今天为大家分享的是由复旦大学附属华山医院神经外科寿佳俊医师翻译的第二章“神经外科常见手术入路”中的:术前准备、器械和病人体位(Preoperative Considerations, Instrumentation and Patient Positioning),欢迎阅读、观看。
1. Patient Positioning for Intracranial Surgery- A Guide for Residents and Fellows
2. Surgeon Position


图1. 所示是1928年Harvey Cushing分二期手术(颞下和枕下)的一个巨大岩斜胆脂瘤病人。这可能是最早的能展现Cushing处理复杂颅底病变的精湛技艺的病例之一。最上二幅展示了病人在术前的颅神经功能障碍情况。中间二幅展示了Cushing采用的手术切口情况。最下手绘图描述的是其术中所见。
术前准备
术前准备计划期间,需要考虑到手术的各个方面,从病人的术前评估到术后的康复需求。
必要时,术前影像检查需包括血管情况,行CTA(V)或MRA(V) 检查来评估动静脉结构的位置,以利于手术处理。颅底的静脉尤其重要,它们的损伤常常会导致严重的静脉性梗死。

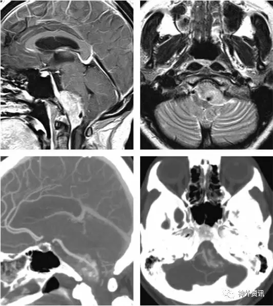
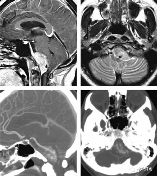
图2. 这是一例以平衡障碍和舌下神经麻痹为主诉的枕骨大孔腹侧脑膜瘤资料。CTA检查对发现肿瘤的钙化范围以及包绕椎动脉的情况非常有帮助。最终做到了肿瘤次全切除。
例如,Labbe静脉的位置会限制或改变经岩骨入路。使用高分辨率CT可以观察颞骨的解剖结构以及肿瘤(如脑膜瘤)侵犯骨质的情况。有时候血管造影也很有必要,比如外科医生在手术前对颈静脉球瘤进行栓塞治疗。如何避开致命而重要的颅内血管往往决定了手术入路的选择。
另外一些影响入路选择的理由包括在需要横断天幕的经岩骨入路中发现穿过其中的重要静脉。打开肿瘤侵犯的重要引流静脉窦同样会影响手术中计划的肿瘤切除范围。
手术器械
更多细节可以同时参考“开颅手术原理”中手术器械章节。
最重要的手术器械是不同长度和头端宽度的双极电凝,它们要满足不同的显微操作的需要。好的双极头端标准是比较不易形成焦痂并且向周边正常组织传导的热量很小,后者在重要的组织周围,比如脑干、颅神经等,进行分离操作时尤其重要。

图3. 有热量消减结构的双极电凝以及优良的头端结构可以减少向周围的颅神经或脑干传导热量。我个人比较偏爱打开张力略高的滴水双极,可以用来分离很薄的蛛网膜,但是不能用来强行处理较厚的蛛网膜,会导致软膜损伤和穿孔撕裂。
此外,还需要一组不同的剥离器械。有时候一组经过挑选的剥离子远比一大套不常用到的器械重要。剥离子头端的宽度和尖锐度需要配合不同的显微分离操作需要。而不同角度的剥离子在处理虽可直视但又有成角的部位时也很有帮助。因为生硬而盲目的分离操作会导致严重的损害。

图4. 照片显示了我偏好使用的各型剥离子。刺刀样器械用于后颅窝手术。Rosen刀(下图左起第4个)对处理肿瘤表面包膜很有帮助。圆头探子(下图左起第6个)可以在粘连的沟回中进行蛛网膜分离(例如分离侧裂)或者游离血管结构(如与肿瘤包膜粘连的动脉)。我最偏爱的是Rhoton 6号剥离子(下图左起第3个)。

图5. 经定制的有适当头端外形和角度的器械对分离肿瘤(尤其是比较韧的肿瘤组织)的边界很有帮助。图中所示的剥离子是我在从脑干面分离听神经瘤或脑膜瘤是最偏爱使用的。
我最常使用下列器械进行锐性分离。

图6. 在分离蛛网膜和保护脑-肿瘤界面时,不同体长和刀头长度的显微剪对避免因钝性分离而造成牵拉损伤是十分重要的。弯头的显微剪可在直视下做锐性分离。盲目的锐性分离非常危险,因而哪怕是到手术的后期,术者已经非常疲劳时,也要严格避免此类操作。锋利的刀头对精确的分离蛛网膜层次非常关键。

图7. 尖头刀可用来分离粘连的蛛网膜平面。而底端锋利的特殊“圆头”刀在分离侧裂或从肿瘤包膜上分离颅神经时非常有用。

图8. 肿瘤镊或枪镊可用来分离肿瘤包膜与脑干或颅神经并保持蛛网膜一定的张力。好的镊子可以精确的钳住蛛网膜并帮助颅神经或脑干面与肿瘤包膜的分离(见图9)。图中上为精细枪式镊,下2件是不同长度的肿瘤镊。

图9. 我使用肿瘤镊或吸引器来分离肿瘤包膜,同时使用精细枪镊从肿瘤表面牵拉蛛网膜从而避免与敏感的神经的直接碰触(左图:左侧三叉神经;右图:左侧滑车神经)。
粗暴的使用超声吸引器进行瘤内减压然后再从临近的脑血管结构上轻柔的分离肿瘤包膜其实是非常危险的方法。因为操作空间狭小,而肿瘤是粘连在临近结构上的。肿瘤应该被仔细的分块切除减压。如果没有足够的瘤内减压,术者很难良好的分离肿瘤的包膜。从而导致需要过度的牵拉肿瘤,这会造成对周边重要结构的牵拉损伤。
病人体位
更多的细节,可以参考开颅手术原则卷的病人体位章节。
病人体位摆放的一个重要方面是保持足够的静脉回流利于控制术中脑压。颅底手术的时间往往较长,所以需要尽可能的避免非生理性的体位,另外身体的受压部位需要被充分保护。
眶颧、眶上经额、岩骨前和后以及经髁入路是最常用的颅底开颅术式。不过我认为扩大翼点、枕下后正中以及乳突后入路也是颅底手术的可选入路术式。
眶颧、眶上经额和翼点入路与在翼点开颅术章节中讨论过的病人体位摆放设计很相似。在这些颅底前外侧的入路中,病人都是仰卧位并且头偏向病灶对侧20-30度。颈部略过伸位使得颧骨隆突位于术野的最高点,这样利用重力作用利于额叶从颅底牵开显露。

图10. 图中显示的是颅底前外侧入路的头部位置。左图注意眶上经眉入路的轻微的头部转动。
在枕下小脑上后正中入路或乳突后入路中,我使用侧卧位或侧俯卧位来避免颈部的过度旋转或扭曲,减少静脉回流的受阻,和术后的颈部疼痛。放弃使用俯卧位,因为侧卧或侧俯卧位可使颈部保持更接近于生理姿势,更有利于静脉回流。
尤其重要的是,当病人处于仰卧位或侧俯卧位时,我可以在显微外科手术过程中坐着进行操作。另外因为重力的作用,术中出血和脑脊液不会进入操作范围从而保持术野的清洁。

图11. 枕下后正中入路(左图)和乳突后入路(右图)的病人体位。
对例如经岩骨前或后入路等中后颅窝手术而言,若病人的颈部较柔软可以采用仰卧位,把同侧的肩部垫高,头尽量转向对侧使得上矢状窦尽可能与地面平行。不然的话则采用侧卧位比较合适。肥胖或存在静脉高压的病人为减少胸廓压力也应该采用侧卧位。
当头部被侧放时,需要将颧弓保持在术野的最高点,这样可以使颞叶在重力的作用下更易从中颅底牵开。更多的细节,可参考经岩骨前和后开颅术章节。

图12. 岩骨前入路体位(左上图),岩骨后入路的体位(右上图),经髁入路体位(下图)。可参考相关章节的更多细节。
对例如眶上和双额开颅等前颅底入路而言,病人需采取仰卧位,头过伸15-20度。根据显微外科的不同需要,可使用头架或头圈固定病人头部,颈部略过伸使得额叶在重力作用下更容易牵拉开来。

图13. 前颅底肿瘤采用双额骨瓣开颅的病人体位。
总结来说,当需要后路或后外侧入路时,病人可使用仰卧位或侧卧位。我使用侧俯卧位并使头部轻微朝向地面。基于不同入路的病人体位摆放细节,在颅底手术卷的相关章节里有更详细的讨论。
要点及难点
1. 一个符合人体工学的坐姿可以减少术者的疲劳,有利于他或她更长时间的集中注意力。显微镜的口控开关对促进手术操作的流畅性十分重要。
2. 使用经过挑选的适当数量的显微剥离器械对提高手术操作的效率很有帮助。
(神外资讯编辑、复旦大学附属华山医院神经外科寿佳俊医师翻译)




