今天为大家分享的是由海军军医大学附属长征医院神经外科卢成寅医师翻译的:下丘脑错构瘤治疗策略(Hypothalamic Hamartoma),欢迎阅读、观看。
Hypothalamic Hamartoma
概论
错构瘤是一类良性肿瘤,具有非恶性肿瘤生长趋势的特性,瘤体主要以多种非正常的先天来源的组织混杂构成。虽然此类病变看似肿瘤,但其并没有肿瘤样倾向表现,如加速生长、周围组织的浸润侵犯和远处转移等。
下丘脑错构瘤极为罕见,属于发育异常的表现,其典型的临床表现为内分泌功能异常和癫痫的发生。其构成主要为三脑室底的多形性神经元细胞和胶质细胞混杂形成。
该病的确切发病率尚不清楚,其估计发病率为1/5万-1/1百万。尽管其典型表现包括痴笑型癫痫,但下丘脑错构瘤也可表现为其他类型的症状,包括因难治性癫痫发作引起的严重衰弱,或内分泌紊乱,包括中枢性性早熟也有报道。
此类患者行为、精神和认知方面的异常的发生率明显增高,下丘脑错构瘤患者的极端临床表现包括致残性癫痫发作、严重的认知障碍或儿童早期出现的发育迟滞。
诊断
下丘脑错构瘤患者其主要临床表现及体征包括性早熟和癫痫发作。19世纪首次报道的痴笑型癫痫,主要表现为无法控制的持续大笑,被公认为是具有标志性的临床发现。此类痴笑表现是儿童早期发现的典型症状。
这类痴笑表现是儿童早期的典型首发征象,且有向其他类型癫痫发作的趋势,包括全身强直阵挛性癫痫、局部复杂性癫痫、跌倒发作和非典型发作。正如上文中阐述的,行为、精神及认知方便的改变也常出现。此外,也曾有报道称痴笑发作患者因未发现明显的影像学依据,未被明确诊断的案例。
依据个体患者的临床表现,其诊断所需的检查主要包括完整的实验室检查、脑电图及MRI影像。
评估
对于有癫痫发作的患者其诊断相关检查须包括MRI影像。下丘脑错构瘤的典型影像学特征为T2加权像较正常脑组织的明显强化信号。MRS波谱成像则通常表现为神经元密度的减少和胶质细胞的增加。
现有数项研究对于此类患者的EEG进行了分析。经头皮EEG多无法显示出当患者仅有痴笑型癫痫发作或发作间期的典型EEG异常。当疾病进展后出现继发性全身性癫痫发作时,经头皮EEG可捕捉到异常EEG。复杂性癫痫可导致额叶或颞叶出现EEG多发癫痫灶。皮层切除对于控制此类癫痫无效。深部电极的评估可以确定下丘脑错构瘤可作为抑制癫痫发作的靶结构。
下丘脑错构瘤有两种亚型,根据肿瘤与正常下丘脑组织的解剖学关系区分。无基底型下丘脑错构瘤,其肿瘤底部主要位于其原发部位,并对周围正常下丘脑组织产生推挤。相对的,有基底型下丘脑错构瘤表现为以三脑室底部为基底在三脑室内悬浮。无基底型错构瘤更易引起癫痫发作,而有基底型则与内分泌功能障碍相关。

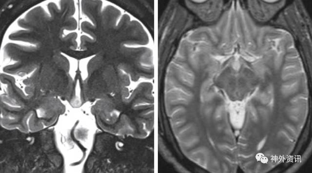
图1. 该图显示的是一名23岁男性患者,表现以痴笑型癫痫为主的难治性多灶性癫痫,磁共振检查提示为一无基底错构瘤,其T2序列呈现高信号,病灶表现为沿三脑室前壁生长的不增强团块影。
手术指征
以诊断依据为基础确定手术指征的方式在此类罕见病中并不适用。一般情况下,手术指征中最重要的是发作难治性癫痫的病例。如术前症状和体征中发现性早熟也是需要手术干预的指征之一。
多项研究均证实了下丘脑错构瘤是引起的原发和继发癫痫病灶。因此,下丘脑错构瘤患者如存在无法控制的癫痫症状也是选择手术干预的合适指征。
术前评估
文献中描述有多种手术入路可以暴露三脑室前部,包括标准翼点入路、胼胝体入路、脑室镜手术、内镜下经鼻入路及额下终板入路。标准翼点入路是神经外科医生最熟悉的入路,可以提供相对直接暴露肿瘤的入路。然而,翼点入路由于有重要神经血管结构骑跨在肿瘤上方,对于显露三脑室前部的视野具有局限性。因此,对于正常解剖结构的松解和牵拉可以帮助肿瘤切除。
胼胝体入路是最直接暴露三脑室前部的入路,其可以清晰的显示位于脑室内的肿瘤。该入路的最大局限性是存在因牵拉穹窿部所造成术后记忆障碍的风险。
经鼻内镜入路是具有提供微创条件下暴露肿瘤的潜在优势,但该入路对于此类肿瘤的经验较有限。
我更亲睐于采用经眶上的额下终板入路。为了自上而下的手术入路暴露三脑室底探查肿瘤,一定程度的牵拉额叶是必要的。另外,经对侧额下入路的操作可以有效暴露肿瘤的侧方便于进行直接的操作。
放射外科的治疗也是下丘脑错构瘤值得考虑的治疗方案。放射治疗的潜在局限性包括治疗反应的延后、下丘脑的放射性损伤风险。由于这些原因减少的放射剂量可能降低放射治疗的效果。
手术解剖
对于终板和三脑室底解剖的了解是安全有效的切除肿瘤所必需的。进一步的了解请参阅请参阅Subfrontal Translamina Terminalis Approach(将在后续发布)的相关章节。
胚胎学上,终板是来自神经管的延髓头端尾。这一结构表明三脑室就够的最宽部位,其与是交叉形成一个锐角,形成了后方的视隐窝。终板前方的终板池,形成视神经颈内动脉池的一部分,其内走行大脑前动脉A1段、前交通动脉,Heubner回返动脉、额眶动脉、下丘脑穿支血管、近端A2段、前交通静脉和大脑前静脉。

图2. 左图示终板与周围大脑前动脉、中隔和下丘脑穿支血管的解剖关系,终板边缘以黄色箭头表示;右图示打开终板后暴露三脑室底,为经额下入路暴露三脑室底,形成一个自上而下相对锐利的操作角度是必要的。(图片来源:AL Rhoton, Jr)
下丘脑错构瘤切除术
术前行腰椎穿刺术或放置腰大池引流管可以为术中操作提供空间,从而在所有手术入路过程中减少对脑组织的牵拉。术中的影像学导航是有利的辅助措施,尤其针对较小的肿瘤。
请参阅眶上锁孔入路操作技巧(Supraorbital Craniotomy)章节中的相关内容,包括详细的前期手术步骤和暴露过程。患者取仰卧位,颈部稍过伸,以达到在重力的作用下额叶和颅底分离。三分之二患者采用双侧冠状瓣切口,骨膜向上翻开,可在术中暴露额窦时填补使用。
由于开颅手术的垂直角度限制,经眉弓的切口暴露三脑室底的操作范围是有限的。

图3. 该图显示患者取仰卧位,头向侧方偏斜10-15°,颈部稍过伸,以达到在重力的作用下额叶和颅底分离。
手术采用单侧额上入路开颅以避开额窦,正如前面提到,经对侧开颅暴露肿瘤侧方可以暴露交叉视角更好的显示肿瘤的侧壁。硬膜切开的方向为基底在前方的反U型切口。

图4. 术中在暴露下丘脑错构瘤时我并未移除眼眶,原因在于术中暴露三脑室后采取自上而下的操作步骤进行的。
硬膜内操作
经腰大池置管释放脑脊液,可方便暴露视交叉池。

图5. 本图显示经右侧额上入路开颅,开颅范围的下缘到达眶顶,利用一片脑棉大小的橡胶手套片与脑棉重叠后贴敷于额叶底面,轻柔牵拉额叶暴露同侧视神经。

图6. 继续轻柔牵拉额叶,通过视神经颈内动脉池释放更多脑脊液进一步扩大手术空间。
终板构成了三脑室前壁的一部分,并与上方的视交叉相连续。这一解剖关系构成了三脑室内的视隐窝和视交叉上方的终板凹陷,尤其值得注意的是其与大脑前动脉A1段和前交通动脉复合体之间的关系,包括Huebner动脉反支在内的周围重要穿支动脉。

图7. 左图显示暴露后的终板和大脑前动脉,终板纤薄且相对透明,这一特征有利于我们将其与视交叉做一区别;右图显示切开终板后暴露三脑室前壁和肿瘤,自前交通动脉复合体起源的穿支动脉滋养前方的视交叉,因此需要保留,电凝功率应该降低到最小。

图8. 该手术术区深在,动态的牵拉可以提供相对有限的视野暴露手术目标。利用蛛网膜刀扩大先前十字切开的终板切口,这样的暴露可以提供肿瘤周围足够的空间,避免在手术盲区操作导致可能出现的对周围重要结构无意的损伤。接着,现有的手术视野可以直接暴露下方的三脑室底。这样由上自下在终板间的操作可以有策略的动态牵拉额叶避免额底的损伤。手术操作必须有明确目标和高效进行,避免持续过度牵拉额叶导致损伤。吸引装置的吸引力动态变化,只有在切除肿瘤的重要操作步骤时才能间断牵拉额底区域。

图9. 胶样的灰白色错构瘤分离时需轻柔,利用带有角度的剥离器仔细分离肿瘤与下丘脑的正常边界。病灶周围组织需要保留,仅切除明显异常的组织。垂体咬骨钳可以帮助分块切除肿瘤,左下图蓝色箭头表示的是肿瘤的边界。

图10. 肿瘤切除后,肿瘤与下丘脑的界面尽量保留,不要过多骚扰,不建议激进地切除方式。
关颅
关颅采用标准术式,如额窦腔开放,需通过填塞的方式处理。
术后评估
术后患者需常规转入ICU病房进行持续生命体征监测,血压监测与每小时的神经系统检查,连续的实验室检查可以密切监测电解质和内分泌水平,术后MR复查一般在术后48小时内完成。推荐使用大于常规剂量的抗癫痫药物使用,由于该类患者围手术期癫痫的发生风险极大。
点睛之笔
下丘脑错构瘤是一类以性早熟和癫痫发病的少见病,认知、意识和行为改变也常有表现;
尽管痴笑型癫痫是此类疾病典型的临床表现,但其并不具有诊断特异性;
多种手术入路自三脑室前方进入切除肿瘤,但均有一定的优势和局限性;
额下经终板入路可提供相对合理的路径暴露肿瘤,达到近全切除肿瘤。过度激进的切除方式不推荐。
Contributors: Kashif Shaikh, MD, and Ian White, MD
DOI: https://doi.org/10.18791/nsatlas.v7.ch06
References
Addas B, Sherman EM, Hader WJ. Surgical management of hypothalamic hamartomas in patients with gelastic epilepsy.Neurosurg Focus. 2008;25:E8.
Amstutz DR, Coons SW, Kerrigan JF, Rekate HL, Heiserman JE.Hypothalamic hamartomas: correlation of MR imaging and spectroscopic findings with tumor glial content. Am J Neuroradiol. 2006; 27:794-798.
Arita K, Kurisu K, Kiura Y, Iida K. Otsubo H. Hypothalamic hamartoma. Neurol Med Chir (Tokyo). 2005;45:221-231.Berkovic SF, Kuzniecky RI. Andermann F. Human epileptogenesis and hypothalamic hamartomas: new lessons from an
experiment of nature. Epilepsia. 1997;38:1-3.
Berkovic SF, Arzimanoglou A, Kuzniecky R, Harvey AS, Palmini A,Andermann F. Hypothalamic hamartoma and seizures: a treatable epileptic encephalopathy. Epilepsia. 2003;44:969-973.
Cascino GD, Andermann F, Berkovic SF, et al. Gelastic seizures and hypothalamic hamartomas: evaluation of patients undergoing chronic intracranial EEG monitoring and outcome of surgical treatment. Neurology. 1993;43:747-750.
Hahn FJ, Leibrock LG, Huseman CA, Makos MM. The MR appearance of hypothalamic hamartoma. Neuroradiology.1988;30:65-68.
Harvey AS, Freeman JL, Berkovic SF, Rosenfeld JV. Transcallosal resection of hypothalamic hamartomas in patients with intractable epilepsy. Epileptic Disord. 2003;257-265.
Kulwin C, Chan D, Ting J, Hattab EM, Cohen-Gadol AA. Endoscopic endonasal transplanum transtuberculum resection of a large solid choroid plexus papilloma of the third ventricle. J Clin Neurosci. 2014;21:1263-1266.
Jung H, Neumaier Probst E, Hauffa BP, Partsch CJ, Dammann O.Association of morphological characteristics with precocious puberty and/or gelastic seizures in hypothalamic hamartoma. J Clin Endocrinol Metab. 2003;88:4590-4595.
Jung H, Parent AS, Ojeda SR. Hypothalamic hamartoma: a paradigm/model for studying the onset of puberty. Endocr Dev.2005;8:81-93.
Kuzniecky R, Guthrie B, Mountz J, et al. Intrinsic epileptogenesis of hypothalamic hamartomas in gelastic epilepsy. Ann Neurol.1997;42:60-67.
Leal AJ, Passao V, Calado E, Vieira JP, Silva Cunha JP. Interictal spike EEG source analysis in hypothalamic hamartoma epilepsy. Clin Neurophysiol. 2002;113:1961-1969.
Maixner W. Hypothalamic hamartomas--clinical, neuropathological and surgical aspects. Child Nerv Syst. 2006;22:867-873.
Mullatti N. Hypothalamic hamartoma in adults. Epileptic Disord. 2003;5:201-204.
Mullatti N, Selway R, Nashef L, et al. The clinical spectrum of epilepsy in children and adults with hypothalamic hamartoma. Epilepsia. 2003;44, 1310-1319.
Munari C, Kahane P, Francione S, et al. Role of the hypothalamic hamartoma in the genesis of gelastic fits (a video-stereo-EEG study). Electroencephalogr Clin Neurophysiol. 1995;95:154-160.
Savard G, Bhanji NH, Dubeau F, Andermann F. Sadikot A. Psychiatric aspects of patients with hypothalamic hamartoma and epilepsy. Epileptic Disord. 2003;5:229-234.
Shim KW, Chang JH, Park YG, et al. Treatment modality for intractable epilepsy in hypothalamic hamartomatous lesions. Neurosurgery. 2008;62:847-856; discussion 856.
Takeuchi J, Handa H, Miki Y, Munemitsu H, Aso T. Precocious puberty due to a hypothalamic hamartoma. Surg Neurol. 1979;11:456-460.
Tassinari CA, Riguzzi P, Rizzi R. Gelastic seizures, in Tuxhorn I, Holthausen H, Boenighk K (eds): Pediatric Epilepsy Syndromes and Their Surgical Treatment. London: John Libbey, 1997:429–446.
Weissenberger AA, Dell ML, Liow K, et al. Aggression and psychiatric comorbidity in children with hypothalamic hamartomas and their unaffected siblings. J Am Acad Child Adolesc Psychiatry. 2001;40:696-703.
(神外资讯编辑、第二军医大学附属长征医院神经外科卢成寅医师翻译)
更多资讯请关注神外资讯微信公众号:neurosurgerynews




