目前,对于急性硬脑膜下血肿(acute subdural hematomas,ASDH),主要采取开颅手术(Craniotomy,CO)或者去骨瓣减压术(Decompressive Craniectomy,DC)两种手段。究竟哪一种方法更好,尚未明确;临床上常常是根据神经外科医生的经验决定手术方案。韩国国民健康保险服务Ilsan医院神经外科的Young Sub Kwon等对两种手术治疗ASDH的疗效进行比较研究,结果发表在2016年4月《Korean J Neurotrauma》在线。
作者收集2010年1月到2014年12月间46例行开颅手术或去骨瓣减压术的ASDH患者资料。针对患者人口学特征、临床数据、影像学表现和疗效预后进行统计学分析(表1)。
表1. 两组手术患者的临床资料。

46例ASDH患者中,20例(43%)采用开颅手术,即CO组(图2);26例(53%)行去骨瓣减压术,DC组(图3)。DC组患者与CO组相比,术前GCS评分低,瞳孔无光反应者多,CT显示蛛网膜下腔出血发生率高。因此,DC组患者的病情明显比CO组严重(p=0.017)(表2)。术后随访6个月时,两组患者的改良Rankin量表评分提示,CO组患者的预后明显优于DC组(p=0.004)。

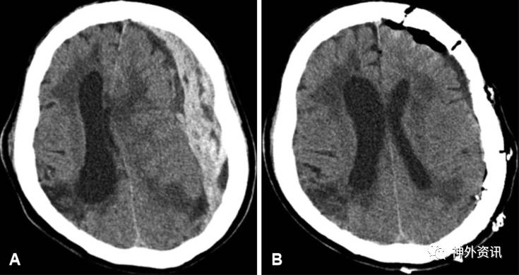
图1. 急性硬脑膜下血肿开颅手术术前(A)与术后(B)的CT扫描。

图2. 急性硬脑膜下血肿去骨瓣减压术术前(C)与术后(D)的CT扫描。
表2. 开颅手术与去骨瓣减压术的ASDH患者临床状况对比。

综上所述,对于术前临床情况不佳的ASDH患者来说,去骨瓣减压术不确定带来多大益处。但该研究的对比分组,两组患者的临床数据无可比性,手术方式也无具体阐述,因此结果并不可信。
(福建医科大学附属第一医院陈小勇编译,复旦大学附属华山医院陈灵朝博士审校,《神外资讯》主编、复旦大学附属华山医院陈衔城教授终审)
相关回顾
更多资讯请关注神外资讯微信公众号:neurosurgerynews




