今天为大家分享的是由解放军101医院周劲旭医师翻译的第二章“神经外科常见手术入路”中的:环岛叶半球离断术操作技巧(Peri-insular Hemispherotomy),欢迎阅读、观看。
1.Hemispherotomy
2.Hemispherotomy
3.Hemispherotomy Techniques- Pearls and Pitfalls
药物难治性癫痫外科干预的适应症为具有明确的致癫灶且手术导致神经功能缺失的可能性较低的患者。在成年患者中,最常见的病因是颞叶癫痫,即颞叶内侧硬化。在决定接受手术治疗的儿童患者中,最常见的致癫痫原因是低级别肿瘤和局灶性皮质发育不良。
对于致痫灶位于单侧大脑半球非功能区的儿童患者,采用手术切除病灶的方案已经出现较长时间了。诸如解剖学意义上的大脑半球切除术等手术,常带来较多的并发症,例如含铁血黄素沉积症、继发性脑积水等。因此,更多的目光投向功能性半球切除术,来替代单纯的半球切除术。近来功能性的半球切除术逐渐让位于首先切断异常功能半球的纤维联系、更少切除脑组织的半球离断术。半球离断术与以往的技术相比较,更有效的减少或消除频繁发作的癫痫,同时在很大程度上降低了术后可能出现的并发症。
半球间离断术在技术上是有挑战性的,它需要对三维解剖结构有全面的理解,从而确保彻底的半球间联系的中断; 半球间离断术可以加强对深部重要结构的保护,减少可能遗留的半球间联系,降低了术后癫痫的再次发作可能性。
在这章节中,我将会讨论改良的环岛叶半球离断术的相关手术技巧。通过半球离断手术,有经验的外科医生可以有效的处理单侧大脑半球癫痫病灶,同时限制可能存在的并发症。首先我来回顾下半球切除术和半球离断术的技术演变过程。
历史观点和技术的演变
半球离断术的技术从半球切开术演变而来。Walter Dandy在1928年第一次使用半球切除术来对恶性脑胶质瘤患者进行手术治疗,在1938年次报道使用半球切除术治疗癫痫。浅表性铁沉积症后来被认为是可能存在的长期并发症。33%的患者在接受半球切除术后平均8年出现该并发症。浅表性铁沉积症是由于手术后多发的出血区域替代了大脑半球的脑室系统,从而导致慢性的颗粒沉积而引起的脑室炎症,最终导致患者神经衰退、脑积水甚至于死亡。
为了避免出现这样的并发症,使用改良技术,尽量少的切除脑组织,例如功能性的半球切除术。在手术过程中,额极和枕极分别被彻底离断,但是没有切除,目的在于以最小的切除手术控制癫痫病灶,并且尽可能的避免浅表性铁沉积症等并发症的产生。为了更好减少术中出血,最少的切除脑组织,同时能够保证疗效,我们继续改良手术方式, 最终演变为半球离断术。
表1. 不同技术的比较

术前评估和手术适应症
儿童患者中,药物无法控制的顽固性反复发作的癫痫患者往往最后选择接受外科手术。最常见的适应症包括:多发皮层硬化症、半侧巨脑症、多小脑回、外伤后癫痫、Rasmussen脑炎、产伤,Sturge-Weber综合症等。手术的目的是阻断癫痫放电的传导路径,孤立致癫痫病灶。
儿童患者接受两次正规的抗癫痫药物治疗后,仍然反复发作者,则需要考虑接受手术治疗。儿童患者长期癫痫症状得不到控制会引起发育迟缓或者停止。因此推荐早期考虑接受手术治疗,避免引起癫痫综合征的不利因素。
术前检查包括详细的病史和体格检查。几乎所有的患者在术前都有轻度偏瘫。术前需要评估偏盲。对年长的儿童患者需要进行神经心理评估,为术后提供评估基线标准,并可以了解手术干预可能带来的神经功能损害。
另一个重要的考虑因素是对语言优势的评估。语言的偏侧性出现在6岁左右。6岁或者更年长的患者接受语言优势半球的详细检查尤其重要,因为年长的儿童在术后将功能区代偿到对侧的可能性很小,从而有导致永久性语言功能缺失的高风险。
磁共振成像可以定位大脑半球的癫痫病灶,并排除完整大脑半球上的结构性异常。所有的患者都需要接受EEG的检查,来确认大脑半球的癫痫病灶,同时排除任何潜在的来自完整大脑半球的癫痫活动。任何来自对侧异常的EEG证据或者对侧电生理监测证据都和术后患者的神经功能显著衰退有关联。



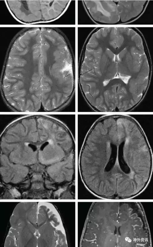
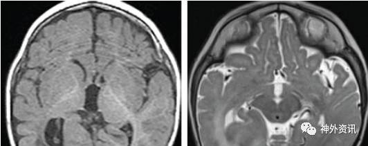
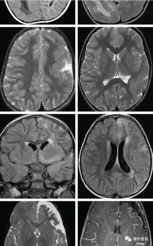
图1. 显示为右侧中等程度的半侧巨脑症。弥散性的皮层发育异常(最上图);注意脑室周围的变化;异位的灰质被发现在脑室周围;这些异常的变化在后半球尤为明显。第二排图显示:左侧外侧裂周围区的脑回增厚。第三排图显示与左侧相符合的Rasmussen’s脑炎的影像学表现,同时为手术活检证实;T2相显示异常者为脑组织的萎缩。最下图显示了Sturge-Weber综合征的影像学表现:左侧额颞叶的萎缩、枕叶软脑膜的增厚和枕极增强表现,提示血管病变。
术前注意事项
手术时间长度及术中出血量需要严格控制:因为儿童患者的血容量较少,强烈建议术前行中心静脉导管置入,以便于术中监控血容量的变化;手术时间尽可能的缩短,以减少给病人带来的手术应激;手术技术的革新可以带来手术时间长度的变化。术中基于MRI的导航是有益的。
半球离断术
关于半球间离断术的技术改良有很多的描述,最常见的变化有环岛叶的半球离断术、改良的环岛半球离断术、平行矢状窦的半球离断术。所有的半球离断技术有四个共性:内侧颞叶结构的切除、内囊和放射冠传导纤维的阻断、经脑室的胼胝体切开术、额水平面纤维的离断。
下面阐述的手术技术是在与功能性的半球切除术相比较后, Schramm和同事为了更好的控制手术时间、减少手术出血,最大程度的减少脑组织切除,更小的开颅范围,更好的控制癫痫发作而首次提出的改良技术。我推荐这个技术来替代其他的半球离断技术是因为对于神经外科医生而言,经颞角入侧脑室是熟悉的入路。
手术解剖
半球离断术是有技术上的挑战性的,它需要对脑的三维解剖有充分的理解,这样才能保证安全的完全的进行半球离断手术。

图2. 外侧观呈C形的环岛叶半球离断术(上面照片):侧脑室被彻底打开,黄色箭头指向内侧颞叶被切除的结构,蓝色箭头指向经脑室的胼胝体切开术,红色箭头指向额叶水平的纤维离断术;冠状面环岛的半球离断术(下面照片):白色箭头显示从额叶岛盖部离断内囊纤维的相关区域;黑色箭头显示的经脑室行胼胝体切开术;红线显示内囊切除术;蓝色箭头显示颞干的离断和颞叶内侧结构的离断。C=屏状核,CC=胼胝体,cg=扣带回,cn=尾状核,ec=外囊,fg=梭状回,phg=海马旁回,T1=颞上回,T2=颞中回,T3=颞下回(图片经过Morino允许使用,Anatomical analysis of different hemispherotomy procedures based on dissection of cadaveric brains. J Neurosurg. 2002;97:423-431)

图3. 在切除颞叶和移除颞叶的内侧结构后,从颞角顶部开始在半球外侧行C形的皮质切开术。皮层切开术勾勒出了侧脑室的形状,包括侧脑室房部;侧脑室的所有结构都被打开。这种方法离断了内囊。进入侧脑室后透明隔左侧和胼胝体的腹侧面可以辨认(左上图)。胼胝体切开术沿着胼周动脉进行(右上图)。沿着胼周动脉至额叶底部,完成了对胼胝体膝部的横断手术,此处离断需要距离室间孔有数个毫米的距离(左下图)。沿着胼周动脉向后继续寻找并在海马和穹窿连接处横断胼胝体压部(右下图)。大脑镰后部可以看做是完成胼胝体离断术的可靠标志。在胼胝体压部被横断之后,在胼胝体压部的内侧面可以见到Galen静脉。Fx=大脑镰,hpt=海马尾,tr=三角区(图片经过Morino允许使用,Anatomical analysis of different hemispherotomy procedures based on dissection of cadaveric brains. J Neurosurg. 2002;97:423-431)。

图4. 从胼胝体膝部和蝶骨嵴交界处开始行皮层下离断额叶水平纤维(上图)。纤维传导束离断后显示出额枕束和钩束(下图)。Ac=前联合,cr=放射冠,gp=苍白球,p=尾状核,sw=蝶骨嵴(图片经过Morino允许使用,Anatomical analysis of different hemispherotomy procedures based on dissection of cadaveric brains. J Neurosurg. 2002;97:423-431)。
改良的环岛叶半球离断术
患者仰卧位,放置儿童颅骨头钉:单侧放置于同侧耳后、上项线上方;放置双侧头钉,在对侧颞上线上方。

图5. 颅骨头架的放置最大程度的显露同侧大脑半球。颅骨头架通常使用在2岁或者2岁以上的儿童患者;可以配套使用导航系统。我发现神经导航系统很有用处,特别是在脑室内判断胼胝体膝部和内侧额叶纤维传导束的离断程度方面。当头部旋转70度时候,需要在身体同侧肩部下方放置凝胶垫片,放置颈部过度扭曲。手术切口采用标准的问号切口,以岛叶为中心。
硬膜内操作过程
离断过程从标准的颞叶切除术,主要是颞叶内侧面结构的切除开始。该手术过程的细节可以参阅前内侧颞叶切除章节。颞肌和皮瓣一起翻向前方,切除颅骨用来显露岛叶周围结构和颞叶。硬膜和皮瓣一起翻向前方。

图6. 颞叶切除范围较正常广泛,包括从颞极开始6厘米的范围内,移除颞叶内侧结构(包括杏仁核和海马)。该切除过程给外科医生提供了进入侧脑室颞角的通路。尽管我使用了颞叶切除术来扩大我进入颞角的通路,但尤其是对有半侧巨脑症的患者,该类患者往往脑室比较小,因此常规的颞叶切除是不够的。术者可以采用环侧裂外切口,通过颞叶中部的切除来到达颞角。

图7. 术中辨认脉络膜丛非常重要,是重要的解剖标志,因为所有位于脉络膜丛内侧的结构都属于间脑,在手术过程中需要加以保护。颞叶内侧切除缘上回的盖部,打开侧脑室的房部。脑室的位置被轮廓化。
术中需要仔细保护大脑中动脉的大的皮层分支,保护远端皮层的功能,最大程度减低可能导致的梗塞。

图8. 下一步,继续皮层切除,需要进一步切除中央前回、中央后回、额下回,进而显露侧脑室的额角和体部。注意透明隔和胼胝体交汇处的视角(插图所示)。这个倾斜角度可能会对术者造成困扰。术中导航可以有助于辨认合理的路径。任何对侧大脑半球的损伤都应该避免。

图9. 继续皮层切除。沿着额角的外侧进行手术。术中注意使用棉片来保护被脉络膜丛界定的半球近中线部位。再次强调,大脑中动脉的重要分支需要加以保护。这是非常重要的,因为如果牺牲了这些重要的分支,将会导致大面积的脑梗塞,从而使保护与手术无关的脑其他区域的努力无效。

图10. 现在可以看到胼胝体在术野中,行胼胝体离断术。在本图中,胼胝体、大脑前动脉复合体、三脑室均定位在手术野的深面,从而为实施胼胝体离断术提供了可视角度和可操作的复杂解剖路径。

图11. 胼胝体膝部和透明隔的汇合处是开始行胼胝体离断术的解剖标志,在规定的角度内,经皮层4-5毫米左右进入脑室。在此过程中,神经导航可以用来确认正确的分离平面。我并没有使用超声导航,是因为经侧脑室狭窄的的手术通道不适合使用。分离沿着胼胝体进行,直到在胼胝体沟内和扣带回下方发现胼周动脉。我发现在冠状平面皮层切开一小切口后对于定位胼周动脉非常有用,然后平行于矢状窦行胼胝体离断术。
这些图片诠释了手术的基本路径,但是实际上对于手术者来说要做的工作依然很多。
对胼胝体周围的结构的辨认可以确保手术未进入中线部位,降低了对侧大脑半球的损伤可能性。沿着确认的A2分支的近心端蛛网膜,我向前延伸至胼胝体膝部。胼胝体膝部的显著增厚、动脉标志和神经导航对于术中定位非常重要。胼胝体膝部在冠状平面处、距离室间孔后5毫米处终止,依靠这样的标志,我们可以避免损伤间脑。

图12. 接下来向后沿着体部和压部行胼胝体离断术。除了胼周动脉,我还使用大脑镰作为在切除胼胝体体部和压部的解剖标志。在切除胼胝体压部的过程中,大脑镰作为定位标志非常重要,因为A3远心端和A4的分支在半球间不容易辨认。

图13. 完成胼胝体离断术后,注意力转向后部的海马切除术。行海马切除术时,需要显露小脑幕的水平边缘,同时切除海马尾部的幕下部分。沿着禽距和侧脑室房部内侧面解剖白质,可以允许我沿着天幕幕下部分的水平边缘,找到幕上需要切除的白质。

图14. 待最后的胼胝体压部,禽距,海马尾部,穹窿小柱,楔状叶,楔前叶都被分离后,继续向上分离至天幕的幕上部分。沿着天幕和大脑镰交汇的地方继续追溯可以更好的帮助外科医生沿着胼胝体压部来分离白质纤维。天幕的水平段和上升段以及大脑镰可以帮助手术者定位。

图15. 大脑镰的后缘可以帮助术者找到天幕。在切除的过程中需要谨慎的进行软膜下分离,保护大脑后动脉穿过内侧和下方蛛网膜的分支。对于侧脑室房部的分离需要在脉络丛后方进行,这样可以保护丘脑。

图16. 当后部的需要进行的纤维离断完成后,额叶的基底部需要进一步离断。在这部分的纤维离断手术过程中,蝶骨小翼作为离断额叶底部传导束的解剖标志。将离断的范围局限在床突外侧来避免损伤下丘脑。分离至大脑前动脉的颅底水平,保证足够的离断。当完成上述步骤后,术者可以显露侧脑室的额角和胼胝体膝部。插图中在手术野的深面可以看到骨性床突,绿色箭头表示轮廓出了切除的路径。

图17. 最后,岛叶皮层被安全的切除,大脑中动脉的分支被完整的保护。
当然,必须可视化的确认软膜下的内侧所有的神经传导已经离断,在关颅前,保证彻底的半球神经传导离断。
我通常不需要常规在术后放置脑室临时引流;除非不能可靠止血。脑室可以在术后通过脑脊液循环充分引流走杂物。
案例

图18. 右侧的半球间纤维离断术的步骤如图所示。第一行所示图片展示了颞叶切除术,通过C形的皮层切除,打开侧脑室顶部,在胼胝体膝部切除的初始阶段确认了胼周动脉。中间一行图则显示通过使用左侧大脑镰和右侧天幕作为解剖标记来完成胼胝体压部的纤维离断术。下方的一行图则显示通过使用蝶骨嵴和床突作为解剖标记来进行皮层下的额叶切除术(左侧图)。岛叶切除术完成(右侧图)。
并发症
残存的癫痫发作和术后可能再次需要进行的枕叶离断术。
残存的癫痫发作通常出现在神经传导离断不彻底的情况下。最常见的是,这是由于胼胝体离断不彻底,特别是胼胝体膝部和压部离断手术不彻底导致。这种并发症的可能性可以通过术中显露胼周动脉和大脑镰来尽可能的降低。术中使用EEG在同侧枕叶和对侧半球可以用来确认胼胝体离断术的进行。
不彻底的额叶纤维离断和岛叶纤维离断同样可以带来术后残留的癫痫发作。我使用床突做为颅底纤维离断的外侧界,这样可以保证彻底的神经纤维传导离断。我同样改良了先前的技术,在术中定位天幕的水平段和上升段,来保证彻底的离断术。不彻底的胼胝体膝部离断术是产生并发症的另外一个原因。沿着A2分支进行的术中神经导航可以为彻底离断提供解剖标记。
出现残留的癫痫发作的患者需要再次接受高场强的MRI和DTI检查,来评估半球间神经传导离断的程度。由于脑室内操作的空间限制,半侧巨脑症患者有很大可能性出现不彻底的离断术。
脑积水
尽管接受了环岛叶半球离断术的患者脑积水发生的可能性要低于接受半球切除术的患者,但是仍然在术后有2%-15%左右的发生率。当患者表现为半侧巨脑症或者多发皮层发育不良时,产生脑积水并且需要在术后接受永久的脑室腹腔分流术的几率明显增高。
结论
大宗病例数据研究已经证实半球间离断术在合适病例中的有效性。接受了功能性的半球离断手术或者环岛叶的半球离断手术的患者有80%可以消除致残性的癫痫发作。剩下的患者则没有完全停止癫痫发作,但与术前状态相比,至少有明显的获益。
技术的优点和注意事项
环岛叶半球离断术对单侧半球癫痫病灶的儿童癫痫患者是有效的。虽然技术与类似的手术相比,具有挑战性,但该技术可以为患者彻底消除癫痫发作,且并发症发生的几率较低。




