今天为大家分享的是由神外资讯编辑沈醉翻译的:床突旁动脉瘤(Paraclinoid Aneurysm),欢迎观看、阅读。
1. Small ophthalmic artery aneurysm
2. Proximal ICA aneurysm and Intradural Clinoidectomy
相关回顾
眼动脉动脉瘤起源于颈内动脉(ICA)床突上,更具体的说是ICA床突上的眼段。颈内动脉眼段范围介于硬膜远环和后交通动脉之间。
眼段动脉瘤位于硬脑膜内,包括眼动脉动脉瘤,垂体上动脉瘤及它们少见的变异类型比如该段ICA腹侧面和背侧面的动脉瘤。床突旁动脉瘤的概念并不是特指的,它包括了眼段动脉瘤,颈内动脉海绵窦段或床突段的过渡段或颈内动脉海绵窦段远端动脉瘤。
眼动脉动脉瘤起源于ICA并向上突出到蛛网膜下腔,数量约占所有颅内动脉瘤的不到5%,且常常是双侧(镜像)生长,中年女性好发。
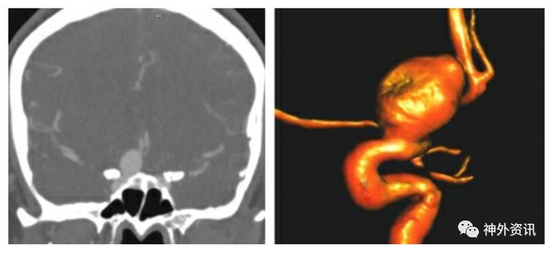
眼动脉动脉瘤发现时常常是未破裂的,并且诊断时就可能非常大。由于这种动脉瘤显微手术夹闭比较困难,完整的影像评估显得尤为必要。另外,由于这种动脉瘤累及了视神经通路,体积巨大并且与前床突关系紧密,因此近端控制载瘤动脉,暴露并夹闭瘤颈格外困难。

图1. 一例已确诊的右侧巨大眼动脉瘤,可见前床突(左)和眼动脉发出处(右)的关系很紧密。
操作指征
眼动脉瘤可能的处理方法包括观察,血管内治疗,显微夹闭以及带或不带搭桥的颈动脉阻断。破裂动脉瘤需要及时治疗,但是小的、无症状的未破裂动脉瘤可以通过一系列的影像学资料随访观察。颅内未破裂动脉瘤国际性研究(ISUIA)发现 < 7mm的前循环动脉瘤破裂几率远远小于1%。在这种情况下,对于中老年患者而言,观察是非常合适的选择。
对于动脉瘤大小接近7mm的年轻患者而言,治疗计划应该根据患者蛛网膜下腔出血史,动脉瘤家族史和患者的意愿而定。对于存在视神经压迫症状以及直径大于7mm且预期寿命较长的患者一般需要进行有效治疗。
这种动脉瘤与前床突和视神经具有密切的关系,它们瘤颈近端可能使得很难安全夹闭整个动脉瘤颈。因此,有些手术医生认为显微手术技术风险较大,而血管内治疗更适合此类动脉瘤。瘤颈小的动脉瘤更适合弹簧圈和支架或球囊辅助栓塞治疗,这些治疗方式明显扩大了血管内治疗的应用范围。而且血流导向装置的应用使得那些以前会考虑显微手术的复杂和巨大动脉瘤可以选择介入治疗。
据文献报道这些动脉瘤介入栓塞治疗后并发症出现率为0-10%。支架辅助栓塞的应用对于视力影响相对较小。动脉瘤完全栓塞的比例与动脉瘤大小和复杂程度相关,复发的风险接近20%。并且大多数患者动脉瘤栓塞后视力是稳定的或改善的。
一般来说,眼动脉瘤显微手术夹闭后并发症出现的概率为5-20%,死亡率5%。虽然并发症风险比大多数介入治疗高,但显微夹闭手术对于那些视神经受压的患者具有明显优势。
相对于栓塞治疗,显微夹闭手术也更加长效,远期复发率通常小于5%。尽管介入治疗更加安全,但是对于那些视神经受压的,年轻的及解剖位置较好的动脉瘤(床突的或颈动脉窝动脉瘤)而已,显微手术是一种选择。
术前评估
眼动脉瘤评估包括CT或DSA。MRA可以用作辅助评估的方式,但不能作为唯一影像检查。确定动脉瘤的位置是否在硬膜内非常重要,因为硬膜外动脉瘤没有蛛网膜下腔出血的风险,很少需要治疗。
CTA对于判断动脉瘤与骨性标记如前床突的关系上非常有帮助。而且它可以有效地评估动脉瘤在硬膜内的程度和是否需要治疗。
骨性成像(CT和CTA)还能评估与前床突融合的内床突显像,它会形成包绕颈内动脉的骨环,使得床突切除变得困难。如果动脉瘤靠近视神经,术前其他诊断性检查应该包括视力视野检测。
虽然颈内动脉眼段的解剖定义是有用的,因为它排除了硬膜外动脉瘤,但很难确定所有动脉瘤的位置是否在硬膜内或硬膜外。因为有达8%的眼动脉可能起源于硬膜外,在此情况下,根据瘤顶的位置不同,眼动脉瘤可以是硬膜外的,过渡段的(跨越远侧硬膜环两侧),或者硬膜内的。视柱是硬膜近环的可靠标志(CTA上颈内动脉海绵窦段的末端)
对于体积大的,钙化的或形态复杂的动脉瘤患者,手术夹闭技术是有挑战性的或几乎不可能的,因此采用带或不带远端搭桥的亨特法结扎近端颈内动脉可能是一种选择。对于这些患者,球囊闭塞试验(BTO)虽然在评估结扎后脑缺血的风险上不能达到100%的准确性,但可以预测手术风险。
要是术前不做BTO,颈内动脉结扎后大约25%的患者会出现脑梗塞。若加做BTO及血流研究,出现脑梗塞的概率将小于10%,新的辅助手段比如低血压测试可以改善预后的同时会增加假阳性结果。因此,如果考虑行颈内动脉结扎术,作者强力推荐高血流量的桡动脉移植搭桥重建大脑中动脉供血区。
近来,血管内血流导向装置已经成为这些体积大而复杂动脉瘤的另一种有效治疗手段。虽然还没有长期的治疗数据,但它的效果在选择病例上已经得到显现。这也使得眼动脉瘤(年轻的或视神经受压的)推荐行显微夹闭的数量明显减少。
手术解剖学
这一区域的手术解剖非常复杂,因此,需要在显微实验室熟练到一定程度才行。

图2. 右侧颈内动脉的侧面观,图中已磨除前床突和海绵窦硬膜层。可见眼动脉位置,通常隐藏在视神经和前床突下方。颈内动脉眼段起始于硬膜远环(上环)终于后交通动脉起始处(图中不可见)(本图右AL Rhoton,Jr提供)
颅内颈内动脉直径约4-6mm,血流速度约300cc/min。有关颈内动脉分类系统的资料可以追踪到17世纪,发展到现在公认的顺行性分类系统。
Van Loveren和他的同事根据周围解剖将颈内动脉依次地分为七段。包括:颈段(C1),岩段(C2),破裂孔段(C3),海绵窦段(C4),床突段(C5),眼段(C6)和交通段(C7)。
虽然C6段解剖跟眼动脉瘤关系最大,但是C4段远端和C5段也非常重要,不仅仅是因为它们附近的骨性解剖,还因为过渡段和海绵窦的动脉瘤很难确定为硬膜内的动脉瘤。海绵窦段起源于岩舌韧带上缘并延伸至前床突附近的硬膜近环。
颈内动脉海绵窦段的分支包括脑膜垂体干,下外侧干和被囊动脉。颈内动脉床突段短小且没有分支,位于前床突的深部,近侧硬膜环和远侧硬膜环是其分界。颈内动脉眼段起源于硬膜远环并终止于后交通动脉发起处。它有两个分支,即眼动脉和垂体上动脉,而且垂体上动脉可以是一组小的穿支动脉组成而不是单根血管。

图3. A图为颈内动脉床突旁解剖结构,可见前床突与颈内动脉和视神经的相对关系;图中视神经管顶部硬膜和前床突已经磨除;(B)图为镰状韧带沿着蝶骨小翼前根的后缘在视神经上部向内移行转为覆盖蝶骨平台的硬膜;(C)图为移开视神经和视交叉显露出垂体柄,眼动脉和垂体上动脉;图中前床突已磨除以暴露颈内动脉动眼神经膜,该膜是由床突下缘的硬膜组成,它隔离了床突和动眼神经并向内形成硬膜近环;(D)图为硬膜近环和远环之间的颈内动脉床突段;(E和F)牵拉右侧颈内动脉显露颈内动脉窝;前斜视图下磨除蝶窦顶端显露右侧颈内动脉内侧;(G)图中将绿色金属片放入颈内动脉窝;(H)图中剪开硬膜远环并用白色丝线牵拉硬膜瓣以显露颈内动脉窝;(图片由AL Rhoton,Jr提供)
眼动脉瘤的手术暴露受限于骨和硬膜的解剖。颈内动脉海绵窦段从破裂孔段移行后向前行走,在颈内动脉沟内行走一段距离后走了一个几乎完全相反的路径,开始向上,随后离开海绵窦向后行走,穿过前床突下方进入硬膜内腔。
前床突覆盖了颈内动脉最远侧硬膜外段部分,并且常常覆盖眼动脉瘤底部。
前床突是蝶骨小翼向后内侧的延伸,平均大小为 8 x 4mm。它有一个上内侧根覆盖视神经管并与蝶骨平台相连,还有一个下侧根构成视柱并与鞍结节相接。
前床突的切除需要将它的三个附着点分离。有关它切除的技术要点会在硬膜内和硬膜外前床突切除的章节里呈现。
虽然大多数患者没有与前床突后端相连的骨性结构,但是少数患者后床突与中床突之间会有一个骨桥。中床突是一个骨性凸起,大约1/4患者会有,极少情况下完全包绕颈内动脉;在这种情况下若床突硬膜外骨折会导致颈内动脉严重损伤;术前CTA检查则可以避免这种并发症的发生。
包绕前床突的硬膜也是复杂的。海绵窦硬脑膜有两层,分别为厚的硬膜固有层和薄的硬膜内层。硬膜内层覆盖海绵窦外侧的神经,构成动眼神经鞘,并向前覆盖前床突下表面。硬膜内层同时包绕颈内动脉,形成近环,但这往往是无作用的,因为它并没有附着动脉外膜。
硬膜固有层向床突顶端移行中,结合蝶骨平面硬脑膜和ICA,形成远端硬膜环。远端硬膜环是从前外侧向后内侧方向下倾斜。硬膜远环通常不是完全包绕的,但它却牢固地附着于颈动脉外膜;将硬膜远环与颈内动脉分离是危险的,往往也是不可能的。
虽然远端硬膜环外上部分从床突和海绵窦硬膜处直接延伸到动脉外膜,后内侧硬膜在附着颈内动脉壁前转而向下,形成潜在腔隙即颈内动脉窝。窝的尺寸各不相同,但有解剖研究发现95%标本的颈内动脉窝深度为2.5mm长度1cm。这一硬脑膜窝可以容纳一个瘤颈在硬膜外瘤顶在硬膜内的海绵窦动脉瘤。
床突旁/眼动脉动脉瘤的分类
眼动脉段动脉瘤有许多分类系统,最常用的分为眼动脉,垂体上动脉,床突和海绵窦动脉瘤。Lawton将颈内动脉硬膜内的动脉瘤简单的分为腹侧或背侧两种:
眼动脉动脉瘤:这些动脉瘤通常出现于眼动脉远端并指向上方或上内方,很少会指向侧方。这些动脉瘤会抬高视神经并将视神经卡到镰状韧带上,产生视野缺损(内下象限)。
垂体上动脉动脉瘤(SHAs):这些动脉瘤沿着血流方向突向内下方向至鞍上区。根据垂体上动脉的位置,动脉瘤可以指向上方称为鞍上垂体上动脉,而不是鞍旁垂体上动脉。巨大动脉瘤可以抬高视交叉引起双颞侧偏盲类似于垂体大腺瘤。
变异动脉瘤:没有动脉分支的硬膜内眼段动脉瘤称为背侧或腹侧颈内动脉瘤。背侧变异动脉瘤被认为是由于血流剪应力引起的,血泡状假性动脉瘤常见,其瘤壁非常薄弱。腹侧动脉瘤包括垂体上动脉近端和远端的动脉瘤。颈动脉窝动脉瘤通常指那些突向下方至硬膜远环(颈动脉窝)内下硬膜凹陷的近端腹侧动脉瘤。腹侧颈内动脉瘤通常用以描述垂体上动脉至后交通动脉之间的动脉瘤。
床突段动脉瘤:这种硬膜外动脉瘤变异类型一种是朝向前外侧的,可引起视神经受压及视野缺损,另一种是朝向内侧的,可侵入蝶鞍引起卒中或鼻出血。
眼动脉动脉瘤夹闭
对于床突旁动脉瘤,如果需要近端控制,患者的颈部应无菌消毒准备并标记好切口。小未破裂动脉瘤颈部切开往往是不必要的,但对于破裂或大的动脉瘤需要格外谨慎。
近端的控制可以通过颈内动脉临时阻断或颈外动脉和颈总动脉同时阻断来实现。夹紧颈外动脉和颈总动脉可以避免颈内动脉的损伤危险。尽管颈内动脉近端阻断,要是术中出现动脉破裂的情况时,经过后交通和眼动脉回流的血流也会很危急。
对于几乎所有眼动脉动脉瘤的手术暴露,翼点入路已经足够了;眶入路通常没有明显优势;而通过眉弓的眶上入路对于非复杂型动脉瘤是非常合理的。
对于那些内侧动脉瘤,患者术中的头部位置需要小角度的颈部旋转(15-20度)以便让术者切除床突后在视神经下方看得到动脉瘤。略微减少头部伸直可以减少前床突下视线的陡峭度。
假如壁薄且位置深在的动脉瘤有早期破裂的可能,行硬膜内床突切除是很好的办法。作者倾向于选择硬膜内床突切除治疗破裂动脉瘤,硬膜外入路治疗未破裂动脉瘤。
硬膜内操作
初始暴露和硬膜内床突切除
完全打开颅骨后切开硬脑膜前,先从硬膜外切除蝶骨翼内侧到床突外侧水平。待标准打开硬膜后,分开外侧裂可及颈内动脉,前床突和视神经。
用标准的切口从远端向近端打开蛛网膜层,必要时分离出远端的颈内动脉和后交通动脉以获得远端控制。继续向近端显微分离直到识别颈内动脉的动脉瘤颈。应注意避免侵犯性牵拉额叶,因为动脉瘤有可能附着眶额皮层;操作可能会导致动脉瘤早破。前床突通常会覆盖眼动脉起源处并极有可能覆盖前动脉瘤颈和近端颈内动脉。因此,通过硬膜内磨除前床突可以增加其暴露程度。
远端硬膜环切开
床突磨除后,需继续剥离视神经鞘和远端硬膜环。视神经部分阻挡了大多数眼动脉瘤的起源。为了使外科医生看清相应的颈内动脉段,视神经必须移向内侧,颈内动脉移向外侧。
接着松解视神经,切断镰状韧带后移动视神经。一个好的直角钝头剥离器可以探查韧带下方视神经上方的空间大小,而直角金刚刀可以安全地切开视神经鞘膜,充分松解视神经。
远端硬膜环将颈内动脉系向视柱内侧和视神经鞘膜。钻开视柱可以释放硬膜,形成一个软组织平面,以切断远端硬膜环周围的硬膜。开始在颈内动脉侧方行硬膜切开,接着向上内方朝着视神经和颈内动脉之间的凹陷继续切开。如果剪刀尖端不能沿着颈内动脉内侧部分继续前进,则有可能是视柱没有充分磨开。此时,颈内动脉近端的充分暴露可以安全地评估动脉瘤颈和放置永久性动脉瘤夹。大多数动脉瘤在夹闭之前不需要进一步的分离。
如果有必要,可以通过继续钻骨和远端硬膜环切开来进一步移动颈内动脉。一旦内侧硬膜环松解,则其余环可以从内下方横形切开。
完全环形切开是不可能的也是没必要的。然而,近环形切开可以是垂体上或近端眼动脉动脉瘤暴露的一种重要策略。
动脉瘤分离和夹闭
硬膜外床突磨除之后,小的眼动脉动脉瘤从技术上是很容易夹闭的。然而大的动脉瘤是有技术挑战性的,尤其是那些瘤颈延伸至颈内动脉窝的动脉瘤。
眼动脉是从近端颈部分离的,外科医生必须小心地将颈内动脉向外侧牵拉而不是将视神经牵拉内侧。颈内动脉临时夹闭可以大大有助于软化动脉瘤囊。然而,大多数小的未破裂动脉瘤不需要近端控制即可夹闭。

图4. 硬膜外磨除左侧前床突后,打开镰状韧带并移动颈内动脉,可以充分显露眼动脉起起始位置和小动脉瘤颈。不过,动脉发起处有不少情况会参与动脉瘤颈的构成,因此需要重建手术。

图5. 虽然小的眼动脉瘤可以通过直形或弯形瘤夹夹闭,作者更喜欢使用边角夹来处理各种动脉瘤(不管它们的大小或复杂性,包括部分粥样硬化或血栓性动脉瘤)。边角夹定位刀片平行于载瘤动脉长轴并允许高效的瘤颈夹闭。颈内动脉的垂直夹闭技术可以引起瘤颈的部分封闭,囊内血流动力学紊乱和潜在的术中破裂。

图6. 一旦动脉瘤夹闭,荧光成像确认囊内无血流,瘤顶则可以刺破以保证完全闭塞和视神经减压。荧光造影和微小多普勒超声都可能会产生假阴性结果。
对于突向上方和突向前内侧的眼动脉瘤,夹闭技术是明显不同的。虽然前者相对简单,但是后者是隐藏在视神经下的,往往需要前后双夹闭技术:在颈内动脉周围使用开窗夹夹闭残留部分。
虽然眼动脉动脉瘤往往可以很好轮廓化,但是垂体上动脉突向内侧,离术者较远,而且颈内动脉阻挡了动脉瘤颈。这些动脉瘤通常需要一个直角开窗夹,将颈内动脉置于窗内,将瘤夹片指向硬膜远环。由于垂体上动脉往往比较近端,瘤夹的尖端必须跨过硬膜远环以达到完全夹闭瘤颈。如果硬膜环没有全部打开,动脉瘤夹片将会部分八字分开,瘤囊将继续生长。
放置动脉瘤夹的过程中,若想整个动脉瘤颈都轮廓化往往是不可能的,看到一片瘤夹后继续放置瘤夹,当夹闭后则可以看到另外一片瘤夹。根据解剖不同,有时需要一个或多个短角形或直角形开窗夹。探查的过程中不应该有穿支损伤。
变异动脉瘤通常可以使用类似的技术处理。背侧眼动脉段动脉瘤的夹闭类似于眼动脉动脉瘤,而腹侧动脉瘤的治疗类似于垂体上动脉瘤。
大而复杂的眼动脉动脉瘤
巨大型动脉瘤需要使用完全的血流阻断(动脉瘤孤立术)或抽吸减压技术来进行减压、操作和放置瘤夹,同时防止对视神经不恰当的牵拉作用。其目的不仅仅防止术中动脉瘤的破裂,还可以获得恰当的瘤颈显露和可靠的瘤颈夹闭。
对于大型或巨大型动脉瘤,动脉瘤减压采用逆向抽吸减压技术可以拯救生命。利用这种技术,颈内动脉内球囊膨胀,暂时性夹闭术野中远端颈内动脉。使用颈部球囊导管的逆向抽吸技术可以明显缩小瘤体从而重塑夹闭颈内动脉。

图7. 使用抽吸减压技术夹闭一个大型右侧眼动脉动脉瘤(见下图)。镰状韧带切开后可以看到因动脉瘤的占位效应引起的视神经颜色改变(左上图像,黄色箭头)。抽吸减压技术可以使动脉瘤缩小到需要的程度,因此可以识别瘤颈前部(右上图)和放置永久夹(下图)。
简单的边角夹将使大型或复杂型动脉瘤颈部内侧部分残留。在这种情况下,第一个瘤夹应转至内侧夹闭瘤颈内侧部分,而第二个夹则可以夹紧外侧瘤颈。此外,前后串联夹闭对于那些壁厚的大型动脉瘤非常有效。
部分血栓性动脉瘤伴有瘤颈粥样硬化,会使瘤夹片移到载瘤动脉上。为了避免颈内动脉狭窄或受压,作者会切开瘤囊进行取栓以便永久夹安全放置。可以运用超声吸引器及时清除囊内容物。显然,临时阻断颈内动脉是必要的。
无论微小多普勒超声还是荧光显像都可以快速地评估动脉瘤残留填充情况和动脉硬化。对于简单的动脉瘤,这种成像方式已经足够了。而对于复杂动脉瘤或荧光显像有异常发现,行术中导管造影是明确的。最终的探查应该保证动脉瘤完全闭塞,视神经减压以及没有穿支血管损伤。
其他情况
复杂眼动脉动脉瘤夹闭后出现视力视野损伤的风险并不小。对于那些难以耐受扭转的视神经,瘤夹不应该压迫或使视神经发生旋转。迟发的视力恶化表明需要重新探查,以确保瘤夹没有异位造成压迫。
关颅和术后考虑
关颅和术后情况一般与其它前循环动脉瘤没有差别。如果在磨除前床突时损伤了蝶窦,需要仔细填充以防止发生脑脊液漏。任何小的损伤都可以用小片的颞肌闭塞。
总结
全面熟悉前颅底解剖是安全暴露床突旁血管病变的基石。
对于受损的视神经即使微小的操作都可以导致视力丧失。若想没有新的视力损伤产生,巨大型动脉瘤是令人望而却步的。因此某些病例需强烈考虑使用血流导向支架。
本文贡献者:Chris S. Taylor, MD
(神外资讯编辑沈醉翻译)
更多资讯请关注神外资讯微信公众号:neurosurgerynews




