
洪远,男,神经外科博士, 副主任医师,硕士研究生导师。目前担任浙江省医学会神经外科分会肿瘤学组委员、浙江省神经外科学会青年委员、中华神经外科杂志英文版通讯编委、国家自然科学基金评审专家,浙江省自然科学基金评审专家等。
擅长微侵袭神经外科手术包括:内镜辅助显微锁孔外科技术治疗各种脑部肿瘤及脑血管病,尤其专长于微创经鼻颅底外科内镜手术,包括垂体瘤、颅咽管瘤、鞍区及斜坡脑膜瘤、脊索瘤及颅底深部肿瘤等,此外还擅长视神经管减压、脑积水、脑室病变及松果体区肿瘤的神经内镜微创治疗。曾在美国多个国际著名颅底外科和内镜中心进行显微颅底外科解剖训练和神经内镜显微技术学习深造。回国后率先在省内开展各类复杂颅底肿瘤内镜下微侵袭手术包括:国内首例经鼻神经内镜下巨大脑干-桥脑海绵状血管瘤切除术、省内首例神经内镜下侧颅底肿瘤切除手术,以及其他前中颅底肿瘤微侵袭手术等。
以第一负责人主持国家自然科学基金面上项目、教育部博士点项目、浙江省自然科学基金、浙江省科技厅、浙江省卫生厅及教育厅等多项科研项目;作为主要成员参加国家十一五项目、科技厅重大项目、省部共建项目;发表SCI文章近30篇,其中以第一及通讯作者发表SCI论文17篇,累计影响因子达60分。以主要成员获浙江省科技进步一等奖1项、中华医学会二等奖1项。
病史简介
患者:28岁,因“右侧肢体麻木乏力伴行走不稳及复视1月余”入院。患者1月前无明显诱因下出现右侧肢体麻木乏力,伴行走不稳,诉有复视,遂往当地医院就诊,查MRI考虑脑干海绵状血管瘤。近来上述症状加重,再次行MRI检查,示脑干出血范围较前增大(图1)。为求进一步诊治,门诊以“脑干海绵状血管瘤”收住入院。
入院查体:神清,精神可,双侧瞳孔等大等圆,直径约为3mm,对光反射灵敏,左眼球外展受限伴复视,颈软,右上肢肌力III级,右下肢肌力IV级,左侧肢体肌力V级,肌张力无亢进。余神经系统检查未见异常。

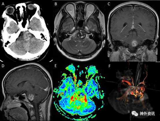
图1. 术前影像学检查:A)头颅CT示脑干团片状混杂高密度影,提示出血;B)T2加权轴位上脑干见团片状混杂信号影,靠近腹侧面,最大直径约23mm,周围见含铁血黄素环;C)增强后冠状位和D)矢状位未见明显强化;E)和F)弥散张量成像(DTI)显示左侧皮质脊髓束受压向外侧推移,部分缺损。
诊治经过
完善各项术前准备,包括导航磁共振、弥散张量成像等。科室术前讨论,根据患者的临床症状和MRI影像学表现,脑干海绵状血管瘤基本明确,建议手术切除。鉴于该病例有出血病史,且肿瘤近中线,已突破脑干腹侧表面,手术入路可选择KAWAS入路,或内镜下经鼻蝶斜坡入路切除,经与家属沟通,最终选择神经内镜下经鼻-蝶-斜坡入路切除术,外加腰大池置管引流术。术中在电生理监测下,应用多模态神经影像技术辅助,采用双人四手操作,在内镜下全切肿瘤(图2和图3)。

图2. 术中多模态技术应用:A)脑干诱发电位神经电生理监测;B)术中磁共振导航;C)术中多普勒超声探头;D)双人四手操作;E)术中导航下定位肿瘤下极。

图3. 手术操作过程:A)术中导航下定位斜坡和肿瘤上下左右边界;B)充分暴露骨窗:上至鞍底,下至咽结节,两侧至斜坡段颈内动脉;C)下斜坡磨除后打开硬膜,暴露肿瘤;D)分离和切除海绵状血管瘤;E)肿瘤全切后显露周边解剖结构;F)多层重建技术修复颅底。
AICA=anterior inferior cerebellar artery, LVA=left vertebralartery, CN VI= cranial nerve VI, abducent nerve.SF=sellar floor, PCICA=paraclivalinternal carotid artery, PT=pharyngeal tubercle
术后患者意识清,无吞咽困难及饮水呛咳,左眼轻度闭合不全,左侧鼻唇沟稍变浅,左眼球外展受限。右上肢肌力II级,右下肢肌力III级,左侧肢体肌力V级。予神经营养药等对症治疗。复查头颅MRI示肿瘤全切,未见明显残留(图4)。术后2周,体温正常,一般情况稳定,无脑脊液鼻漏。顺利出院。术后一月随访,右侧肌力等较前有明显改善。

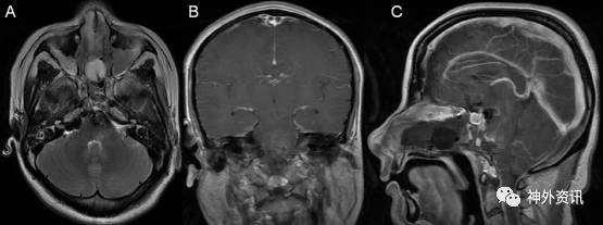
图4. 术后头颅MRI:A)T2加权像、B)增强后冠状位和C)矢状位示未见明显肿瘤残留。
病理结果
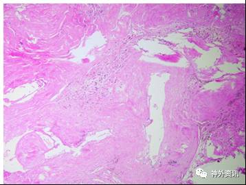
病理报告:(脑干)海绵状血管瘤,伴出血、含铁血黄素沉积(图5)

图5. 病理组织HE染色示海绵状血管瘤,伴出血、含铁血黄素沉积。
讨论
脑干海绵状血管瘤(brainstemcavernous malformation, BSCM)作为一种特殊的类型,约占所有颅内海绵状血管瘤的9%~35%,多发生于脑桥,其次中脑,延髓部少见,常与静脉畸形并存[1]。BSCM多因出血引起急性的局灶性神经功能缺失症状,并具有自行缓解的倾向,但由于脑干结构和功能的特殊性,部分患者可出现严重的神经系统功能障碍,甚至死亡。有文献报道BSCM的年出血率为2.3%~10.6%,而首次出血后再出血的概率显著升高至5.0%~21.5%[2]。
目前对于BSCM的手术指征和干预时机尚存在争议。LI D[3]等认为当BSCM病灶向外部生长到达软脑膜表面,或因反复出血导致进行性神经功能障碍,或在病灶包膜外出现急性出血,或病灶≥2cm并具有明显的占位效应时,可以选择手术治疗。手术时机方面Gluliano G[4]等推荐在出血后2-3周行手术治疗。这样的延迟可使得血肿得以局部液化,与周围组织分界变清,从而缓冲和减少手术相关性创伤。但同时亦不宜超过1个月后行手术治疗,因为此时血肿的机化和收缩会使得病灶与周围脑实质粘连紧密,从而增加了手术操作过程中机械性损伤的风险。
对于BSCM的手术入路问题,一般认为应选择从离脑干表面最近的地方进入为好,既要充分暴露术野,以便最大限度减少牵拉,同时也要考虑对传导束的损伤,以减少术后并发症。根据不同部位的BSCM有许多不同的手术入路可以选用(图6)。对位于腹侧中线的BSCM,根据病灶在脑干上下的位置不同,可以选择翼点或眶颧入路,颞下入路,Kawase入路和乙状窦前入路等,但本病例因病灶位于桥脑下部,以上入路想要完全暴露肿瘤全貌均有一定困难,无法为处理脑桥腹侧面的BSCM提供的直接的操作角度。侧前方入路不但需要扩大骨瓣,增加对颅神经和血管的牵拉,也很有可能增加对传导束的损伤。有大样本研究显示从侧方入路切除脑桥延髓交界处的海绵状血管瘤时,对纵向行走在腹侧脑桥的皮质脊髓束的牵拉会导致有30%的患者出现肢体活动障碍[5]。本病例DTI显示左侧皮质脊髓束受压向外侧推移,部分缺损,若从侧方或侧前方入路皮质脊髓束难免不受损伤,或损伤会更大。

图6. 不同部位脑干肿瘤的常用手术入路[6]
内镜下经鼻入路较其他入路有自身固有的优势。自然的鼻腔和鼻窦空间能为术者直接进入颅底提供天然的手术通路,避免了皮肤切口和颌面移位,最小程度地牵拉脑组织和颅神经,保留血管和神经功能,体现了现代微侵袭神经外科技术的新理念。近年来,随着导航的普及和颅底重建技术的成熟,经鼻内镜手术已突破以往的局限,应用于更多更广范围的颅底病变的切除。
Reisch等[7]在2001年首次报道了2例成功在显微镜下经口经斜坡切除脑干腹侧面海绵状血管瘤的病例。如今,随着内镜技术和器械的进步,许多颅底病变可在内镜下经鼻入路切除,这其中也包括脑干腹侧面的病变可经斜坡入路暴露和切除。Kimball等[8]在2012年首次报道了1例内镜下经鼻经斜坡切除脑桥腹侧面海绵状血管瘤的病例,而贺世明教授等[9]在2016年首次报道了1例内镜下经鼻经斜坡切除中脑腹侧面海绵状血管瘤的病例。至今为止,既往文献共报道了7例内镜下经鼻经斜坡切除脑干海绵状血管瘤的病例 (TABLE 1) [10]

这7例病例的手术结果是令人振奋的。全切除率达到85%(6/7),这与显微切除BSCM的荟萃分析所得全切率相仿(91%, 1390例)。其中2例患者术后无临床症状或神经功能障碍,4例患者临床症状得以明显改善,1例患者术后症状无改善。临床症状改善或相同的比例为100%,优于显微切除BSCM的荟萃分析报道的84%。总手术相关或CM相关死亡率为0%,与之相比显微切除BSCM的荟萃分析所得的这一数据为1.5%[10]。
采用内镜经鼻入路处理硬膜内病变最大的担心是脑脊液漏。尽管内镜技术和器械在不断进步和发展,脑脊液漏仍然是内镜下颅底手术最常见的并发症,并且文献报道的发生率较真实发生率偏低。对于脑脊液漏的预防,不同的医生有各自不同的观念和方法。德国的Linsler和Oertel[11]采用自体脐周脂肪移植来修复硬膜,并对所有内镜经鼻手术的患者行腰大池置管引流,术后持续至少5天。此外,他们利用CT/MRI融合导航,尽量减少骨窗和硬膜打开的面积,在他们这例经斜坡内镜下切除脑干海绵状血管瘤的手术中,骨窗打开的直径仅为7mm。而鼻中隔带蒂粘膜瓣是不需要的。而Gómez-AmadorJL等[10]认为切除硬膜内病变后用人工垫片缝合,应用带血管蒂鼻中隔皮瓣多层重建技术,能显著降低术后脑脊液漏的发生率。而术后无需常规行腰大池置管。
结合本病例,术者有以下几点体会:
1. 充分的术前评估:本例患者术前接受了多序列的头颅磁共振检查以进行全面评估。通过DTI了解脑干皮质脊髓束的分布,从而对选择合适的手术入路有指导意义。
2. 术中利用现代神经影像技术,多模态技术结合:本例手术术中采用了多种技术,包括术中多普勒超声、磁共振导航和神经电生理监测等,对病灶进行精确定位,反馈解剖和肿瘤信息,从而使操作更加安全。
3. 充分了解和掌握该部位的解剖结构,精巧适合内镜操作的手术器械,以及娴熟的手术技巧是手术成功的必要条件。
4. 由于斜坡脑干前方的血管神经核团丰富,解剖关系复杂,术中骨窗和硬膜应在安全的前提下尽可能打开暴露充分,这样才能有效了解解剖关系,在直视下达到肿瘤全切,保留神经血管和正常脑干功能。
5. 有效的颅底重建技术:术后我们采用了多层颅底重建技术(瘤腔填充脂肪,阔筋膜联合带蒂鼻中隔粘膜瓣覆盖的“三明治技术”)和腰大池置管引流,取得了令人满意的颅底修复的结果,该患者术后无脑脊液漏。
总而言之,随着神经内镜技术的不断发展,其应用范围和病种也越来越广泛。相比于常规开颅颅底入路,内镜下经鼻经斜坡入路处理脑干腹侧中线位置的海绵状血管瘤有其自身的独有优势。新一代颅底外科医生应根据患者肿瘤部位和特点选择个性化和最佳手术方案,平衡内镜经鼻手术的优势和风险,最大限度地减少手术创伤,降低已知的脑脊液漏和潜在的使用内镜器械处理出血的风险,从而达到最佳治疗效果。
参考文献
1. Fritschi JA, Reulen HJ, Spetzler RF,Zabramski JM. Cavernous malformations of the brain stem. A review of 139 cases.Acta neurochirurgica. 1994;130:35-46
2. Gross BA, Batjer HH,Awad IA, Bendok BR. Brainstem cavernous malformations. Neurosurgery. 2009;64:E805-818; discussion E818
3. Li D, Yang Y, HaoSY, Wang L, Tang J, Xiao XR, et al. Hemorrhage risk, surgical management, andfunctional outcome of brainstem cavernous malformations. Journal of neurosurgery. 2013;119:996-1008
4. Giliberto G, LanzinoDJ, Diehn FE, Factor D, Flemming KD, Lanzino G. Brainstem cavernousmalformations: Anatomical, clinical, and surgical considerations. Neurosurgical focus. 2010;29:E9
5. Abla AA, Lekovic GP,Turner JD, de Oliveira JG, Porter R, Spetzler RF. Advances in the treatment andoutcome of brainstem cavernous malformation surgery: A single-center caseseries of 300 surgically treated patients. Neurosurgery.2011;68:403-414; discussion 414-405
6. Wang Z, Wang L, ZhuXD, Wu Q, Shi LF, Wang YJ, et al. [brainstem cavernous malformation and itssurgical treatment]. Zhejiang da xue xuebao. Yi xue ban = Journal of Zhejiang University. Medical sciences.2015;44:371-375
7. Reisch R, Bettag M,Perneczky A. Transoral transclival removal of anteriorly placed cavernousmalformations of the brainstem. Surgicalneurology. 2001;56:106-115; discussion 115-106
8. Kimball MM, LewisSB, Werning JW, Mocco JD. Resection of a pontine cavernous malformation via anendoscopic endonasal approach: A case report. Neurosurgery. 2012;71:186-193; discussion 193-184
9. He SM, Wang Y, ZhaoTZ, Zheng T, Lv WH, Zhao LF, et al. Endoscopic endonasal approach tomesencephalic cavernous malformations. Worldneurosurgery. 2016;90:701 e707-701 e710
10. Gomez-Amador JL,Ortega-Porcayo LA, Palacios-Ortiz IJ, Perdomo-Pantoja A, Nares-Lopez FE,Vega-Alarcon A. Endoscopic endonasal transclival resection of a ventral pontinecavernous malformation: Technical case report. Journal of neurosurgery. 2016:1-6
11. Linsler S, Oertel J.Endoscopic endonasal transclival resection of a brainstem cavernoma: A detailedaccount of our technique and comparison with the literature. World neurosurgery. 2015;84:2064-2071
(本文由浙二神外周刊原创,浙江大学医学院附属第二医院神经外科董啸主治医师整理,洪远副主任医师审校,张建民主任终审)
往期回顾
浙二神外周刊(三十七)--垂体瘤伴发鞍结...
浙二神外周刊(三十六)--脑膜血管瘤病...
更多资讯请关注神外资讯微信公众号:neurosurgerynews




