病史简介
患者,女,38岁,主诉“头痛、双眼视物模糊23天”,来我院眼科门诊就诊,行视力、视野检查提示视力明显下降,视野不规则缺损,眼底检查提示视乳头明显水肿,继而转至神经内科,神经内科门诊腰穿检查,压力>400mmH2O。逐以“颅内压增高原因待查”收入神经内科病房。
诊疗经过
入住神经内科后查体:生命体征平稳,神清,精神尚可。BMI:36.6kg/m2。双眼视力:左眼仅光感,右眼眼前30cm指数。粗测双眼视野部分缺损。余神经系统检查未见异常。
进一步辅助检查:眼科视力、视野检查,提示视力如上述明显下降,视野呈不规则缺损,双鼻侧缺损为主。眼底检查提示视乳头明显水肿(图1)。腰椎穿刺结果:压力>400mmH2O。脑脊液IgG 42.7mg/L(正常参考值:12.0-33.0 mg/L);白蛋白303mg/L(正常参考值:81.0-277.0 mg/L);有核细胞24*106/L(正常参考值:<8*106/L);红细胞4*106/L(正常参考值:<1*106/L);中性粒细胞百分比:16%(正常参考值:<6%);蛋白含量 49.9ng/dL(正常参考值:8-43ng/dL);余脑脊液化验未见明显异常。肿瘤标记物化验:癌胚抗原7.4ng/ml(正常参考值:<5ng/dL);CA199:186.6U/ml(正常参考值:<37U/ml)。

图1. 视野及眼底检查:视野不规则缺损,视乳头明显水肿。
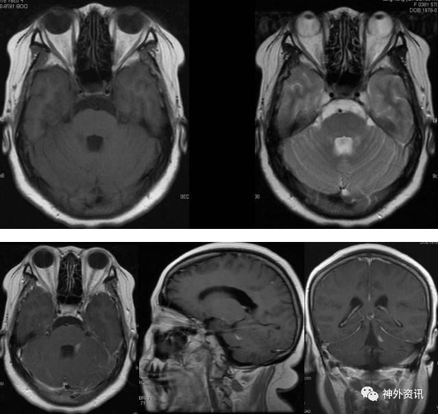
头颅MRI平扫加增强:左侧桥臂异常信号灶,范围约1.0*0.7cm*1.1cm,呈等T1稍长T2信号,增强后强化明显。诊断:左侧桥臂异常强化灶,考虑脱髓鞘病变可能。(图2)。

图2. MRI检查:左侧桥臂异常信号灶,范围约1.0*0.7cm,T1WI呈等信号,T2WI呈稍高信号,增强后明显强化。
全身PET/CT显像示:①双侧额叶、顶叶、颞叶、枕叶,双侧基底节、丘脑、小脑放射性分布对称,未见明显放射性摄取增高或减低灶。②双侧胸腔少量积液;③脂肪肝;回盲部肠壁代谢稍高,提示炎症;④左肾小结石;子宫内节育环;右侧附件区囊性病变考虑(图3)。


图3. PET/CT:颅内未见明显放射性摄取增高或减低灶,回盲部肠壁代谢稍高,提示炎症,左肾小结石,右侧附件区囊性病变考虑。
全腹部增强CT扫描:轻度脂肪肝;左肾小结石。
腰穿脑脊液脱落细胞学检查:少量成熟中性粒细胞,未找到肿瘤细胞。
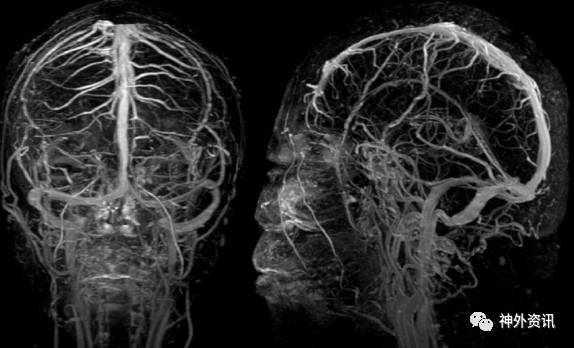
头颅CT平扫、头颅CTA及头颅MRV(图4)未见明显异常。余血化验未见明显异常。浅表淋巴结超声、胸片、心电图等相关检查均未见明显异常。

图 4. MRV 未见明显异常。
入院后神经内科予以脱水、激素及对症支持治疗,患者头痛稍缓解,视力、视野无明显改善。1月后复查头颅MRI增强,提示左侧桥臂病灶无明显变化(图5)。依然考虑左侧桥臂病灶为脱髓鞘病变可能性大。因颅内高压缓解不明显,请我科会诊后转入我科。


图5. MRI复查:左侧桥臂异常信号灶,T1WI呈等信号,T2WI呈稍高信号,增强后明显强化,较前片无明显变化。
科室术前讨论:根据病史及影像学检查,考虑特发性颅内压增高,左桥臂病灶性质待查。因患者主要有明显颅高压,建议先行分流手术以缓解症状。逐于2016.3.29行脑室-腹腔分流术。手术顺利,术后患者头痛缓解,但视力无明显改善。10天后出院。
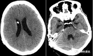
术后1月,患者门诊复查,诉头痛明显缓解,复查头颅CT提示分流术后改变(图6)。

图6. CT检查:分流术后改变,左侧桥臂稍高密度灶,较前片无明显变化。
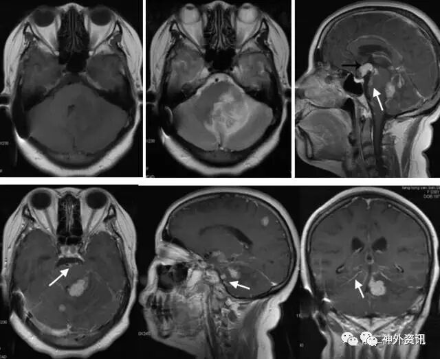
术后5月,患者诉头痛、呕吐来门诊复诊,复查头颅MRI平扫加增强显示:左顶叶,右小脑半球,第三、四脑室,鞍上池见斑片状长T1、长T2信号影,增强后明显强化;左侧小脑半球及桥脑脚大片T1低信号,T2高信号影,强化后桥臂病灶明显强化,同时可见桥脑腹侧面片状软脑膜增强影。诊断:脑内多发强化灶伴局部软脑膜强化,考虑转移瘤可能(图7)。

图7. MRI检查:左顶叶,右小脑半球,第三、四脑室,鞍上池见斑片状长T1、长T2信号影,增强后明显强化。
科室再次讨论:根据病史及影像学复查结果,考虑脑膜癌症,伴颅内多发转移瘤,建议行立体定向活检,以明确诊断。考虑左小脑虽然病灶最大,但在后颅靠近四脑室,活检相对麻烦些,而左顶病灶明确,位置较浅,立体定向可以精确定位找到病灶,逐于2016.9.20局麻下行立体定向左顶叶病变活检术。术中冰冻提示:标本组织中见异型细胞巢团,首先考虑转移瘤。
病理结果
常规病理回报:转移性恶性肿瘤,考虑梭形细胞癌,建议检查肺、乳腺、子宫附件等。免疫组化染色结果:CK(AE1/AE3) +,CK 20 -,CK7 散在 +,CD 45(LCA)-,TTF1 -,ER -,PR +,SYN -,CgA -,GFAP -,P53 +,IDH1 R132H -,ATRX -,Ki67约60%,HMB45 -(图8)。因原发病灶来源不明,建议UCLA会诊。
UCLA会诊意见:恶性肿瘤,符合转移性癌。免疫组化染色结果:CK(AE1/AE3):弥漫强 +,GFAP -,SYN -,P53 核弥漫强+,IDH1 R132H -,ATRX -,Ki67 总体约60%,局灶80-90%,HMB45 -。至于从何处转移而来也无法得知。

图8. 病理HE染色见中等多形性细胞呈片状高密度增殖,细胞增大,核成角-梭形,深染,胞浆嗜酸伊红,核分裂易见。免疫组化CK弥漫强阳性,CK7散在阳性。
因原发灶仍然不明,建议患者进一步检查,但因经济问题,家属拒绝,自动出院。
讨论
特发性颅内压增高(Idiopathic intracranial hypertension,IIH)是指具有颅内压增 高的临床症状和体征,但无明确引起颅内压增高的病因的一类疾病[1]。常好发于育龄期的肥胖女性。其主要临床表现为头痛,平卧时进行性加重,可伴有恶心、 呕吐、头晕、搏动性耳鸣、视物模糊、复视等,临床表现缺乏特异性,给诊治带来较大困难。
2013年最新修订的IIH诊断标准需符合[2]:①颅内压增高所导致的视乳头水肿;②神经系统查体除颅神经异常外,无其他神经系统阳性体征;③神经影像学检查:MRI排除颅内占位、脑积水、炎症、静脉窦血栓性疾病,无异常脑膜强化,如无MRI检查,可用增强CT检查替代;④脑脊液成分正常;⑤侧卧位腰穿压力>250 mmH2O。同时满足上述5点诊断标准,同时排除了继发性颅内压增高的原因,IIH即可诊断。同时满足上述前4点诊断标准为疑似IIH。
本病例患者为育龄期肥胖女性,BMI为36.6kg/m2,主要以颅内高压为首发症状,眼底检查提示视乳头明显水肿,神经系统查体除视力下降、视野缺损外,无其他神经系统阳性体征。腰穿压力>400 mmH2O,脑脊液脱落细胞检查未找到肿瘤细胞。MRI提示左侧桥臂异常信号灶,T1WI呈等信号,T2WI呈稍高信号,增强后明显强化,但1月后复查MRI提示桥臂病灶未见明显变化。MRI未见其他占位病灶,也无脑室扩大。MRV未见静脉窦血栓和闭塞。
癌胚抗原是从结肠癌组织中分离出来的一种糖蛋白,是癌组织和胎儿细胞共有的一种抗原,可广泛存在于内胚叶起源的消化系统癌,也存在于正常胚胎的消化管组织中,在正常人血清中也可有微量存在。癌胚抗原是一种广谱的肿瘤标志物,受多种因素的影响,良性消化道疾病及吸烟者可有不同程度的升高,但远远低于恶性肿瘤患者,一般小于20μg/L,常用于消化道肿瘤的辅助诊断、疗效评价、预后监测[4]。糖类抗原199 (CA199)是一种粘蛋白型的糖类蛋白肿瘤标志物,为细胞膜上的糖脂质,分子量为3000~5000 kD。健康人胰腺、胆管细胞及胃、结肠、子宫内膜和唾液腺上皮细胞均可合成,正常情况下生成量极微,正常血清中含量较低,一些良性疾病时,血清中含量升高,但幅度较小。 消化道恶性肿瘤患者血清中CA199含量明显升高,检测血清CA199可作为胃癌、胰腺癌等恶性肿瘤的辅助诊断、预后和疗效判定指标[5]。本病例癌胚抗原及CA199均稍增高,但全腹部增强CT及PET均未发现明显肿瘤病变。
该病例脑脊液检查IgG 42.7mg/L和脑脊液白蛋白303mg/L均稍增高,因中枢神经系统脱髓鞘疾病可导致脑脊液IgG和脑脊液白蛋白升高[3],根据动态MRI增强检查结果及会诊意见,我们也考虑左侧桥臂病灶为脱髓鞘病变。
因此根据2013年IIH诊断标准,结合本病例初步检查结果,术前考虑为特发性颅内压增高。行V-P分流后,患者症状好转出院。
但患者V-P分流术后5月,因再次症状加重复诊,经检查提示颅内多发病灶以及脑膜强化。立体定向活检后证实为多发转移性肿瘤。回顾复习以前的MRI检查,发现早期在垂体柄漏斗部软膜已有转移,之后逐渐明显(图9)。说明该病例首次表现出来的颅高压是转移性肿瘤软脑膜转移为主的“脑膜癌病”所致。之后病情进展,演变为软脑膜转移和脑实质内多发转移共存的混合转移灶。

图9. MRI检查演变过程,A:首次MRI强化检查,见垂体柄漏斗部小片状强化,B:第二次检查片状强化较第一次明显,C:上述部位及整个脑干腹侧面大片软脑膜强化
所谓脑膜癌病(meningeal carcinomatosis,MC)是指恶性肿瘤弥漫性或多灶性软脑膜播散或浸润,临床表现为脑、脑神经和脊髓受损的症状,其中约50%患者的首发症状为脑部病变,如头痛、呕吐、眼底水肿、脑膜刺激征,为中枢神经系统转移瘤的一种特殊分布类型。腰穿检查是重要的诊断手段。一般CSF压力升高,程度不等。脑脊液细胞学检查对MC有早期确诊价值,特别是对那些原发病灶未明者可能是惟一有效的诊断方法。常规生化少数正常,多数异常。细胞数多在100×106/L以内,蛋白含量轻、中度升高,氯化物及葡萄糖多降低。脑脊液细胞学检查单核细胞比例增高占60%,淋巴细胞比例增高和嗜中性粒细胞比例增高为主的混合性细胞反应各占20%。但细胞学检查并非都能发现肿瘤细胞,故对临床高度怀疑MC者需反复多次,或腰大池置管收集足够的脑脊液进行离心沉淀检查做脑脊液细胞学检查以提高阳性率。脑CT及MRI平扫多正常或轻度交通性脑积水,增强可见脑沟、脑池内线条状强化影。有学者(Watanabe,1993)提出MC的MRI强化分为4型:完全型软脑膜癌病;硬脑膜癌病;脊髓软脊膜型;单纯脑积水型。并认为脑积水是MC的一个重要间接证据,脑沟强化、结节性改变是该病特征性变化。本病例基本符合上述表现,但因经验有限,开始时未考虑到,回顾看MRI检查还是符合诊断的,需引起大家的关注,提高诊断水平。
病理检查是诊断的金标准,结合其他检查,对大部分转移瘤来说也可明确原发转移灶。该病例活检组织中见肿瘤呈大巢团状,片状生长,细胞中等多形性,核多角-梭形,核分裂易见,恶性肿瘤表现,与周围脑组织边界清楚。免疫组化上皮性标记CK(AE1/AE3)弥漫强阳性,神经源性标记(GFAP、SYN、CGA)阴性,黑色素标记(HMB45)阴性,淋巴造血系统标记(CD45)阴性,Ki-67高增殖指数约60%,证实肿瘤为转移性低分化癌。肿瘤上皮表型呈CK7+/CK20-,肺、甲状腺相关标记TTF1阴性, 激素标记ER-/ER+, 提示有肺、女性生殖系统来源可能,但无明确组织学来源提示。最终该病人还是不能明确原发灶来院。
原发灶来源不明的脑转移瘤(brain metastasis of unknown primary, BMUP)指少数有脑转移瘤的临床表现、影像学特征,或活检证实为脑恶性肿瘤,但病史、体格检查及相关实验室检查未能找出原发部位的转移瘤,有多达15%的脑转移瘤病人没能发现其原发肿瘤,占实体肿瘤的3%~5%,占所有癌症病人的15%~40%,发病率为12/10万人年[6,7]。本患者术后5月,头痛、呕吐等颅高压症状再次出现,头颅MRI增强提示颅内多发占位,且左侧桥臂病灶明显增大,考虑脑转移瘤。立体定向活检证实脑转移瘤,虽经UCLA会诊及多项免疫组化检查,CK,及CK7阳性,证实为转移性肿瘤,但原发灶仍不明了。BMUP的原发灶寻找对于进一步明确诊断、治疗及预后具有指导意义。有学者报道脑转移瘤患者在最初诊断后接受神经外科手术治疗2个月内发现原发肿瘤,14.1%患者在术后2个月以上才诊断出原发部位[8,9]。本患者病理明确转移瘤后,我们建议进一步检查,明确原发灶,但患者家属由于经济原因,拒绝进一步诊治,也实属无奈。
参考文献
1.Markey KA, Mollan SP, Jensen RH, et al. Understanding idiopathic intracranial hypertension: mechanisms, management, and future directions. Lancet Neurol. 2016; 15(1):78-91.
2.Friedman DI, Liu GT, Digre KB. Revised diagnostic criteria for the pseudotumor cerebri syndrome in adults and children. Neurology 2013; 81: 1159–65.
3.Yang Y, Wu WP, Huang DH, et al. Value of anti-aquaporin-4 antibody on Chinese patients with neuromyelitis optica. Chin J Magn Reson Imaging, 2011, 2(4): 267-272.
4.LIU Wanhua, ZHENG Kaier, JIN Aiping, et al. Diagnostic evaluation of full-field digital mammography for nonpalpable breast cancer. Journal of Practical Radiology, 2004, 20(9): 834-836.
5.梁大立,李介华,陆灶其,等。血清癌胚抗原、糖类抗原199、糖类抗原724 检测对胃癌的诊断价值。医学检验,2012年10月第9卷第28期,89-95。
6.Bartelt S, Lutterbach J. Brain metastases in patients with cancer of unknown primary [J]. J Neurooncol, 2003, 64:249-253.
7.Taillibert S, Le Rhun É. Epidemiology of brain metastases [J]. Cancer Radiother, 2015, 19(1): 3-9.
8.Agazzi S, Pampallona S, Pica A, et al. The origin of brain metastases in patients with an undiagnosed primary tumour. Acta Neurochir (Wien), 2004, 146: 153-157.
9.Bergner N, Romeike BF, Reichart R, et al. Tumor margin identification and prediction of the primary tumor from brain metastases using FTIR imaging and support vector machines. Analyst, 2013, 138(14): 3983-3990.
(本文由浙二神外周刊原创,浙江大学医学院附属第二医院神经外科郑建主治医师整理,刘凤强主任医师审校,病理科许晶虹副主任医师提供病理诊断意见,放射科蒋飚主任医师提供影像学诊断意见。张建民主任审校并终审。)
往期回顾
浙二神外周刊(三十七)--垂体瘤伴发鞍结...
浙二神外周刊(三十六)--脑膜血管瘤病...
更多资讯请关注神外资讯微信公众号:neurosurgerynews




