧A2近端。A2位于分离平面之后,并向上直到A2近端,因此术者可能会不由自主靠前解剖,使得解剖在动脉瘤顶附近操作。


图9:ACoA复合体需要在其腹侧分离解剖。动脉瘤顶的指向影响解剖的特定步骤。在本示例中,对侧A1已经显露好,在必要的时候可以临时夹闭。下图的术中照片展示了对相关血管的详细检查。
所有ACoA动脉瘤的这些初始步骤是相同的,即从瘤顶指向的对侧入路。以后的步骤根据动脉瘤顶指向的不同而不同。四个可能的动脉瘤指向阻挡对不同动脉的显露,因此每个指向的动脉瘤需要其独特的解剖策略,有其独特的技术难度。
一般情况下,应该首先解剖可见动脉,其次是临时夹闭优势侧A1的近端,然后解剖隐藏的动脉,同时松解动脉瘤体。没有临时夹闭情况下,对动脉瘤体周围中央穿支的过度分离会导致术中破裂。
向前指向动脉瘤的分离和夹闭
向前指向的动脉瘤阻挡对侧A2的起点和动脉瘤远端瘤颈。在如上所述解剖同侧A1、A2后,下一步是对侧A1的识别。因为病人是翼点入路的头位,对侧A1的位置让人迷惑,他不是在对侧视神经上方,而是视交叉的后外侧。
除了上面提到的细微差别,一个可靠定位追踪对侧A1的方法是顺着同侧A1追踪其远端,直到它离开视交叉进入纵裂间隙。在这一部点,解剖应该在视交叉之上进行;你会跨过中线在视交叉外侧相对的位点找到对侧A1。
对侧A1坐落于对侧视神经和视交叉交界处。由于动脉瘤很少指向视交叉本身,因而对向下指向动脉瘤的操作也是安全的,因而在动脉瘤后部有一个安全的锐性分离的平面横过视交叉。

图10:对侧A1位于对侧视神经和视交叉连接处的侧方。
对优势侧A1的临时夹闭应该尽可能远离纵裂,以避免占用最后的手术空间。如果对侧A1是优势侧,笔者会先临时夹闭对侧A1,因为同侧A1的临时夹会阻挡显露对侧A1。
回返动脉不应夹在临时夹内,同样不能压在牵开器叶片之下。笔者避免使用固定牵开器系统,直到应用永久夹之后。把牵开器作为暂时牵开大脑的第三个设备,利用吸引器和动脉瘤夹来移动和调整附近的血管解剖,以确保准确的夹闭。
一旦优势侧A1被临时夹闭,笔者会用吸引器头轻轻地“推动”动脉瘤,确认动脉瘤获得适当的减压。如果这个操作不能获得动脉瘤的松弛,可能是临时夹没有准确地夹闭A1,需要重新放置动脉瘤夹。另外,血管壁内动脉粥样硬化和钙化可能会影响A1的完全夹闭,可能需要另外加用临时夹来夹闭完全。

图11:在手术的任何时间,可能于一侧或两侧A1段应用临时夹闭。笔者更喜欢早期安全控制对侧A1段,如果术中动脉瘤破裂,在对侧A1进行临时夹闭具有技术上的挑战性。将动脉瘤夹弹簧系统放置在远离ACoA复合体手术视野时应该小心操作。通常,可以用稍微弯曲的临时动脉瘤夹。在优势侧的A1应用一个临时动脉瘤夹进行动脉瘤减张已经足够,同时ACA复合体内保持部分血流。
双侧A1 优势的,安全的策略通常是在对侧A1进行临时夹闭,目的是保证同侧A1提供血供。如果发生动脉瘤破裂, 这个策略可以保住一个血管。
下一步是确定对侧A2,对侧A2也是向前指向动脉瘤的手术盲点。在减张的瘤颈、瘤体中部进行解剖,通过纵裂发现远端A2,然后追踪检查动脉瘤颈部。双侧A1的夹闭可能会对这个具有挑战性的步骤起到辅助作用,因为夹闭后可以对动脉瘤颈的远端进行安全的解剖。在张力明显较高时处理动脉瘤会导致动脉瘤的过早破裂。
向前指向的动脉瘤常常包括眶额动脉和额极动脉,这些动脉可以和瘤顶部粘连。虽然有时夹闭动脉瘤也会不解剖这些动脉 (如果有动脉瘤壁脆弱,应该这样处理),但是这些动脉也会影响到永久夹的放置,或他们可能会栓系住瘤顶,导致夹闭时不安全。
这些情况,在高倍显微镜以及临时夹闭的保护下分离动脉瘤体壁邻近的血管。术者同样需要明确动脉瘤后方、同侧A1和A2之间垂直向后的中央穿支。将他们轻轻地从后壁和颈部解剖下来,为动脉瘤夹片在动脉瘤后部夹闭游离出空间。

图12:对于向前指向的动脉瘤,可以用带窗直夹夹闭瘤颈,将同侧A2围在窗内。注意夹闭时避免叶片的尖端夹闭对侧A2分支的起始部,要应该仔细检查以确保对侧A2的开放(上图)。中下图显示了类似的原则,然而,动脉粥样硬化动脉瘤的远端(远离术者)瘤颈用一个带窗夹通过同侧A2偏后的位置进入并夹闭,而近端(靠近术者)瘤颈用一个直夹在同侧A2稍前方的位置进入并夹闭。

图13:插图描绘了不对称颈部的解剖学。大部分向前指向的动脉瘤颈来自优势侧A2和ACoA的内侧壁。一个带窗的动脉瘤夹用于夹闭动脉瘤颈,同侧的A2包围在动脉瘤夹窗内。位于同侧A2的部分瘤颈必须含在动脉瘤夹内,将瘤夹稍微前后位偏斜(轴向)放置。如果动脉瘤夹放置不当,没有完全夹闭A2部分的瘤颈,那么不完整的动脉瘤夹闭会导致持久的动脉瘤内血流灌注。

图14:为了夹闭同侧A2部分的动脉瘤颈,笔者使用一组动脉瘤夹串联放置,确保完整的颈部夹闭。根部的瘤夹旨在夹闭远端瘤颈,而其上叠加的叶片夹闭同侧A2的部分瘤颈。

图15:球状和宽颈的动脉瘤是一种挑战。同侧A2的内侧壁是手术盲区,可能出现夹闭不当或残余动脉瘤填充(左图)。较大或动脉粥样硬化的动脉瘤需要不止一个动脉瘤夹将瘤颈完整夹闭。对侧A2中央穿支可能存在风险(右图)。

图16:图示颈部解剖对称的ACoA动脉瘤。动脉瘤颈部发出一些ACoA的中央穿支。可以使用一个带窗的动脉瘤夹夹闭瘤颈同时保证ACoA的畅通。
永久夹闭可以使用简单或带窗的直夹,同时需要仔细操作避免夹闭中央穿支和对侧A2。当术者闭合远端瘤夹叶片时,要快速查看一下A2的起源和瘤颈远端。尽管只是短暂的查看,却是术者精确调整瘤夹叶片的关键时刻,从而可以尽量避免夹闭A2并创造理想的夹闭后血管构架。
直角动脉瘤夹对于矢状面有旋转的ACoA复合体是非常有用,这样的叶片可以避免夹闭对侧A2(见下面图17)。极少数时候,术者已经通过暂时闭塞技术闭合了动脉瘤顶(动脉瘤缝合术:)这个策略可以有效揭示隐藏的解剖和通过皱缩动脉瘤顶简化夹闭过程。
向下指向的动脉瘤
向下指向的动脉瘤阻挡到对侧A1的视线。此外,动脉瘤顶部与视神经或前颅窝硬膜粘连,使得早期抬起额叶成为危险动作。然而,有利的是对侧A2和离开动脉瘤颈部下丘脑中央穿支的解剖变得简单甚至可以不必进行解剖。
身体的同侧的A1和A2被识别后,解剖操作要通过ACoA的动脉瘤瘤颈去识别对侧A2的起源。同时要识别下丘脑中央穿支且将其避开并保持完好。动脉瘤颈部之下、动脉瘤顶稍后方,解剖开一个操作平面。接下来,用一枚直夹平行ACoA夹闭瘤颈。这些动脉瘤常常不需要进行近端控制就可夹闭。因此,笔者建议通过优势侧A1接近他们。

图17:向下指向的动脉瘤可以使用直夹夹闭。如果有必要,可以在ACoA复合体后方对对侧(A1)近端进行临时夹闭;这种操作可能需要反复路过Heubner回返动脉进行解剖操作,应该避免损伤或者骚扰回返动脉。
一旦放置好永久夹,必须仔细检查对侧A1,以确保它的通畅。某些特定的解剖结构为对侧近端控制提供另一种选择。可以循着对侧A2向近端追查,经过ACoA显露对侧A1。用吸引器头将一块小脑棉轻压在动脉瘤颈部,可以促进远端A2的显露。
夹闭动脉瘤时牵拉力量偶尔会传到动脉瘤顶,将它从额部硬脑膜撕开。瘤夹夹闭之前用显微镊温柔的“挤压”动脉瘤颈可以预示术者此类事件是否可能发生,那么此时应该在临时夹的保护下,将瘤顶仔细的从硬脑膜上分离下来。
如果动脉瘤包埋在视交叉或视神经内,就不要冒丧失视力的风险将其从视神经分离。
瘤顶指向上部的动脉瘤
向上指向的动脉瘤阻挡了对侧A2。当同侧A1和A2被明确后,沿着视交叉在动脉瘤颈部下方进行解剖以识别对侧A1。这类似于前文中叙述的向前指向的动脉瘤的解剖过程。但是,与向前指向的动脉瘤不同的是,向上指向动脉瘤的对侧A2不能简单的通过解剖分离进入纵裂来显露,因为动脉瘤顶就位于纵裂内。
同侧A2后方的解剖层面往往是通往对侧A2最有效的路径。在充分的直回切除后,可以识别同侧A2、眶额动脉、额极动脉并将它们移向前方。因为Huebner动脉和A2之间腋部的操作空间太窄,上面的解剖操作应该在回返动脉的后上方。
应该借助早期的临时夹闭和瘤体减压,仔细解剖ACoA的中央穿支,将他们从动脉瘤体分离出来,而不是对中央穿支的粗暴操作。
一旦确定了对侧的A2,接着向近端分离解剖,确定对侧A2和动脉瘤颈之间的间隙(平面)。这是向上指向动脉瘤最具挑战性的一步操作。好在,通过此区域供血血管的临时阻断以减轻瘤体的张力,可以有助于上述分离过程。
接下来,可以准备进行永久性夹闭了。用带窗直夹并将同侧的A2放在夹窗内是理想的夹闭方式。

图18:大多数向上指向的动脉瘤倾向于用带窗直夹夹闭。然而,也可以通过成角动脉瘤夹以前后方向夹闭动脉瘤。对侧A2被动脉瘤顶掩盖,夹闭后需要周密的检查。瘤夹需要合适的长度(不要太长),以避免将位于ACoA后方的中央穿支损伤。

图19:另一个向上指向动脉瘤的夹闭策略。
向后指向的动脉瘤
向后方指向的动脉瘤阻挡下丘脑中央穿支。尽管所有其他动脉的解剖相对简单,但是对与动脉瘤粘连的纵裂内中央穿支血管的解剖形成严峻的挑战。先解剖同侧的A1和A2,然后到对侧解剖对侧A1和A2。
接下来,同侧A2后部的解剖需要足够的直回切除。临时夹闭双侧A1以便瘤体减张可以促进对中央穿支的仔细解剖。在分离特别困难的情况下,可以在ACoA两侧放两个迷你夹,同时保证ACA远端的灌注。

图20:位于纵裂深部的后方指向动脉瘤可以使用直夹夹闭。将ACoA中央穿支血管从动脉瘤颈部和顶部游离时需要认真仔细。请注意使用双侧A2临时夹闭以有效的减张瘤体。已经应用临时夹闭,它们在外科医生的工作区域之外。
之后,动脉瘤可以刺穿并吸引减压,接着可以向前移动动脉瘤,分离中央穿支并保护。类似于向上指向的动脉瘤操作过程,可能尝试以前后方向夹闭,因为同侧A2位于术者和动脉瘤之间。
不过,笔者更喜欢使用带窗直夹,同侧A2位于窗内,以便将ACoA中央穿支的风险降到最低。由于显微外科真正风险在中央穿支的原因,笔者认真思考过向后指向动脉瘤的血管内治疗。
术后注意事项
ACoA动脉瘤夹闭术后病人的护理与其他动脉瘤患者没有明显的不同。 尽管做到细致的解剖、直回的最小切除、避免固定牵引器,感知迟钝的风险是真实的;并通常在手术后一个月内明显加重。
推荐术后抗痉挛药物应用,并在手术后一周开始逐渐减少。
经验与教训
必须最小限度的使用固定牵开器,避免无意损伤额叶底面以及内侧中央穿支。
全面了解血管解剖及其变异是成功的关键。不良结果的最常见原因是缺乏解决动脉瘤深思熟虑的计划。
针对动脉瘤早期破裂需要耐心。术中出血很少导致不幸的后果,但是外科医生在出血时的反应是结局不同的最重要原因。
让动脉瘤及血管解剖引导您作出正确的决定。不要过于依赖术前不成熟的议程。
参考文献
Batjer HH. Aneurysms of the anterior communicating artery, in Samson DM (ed): Intracranial Aneurysm Surgery: Techniques. Mount Kisco, NY: Future Publishing, 1990.
Lawton MT. Anterior communicating artery aneurysms, in: Seven Aneurysms: Tenets and Techniques for Clipping. New York: Thieme Medical Publishers, 2011.
DOI: https://doi.org/10.18791/nsatlas.v3.ch01.12
(神外资讯编辑、九江市第一人民医院神经外科胡炜主任医师翻译)




