今天为大家分享的是由上海交大医学院附属新华医院神经外科唐寅达医师翻译的:眶颧入路手术策略与操作技巧(Orbitozygomatic Craniotomy),欢迎阅读、观看。
1. Modified Orbitozygomatic Craniotomy and Extradural Clinoidectomy
2. Cadaver-Orbitozygomatic craniotomy-Bone work
3. Orbitozygomatic craniotomy-Intraorbital tumor
4. Orbitozygomatic Craniotomy Only
概论
眶颧入路(orbitozygomatic craniotomy,OZ)在翼点入路的基础上,不同程度地切除眶上缘/壁、眶外侧缘/壁和颧骨。这些新增的骨质去除,扩展了额下径路的视野,且减少了脑牵拉的必要,以获得前、中颅窝底、鞍旁及脚间池区域的宽阔暴露。该入路可提供从下至上的卓越视野和手术空间,同时也是一种可沿多方向延伸、具备高灵活度和自由度的手术径路。
骨质切除范围的不同形成了眶颧入路的多种术式变异。最常用也最为实用的改良术式,即“单骨瓣(one-piece)”和“双骨瓣(two-piece)”法眶上骨切开术(supraorbital osteotomy),而不过多地切除颧骨。这些改良术式均包含有眶顶、眶缘以及颧骨额突的切除。
“单骨瓣”法中,额颞开颅和眶上骨切开术形成一整块骨瓣。“双骨瓣”法则是在完成传统的翼点开颅后,再另外进行眶上骨切开术。单骨瓣法额颞开颅加眶上骨切开术(即所谓的改良眶颧开颅(modified OZ))损伤最小,且具备其他所有眶颧开颅术式的主要优点,因此本文将针对这一种术式进行阐述。

图1:如图所示为单骨瓣法改良眶颧入路行眶骨切开术的基本步骤。第一步切割(左图)跨过眶缘。第二步(中图)将颧骨额突从颧骨上离断。最后一步(右图)切开眶顶至关键孔。关键孔的“关键”之处,在于其须同时暴露眶骨膜和额叶硬膜,这是完成后续开颅的关键。上述切开的骨性结构包括眶缘、颧骨和眶顶。
不同学者对该入路的不同描述,常常使得年轻医师感到困惑。本人将尽可能简洁明了地展示这一用途广泛的颅底入路,并着重阐明其最佳适应症。
改良眶颧入路的适应症
改良眶颧入路可广泛应用于各种位于眶尖、床突旁、鞍旁、海绵窦、脚间池和上段斜坡区域的血管及肿瘤性病变。从颅底向上显著延伸的占位,可通过眶颧入路绝佳的从下至上的视角和兼顾内外的操作空间来暴露,并可大大减少对额叶的牵拉。
本人提倡单骨瓣法改良眶颧入路。完全性离断颧骨的术式中,对颞部颧弓的离断,并不增加多少暴露。事实上,切除颞部的颧骨对大多数病变来说是多余的,且更易引起术后容貌缺损的问题。
对于那些能通过扩大翼点入路暴露的病变,本人一般不使用眶颧入路。扩大翼点入路包括了对眶顶和蝶骨翼外侧部的广泛切除,可扩展标准翼点入路的手术视野和操作空间。
本人将下述情况列为改良眶颧入路的特定适应症:向上突入三脑室区域的鞍旁病变,以及位于眶内后三分之一的病变。具体来说,例如巨大的鞍旁脑膜瘤、高位基底动脉尖动脉瘤、眶内后部脑膜瘤/海绵状血管瘤。该入路也适合海绵窦内占位。由此可见,该入路适用范围相对较窄且较为特定。


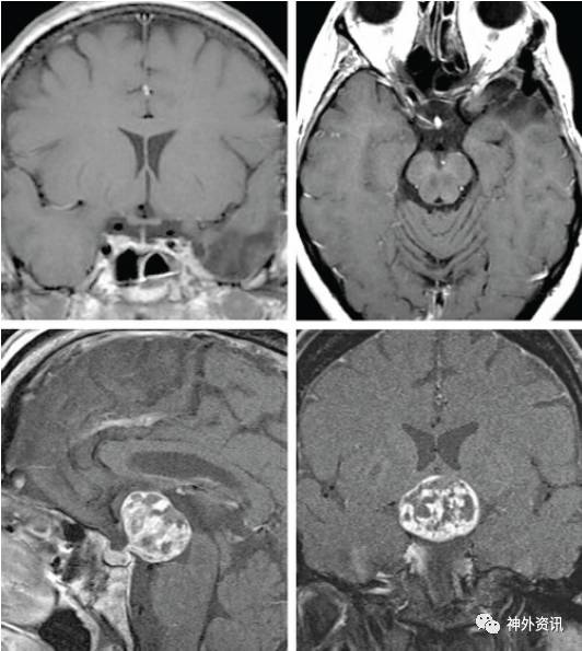
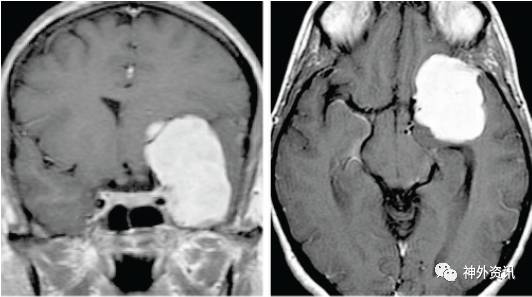
图2:一例巨大的内侧型蝶骨嵴脑膜瘤(上图),经改良眶颧入路完整切除(中图)。该例肿瘤向上显著生长,因此需要通过切除眶顶骨质来获得从下至上的手术视野。同样地,另一例三脑室型颅咽管瘤(下图)也通过相同的入路经终板切除。
术前注意事项
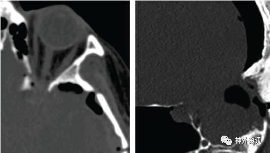
脑膜瘤可导致眶顶和蝶骨翼外侧部的骨质增生,术前影像学需评估这一情况。对这一类型脑膜瘤行眶颧开颅时,眶顶的切开须在直视下完成。由于眶顶骨质异常增厚,可出现难以控制的眶顶、眶缘骨折,甚至可累及视神经管而导致视神经损伤。当骨折累及蝶窦和筛窦时,还可出现术后脑脊液漏。

图3:须避免在未完全离断骨性连接、且未直视眶顶或蝶骨翼外侧部的情况下,盲目地掀起眶颧或翼点骨瓣。强行折断异常增生的蝶骨翼外侧部,可导致骨折线意外累及视神经管(左图)或筛窦(右图),出现相应的视神经损伤和术后脑脊液漏。
本人建议行腰大池引流以降低硬膜张力,从而在眶颧入路中更好地保护硬膜和脑组织。
术前影像学还需评估额窦向外侧延伸的情况。但即使有开放额窦的风险,也要保证足够的开颅范围。
手术解剖
必须深入地掌握前颅底的相应解剖。

图4:面神经额支所在的层面位于脂肪垫的浅部,因此可使用筋膜下技术将面神经额支翻开,再将颞肌单独翻开(感谢Rhoton教授对图片的授权)。
关于筋膜下和筋膜间技术保护面神经额支的相关内容,请参见《翼点入路》章节。

图5:改良眶颧入路移除的骨质包括眶缘、眶顶前部及颧骨额突的一部分。骨质切割范围可延伸至眶下裂,但已很少应用。额颧缝(蓝箭)大约为眶顶水平(感谢Rhoton教授对图片的授权)。

图6:与眶颧入路相关的前外侧颅底的骨性解剖(左上图)。注意从眶内侧面观察到的关键孔与额颧缝的关系(上右图和下左图)。翼点入路中的“关键孔”则位于眶颧入路中的McCarty关键孔的上方,前者仅需暴露额叶硬膜,而后者需同时暴露眶骨膜和额叶硬膜(感谢Rhoton教授对图片的授权)。

图7:关键孔周围的骨缝解剖(左上图)。本人研究发现,为同时显露眶骨膜以及被眶顶隔开的额叶硬膜,最佳的关键孔定位为A1点(右上图)(此处与所引原文观点不同;原文中Rhoton等作者认为最佳定位点为B1;译者注)。注意眶顶与垂直虚线之间呈一夹角(左下图)。眶顶的厚度和倾斜角度存在变异。需熟悉其典型的倾斜角度,以便在术中保证关键孔能同时暴露额叶硬膜和眶骨膜(感谢Rhoton教授对图片的授权)。

图8:对这一起始关键孔的精准定位,以同时暴露眶骨膜和额叶硬膜,是之后顺利完成眶颧和眶上/额眶骨切开术的关键步骤。该孔的中心通常位于额颧缝(黑箭)上方7mm、后方5mm的位置。

图9:单骨瓣法眶颧开颅的具体步骤。
步骤3-7使用不带底座的B1铣刀。步骤8使用骨凿。(图片引自Balasingam, V and colleagues. Modified osteoplastic orbitozygomatic craniotomy. J Neurosurg 102:940-44, 2005)(此处与所引原文不同;原文中,步骤1-4使用带底座的铣刀,步骤5-6使用带侧仞的高速钻头,步骤7-8使用骨凿进行骨折;译者注)

图10:眶颧入路的硬膜内暴露,可见前颅底和中颅底广阔的手术视野(感谢Rhoton教授对图片的授权)。
改良眶颧开颅/入路
患者采取平卧位,根据病变的具体位置,将头部旋转20-40°。越是靠近中线的病变,头部旋转的角度越小。颈部略微伸展,头顶倾向地面,使得颧隆突(原文为malar eminence;又称为maxillary process of zygomatic bone,颧骨上颌突;译者注)位于术野最高点。这样的体位有助于利用重力效应使额叶抬离眶顶。关于手术室配置的相关细节请参见《翼点入路》章节。
其他学者另有不同的头位摆放依据。越是靠近基底部的病变,如眼动脉段和后交通动脉段动脉瘤以及海绵窦占位,头越是少伸展而多旋转,使得眶外侧嵴(原文为orbital ridge;该术语少有应用,同supraorbital ridge,后者又同superciliary arches或eyebrow ridge,即眉弓;然而此处为眉弓可能性不大,译者认为更可能为眶外侧缘的骨嵴,即额骨颧突-颧骨额突区域;译者注)位于最上方;相反地,如大脑中动脉和颈内动脉分叉部动脉瘤以及向上侵犯的鞍旁肿瘤,头尽量多伸展而少旋转,使得颧隆突位于最上方。
头皮切口始于耳屏前方1cm的颧弓水平。切口在发际线以内,弧形越过中线,终于对侧瞳中线与发际线的交点。切口长度不足将造成皮瓣和颞肌翻开受限,从而不利于颧骨额突和眶缘的暴露。

图11:切口基本沿发际线,与颞上线相平行,无需向后过多延伸。颧弓下方切开不超过1cm,以免损伤面神经分支。如果将来有对侧手术的可能性,或患者已有对侧手术的切口疤痕,则尽量调整切口形态,使总体类似于冠状切口。切皮时,用骨膜剥离子将帽状腱膜与骨膜隔开。

图12:向下锐性切开头皮,深度至骨膜和颞肌筋膜。尽可能地保留颞浅动脉的后支。颞浅动脉的额支可电凝后切断。

图13:于帽状腱膜和骨膜层之间分离皮瓣,保留带血管蒂的骨膜瓣以备关颅时之需。皮瓣向前牵开,与颞肌筋膜相分离。可用10#皮刀的刀刃进行帽状腱膜和骨膜之间的分离。脂肪垫已被显露。

图14:沿帽状腱膜和骨膜之间的间隙分离,直至暴露出帽状腱膜下脂肪层,其内走行有面神经的额颞支(额支)。这些面神经的分支位于筋膜间脂肪垫以浅的间隙内,并非位于筋膜间脂肪垫中。因此有下述两种翻折脂肪垫的技术,用以保护这些面神经分支:
1.筋膜间技术:沿筋膜间脂肪垫和颞肌筋膜深层之间,将脂肪垫和颞肌筋膜浅层一同翻折。
2.筋膜下技术:将颞肌筋膜浅层、筋膜间脂肪垫和颞肌筋膜深层一同翻折(这是本人偏好的做法,因其对面神经的保护更可靠)
筋膜间脂肪垫通常可在颧骨额突及眶缘的后方2.5-3m处显露。使用Bovie单极电刀切开颞肌筋膜深层,采用筋膜下技术翻折脂肪垫。

图15:筋膜下技术:
将颞肌筋膜深浅两层连同其内的脂肪垫一起切开直至颞肌纤维表面,将其剥离并随皮瓣翻向前方,面神经分支即一同包含在内。沿着切开颞肌筋膜的方向继续跨过颞上线,使得颞上线内侧的骨膜层与掀起的颞肌筋膜成为同一层,一起翻向前方。这一操作的关键在于,跨过颞上线切开其内侧的骨膜层时,切开的方向与颞上线相垂直,而与颞肌筋膜相平行且延续。

图16:骨膜下分离以暴露颧骨。颞肌筋膜深层向前与额骨颧突的骨膜层相延续。因此,筋膜下分离在颧骨额部区域自然而然转变为骨膜下分离,继而完全暴露出眶上缘和额骨颧突。额骨前部的骨膜也继续向前行骨膜下分离、翻开,直至显露出眶上神经和眶上切迹。

图17:继续行骨膜下分离直至眶缘和眶顶前部的下方。进入眶缘的额骨及颧骨骨膜即延续为眶骨膜。钝性剥离眶上切迹外侧部的眶骨膜。眶骨膜常黏着于额颧缝,因此先对此处进行松解。随后对眶下裂至眶上切迹之间的眶骨膜行广泛的钝性剥离,直至形成明显的眶骨膜下间隙。
通常情况下,钝性剥离至眶内2-3cm就足够了。若有眶内脂肪从破损的眶骨膜中涌出,可用双极电凝使其回缩。眶骨膜破损可导致术后眶周淤肿更为显著。

图18:常可见眶上神经从眶上切迹穿出,可将其从眶上神经沟内轻轻钝性游离出。然而,少数情况下,眶上神经从眶上神经孔内穿出。此时可用带有侧仞的细小钻头,绕眶上神经切开一圈,使其连同其骨孔一同向前移位,而不损伤神经(插图)。
游离眶上神经后,即可轻易地并将其连同骨膜及眶骨膜辦一起向前翻折。眶上神经周围的骨质切口,也可用于开颅时铣刀底座的取出。

图19:随后沿颞上线切开颞肌,在后方则是平行于头皮切口方向切开肌肉。在颞上线处保留一条肌筋膜带,以便关颅时修复颞肌。随后使用骨膜剥离子对颞肌行骨膜下分离,方向应从下往上,即从颧弓向颞上线进行。
这样的逆向颞肌分离法,有利于更好地保护肌肉深面的真性骨膜层(subperiosteal layer),而该层内走行有支配颞肌的颞深动脉和颞深神经,因此该技术可减少术后颞肌萎缩。牵开颞肌的方向为向下而非向前,以最大程度地获得额下操作的空间。

图20:眶颧开颅需钻两个骨孔。必要时可钻更多的骨孔以保证硬膜的完整。第一个钻孔位置恰位于颞上线尾侧、靠近骨面后缘处。注意使用鱼钩牵开器最大程度地牵开软组织;颞肌向下而非向前牵开。


图21:必须正确定位关键孔并按正确的角度进行打磨,才能透过该孔同时显露眶骨膜和额叶硬膜。准确完成此步骤,是顺利进行单骨瓣法眶颧开颅的关键,同时亦可避免关键孔区过多的骨质缺损带来的容貌缺损问题。
关键孔置于颞窝内,大致定位于额颧缝(黄箭)上方7mm、后方5mm处。钻头方向与颞骨所在平面呈45°。通过该孔的后上半可显露额叶硬膜,前下半可显露眶骨膜(插图),两部分由眶顶分隔。

图22:使用带有底座的铣刀进行开颅。第一个颅骨切开可始于眶上切迹,此处在之前游离眶上神经时已被切开(上图)。但更为常用的另一种做法是,从颞部的骨孔向上沿着颞上线轮廓向前。如果之前游离眶上神经时未曾在眶上切迹处切开,则可用带侧仞的钻头于眶上切迹外侧切割以切开眶缘。

图23:继续用带底座的铣刀进行下部开颅。从颞部骨孔向下,随后向前切割,直至底座的突出部被蝶骨大翼阻挡(步骤1)。该处可原位转动铣刀(步骤2),扩大骨切割线末端,以腾出空间,从硬膜外间隙内取出铣刀底座(步骤3)。

图24:接下来,将带有底座的铣刀替换为带有侧仞的B1直切割钻头,进行第一步眶骨切开术。这一切割始于关键孔的眶部,沿着眶外侧壁、跨过蝶骨大翼,终于之前颞部开颅的骨切割线末端。

图25:随后用同样的直切割钻头,于额颧缝下方2cm处横断颧骨额突。用脑压板保护眶内容物。上述两步切割使得颧骨额突与颧骨相离断。

图26:将眶骨膜与眶外侧壁进一步分离,为下一步切割做好准备。

图27:用小而薄的骨凿,从之前游离眶上神经的眶缘切口,由内向外,沿着眶顶完成最后一步眶骨切开术。眶顶骨质可极为菲薄,因此避免使用蛮力捶打骨凿。

图28:另一种完成眶骨切开术的方法是,用相同的骨凿对着关键孔凿开眶顶。用两块脑棉分别保护前下方的眶骨膜和后上方的额叶硬膜,以免受到骨凿损伤。

图29:上述开颅及眶骨切开术完成之后,需游离这一完整的额颞眶颧骨瓣并小心掀开。若开放额窦,则需彻底剥除其内黏膜并以肌肉和骨腊填塞封闭,关颅时可用带蒂骨膜瓣加以覆盖。

图30:掀去骨瓣后,使用带有侧仞的B1直切割钻头进一步切除眶顶前外侧部的蝶骨小翼骨质。需注意保护眶内容物。在关颅时,切下来的这一小块眶顶骨质可无需还纳。

图31:根据病变的具体需要,可进一步切除更多的骨质。对于那些与颈内动脉近端关系密切的颅底病变,有必要行硬膜外前床突切除术,该操作可在处理肿瘤前,早期完成视神经管减压。
硬膜外前床突切除术
关于该部分的详细内容,请参阅《硬膜外前床突切除术》章节。

图32:进一步剥离前颅底和中颅底的硬膜,以暴露蝶骨小翼。可使用牵开器保护额叶并利于后续暴露。使用咬骨钳或切割钻切除蝶骨小翼。腰大池脑脊液引流可明显有助于此处及之后对硬膜的剥离。

图33:对蝶骨小翼的进一步切除可显露出眶上裂,并可进一步向内侧剥离硬膜。此处将遇到脑膜眶带(meningo-orbital band)。这一额颞部硬膜返折,实为中颅窝硬膜(骨膜层;译者注)与眶骨膜在眶上裂处的连接。脑膜眶带的存在,阻碍了向内侧进一步剥离硬膜,因此需将其切开约5mm,以进一步牵开额颞叶硬膜来显露前床突。
脑膜眶带的外侧5mm可使用双极电凝和剪刀安全地切开。进一步钝性剥离海绵窦外侧壁的外层,有助于充分显露前床突的内侧部。

图34:松解脑膜眶带后,可进一步沿着眶上裂钝性剥离硬膜,以充分显露前床突内侧部。在颞叶侧,可分离出颞叶硬膜(脑膜层,即海绵窦外侧壁的外层;译者注)与海绵窦硬膜(海绵窦外侧壁的内层;译者注)之间的间隙。沿此间隙,可将颞叶硬膜从海绵窦前部和眶尖区剥离,从而更有利于前床突内侧部的显露。当然,并非所有病例均须行此步骤。

图35:进一步切除眶上裂上外侧缘残余的蝶骨小翼,以及构成眶上裂下外侧壁的部分蝶骨大翼。这里需使用金刚钻。注意持续凉水冲洗以避免骨质过热给周围组织带来的热损伤。这一步骤有利于眶上裂内容物的进一步游离。

图36:前床突内侧部、位于视神经管上方的骨质需被磨除,以便在进行后续处理前床突之前先游离视神经。覆盖于视神经表面的骨质很薄,可在前颅窝后内侧部轻易地识别。该步骤可将视神经从其骨孔内游离,以减少在后续切除前床突过程中对其带来的损伤。须保持冲洗以减少神经的热损伤。随后用金刚钻蛋壳化前床突,并将其从视柱上离断。

图37:将蛋壳化的前床突与周围的硬膜返折如床突韧带等充分游离开,用垂体瘤钳将其取出。来自海绵窦的出血可用浸有凝血酶的明胶海绵轻易控制。

图38:切除前床突后,可根据需要进一步开放视神经管。眶后部的骨质也可切除。
对于眶内后部的肿瘤,可配合使用咬骨钳和金刚钻进一步去除眶上壁和眶后壁骨质。在肿瘤切除后,需对这些进一步切除的眶壁进行重建,以减少将来眼球内陷的风险。
硬膜内操作

图39:半圆形切开硬膜,基底指向眶尖。该切口的目的在于暴露颞上回、侧裂和额下回。注意须将额部切口延伸至骨窗拐角处,以便充分利用额下空间。

图40:用数根缝线牵拉硬膜,以利于暴露。缝合点应靠近硬膜辦基底部,而非其边缘,这样可以最大程度地牵开眶内容物、颞肌等软组织,以充分利用硬膜内额下径路。
关颅

图41:常规缝合硬膜。若已开放额窦,则需尽力水密缝合硬膜。额窦黏膜应彻底去除,窦腔填以数块颞肌。建议常规使用带蒂骨膜瓣覆盖额窦。相关要点请参见《双额入路》章节。

图42:骨瓣还纳,用微型颅骨连接板固定。颧骨额突用一块小的连接板固定。颅骨塑形材料可用于修补骨质缺损。

图43:将颞肌筋膜重新缝合至颞上线处预留的筋膜带上。将脂肪垫翻转复位。

图44:缝合帽状腱膜,可吸收缝线缝合皮肤。
个人意见和注意事项
强烈建议选择性地使用眶颧入路。本人将下述情况列为改良眶颧入路的特定适应症:向上方延伸的鞍旁、三脑室、脚间池病变,以及位于眶内后三分之一的病变。
关键孔的准确定位是成功完成单骨瓣法眶颧入路的重要前提。
在前颅底脑膜瘤术中,应避免在非直视情况下盲目地对眶顶进行骨折。病理性的眶顶骨质增生,可使得骨折线累及视神经管而导致视神经损伤。

参编者:Roberto Rey-Dios, MD
DOI: https://doi.org/10.18791/nsatlas.v5.ch04.1
参考文献
Al-Mefty O. Operative Atlas of Meningiomas. Philadelphia: Lippincott-Raven, 1998.
Balasingam V, Noguchi A, McMenomey SO, Delashaw JB Jr. Modified osteoplastic orbitozygomatic craniotomy. Technical note. J Neurosurg. 2005; 102: 940-944
Lemole GM Jr, Henn JS, Zabramski JM, Spetzler RF. Modifications to the orbitozygomatic approach. Technical note. J Neurosurg. 2003; 99: 924-930.
Noguchi A, Balasingam V, Shiokawa Y, McMenomey SO, Delashaw JB Jr. Extradural anterior clinoidectomy. Technical note. J Neurosurg. 2005; 102: 945-950
Oikawa S, Mizuno M, Muraoka S, Kobayashi S. Retrograde dissection of the temporalis muscle preventing muscle atrophy for pterional craniotomy. Technical note. J Neurosurg. 1996; 84: 297-299
Seçkin H, Avci E, Uluç K, Niemann D, Başkaya MK. The work horse of skull base surgery: orbitozygomatic approach. Technique, modifications, and applications. Neurosurg Focus. 2008; 25: E4.
Tew JM Jr, van Loveren HR, Keller JT. Atlas of Operative Microneurosurgery, Vol 1. Philadelphia: Saunders, 1994.
Tew JM Jr, van Loveren HR, Keller JT. Atlas of Operative Microneurosurgery, Vol 2. Philadelphia: Saunders, 2001.
Tubbs RS, Loukas M, Shoja MM, Cohen-Gadol AA. Refined and simplified surgical landmarks for the MacCarty keyhole and orbitozygomatic craniotomy. Neurosurgery. 2010; 66(6 Suppl Operative): 230-233
(神外资讯编辑、上海交大医学院附属新华医院神经外科唐寅达医师翻译)




