Chiari I型畸形是一类常见的颅颈交界畸形,MRI影像学在其临床诊断中起重要作用。实际上,双侧小脑扁桃体并不完全对称,下疝程度在MRI成像的不同切面上测量会导致不同的结果,却往往被忽视。作者通过在MRI成像的不同切面上测量和评估小脑扁桃体不对称状况和下疝程度,为精确地诊断Chiari I型畸形,提供测量方法上的新信息。
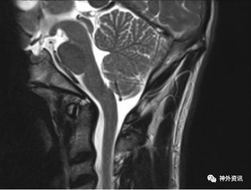
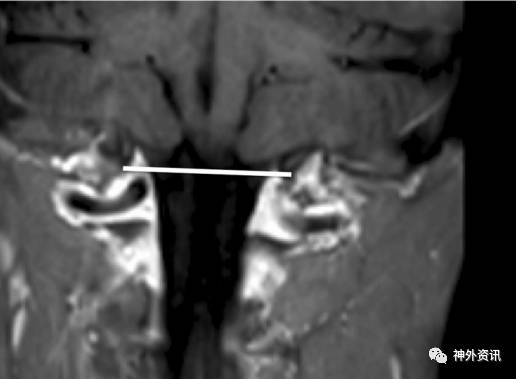
作者回顾性分析50例诊断为Chiari I型畸形的小儿患者,年龄2-21岁,平均9.3岁。在MRI矢状位和冠状位上测量和比较小脑扁桃体下疝情况(图1、2、3、4)。

图1. MRI冠状位图像,水平线画在枕骨大孔的最低点;见小脑扁桃体下疝入枕骨大孔。

图2. MRI冠状位图像,无小脑扁桃体下疝。

图3. MRI矢状位成像,枕骨大孔小脑扁桃体下疝6毫米。

图4. MRI冠状位成像,无小脑扁桃体下疝。
50例患儿中,48例在MRI冠状位发现小脑扁桃体不对称,左侧扁桃体下疝最大值为20.9毫米,右侧扁桃体下疝最大值为17.4毫米。MRI矢状位上,小脑扁桃体下疝范围从5-27.4毫米不等。5例(10%)患儿在MRI冠状位发现双侧小脑扁桃体下疝至枕骨大孔下长度小于3毫米,19例(38%)在冠状位上一侧小脑扁桃体下疝小于3毫米。但在MRI矢状位上扁桃体下移都超过3毫米,而每例患儿在MRI正中矢状位上的小脑扁桃体下疝均大于3毫米。作者依据测量的结果认为,Chiari I型畸形常常是不对称的小脑扁桃体下疝。如果仅在MRI正中矢状位上测量,小脑扁桃体下疝可能会造成误诊。因此,不应采用单一的MRI矢状位成像诊断Chiari I型畸形小脑扁桃体下疝的程度。
(宁夏医科大学总医院孙冬冬编译,复旦大学附属华山医院花玮博士审校,《神外资讯》主编、复旦大学附属华山医院陈衔城教授终审)
相关回顾
更多资讯请关注神外资讯微信公众号:neurosurgerynews




