今天为大家分享的是《颅脑创伤病例周刊》第二期,由山东大学齐鲁医院急诊神经外科张泽立副主任医师报道、山东大学齐鲁医院急诊神经外科主任、“神外资讯中国颅脑创伤专家组”委员黄齐兵教授审校的病例:去骨瓣减压+亚低温治疗小儿重型颅脑损伤、硬膜下血肿、脑梗塞一例。文末由中华医学会创伤学分会主任委员、“神外资讯中国颅脑创伤专家组”组长江基尧教授和解放军101医院副院长、“神外资讯中国颅脑创伤专家组”委员王玉海教授分别对病例做出了精彩点评,欢迎阅读。
【颅脑创伤病例周刊】往期回顾
病史简介
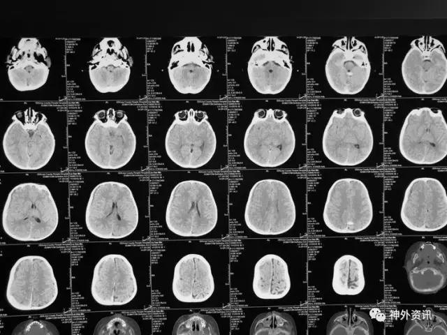
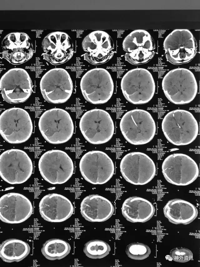
患儿刘**,男,19个月,2017.1.30 2pm不慎摔倒,意识障碍,刺痛不睁眼,不发音,刺痛肢体屈曲,急至当地医院,伤后1小时颅脑CT结果示右额颞顶枕急性硬膜下血肿,中线轻微左移:

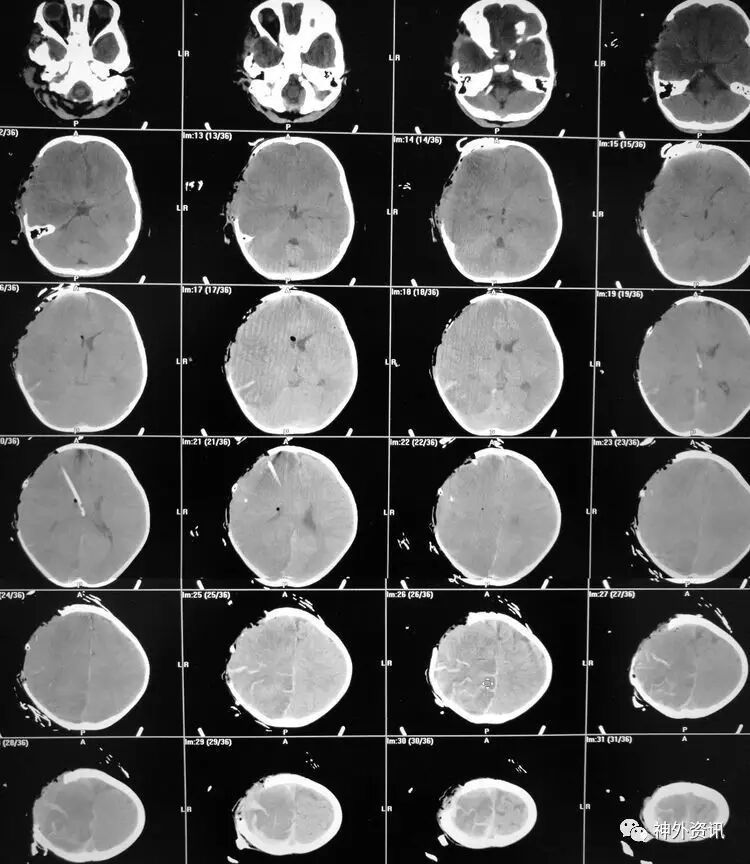
3小时后转至我院急诊科,当时查体:刺痛不睁眼,不发音,刺痛右侧肢体屈曲,右侧瞳孔5mm,对光反应消失,左侧瞳孔0.3cm,对光反应迟钝,立即术前准备并复查CT,结果示右额颞顶枕硬膜下血肿,右侧大脑半球及左侧额叶弥漫性低密度,考虑缺血,中线左移明显,脑沟及环池显示不清:

急诊在全麻下行右额颞顶开颅去骨瓣减压+脑室外引流+ICP探头置入术:

顶部小切口钻孔释放硬膜下血肿初步减压,取下骨瓣后硬膜张力高,其下可见硬膜下血肿:

咬除骨质至颧弓水平,超声引导右侧脑室穿刺引流:


多点切开硬膜释放硬膜下血肿,释放数毫升脑脊液后硬膜张力下降,敞开硬膜,清除硬膜下血肿并放置SOPHYSA单纯ICP探头:

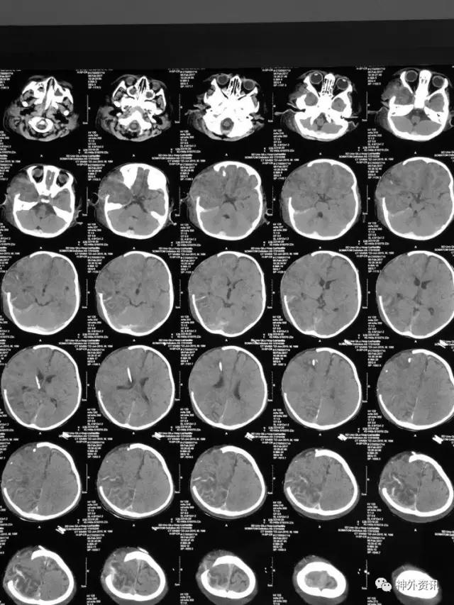
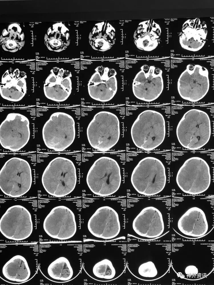
术后移动CT结果示中线移位较术前减轻,顶枕部蛛网膜下腔出血:

术后ICP13mmHg,但体温脑温高:

术后根据隆德概念要求给予严格控制CPP在50-55mmHg,Hb在120g/L,白蛋白10g/d,并应用甘露醇浓盐水渗透治疗。

应用力月西芬太尼、冬眠合剂、冰毯、呼吸机亚低温治疗。


2017.1.31:术后1天,ICP逐渐升高至22mmHg,血压最高110/75mmHg,继续给予充分镇痛镇静,并小剂量应用亚宁定控制CPP在50-55mmHg,甘露醇脱水,血钠维持于145-150mmol/L,缓慢释放脑脊液缓解颅内压力。加用德巴金口服液30mg/Kg*d,分三次胃注。前列地尔2mg iv qd缓解血管痉挛,改善循环。
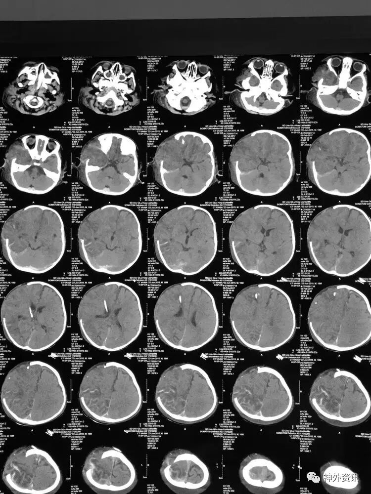
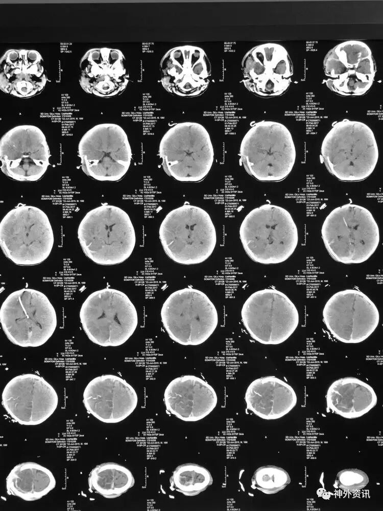
2017.2.1:术后2天复查颅脑CT,结果示中线居中,右侧半球低密度并SAH,左侧半球未见明显异常,左侧脑沟可见显示,双肺少量炎症,不能放松警惕,继续同前治疗。



脑血流良好:

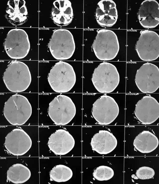
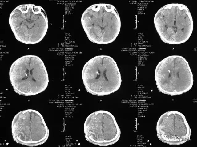
2017.2.4:术后5天复查颅脑CT,结果示中线居中,左侧半球及环池显示清晰,右侧半球脑沟显示欠清晰,脑组织低密度较前有所好转,继续同前治疗。已加用预消化肠内营养液及促进胃肠动力药物。

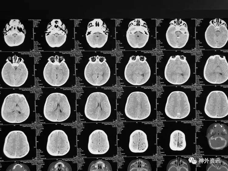
2017.2.6:术后7天,复查颅脑CT示情况较前进一步好转,逐步撤掉冰毯,缓慢自然复温。

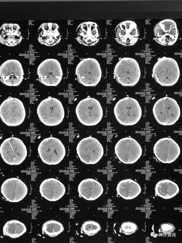
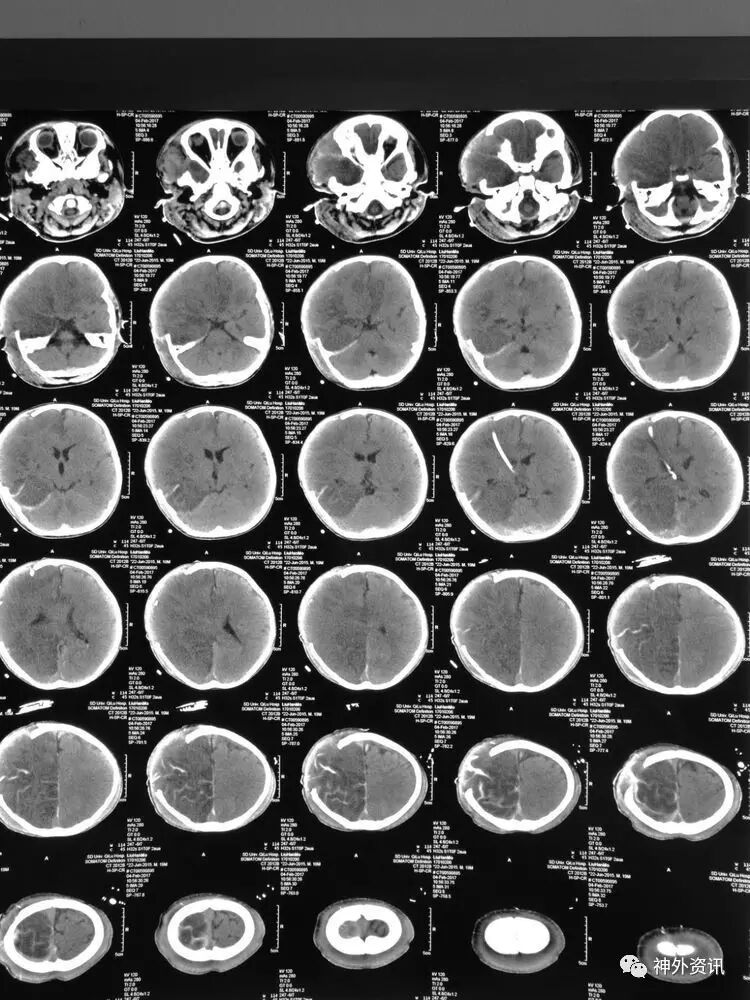
2017.2.8:术后9天,复查颅脑及胸部CT,结果显示双侧脑沟脑回及环池显示清晰。颅压控制,拔除引流管探头,头部敷料稍加压包扎,此时已更替力月西为丙泊酚,停用呼吸机。

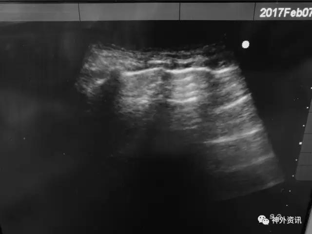
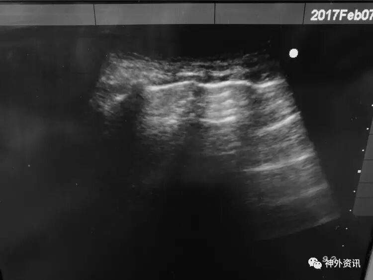
胸部CT及超声显示双肺底存在肺不张:

前胸超声:

肺底超声:

查体: 自动睁眼,刺痛肢体定位,右侧肢体肌力Ⅴ级,左侧肌力Ⅳ级,咳痰有力,给予地塞米松2mg,甲强龙10mg静推,准备好博利康尼,普米克令舒雾化,40分钟后麻醉科在场拔除气管插管。

5分钟后患儿呼吸困难,三凹征明显,无奈再次插管,可见声带水肿,气道损伤出血,其后每日甲强龙40mg静滴,博利康尼普米克令舒,爱全乐等交替雾化。

3天后成功拔除气管插管,病情平稳转康复医院!

术后体温,ICP,脑脊液引流量遂时间变化趋势见下图:

术后随访及总结
2017.2.15 对患儿进行随访:无发热,呼吸等生命体征平稳,自动睁眼,存在双眼球缓慢水平震颤,无遵嘱动作,刺痛肢体定位,右侧肢体肌力Ⅴ级,左侧肌力Ⅳ级。虽然患儿病情已趋于平稳,但脑功能受损明显,期待高压氧等后续治疗可协助其功能康复!
与成人相比,小儿外伤后硬膜下血肿或蛛网膜下腔出血,更容易出现脑血管痉挛和缺血梗塞,病情发展快,积极的去骨瓣减压+亚低温脑保护是唯一的选择,术后隆德概念和降阶梯治疗同样至关重要。主要的手段包括:体位头位,甘露醇浓盐水渗透治疗,镇痛镇静,亚低温治疗,适当的脑脊液外引流,合适脑灌注压的维持,血红蛋白及血清白蛋白的维持,应用抗癫痫药物,改善循环药物,营养支持等。
精彩点评
首先,感谢齐鲁医院黄齐兵教授率领医护团队付出了辛勤劳动,成功挽救了患儿的生命,取得良好的治疗效果。1、对于严重颅内创伤(薄层硬膜下出血、脑肿胀梗死、tSAH)导致脑疝病人采取去大骨瓣减压术指证明确、效果肯定;2、采用安置颅内压压探头、动态观察颅内压变化、提出颅高压阶梯治疗(体位、镇痛镇静、脱水、放CSF、降温)是合理的、有效的;3、术中采用超声技术引导脑室穿刺有助于提高脑室穿刺成功率,值得提倡;4、维持水电解质酸碱平衡、内环境稳定和重要脏器功能是救治成功的基础;5、由于儿童解剖特点、气管拔管指证和时机需要更加谨慎。
我们提倡中国神经外科医师应该在认真学习和参考国内外颅脑创伤《指南》和《专家共识》的基础上,结合每个病人的临床实际情况,动态调整治疗策略和方法,实施最佳个体化精准治疗。
江基尧 教授
上海市颅脑创伤研究所所长
中华医学会创伤学分会主任委员
上海交通大学医学院附属仁济医院首席专家
精彩点评
小儿颅脑损伤的特点是病情变化快,但只要能及时正确诊治其预后远好于成人。该病例在患儿伤后3小时进行了开颅手术,采用了大骨瓣开颅的手术方法,术中运用控制减压技术逐步降低颅内压,术后使用脱水、镇静、长程亚低温等多种综合手段控制颅内压和脑温,使患儿顺利度过围手术关,是一个小儿颅脑损伤救治的成功好病例。
在患儿的救治上尚有以下几点值得商榷:1、术中放置的ICP探头可否用脑室型探头,这可以省去术中另外放置的脑室外引流,同时又可以提高ICP和脑温监测的准确性;2、作者虽采用了控制减压技术(硬膜的网状切开,逐步清除血肿),但ICP探头是清除血肿后放置的,所以,无法对术中ICP降低的速度进行控制,不能做到精准的控制降压;3、术后第五天开始肠内营养和促进肠动力药物治疗是否可以更早些?4、该患儿是否可采用错位还纳颅骨瓣的技术?文献报道错位还纳颅骨瓣可以起到同样减压的效果,同时可以解决小儿去骨瓣带来的诸多并发症。
王玉海 教授
解放军101医院副院长
【颅脑创伤病例周刊】往期回顾
更多资讯请关注神外资讯微信公众号:neurosurgerynews





